Man with macrocephaly, learning disability and multiple basal cell carcinomas

    ()

    sporsmal_grey_rgb
    Article

    A young man with multiple basal cell carcinomas was referred to Oslo University Hospital on suspicion of a rare syndrome. Rare disorders can be difficult to diagnose correctly, as illustrated in this case report.

    A man in his late 20s was referred to Oslo University Hospital on suspicion of a rare syndrome. He had multiple basal cell carcinomas, several of which were localised to the scalp (Fig. 1).

    According to the medical records, he was born at term after a normal pregnancy. His parents were ethnic Norwegians, healthy and unrelated. It was noted on the maternity ward that he was a large baby – birth weight was approximately 5,000 g, length 58 cm and head circumference 41 cm. The large head raised suspicion of hydrocephalus, but the boy had no symptoms of pressure build-up. He was sent to a university hospital and, after several examinations, surgery was planned. This was called off when it was decided that his condition did not reflect hydrocephalus, but cerebral gigantism (Sotos syndrome).

    Figure 1  The patient at first visit to the dermatologist. a) Weeping sore in a basal cell carcinoma behind the ear. b)…
    Figure 1 The patient at first visit to the dermatologist. a) Weeping sore in a basal cell carcinoma behind the ear. b) Overview showing basal cell carcinomas on the scalp. c) Large basal cell carcinoma on the scalp with central ulceration and pigmented ridges

    The medical records do not describe how this conclusion was reached, but the case illustrates that macrocephaly does not always reflect hydrocephalus. It could be familial, or part of a rare syndrome, for example Sotos syndrome, Gorlin syndrome, Cowden syndrome, Fragile X syndrome, neurofibromatosis type 1, metabolic disorders or other conditions.

    Sotos syndrome is characterised by extreme growth in height and/or macrocephaly, learning disabilities of varying severity and characteristic facial features, such as a long, narrow face. Cardiac anomalies, renal anomalies and other congenital malformations may be present. Mutations in the NSD1 gene cause Sotos syndrome (1).

    Rare disorders should, whenever possible, be confirmed genetically to allow conclusions to be drawn about prognosis, inheritance and recurrence risk. Incorrect diagnosis can have serious consequences.

    The boy was followed up regularly at the local paediatric unit. At primary school age he was referred to the child and adolescent psychiatric unit for tests due to developmental delay – delayed speech acquisition and impaired development of fine and gross motor skills. The Educational Psychology Service monitored the boy. He had an assistant and extra classes at school.

    He had regular appointments with an ophthalmologist due to hypermetropia and periodic inward strabismus. He was seen by a physiotherapist and was given insoles for the treatment of pes planus.

    When he was about ten years old, he was found to have problems with finger grip due to reduced flexion in the outer joints of both thumbs. Lack of flexion was also seen in the outer joints of both big toes. He underwent unsuccessful surgery on one thumb; it was decided against surgery on the other due to the presence of «quite atypical abnormalities».

    At the end of primary school his height was 5 cm above the 97.5th percentile, his weight in the 90th percentile, head circumference 4.5 cm above the 97.5th percentile and his shoe size equivalent to a UK size 10.

    When he was in his late teens, he developed swelling and pain in the jaw. He underwent surgery for bilateral mandibular cysts. Histological examination revealed that they were keratocysts (keratocystic odontogenic tumours).

    The man consulted his general practitioner (GP) in his late 20s for removal of a troublesome mole by one ear. The GP did not know him well, as the patient had rarely visited the doctor. He noticed that the man had several skin lesions as well as macrocephaly and referred him to the dermatologist at the local hospital.

    The dermatologist discovered several basal cell carcinomas (Fig. 1) and referred the patient to the ear, nose and throat (ENT) specialist and to an ophthalmologist for removal of lesions by the ear and eyelid. The dermatologist and ENT specialist suspected Gorlin syndrome and referred the patient to Oslo University Hospital, where this diagnosis was confirmed.

    The patient had multiple basal cell carcinomas that were difficult to treat at the time of diagnosis. A mutation was detected in the PTCH1 gene. He was assessed by the oral and maxillofacial surgeon and was diagnosed with two jaw cysts in need of surgery.

