Three siblings with progressive respiratory distress as infants

    ()

    sporsmal_grey_rgb
    Article

    The assessment of rare congenital neuromuscular disorders can be difficult. Although muscle biopsy and neurophysiological investigations provide important information, it may be genetic tests that provide the exact diagnosis – sometimes even after the death of the patient.

    In the early 1990s an unrelated couple had a daughter. The mother had a healthy child from a previous relationship. The pregnancy and delivery were normal, and the birth weight was 3 010 g. The girl showed slight twitching in her legs after she was born, but was otherwise clinically normal.

    At the age of six weeks she fell acutely ill and was admitted to the local paediatric ward with rapid, wheezing respiration. She had twitching in her legs, spontaneous bilateral ankle clonus, poor grip reflexes in her hands and feet and variable Moro reflex. EEG and cerebral ultrasound examination were normal, the blood tests showed no obvious aberrations and metabolic screening of the urine was normal.

    A neurological disorder was suspected, but the girl improved somewhat and was discharged home with an appointment to be admitted for a check-up two weeks later.

    Slight twitching in legs and feet in newborns can be a non-specific finding that is usually not of much concern after having excluded hypoglycaemia and hypocalcaemia. The changes in reflexes that were observed at six weeks of age might have central neurological causes. The respiratory distress could have been caused by a respiratory viral infection.

    On admission two weeks later the condition was almost the same, but the breathing pattern was more distressed. Because now a serious neurological disease was suspected, the girl was transferred to the university clinic. On admission she was tachypnoic with intercostal indrawings and paradoxical abdominal movements, but she was smiling and gave good eye contact. She had few spontaneous movements in all four extremities and reduced muscular tone. The deep tendon reflexes were brisk, with ankle clonus, but nevertheless without obvious spasticity. She mainly lay in the opisthotonus position and the Moro reflex was difficult to evoke. No tongue fasciculations were observed.

    A chest x-ray showed paradoxical movements of the diaphragm. Examination of the cerebrospinal fluid with electrophoresis was normal (spinal protein 0.26 g/l and 0.13 g/l (0.10 – 0.30 g/l)), without pathological bands, and she had normal serum creatine kinase (CK) of 104 U/l (35 – 210 U/l). Rapid urine tests for cytomegalovirus (CMV) were positive. Cytomegalovirus antibodies were not detected in the serum or spinal fluid. Neither was cytomegalovirus detected on cultivation, but the mother had a positive CMV-antibody test.

    Muscle biopsy did not show pathology. Neurophysiological examinations at nine weeks of age gave findings indicating distal motor axonal degeneration, but also reduced motor nerve conduction velocity as a sign of demyelinisation (Table 1).

    Table 1

    Clinical neurophysiological investigations including measurement of nerve conduction velocity in patient 1. The following findings are untypical of normal spinal muscular atrophy: low motor nerve conduction velocity, sensory axonal neuropathy, normal electromyography in proximal muscles and absent somatosensory evoked response

    Age

    Examination

    Stimulation

    9 weeks

    8 – 10 months

    11.5 months

    Motor nerve conduction

    Arm

     

    Normal, but decreasing amplitude.

    Low nerve conduction velocity (20 – 27 m/s)

    Low amplitude

    Slightly reduced nerve conduction velocity (25 m/s)

    Leg

    Low amplitude and low nerve conduction velocity (8 m/s)

    No response

    No response

    Sensory nerve conduction

    Arm

    Normal nerve conduction velocity (19 m/s)

    Low amplitude

    Normal nerve conduction velocity (30 m/s)

    No response

    Leg

    Normal nerve conduction velocity (19 m/s)

    No response

    No response

    Electromyography

    Distal muscles

    Normal

    Neurogenic pattern

    Neurogenic pattern

    Proximal muscles

    Normal?

    Normal

    Somatosensory evoked response

    Median nerve at the wrist

    No response (peripheral A-beta neuropathy)

    Auditory brainstem response

    Auricular click sound

     

     

    Normal

    The clinical picture was unclear – with neurological symptoms that could indicate both central and peripheral damage. Reduced motor nerve conduction velocity but normal electromyography (EMG) and normal muscle biopsy did not indicate muscular disease but pointed rather in the direction of some different neurological disorder, and normal serum creatine kinase rendered any further muscular dystrophies unlikely (1).

