A man in his 50s with electrical storm after myocardial infarction

    ()

    sporsmal_grey_rgb
    Article

    A man in his 50s without a previous history of heart disease was hospitalised with acute myocardial infarction. The course was complicated and required sophisticated treatment.

    The patient was admitted to a local hospital after a week with several episodes of chest pressure accompanied by dyspnoea. On the day of his admission he suffered acute, persistent chest pain. He was deaf, but otherwise in good health and with no known heart disease. On his arrival at the local hospital he was in pain. An ECG was taken which showed sinus rhythm, incomplete right bundle branch block and ST elevation of 2 – 3 mm in leads V1–V3.

    Thrombolysis was administered (tenecteplase) according to protocol, and after an hour the patient was free of pain. However the ECG was unchanged, with persistent ST elevation. Rhythm monitoring showed frequent ventricular extrasystoles and several short runs of ventricular tachycardia. There was also an episode of persistent ventricular tachycardia that required electroconversion. Inadequate reperfusion was suspected, and the patient was therefore transferred by air ambulance to the nearest university hospital for rescue PCI.

    Myocardial infarction with ST elevation in the ECG is almost always due to thrombotic occlusion of an epicardial coronary artery. In cases of myocardial infarction with ST elevation (STEMI), primary treatment is aimed at as rapid reperfusion as possible. This can be achieved by thrombolysis or by primary percutaneous coronary intervention (primary PCI). The time taken to reach the nearest PCI centre determines which treatment is chosen. If primary PCI cannot be performed within 120 minutes, thrombolysis is recommended (1). In the event of extensive ECG changes and a short history of illness, defined as < 2 hours, this time limit is shortened to 90 minutes (1).

    The regression of pain and ECG changes is a sign of successful thrombolysis, and a more than 50 % reduction of the ST elevation in the lead where this was most pronounced implies reperfusion (1). If there are no signs of reperfusion after 45 – 60 minutes, rescue PCI is indicated. Approximately 30 % of those who undergo thrombolysis will need this (2). Rescue PCI was clearly indicated for our patient. The ECG showed persistent ST elevation and the recurrent ventricular arrhythmia strengthened suspicions of ongoing ischaemia.

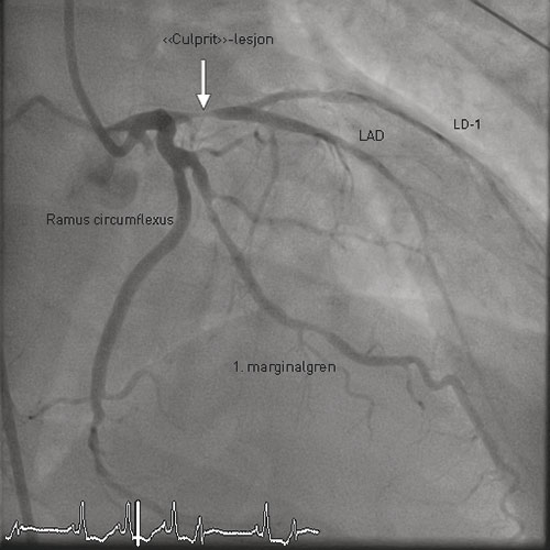
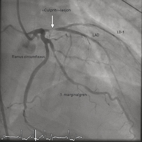
    On arrival at the university hospital, the patient was taken immediately to the angiography laboratory. A coronary angiogram showed three-vessel disease with stenosis proximally in the anterior descending branch of the left coronary artery (LAD), stenosis in a marginal branch of the circumflex branch and several stenoses in the right coronary artery (Fig. 1). The LAD stenosis was considered to be the culprit lesion, and PCI was performed with implantation of a conventional metal stent – with a favourable angiographic result.

    Figure 1  Coronary angiogram showing the left coronary artery. The culprit lesion proximally in the left anterior descending…
    Figure 1 Coronary angiogram showing the left coronary artery. The culprit lesion proximally in the left anterior descending artery, LAD, is marked with an arrow. LD-1 = first diagonal branch

    In addition to stenosis in the LAD, which had probably caused the infarction, the patient had extensive coronary disease. However, it is not recommended that lesions other than the culprit lesion be treated in the acute phase (1). If there is an indication for treating other stenoses, this should be done later. The exception is in the case of cardiogenic shock, where efforts are made to achieve as complete revascularisation as possible already in the acute phase (1).

    An echocardiogram taken immediately on arrival revealed an infarction-damaged left ventricle with an ejection fraction of 30 % (normal value > 50 %). No mechanical complications or valve defects of any significance were found.