    Discussion

    Discussion

    Gorlin syndrome, also known as nevoid basal cell carcinoma syndrome, was first described in 1960. The clinical findings were a basal cell carcinoma, jaw cysts and bifid rib (2). In 1968, the condition was described in a Norwegian family (3). The Centre for Rare Disorders is the Norwegian national centre of excellence for this disorder, and about 40 people with the syndrome are registered with the centre. Gorlin syndrome is probably underdiagnosed in Norway. The incidence is estimated to be around 1 : 30,000 (4), which would indicate that there are about 170 cases nationwide.

    The diagnosis is made clinically if the patient fulfils two major criteria and one minor criterion, or one major criterion and three minor criteria (Box 1) (5, 6). This is one of several classifications (7, 8). Patients may have a variety of congenital malformations (8). Mutation in the PTCH1 gene is found in 85% (6), and inheritance is autosomal dominant. The disorder has high penetrance and variable expressivity (6, 9). The de novo mutation rate is over 50% (4). Life expectancy is believed to be over 70 years (10).

    BOX 1

    Clinical diagnostic criteria for Gorlin syndrome (6). The diagnosis is made clinically if the patient fulfils two major criteria and one minor criterion, or one major criterion and three minor criteria.

    Major criteria

    Multiple basal cell carcinomas (more than five in lifetime) or one basal cell carcinoma before 30 years of age

    Jaw cysts

    Palmar or plantar pits

    Meningeal calcification

    First-degree relative with the disorder

    Minor criteria

    Vertebral/rib malformation

    Macrocephaly (> 97th percentile) with prominent forehead

    Cardiovascular or ovarian fibroma

    Medulloblastoma

    Lymphomesenteric cysts or pleural cysts

    Cleft lip/palate

    Preaxial or postaxial polydactyly

    Ocular anomalies (cataracts, developmental abnormalities, pigment changes in the retina)

    The GP observed that the original diagnosis did not fully capture the symptoms of the patient, who was by then in his late 20s. He made the referral to a specialist, who suspected Gorlin syndrome and referred the patient on to Oslo University Hospital, where this diagnosis was confirmed. A review of the case history illustrates the challenges of recognising and diagnosing a rare disorder. A disorder is regarded as rare when there are fewer than 100 known cases per million inhabitants (11). In Norway, approximately 30,000 people are living with rare disorders (12), so taken as a whole, they make up a significant group.

    Macrocephaly, skeletal malformations, ocular changes, learning disabilities and jaw cysts are unlikely to occur together by coincidence. The boy had been diagnosed with a rare disorder, Sotos syndrome. The oral and maxillofacial surgeon who operated on the jaw cysts was aware of this diagnosis and therefore did not link the jaw cysts to what later proved to be the correct diagnosis in this case. Unfortunately the patient did not attend a follow-up appointment with the oral and maxillofacial surgeon.

    The patient had a learning disability. To our knowledge, there are no published studies describing learning disabilities in patients with Gorlin syndrome (6). The fact that the patient had already been diagnosed with a rare disorder and had a learning disability may have led to Gorlin syndrome not being considered earlier. For rare disorders where the diagnosis cannot be confirmed by mutation analysis or clinical criteria, the patient should be reassessed after a few years. An incorrect diagnosis can have serious consequences for the patient in terms of follow-up and prognosis, and for the family with regard to inheritance and recurrence risk.

    There are no national assessment, treatment or follow-up procedures for patients with Gorlin syndrome in Norway, but there are international guidelines that we recommend should be followed (6, 13). The GP should assist with the coordination of follow-up.

    Treatment is symptomatic. There is an increased risk of medulloblastoma in the first three years of life (14). A paediatric neurologist should monitor the patient’s psychomotor development and assess the need for MRI. Children and newly diagnosed adults should be examined for possible ocular defects. The heart and ovaries should be examined for fibromas and operated on or monitored as required. A dermatologist should also monitor the patient, as basal cell carcinoma is a common symptom. Standard treatment of basal cell carcinoma consists of surgery, cryotherapy, photodynamic therapy (PDT), topical immunomodulatory agents or laser ablation.

    Radiotherapy should not be used in patients with Gorlin syndrome, if it can be avoided, as it is associated with an increased risk of radiation-induced tumours and new basal cell carcinomas. Diagnostic x-ray or CT scans are also associated with this risk (15) and must be used with caution. Radiotherapy for medulloblastoma in children with the syndrome has led to radiation-induced brain tumours and innumerable basal cell carcinomas (16, 17). Sun exposure without adequate protection increases the risk of basal cell carcinoma. Little exposure to sunlight leads to low vitamin D levels (18).

