Ectopic thyroid

    ()

    sporsmal_grey_rgb
    Article

    An incidental finding on a CT thorax revealed a tumour in the floor of the mouth of a woman in her 80s. Because of the patient’s anatomy, the CT thorax had been taken at a higher section than normal. The patient was referred to the Ear, Nose and Throat Department for assessment.

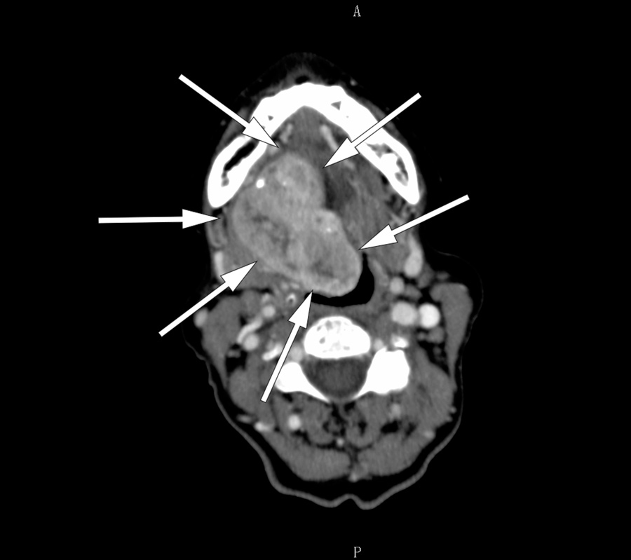
    A CT neck scan using contrast medium (left) showed a large tumour in the floor of her mouth. An MRI neck scan with contrast (right) showed irregular contrast enhancement in the tumour. Fine-needle cytology revealed tissue most consistent with thyroid gland with no sign of malignancy. The findings indicated ectopic thyroid, and re-examination of the CT images showed an absence of thyroid tissue in the usual location. Blood tests showed that the patient was euthyreotic and negative for antithyroperoxidase and antithyroglobulin antibodies.

    The patient’s ectopic thyroid was well-functioning and the only thyroid tissue she had, and should therefore not be removed. There was no indication for further treatment (1).

    Ectopic thyroid is defined as functional thyroid tissue outside the normal anatomic location. The condition arises as a result of abnormal migration from the median thyroid anlage by the foramen caecum along the thyroglossoid duct in the fetal stage. All known thyroid disorders may also arise in ectopic tissue (1, 2).

    The patient has consented to the publication of the article.

    Comments  ( 0 )
    PDF
    Print

    Recent Articles