An elderly man with heart failure

    ()

    sporsmal_grey_rgb
    Article

    A man in his 80s had been treated for a long period of time for heart failure believed to be due to arterial hypertension. When the symptoms intensified, however, a different underlying disease was found.

    A man in his 80s was admitted to the Department of Internal Medicine at the local hospital because of increasingly laboured breathing. He had recently moved to the area and had been diagnosed as having heart failure at another hospital. The admission notes reported that he had a history of paroxysmal atrial fibrillation, slight renal failure, mild aortic stenosis and untreated chronic obstructive pulmonary disease (COPD). A former smoker, he had twice suffered deep vein thrombosis in the lower extremities. The patient’s regular medication was warfarin, digitoxin, ramipril, metoprolol, bumetanide and allopurinol. On admission he had regular heart action of 88 beats/minute, his blood pressure was 137/85 mm Hg and he was afebrile. Basal inspiratory crepitations were heard over the lungs on auscultation and basal muffling on percussion. A weak systolic murmur was heard over the precordium and he had declive oedema in the lower extremities.

    Capillary oxygen saturation was only 82 % while breathing room air. Blood samples on admission (Table 1) showed C-reactive protein (CRP) 30 mg/l (0 – 6 mg/l) and normal leukocytes. Creatinine was elevated while estimated glomerular filtration rate (GFR) was below the lower reference cut-off. Both brain natriuretic peptide (BNP) and troponin I were elevated (Table 1). Urine protein showed a serum-like pattern and was slightly elevated (0.5 g/l). The protein : creatinine ratio was not measured. The ECG showed sinus rhythm, first degree AV-block with PQ time 250 ms, Q-waves suggesting earlier lateral wall infarction, generally limited repolarisation changes, poor progression of R-waves in medial precordial leads and scattered ventricular extrasystoles (Fig. 1). Chest X-ray showed congestion changes in the lungs.

    Figure 1  ECG (50 mm/s) recorded on admission showed sinus rhythm, 1st degree AV block with PQ-time 250 ms, suspected…
    Figure 1 ECG (50 mm/s) recorded on admission showed sinus rhythm, 1st degree AV block with PQ-time 250 ms, suspected earlier lateral wall infarction, generally limited repolarisation changes, poor progression of R-waves in medial precordial leads and scattered ventricular extrasystoles.
    Table 1

    Overview of laboratory test values on admission and reference ranges for the various tests

    Value

    Reference range

    CRP (mg/l)

    30

    < 5

    Hb (g/100 ml)

    15.8

    11.7 – 15.2

    Leukocytes (10/l)

    5.7

    3.5 – 11.0

    Thrombocytes (10/l)

    208

    145 – 390

    Creatinine (μmol/l)

    151

    60 – 100

    eGFR (ml/min/1.73 m²)

    38

    > 60

    Urea (mmol/l)

    20.9

    3.5 – 8.1

    Potassium (mmol/l)

    4.6

    3.5 – 4.4

    Sodium (mmol/l)

    143

    137 – 145

    Total calcium (mmol/l)

    2.22

    2.15 – 2.51

    Albumin (g/l)

    36

    36 – 45

    B-glucose (mmol/l)

    6.6

    4.2 – 6.3

    fT4 (pmol/l)

    12

    11 – 17

    TSH (mU/l)

    1.06

    0.50 – 3.60

    INR

    2.1

    0.8 – 1.2

    AST (U/l)

    26

    14 – 45

    LDL (mmol/l)

    2.6

    1.4 – 4.7

    Brain natriuretic peptide (pmol/l)

    194

    0 – 30

    Troponin-I (ng/l)

    267

    0 – 28

    Digitoxin (mmol/l)

    16

    8 – 16

    U-protein (g/l)

    0.5

    Because of his history of illness, clinical findings and the results of supplementary tests, we regarded acute exacerbation of the patient’s heart failure as the most probable cause of the symptoms. The patient had not had chest pain, and on admission his heart failure coupled with impaired renal function was interpreted as the probable cause of the elevated troponin level. CRP was only slightly high, leukocytes and body temperature were normal and chest X-ray showed no infiltrates. Concomitant pneumonia or other potentially serious infection was therefore unlikely.

    We started treatment with bilevel positive airway pressure (BiPAP), diuretics and supplemental oxygen. This resulted in rapid clinical improvement of the heart failure. The patient was able to stop using BiPAP and supplemental oxygen after a few days and then had capillary oxygen saturation that was stable at over 90 %. His heart rhythm alternated between sinus rhythm and atrial fibrillation, and after a while he was started on amiodarone to stabilise the sinus rhythm. Digitoxin was discontinued. In due course it was learned that in recent years the patient had been hospitalised several times at another hospital for heart failure, and he had also had several follow-up visits to the hospital’s heart clinic. The cause of the heart failure was stated in reports from the other hospital to be arterial hypertension. Biventricular heart failure was found, and echocardiograms had shown a hypertrophied left ventricle with normal ejection fraction and also mild aortic stenosis.