    The preserved brisk reflexes, ankle clonus and tendency to opisthotonus indicated that first order motor neurons and corticospinal pathways might be affected. Patients with hypotonic cerebral palsy may often have brisk deep tendon reflexes (2). Paradoxical movements of the diaphragm and diaphragmatic paresis, however, indicated damage to the phrenic nerve, and neurophysiological examination also showed peripheral nerve damage with demyelinisation. Muscular hypotonia and reduced spontaneous movements could therefore have both a central and a peripheral cause.

    A demyelinising neuropathy, Guillain-Barré syndrome, possibly triggered by cytomegalovirus infection, was considered. However, in that case changes in cerebrospinal fluid would have been expected, and brisk reflexes are not consistent with this either. It was assumed that the somewhat unclear cytomegalovirus findings could be attributed to prenatal transmission by the mother.

    The condition progressed with increasing peripheral paresis, however the girl appeared mentally alert. She became ventilator dependent from the age of three months. Fluoroscopy showed insufficient contractions of the diaphragm. The bilateral ankle clonus persisted, she preserved some function in her arms and legs, but the strength was reduced and her hand movements were immature.

    Further neurophysiological examinations were undertaken when the girl was eight and 11.5 months old and neurography showed increasing axonal degeneration of motor and sensory nerves. Electromyography showed denervation activity with pronounced denervation of distal muscles and more unspecific responses in her proximal muscles. Somatosensory evoked response showed no peripheral or central responses, interpreted as affection of peripheral myelinated sensory nerves, while the auditory brainstem response was normal (Table 1). Another biopsy from the gastrocnemius muscle at 11 months of age showed large group denervation atrophy, consistent with spinal muscular atrophy.

    The investigations now clearly showed that the lower motor neurons also had axonal damage with denervation of the muscles. Motor nerves were more affected, and electromyography showed a neurogenic pattern.

    The case appeared to be one of a neuromuscular disease, with the characteristics of a progressive muscular atrophy, while affection also of the sensory nerves was inconsistent with an isolated neuromuscular condition. Fasciculations, which can be a finding in spinal muscular atrophy, were never observed.

    The girl died at 14 months old.

    The autopsy yielded normal findings in the brain, cerebellum and brain stem. The diaphragm was very thin, and pronounced large-group atrophy was found in cross-sections of the diaphragm and in the muscles of the arms and legs. No loss of neurons in the spinal cord was described in the first instance.

    2 1/2 years later a second neuropathologist described loss of neurons in the anterior horns of the thoracic medulla, with loss of fibres in the anterior roots. There was no loss of fibres in the sensory roots. A cross-section of peripheral nerves showed fibrosis and only a few myelinated fibres. There was no evidence of Guillain-Barré syndrome.

    The pathological and neurophysiological findings taken together were consistent with a progressive spinal muscular atrophy. The most serious infantile form is called Werdnig-Hoffmann disease, a recessive genetic disorder. However, sensory affection and the pronounced affection of the diaphragm were not consistent with normal Werdnig-Hoffmann spinal muscular atrophy, and the patient was therefore given the diagnosis « a variant of Werdnig-Hoffmann disease with large-group denervation atrophy of the diaphragm». The neurophysiological findings, however, could also have been the result of a hereditary motor sensory neuropathy (1).

    The parents were informed that there might be a 25 % recurrence risk.

    Three years later the couple had a son with a birth weight of 3 650 g. Fluoroscopy revealed normal diaphragm movements. At five weeks old he was admitted to the local hospital with increasing respiratory distress and was then transferred to the university clinic. Chest x-ray showed elevation of the right diaphragm, tilting of the left part of the diaphragm and later on also paradoxical respiratory movements.

    It was assumed that the boy suffered from the same condition as his sister. The parents did not want any ventilator treatment. He died at nine weeks old and no post mortem examination was performed.

    After another year the parents had a second son. The boy weighed 3 500 g and had a normal Apgar score. The parents again noticed that he had some slight twitching in his legs. There were normal diaphragm movements at fluoroscopy. At the age of four weeks he had some respiratory distress. Fluoroscopy revealed elevation and inverse movements of the anterior part of the right diaphragm. No ventilator treatment was given, and the boy died at 7 1/2 weeks old.

    The autopsy revealed a thin diaphragm of only 1 – 2 mm. There was loss of anterior horn cells in the spinal medulla (fig. 1), with very thin anterior roots (fig. 2). There was also a possible loss of fibres in corticospinal pathways throughout the brainstem and in the corticospinal tract laterally in the medulla. Scattered groups of atrophic fibres and scattered hypertrophic fibres were found in the diaphragm (fig. 3). Areas of muscular atrophy were found in the skeletal muscles (fig. 4). The same conclusion was reached that this was a variant of Werdnig-Hoffmann disease.