    Shortly after PCI was performed there were three episodes of ventricular fibrillation. Defibrillation was performed successfully, and on the establishment of independent rhythm the patient immediately regained consciousness. In Cardiac Observation the same evening he had repeated episodes of polymorphic ventricular tachycardia, and required further electroconversions. In attempts at rhythm stabilisation he was given medication in the form of seloken, amiodarone and magnesium infusion, but these had no effect. A refractory electrical storm had developed. The patient was therefore sedated and placed on a respirator.

    «Electrical storm» is defined as more than three persistent episodes of ventricular tachycardia, ventricular fibrillation or shocks with a defibrillator (ICD) in the course of 24 hours (3). Mortality is high. Effective treatment requires an understanding of the underlying mechanism and therapeutic options.

    Ventricular tachycardia may be monomorphic or polymorphic. With monomorphic ventricular tachycardia, all the QRS complexes are the same. As a rule, monomorphic ventricular tachycardia is associated with an anatomically pathological substrate in the ventricle, usually an area of scarring after an earlier myocardial infarction. Active ischaemia is not usually the underlying cause, and persistent monomorphic tachycardia is unusual in the course of a myocardial infarction (4).

    Our patient, however, had recurring episodes of polymorphic ventricular tachycardia (QRS complexes with varying intervals and appearance) and ventricular fibrillation. These forms of arrhythmia are often seen in an early phase of acute myocardial infarction, with persistent ischaemia (in cases of ongoing infarction) and with long QT intervals. The initial treatment is aimed at rapid correction of ischaemia, decompensated heart failure, electrolytic imbalances or other underlying causes. In most cases, repeated tachycardia can be prevented by means of intravenous treatment with beta-blocker and/or amiodarone (3).

    If revascularisation and medical treatment do not achieve the desired effect, sedation has often proved to calm the situation. This is believed to be attributable to lower adrenergic stimulation (5). A sedated patient is also an advantage if multiple electroconversions should be required.

    After sedation and the start of respirator treatment, the situation immediately stabilised. Four hours had then passed since the transfer from the local hospital, and the patient maintained stable rhythm for the next few hours. However, he was hypotensive, and during this period an intraaortic balloon pump was implanted.

    Treatment of malignant arrhythmias may be an indication for implantation of an intraaortic balloon pump or other mechanical circulatory support (6, 7). This may improve coronary perfusion, reduce the peripheral arterial resistance (afterload) and also reduce the need for proarrhythmic adrenergic agents.

    When attempts were made to awaken the patient after 24 hours, he suffered recurring polymorphic ventricular tachycardia and ventricular fibrillation. Respirator treatment was continued, and high doses of sedatives were required. This in turn caused a fall in blood pressure and a need for inotropic support. This was undesirable, as this type of medication causes adrenergic stimulation, which may trigger arrhythmias.

    For the next five days, no arrhythmias were recorded, and it was decided to reduce the sedation again. However, the patient immediately entered a new phase of electrical storm, switching between sinus rhythm, polymorphic ventricular tachycardia and ventricular fibrillation. Thirty electroshocks were then needed in the course of half an hour.

    Calculation of the QT interval is a part of the interpretation of ECGs, particularly in the case of patients with indeterminate syncope or where arrhythmia is suspected. A long QT interval is a sign of delayed repolarisation and results in an unstable electrical state in the myocardium. In men, a long QT interval is defined as corrected QT interval (QTc) > 450 ms. It may be acquired or genetically conditioned.

    A long QT interval implies a higher risk of malignant arrhythmia, such as polymorphic ventricular tachycardia. In cases with a long QT interval, medication that lengthens the QT interval must therefore be discontinued. The list of these drugs is long, and can be found in a number of places (8). Amiodarone is one such drug. If the cause of the polymorphic ventricular tachycardia is a long QT interval, it is called Torsades de Pointes tachycardia.

    This patient’s corrected QT interval was normal on admission. However, it increased during the patient’s stay and passed 500 ms after ten days of treatment with amiodarone. It was then decided to discontinue the medicine for fear of it increasing the tendency to arrhythmia. Lidocaine infusion was started instead. Treatment with beta-blocker and magnesium was continued.

    Jervell and Lange-Nilsen’s syndrome is a congenital hereditary disease where the patient is both deaf and has a long QT interval (9). As the patient was deaf, this was a possible diagnosis. However, the patient’s deafness proved to be a result of childhood meningitis.

    After this second attempt to awaken the patient, he was sedated for the third time. He was treated with beta-blocker and magnesium and was bradycardiac with a pulse of 40 – 50 beats per minute (Fig. 2).