    The cause of the patient’s exacerbation remained undetermined, however. Because of the ECG findings and myocardial markers we were unable to exclude either acute or old myocardial infarction as underlying causes. The aortic stenosis might also have progressed. The underlying cause of the heart failure had to be reconsidered when blood pressure measurements during his stay showed only normal, low values. The patient also stated himself that he had never had high blood pressure.

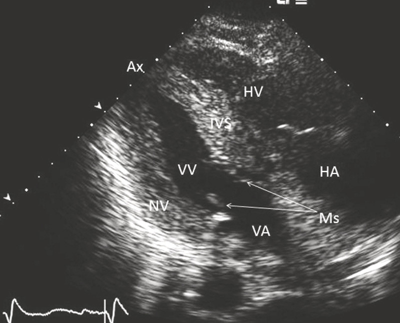
    We submitted the patient to further echocardiography. There was no pericardial fluid accumulation. The left ventricle displayed clear general hypertrophy with wall thicknesses of 1.6 – 1.7 (normal wall thicknesses ≤ 1.1 cm) (Fig. 2). Because of the hypertrophy the ventricle had a small cavity with an end-diastolic diameter of 3.9 cm (normal range 4.2 – 5.9 cm). The ventricle displayed hypernormal cross-sectional contractility in all sections with no sign of infarction sequelae, while the longitudinal contractility was reduced. The ventricle’s ejection fraction showed a normal value of 65 %. There was no systolic intracavitary obstruction in the ventricle. The mitral valve had somewhat thickened leaflets with good mobility and slight leakage.

    Blood flow velocities through the mitral valve coupled with tissue velocities at the mitral rings indicated elevated filling pressure in the left ventricle. The aortic valve was tricuspid with thickened cusps that displayed good opening mobility, and an opening area of at least 1.5 cm² was calculated. The mean and maximum gradients over the aortic valve were found by Doppler examination to be 10 and 17 mm Hg, respectively. There was also a minimal leakage at the commissure between the three aortic cusps. The right ventricle had normal internal dimensions and displayed good contractility. The inferior vena cava was enlarged, however, and its calibre variations were reduced to only 20 % during normal respiration. This indicated elevated filling pressure in the right ventricle. There was moderate tricuspid leakage. The maximum gradient over the tricuspid valve was 30 mm Hg. Added to the elevated atrial pressure, this indicated a systolic pulmonary artery pressure of 40 – 45 mm Hg. The thickness of the free right ventricular wall was measured at 1.1 cm (normal thickness ≤ 0.5 cm). The pulmonary valve was normal. Both atria were moderately enlarged. The atrial septum was thickened to 1.1 cm. The myocardium of both ventricles had a pronounced granular expression (Fig. 2).

    Figure 2  Echocardiography (slightly modified parasternal two-chamber view) shows left ventricle with hypertrophied walls…
    Figure 2 Echocardiography (slightly modified parasternal two-chamber view) shows left ventricle with hypertrophied walls with pronounced granular expression. Ax = apex, HA = right atrium, HV = right ventricle, IVS = interventricular septum, Ms = mitral leaflet, NV = lower wall, VA = left atrium, VV = left ventricle.

    The patient had significant hypertrophy of the left ventricle, and in his case it was difficult to attribute this to arterial hypertension or the relatively mild aortic stenosis. The slightly elevated systolic pulmonary artery pressure could be attributed to left-sided heart failure and could not explain the significant hypertrophy of the right ventricular free wall. The fact that both ventricles showed hypertrophy pointed rather to restrictive cardiomyopathy, and the overall echocardiographic findings gave rise to suspicion of cardiac amyloidosis. The two most common causes of amyloid deposition in the heart are overproduction of monoclonal immunoglobulin light chains (AL amyloidosis) and transthyretin-related disease (familial and senile type) (1).

    Serum-immunoelectrophoresis and serum levels of immunoglobulin light chains were normal without a demonstrable monoclonal component, and Bence Jones proteins were not found in the urine. These findings therefore provided no evidence of AL amyloidosis. After only five minutes, a scintigram of the patient with 99mTc-3,3-diphosphono-1,2-propane dicarboxylic acid (99mTc-DPD) showed high uptake in the myocardium and uptake remained high after three hours (Fig. 3). These findings were consistent with transthyretin-related cardiac amyloidosis. Family background provided no indication that it might be a hereditary form of transthyretin-related cardiac amyloidosis.