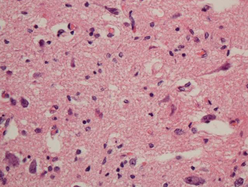
    Figure 1  Anterior horn, possible nerve cell loss (subtle) and slight reactive gliosis. Photo David Schei
    Figure 1 Anterior horn, possible nerve cell loss (subtle) and slight reactive gliosis. Photo David Schei
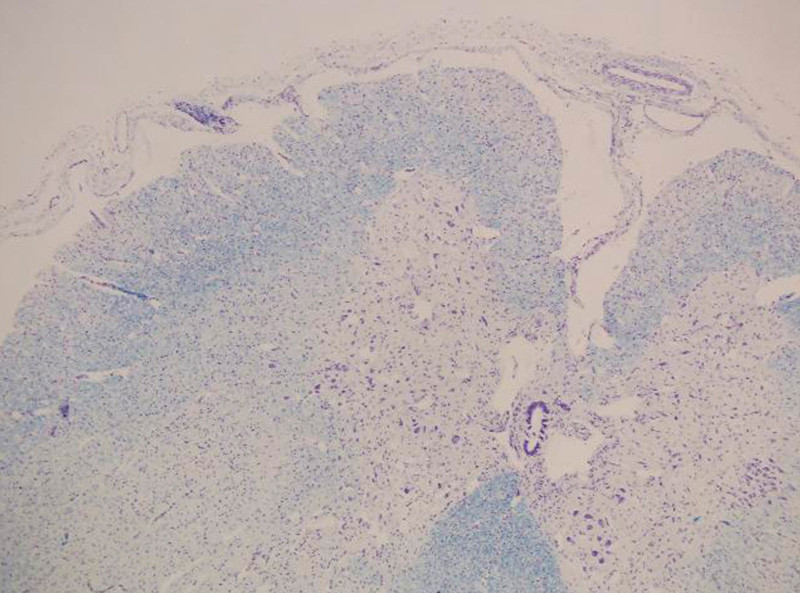
    Figure 2  Medulla spinalis, thin anterior root (top left). Photo David Scheie
    Figure 2 Medulla spinalis, thin anterior root (top left). Photo David Scheie
    Figure 3  Biopsy of diaphragm showing atrophic muscle fibres (arrow). Photo Christina Vogt
    Figure 3 Biopsy of diaphragm showing atrophic muscle fibres (arrow). Photo Christina Vogt
    Figure 4  Biopsy from arm muscle showing grouped muscular atrophy with atrophic fibres (arrowhead) surrounding a bundle of…
    Figure 4 Biopsy from arm muscle showing grouped muscular atrophy with atrophic fibres (arrowhead) surrounding a bundle of near-normal fibres (arrow). Photo Christina Vogt

    In 2001 it known that spinal muscular atrophy with diaphragm paralysis could be attributed to mutations of the immunoglobulin μ-binding protein 2 gene (the IGHMBP2 gene) on chromosome 11q13.2-q13.4 (3). With the permission of the parents, a sample from the girl was examined some years later at the Institute of Human Genetics, The Charité Centre for Gynaecology, Perinatal, Pediatric and Adolescent Medicine with Perinatal Centre and Human Genetics, Berlin.

    It was found that the girl was a compound heterozygote for two mutations of the IGHMBP2 gene. A missense mutation was found on one of the chromosomes – c.1263C>A (p.Ser421Arg) – in exon 9, which was not reported previously, and on the other a known missense mutation – c.1478C>T (p.Thr493Lys) – in exon 10. Both mutations were localised to a functionally important area of the IGHMBP2 gene.

    It was previously shown that the three siblings had inherited the same DNA segments from their mother and father in the area of the IGHMBP2 gene. The brothers must have had the same mutations and the same diagnosis as the sister.

    Discussion

    Discussion

    Spinal muscular atrophies are autosomal recessive disorders that were previously classified according to clinical findings supported by neurophysiological examinations and muscle biopsies. The incidence of spinal muscular atrophy type 1 (SMA1), or Werdnig-Hoffmann disease varies: in Sweden it has been found to be approximately 1/28 000 live births (4).