    Figure 2  ECG shows two normal beats followed by a ventricular extrasystole with a short coupling interval. After this there…
    Figure 2 ECG shows two normal beats followed by a ventricular extrasystole with a short coupling interval. After this there is a pause before a new normal beat followed by a ventricular extrasystole, which induces polymorphic ventricular tachycardia. The normal beats have a QS pattern in V1-v2 as a sign of anterior wall infarction. Persistent ST elevation is a sign of persistent ischaemia or possibly an incipient aneurism.

    Sometimes bradycardia triggers polymorphic ventricular arrhythmia. This can happen both with and without QT lengthening. A pacemaker-induced rhythm, slightly faster than the basic rhythm, could theoretically have reduced the arrhythmia tendency.

    We considered implanting a temporary pacemaker to enable a high basic frequency to be maintained, as this may be effective treatment for ventricular tachycardia triggered by bradycardia. However, the patient was so sensitive to manipulation that a pacemaker lead was regarded as unfavourable.

    The patient had residual damage to the coronary arteries, and to reduce the possibility of arrhythmia being triggered by ischaemia, percutaneous coronary intervention of the remaining stenoses was carried out six days after admission.

    Despite this, the patient’s rhythm remained highly unstable, with recurring ventricular fibrillation, and he needed electroconversion several times per minute. All episodes of ventricular fibrillation were triggered by spontaneous ventricular extrasystoles with the same morphology.

    Early linked ventricular extrasystoles in the initial course of an infarction constitute a known triggering mechanism for polymorphic ventricular tachycardia and ventricular fibrillation (10, 11). The extrasystoles have proved to emanate from Purkinje fibres in the border zone between infarcted and healthy myocardium (10, 12). Purkinje fibres are located subendocardially, and are assumed to be more resistant to ischaemia than ordinary myocardium. Some perfusion is assumed to take place by diffusion of endocavitary blood such that these cells may not be equally dependent on coronary circulation (13).

    Surviving Purkinje cells in the infarction border zone may have abnormal intracellular calcium regulation, which causes late post-depolarisations, spontaneous extrasystoles and arrhythmia. The combination of unstable cell membrane and triggered automatism may therefore cause ventricular extrasystoles that initiate re-entry circuits in partially surviving myocardium in the infarction edge zone. The circuits may be small and unstable and have a high frequency. This is manifested as polymorphic ventricular tachycardia and ventricular fibrillation, and may explain our patient's arrhythmias.

    The patient still had electrical storm, and was failing to respond to medication, revascularisation or sedation. It was therefore decided to attempt catheter-based ablation in the hope of stopping the electrical storm.

    Diagnostic electrode catheters were inserted from the left femoral vein to the apex of the right ventricle and to the coronary sinus. A long, transseptal steerable sheath passing through the atrial septum and mitral ostium was used to lead an ablation catheter to the left ventricle for mapping and ablation. A remote-controlled magnetic navigation system was used to steer the ablation catheter. The endocardium of the left ventricle was imaged by means of a three-dimensional electroanatomical mapping system. During the procedure, the patient had several hundred episodes of ventricular fibrillation requiring electroconversion, but he was haemodynamically stable between episodes.

    An infarction area was located anteroseptally. The focus of the ventricular extrasystoles that triggered the ventricular arrhythmias was found in the infarct border zone, corresponding to the location of the anterior fascicle of the left bundle branch. A sharp Purkinje signal was seen 50 ms before the ventricular extrasystoles, and pacing at this site triggered QRS complexes with a morphology identical to the spontaneous extrasystoles. Radio frequency ablation in this area eliminated the ventricular extrasystoles. The rhythm was immediately stabilised to persistent sinus rhythm.

    Radio frequency ablation of the Purkinje fibres that trigger ventricular extrasystoles can stop electrical storm both in connection with idiopathic ventricular fibrillation and after myocardial infarction (14, 15). Prior to ablation treatment of ventricular arrhythmias, anatomic and electrical mapping of the endocardium and if relevant of the epicardium is carried out (Fig. 3). Mapping of the endocardium in the left ventricle can be carried out both by retrograde access of the ablation catheter via the aorta and by transseptal access.

    Figure 3  is a three-dimensional electroanatomical model of the left ventricle viewed from the apex. The colours indicate…
    Figure 3 is a three-dimensional electroanatomical model of the left ventricle viewed from the apex. The colours indicate viability; red is consistent with scar tissue and violet is normal myocardium. The dark red dots mark performed ablation points in the border zone of the anteroseptal infarction area.

    A sophisticated location system can be used for catheter navigation and to make a three-dimensional electroanatomical model of the endocardium of the left ventricle. The scarred areas are accurately mapped, particularly the border zone between damaged and healthy tissue. In the case of electrical storm triggered by ventricular extrasystoles, the focus of the extrasystoles is looked for in particular in areas where there are Purkinje fibres.