    Figure 3  Scintigraphy examinations with 99m Tc-3,3-diphosphono-1,2-propane dicarboxylic acid (99mTc-DPD). Frontal image (A)…
    Figure 3 Scintigraphy examinations with 99m Tc-3,3-diphosphono-1,2-propane dicarboxylic acid (99mTc-DPD). Frontal image (A) and tomographic (SPECT) frontal image (B) of our patient, with pathological uptake of 99m Tc-DPD in myocardium (arrows) after three hours. Frontal image (C) and representative tomographic (SPECT) frontal image (D) in another person with a normal heart. The examination was prompted by another indication. C and D show no uptake of 99m Tc-DPD in the myocardium. The patient shown in Figs C and D has consented to the pictures being published.

    We concluded that the patient had advanced senile transthyretin cardiac amyloidosis. The patient’s exacerbation might have been triggered by a myocardial infarction, but the troponin values presented no convincing evidence and the echocardiogram revealed no signs of infarction sequelae. We interpreted amyloid heart and renal failure as being the probable causes of the elevated troponin values, and periodic rapid atrial fibrillation could explain the variations in the values (which remained at approximately the same high level over time).

    We continued to focus on conventional heart failure therapy with the emphasis on diuretics and fluid restriction. The patient was subsequently hospitalised several more times with increasing heart failure and several episodes of syncope. Owing to sick sinus node with tachycardia/bradycardia problems and increasing conduction disturbances of the AV node, the patient subsequently had a permanent pacemaker implanted. The patient died six months after his first admission.

    Discussion

    Discussion

    Amyloidosis is due to pathogenic processes in which normal or mutated proteins are transformed and deposited in various organs and tissue as extracellular, insoluble fibrils (1) – (3). These cause characteristic histological changes that can be detected in tissue samples with the aid of light microscopy of special stained sections (1) – (3). There are 27 different proteins in humans that can be transformed to amyloids (3). The type of amyloid precursor protein largely determines which tissues or organs are primarily affected (1) – (3). The two most common causes of amyloid deposition in the heart are overproduction of monoclonal light chain immunoglobulins (AL amyloidosis) and transthyretin-related disease (familial and senile type), but rare variants of fibrinogen and apolipoproteins A-I and A-II have also been described as potential causes of the disease (2). Family transthyretin cardiac amyloidosis is due to transthyretin mutations and believed to be very rare in Norway. Senile cardiac amyloidosis is due to deposition of normal transthyretin proteins (1). In unselected autopsy material from persons aged at least 80, 25 % of the individuals displayed amyloid deposition of normal transthyretin in the heart (4), but in the majority this deposition will not be sufficient to affect the heart function. However, cardiac amyloidosis should be especially suspected in elderly men with biventricular heart failure and thickened myocardium without other cause, and the condition is suspected to be considerably underdiagnosed (2, 5).

    Amyloid deposition in the heart is conducive to restrictive cardiomyopathy with the development of heart failure. Electrocardiography is a key early examination for determining both the causes and the degree of heart failure. Characteristic findings in connection with cardiac amyloidosis are biventricular thickened walls with a good ejection fraction (5, 6). The left ventricular cavity has normal or reduced dimensions, and where cavity dimensions are reduced (secondary to wall hypertrophy) the ventricle tends to be hypercontractile radially. Conversely, the longitudinal contractility of the ventricle is reduced already at an early stage of the disease. The ventricular ejection fraction only decreases at a late stage. Progressive diastolic dysfunction is a general finding (7). Other common findings with cardiac amyloidosis are enlarged atria, mild to moderate pericardial fluid accumulation, myocardium with a pronounced granular expression, thickened atrial septum and thickened papillary muscles and valve leaflets (6). The echocardiographic findings in connection with advanced cardiac amyloidosis clearly indicate the presence of the disease and help to distinguish it from possible differential diagnoses such as Fabry disease, hypertrophic cardiomyopathy and secondary hypertrophy in connection with hypertension (6, 8). A correct diagnosis is important for the prognosis and choice of therapy.