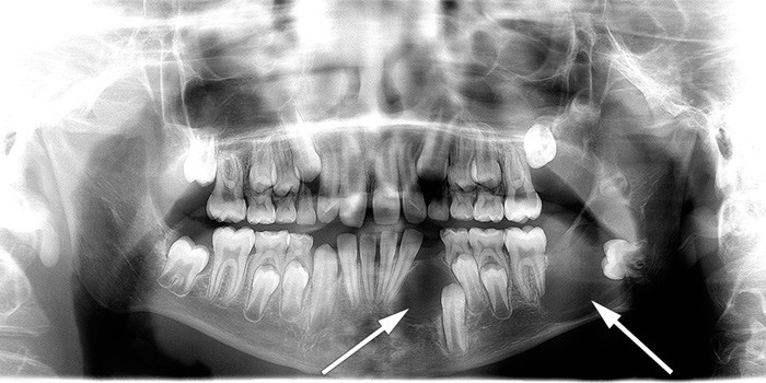
    Patients should be monitored periodically for jaw cysts. Such cysts can become large and can displace teeth (6, 8). We recommend that examinations are carried out using a digital orthopantomogram (OPG) (Fig. 2) by a maxillofacial radiologist or dentist who is familiar with performing and interpretating this test. The National Resource Centre for Oral Health in Rare Medical Conditions at Lovisenberg Diakonale Hospital can be contacted for questions relating to the teeth and jaws.

    Figure 2  Illustrative image showing jaw cysts. Orthopantomography (OPG) of a boy diagnosed with Gorlin syndrome. In the…
    Figure 2 Illustrative image showing jaw cysts. Orthopantomography (OPG) of a boy diagnosed with Gorlin syndrome. In the image mixed dentition can be seen together with two large cystic radiolucencies in the mandible (arrows). Histological examination revealed keratocysts (keratocystic odontogenic tumours). Consent has been given for publication of the image

    The need for psychosocial support must be considered (19). The patient and their family should be offered a referral for genetic counselling and informed about the Centre for Rare Disorders. In families in which the genetic defect is known, predictive testing of first-degree relatives, including children, is recommended, because the results will have consequences for further follow-up, prevention and treatment (6, 13).

    A pharmaceutical alternative has recently become available for the treatment of basal cell carcinomas when standard treatment is no longer sufficient. These drugs are called «hedgehog inhibitors» (Box 2) (20). They work by blocking the signalling pathway that, because of mutations in PTCH1, is activated upon development of basal cell carcinomas in all patients – not just those with Gorlin syndrome (21, 22). The drug is available in capsule form (vismodegib) and was approved for clinical use in locally advanced basal cell carcinoma in Norway in August 2013.

    BOX 2

    «Hedgehog inhibitors» inhibit the hedgehog signalling pathway in cells. The name «hedgehog» stems from experiments in which fruit flies were given a specific mutation. The mutation led to the fly larvae becoming small and hairy, such that they resembled hedgehogs. The signalling pathway has subsequently been shown to be central to the development of conditions including basal cell carcinoma. Inhibition of this signalling pathway has therapeutic efficacy in basal cell carcinoma (20).

    Summary

    Summary

    Gorlin syndrome is a rare genetic condition in which patients may develop medulloblastomas, jaw cysts and basal cell carcinomas and show congenital skeletal malformations. If left undiagnosed, Gorlin syndrome can have a number of negative consequences. Early diagnosis and good follow-up is important for all patients with rare disorders.

    We wish to make doctors and dentists aware of Gorlin syndrome so that, whenever the syndrome is suspected or a patient has been diagnosed, the patient is referred for assessment, treatment and follow-up by specialists who know the disorder well. Dermatology departments at university hospitals and departments of medical genetics have a key role to play in assessment and follow-up.

    A national support group for Gorlin syndrome has been established, consisting of a dermatologist, oncologist, geneticist, paediatrician, specialist dentist, ophthalmologist, orthopaedic surgeon, plastic surgeon, oral and maxillofacial surgeon and counsellors. Patients, relatives and health professionals can contact the Centre for Rare Disorders directly for information about Gorlin syndrome, or to be put in touch with members of the group.

    The patient has consented to the publication of this article. We thank the patient, his mother, and his GP, dermatologist, and oral and maxillofacial surgeon for information about the clinical course. We are grateful to the dermatologist for the loan of photographs of the patient. It has unfortunately not been possible to contact all the doctors who were involved in the patient assessment.

    Comments  ( 0 )
    PDF
    Print

    Recent Articles