    The most common cause of spinal muscular atrophy is mutations in the SMN1 gene, but 5 % of patients have no mutations in this gene (5). Among these there is a clinical group in whom respiratory distress occurs at an early stage. This is called spinal muscular atrophy with respiratory distress, or SMARD. Some patients with SMARD are clinically normal at birth, but they develop respiratory distress because of failing diaphragm function at a very early age. This group is now called SMARD type 1 (3).

    The paralysis of the diaphragmatic muscle results in eversion of the diaphragm and paradoxical movements. These patients also have degeneration of the peripheral nerves, including the sensory and autonomic nerves, and frequently the distal muscles are most affected. Deep tendon reflexes may be preserved (6, 7). It has been shown that about one-third of these patients have mutations in the so-called immunoglobulin μ-binding protein 2 gene (IGHMBP2) (3, 6) – (10), and the combination of respiratory distress in the period from six weeks to six months of age and eventration of the diaphragm, or premature birth, are predictors of mutation in this gene with 98 % sensitivity and 92 % specificity (8). Those who do not have the mutation are of different age at onset of the disease, or might have congenital symptoms or multiple contractures, an indication of an early intrauterine development of the disease.

    A differential diagnosis of SMARD1 that has recently been described is EMARDD (early onset myopathy, areflexia, respiratory distress and dysphagia), which is due to mutations in another gene called MEGF10 (11). These patients also have a weakness of the diaphragm, but myopathy is a dominant feature. It is assumed that new genetic differential diagnoses of SMARD will be reported, based on further genetic mapping of this patient group using new sequencing technology.

    Approximately 60 different mutations of the IGHMBP2 gene have been described and the number is increasing. This might be of relevance to the phenotypic variations. A new mutation was also found in our patient. Like ours, the patients are homozygotes or complex heterozygotes for the mutations. Patients who have the mutation in only one allele have been reported, but the clinical significance of this is not clear (7). A few patients have the onset of symptoms as early as two weeks old (7), while in a few the symptoms occur considerably later (8). There are also rare juvenile forms with less serious clinical manifestations (12). A significant clinical variation is described even among siblings with the same mutations (8, 10, 13), and modifying genes influence the course of the disease (14).

    Our patients were assessed as clinically normal at birth. In retrospect we think that the twitching might have been the first signs of the disease. All three developed respiratory distress at the age of 4 – 6 weeks. Paradoxical movements of the diaphragm were diagnosed, and all could be clinically classified as patients with SMARD1.

    Genetic causes of SMARD1 were not known until several years after the death of our youngest patient. The history of the girl shows how difficult it is to reach a definitive diagnosis without genetic diagnostics. Various specialists made different findings and made partly diverging assessments and conclusions. Even after autopsy of two of the patients, with assessments by experienced neuropathologists, it was difficult to reach a final diagnosis.

    The neuropathological findings vary in these patients. Muscular atrophy is found in all, and many describe changes in the peripheral nerves. Although the condition is classified as a spinal muscular atrophy, the expected changes in the anterior horn motor neurons of the medulla are not found in all cases (7). Loss of neurons was found in our two patients who were examined. Both neuropathological findings and neurophysiological results indicate peripheral axonal changes and/or progressive affection of both motor and sensory nerves, where motor nerves are affected first and most severely.

    Neurophysiological investigation still has a place in the diagnostic assessment of children with atypical neuromuscular diseases when genetic analyses have not provided a diagnosis (15, 16). However, where there is a specific clinical suspicion, relevant genetic investigations should be the primary course of action (17).

    For the parents it was an inconceivable tragedy to lose their three children. The parents were supported in their choice of treatment for their sons. If the correct diagnosis and prognosis of the first child had been known, the decision to start mechanical ventilation would have been more difficult. Evaluation and practice vary (18), since these patients can also live for many years with ventilator treatment (19, 20). There is no established treatment, but the increasing understanding of the genetic background of the SMA group has led to trials of potentially useful medicines (21).

    Carrier frequency and the frequency of spontaneous mutations in our population are not known. To our knowledge our patients are the first to be diagnosed with SMARD type 1 in Norway.

    These cases show the importance of keeping patient material (spleen sample, skin biopsy or blood sample) for later DNA analyses. In this case the cause was found more than ten years after the death of the first patient.

    The parents have been informed about the result. The confirmation of the very serious prognosis provides retrospective support for the choices they made together with the health personnel.

    The parents of the children have given their consent to the publication of this article. We wish to thank senior consultant David Scheie at the Department of Pathology, Oslo University Hospital, Rikshospitalet, for two of the photographs.

    Comments  ( 0 )
    PDF
    Print

    Recent Articles