    Various ECG changes will tend to occur with cardiac amyloidosis. The QRS complexes often show a distinctly reduced amplitude (low voltage) in the extremity leads (6). The combination of ventricular hypertrophy as indicated by echocardiography and a small QRS amplitude strengthens suspicion of this disease (9). However, this ECG finding is not a sine qua non for this condition, and in a large study of 127 patients with biopsy-confirmed cardiac amyloidosis, a small QRS amplitude was found in only 47 % of the patients, whereas an assessment of the patients’ QRS complexes revealed hypertrophy criteria in 16 % (10). Particularly when the causes are transthyretin-related, the reduced QRS amplitude feature may be absent (5). Other common ECG findings with the condition are abnormal right or left deviation of the heart axis, pseudoinfarction changes, conduction disturbances and atrial fibrillation (2, 6, 10). However, no ECG changes are pathognomonic for this condition. Our patient’s ECG did not show a low QRS amplitude, but did show incipient conduction disturbances in the AV node and pseudoinfarction changes in the anterior and lateral walls (Fig. 1). There is reason to believe that the patient’s sick sinus node and increasing AV node blockages were related to the cardiac amyloidosis.

    Different indicators have been used for scintigraphic detection of amyloidosis in different organs (2, 11). A recent study showed that scintigraphy with 99mTc-DPD identified transthyretin cardiac amyloidosis with very high sensitivity and specificity (11) (Fig. 3). With various kinds of cardiac amyloidosis, magnetic resonance imaging will typically show diffusely enhanced late uptake of gadolinium in the myocardium, most pronounced subendocardially (12, 13). Cardiac amyloidosis can be histologically confirmed by means of a cardiac biopsy, and findings of amyloid deposits in biopsies from other organs such as the rectum will indirectly confirm the diagnosis (2). However, biopsies from extracardiac organs have a low sensitivity for detection of transthyretin cardiac amyloidosis (14). Further tests (immunohistochemical analyses of the amyloid, DNA analyses etc.) may show which type of amyloidosis is present (2).

    The heart is the predilection site for amyloid deposition in senile transthyretin-related amyloidosis. In this type of amyloidosis, deposition may also occur among others in the lungs, gastrointestinal tract and liver (2, 14). However, deposition of amyloid in the kidneys is indicated as being unusual in senile cardiac amyloidosis, but impaired renal function will often occur when the heart’s pumping function has been significantly impaired (2). The extracardiac amyloid deposits may result in carpal tunnel syndrome, orthostatism and intestinal dysmotility disorders (2, 14). Our patient did not suffer from these. The cause of the renal failure was not studied further, and we suspect it to be largely secondary to the impaired heart function.

    With cardiac amyloidosis, the transthyretin-related forms have a better prognosis than AL amyloidosis (5, 14). However, once heart failure has developed, the prognosis is poor irrespective of the type of amyloidosis (15). Heart failure is treated according to the usual guidelines, with the emphasis on diuretics and fluid restriction (6, 8). Caution is recommended in the use of ACE inhibitors and angiotensin 2-receptor blockers because these patients easily develop hypotension when using these types of drugs, particularly patients with AL amyloidosis (6, 8). Digitalis drugs bind easily to amyloid fibrils with subsequent danger of intoxication, and these drugs are therefore not recommended for this condition (16). Liver transplantation possibly combined with heart transplantation may be one possibility for familial transthyretin-related amyloidosis, and heart transplantation may be considered with AL amyloidosis after aggressive treatment of the primary disorder (8).

    Revealing the causes of heart failure is important for the choice of treatment and assessment of the prognosis. In our patient, arterial hypertension was probably not the causal factor behind progressive heart failure, as was initially believed. On the contrary, the echocardiogram showed changes that are distinctive for cardiac amyloidosis (Fig. 2). Further tests yielded no evidence of AL amyloidosis, while the 99mTc-DPD scintigram showed myocardial changes consistent with transthyretin-related cardiac amyloidosis (Fig. 3). There was no familial occurrence of heart failure, and the patient probably had the far more common senile form of transthyretin-related disorder. Representative biopsies might have provided further confirmation of the disease. However, extracardiac biopsies have a low sensitivity for transthyretin-related amyloidosis. Referring our patient to a university hospital for a heart biopsy appeared unnecessary since the echocardiogram and scintigram findings made us sure of our diagnosis. Any biopsy findings would hardly have changed our treatment of this sick patient.

    Conclusion

    Conclusion

    The cause of our patient’s heart failure was found to be different from what was originally believed, and the case history places a focus on senile cardiac amyloidosis, which has probably been underdiagnosed. Echocardiography and scintigraphy are useful for detecting the condition, and it is important to note that the absence of low amplitude QRS does not exclude senile cardiac amyloidosis. The disease is conducive to restrictive cardiomyopathy with the development of heart failure. Heart failure is treated according to the usual guidelines, with emphasis on diuretics and fluid restriction and with the reservations outlined above. Digitalis drugs should not be used with senile cardiac amyloidosis because of the danger of intoxication. If heart failure has developed, the prognosis for senile cardiac amyloidosis is serious.

    The patient’s family have consented to the publication of the article.

    Comments  ( 2 )
    PDF
    Print

    Recent Articles