    For the next two days there were no episodes of ventricular tachycardia or ventricular fibrillation. The patient then developed monomorphic ventricular extrasystoles with a different morphology from the extrasystoles that triggered the arrhythmias before ablation. An electrical storm with ventricular fibrillation triggered by monomorphic extrasystoles started afresh. The following week he had to be electroconverted 50 – 200 times a day, and he developed large burn sores on his chest. The standard pads with a lead to the defibrillator had to be replaced after 50 shocks. This was a new experience for us. After a while the patient developed pneumonia and kidney failure, but without needing dialysis. There was also a slight fall in his haemoglobin level, but without any certain cause.

    Nine days after ablation, rhythm control had still not been achieved, and it was therefore decided to make a new attempt at ablation. Use of a heart-lung machine (extra-corporeal membrane oxygenation, ECMO) to ensure circulation during the procedure was considered, but not employed.

    When ECMO is used, perfusion of all organs is maintained irrespective of heart function, as the machine ensures adequate circulation of oxygenated blood. Because of the magnetic field surrounding the navigation system for ablation treatment, this was difficult to achieve, however.

    After new, extensive mapping, the focus of the triggering monomorphic ventricular extrasystoles was found in the infarction border area, corresponding to the posterior fascicle of the left bundle branch. Here too there was a clear Purkinje signal 50 ms before the extrasystole, and pacing resulted in identical QRS morphology. A series of electroconversions were needed in connection with the procedure. After ablation, the extrasystoles ceased and the rhythm stabilised for 5 – 6 hours, but the following night a further 32 electroconversions were needed for ventricular fibrillation. The basic rhythm was then slow sinus rhythm with ventricular extrasystoles in bigeminy. Amiodarone treatment was restarted five days after being discontinued, and the patient retained a slow sinus rhythm. The following days there were some scattered extrasystoles, but no further episodes of ventricular tachycardia or ventricular fibrillation.

    However, there were complications in connection with the tracheostomy, which caused bleeding. Clots caused obstruction of the airways and a need for higher respirator pressure, and interventions in the form of bronchoscopy and local surgery were performed. A new attempt to wake the patient was planned, but before that the patient developed acute melena and became haemodynamically unstable. Stress ulcer was assumed to be the cause of the bleeding. Because of newly implanted stents, he was on continuous dual antiplatelet therapy consisting of acetylsalicylic acid and clopidogrel, and this increased the risk of bleeding. Our assessment was that at this time the patient was not a candidate for surgery or endoscopic examination. He died a few hours after the bleeding started.

    Discussion

    Discussion

    The patient was admitted to the hospital with myocardial infarction and was treated according to currently applicable guidelines. The course was complicated, with severe, therapy-resistant arrhythmia. Despite intensive pharmacological treatment and the use of several modern and high-tech treatment methods, he died after receiving electroconversion over 2000 times in the course of 2 weeks.

    Electrical storm is a life-threatening condition that can be difficult to treat. This case history illustrates the fact that catheter-based ablation therapy is a possible strategy when it is not possible to get a situation under control with revascularisation, beta-blocker, antiarrhythmic agents and sedation. If conventional treatment is not effective, ablation therapy should probably be carried out as early as possible. A number of observation studies show that this may be a life-saving procedure, with good long-term results (16, 17).

    In retrospect, one may wonder whether ablation therapy should not have been carried out earlier with our patient. Ablation of the ventricular extrasystoles that triggered ventricular fibrillation enabled us to gain control of the rhythm, but the patient died as a direct result of major gastrointestinal bleeding. It is also unclear how the patient’s cerebral function would have been after so many episodes of transient circulatory arrest. Extracorporeal membrane oxygenation could have been a means of ensuring cerebral circulation in the intensive situation (6). If rhythm control had not been achieved by means of ablation, the ultimate consequence of such treatment could have been a bridge to heart transplantation (6).

    Reverting to the start of this case history, the fact that the patient had clear symptoms of unstable coronary disease for several days before he was hospitalised was an important signal. In this case, delayed revascularisation was probably an important factor in the development of an arrhythmogenic substrate. Patients with symptoms of unstable coronary disease should be hospitalised for medical treatment, early invasive examination and revascularisation.

    The case history illustrates the use of sophisticated high-tech treatment that is available at only a very few hospitals in Norway. We have also discussed the possibility of using ECMO in situations where the patient’s heart function is so poor that sophisticated supportive treatment is the only life saver. The case history illustrates how modern, centralised high-tech therapy can be applied to a small selection of patients with complicated post-myocardial infarction courses. This confronts us with a number of challenges with respect to selection and the right to equal treatment irrespective of place of residence.

    The patient’s family has consented to the publication of the article.

    Comments  ( 0 )
    PDF
    Print

    Recent Articles