A young woman with slender hands

    ()

    sporsmal_grey_rgb
    Article

    A young woman developed slowly increasing atrophy and weakness of the small hand muscles, beginning in her late teens. All other musculature was unaffected. A thorough work-up and literature search eventually revealed a very rare diagnosis.

    A woman in her early 20s was referred for neurological examination due to slowly progressive atrophy of the small hand muscles and increasing weakness of the left and eventually also right hand. Symptoms began in her late teens.

    The woman had always been healthy, with no known family history of neurological disease. She described reduced fine motor skills and difficulty writing because she struggled to grip the pen. This was not accompanied by pain or loss of sensation. She had not seen any signs of functional decline in the proximal musculature of the arms or in the lower extremities.

    Neurological examination revealed marked atrophy and paresis of the small hand muscles innervated by the ulnar and median nerves, especially the thenar, hypothenar, lumbricals and interossei (Fig. 1, Fig. 2). There was no definite atrophy or paresis of the forearm musculature. She had normal flexion and extension power in the wrist, such that more proximal ulnar- and median-innervated musculature, as well as radial-innervated musculature, was judged to be intact. There was no visible atrophy or paresis of the upper arm or shoulder girdle musculature, and there was normal muscle fullness with good symmetrical power in both lower extremities.

    Figure 1  Marked atrophy of the small hand muscles, palmar aspect
    Figure 1 Marked atrophy of the small hand muscles, palmar aspect
    Figure 2  Marked atrophy of the small hand muscles, volar aspect
    Figure 2 Marked atrophy of the small hand muscles, volar aspect

    Fine finger movements were reduced in speed, reflecting the paresis, but otherwise normal. No fasciculations were observed and tests of coordination were unremarkable. The patient reported normal sensation for all types of sensory stimuli. Reflexes were of average liveliness and symmetry, and plantar reflexes were flexor. She had no neck pain, free movement of the cervical spine and was negative for Lhermitte’s sign. Cranial nerve examination and mental status were unremarkable.

    The relatively slow symptom progression meant that a neurodegenerative disease, such as spinal muscular atrophy, was an obvious possible diagnosis. However, it would be unusual for only the small hand muscles to be affected.

    Other possible diagnoses we initially took into consideration were benign forms of motor neuron disease, structural lesions of the cervical spine, a form of motoric neuropathy and neurogenic thoracic outlet syndrome. The possibility of an atypical form of plexus neuritis was also considered, although we regarded this as less likely because there was no pain. The clinical picture was fairly unusual – with findings suggestive of an isolated lower motor neuron involvement delimited to medullary level C6 to Th1.

    An extensive work-up was performed with blood tests, MRI of the head and medulla, and cerebrospinal fluid examination. A clinical neurophysiological examination with MR neurography of both upper extremities and the lower right extremity, as well as electromyography (EMG) from both right extremities, was also carried out.

    Blood tests, including creatine kinase (CK), which was checked several times, were completely normal. Ganglioside (GM1) antibodies were negative. Cerebrospinal fluid examination yielded normal results.

    MRI of the spinal cord showed marked atrophy from C4 to Th2 and two longitudinal symmetrical T2-weighted hyperintense lesions from C2 to Th2 (<<<. 3, Fig. 4), confined to the anterior horn area of the medulla. The changes were not considered consistent with syringomyelia, demyelinating plaques, tumour or transverse myelitis. MRI of the head was normal.

    In the upper extremities, sensory and motor nerve conduction velocities for the median and ulnar nerves were within normal ranges. Low motor response amplitudes were recorded for the left median and both ulnar nerves, in the order of 0.7 – 2.5 mV (normally > 4 – 5 mV, but atrophy will affect the amplitude). F-responses were delayed in both ulnar nerves, approximately 30 – 35 ms (normally < 28 ms), difficult to detect for the right median nerve and in the upper range of normal for the left median nerve. Neurographic examination, including F-responses in the lower extremities, was normal.

    The number of needle pricks in the EMG test was limited, as the patient was afraid of needles, but electromyography from the right extremities revealed chronic peripheral neurogenic changes in the abductor digiti minimi muscle and extensor group, while in the first dorsal interosseous, subacute peripheral neurogenic changes were seen with signs of mild denervation. There was no evidence of fasciculations in the muscles examined. EMG findings were normal in the proximal musculature of both the upper and lower extremity.

    Figure 3  Sagittal T2-weighted cervical MRI with atrophy of the medulla from C6 to Th2 and hyperintense lesion from C4 to Th2
    Figure 3 Sagittal T2-weighted cervical MRI with atrophy of the medulla from C6 to Th2 and hyperintense lesion from C4 to Th2
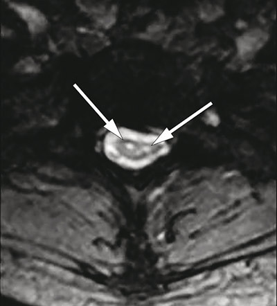
    Figure 4  Axial T2-weighted MRI of cervical medulla with symmetrical hyperintense lesions localised to the site of the…
    Figure 4 Axial T2-weighted MRI of cervical medulla with symmetrical hyperintense lesions localised to the site of the anterior horn cells

    The patient had an unusual clinical condition and very unusual MRI findings in the spinal cord. After conferring with several neuroradiologists, we were no closer to an aetiological diagnosis. While we were still leaning towards a form of distal spinal muscular atrophy, neurophysiological examination did not reveal the classic changes expected in spinal muscular atrophies, wherein the proximal musculature and lower extremities are usually the most affected. In our patient, most changes were seen distally in the upper extremities. Delayed F-response with normal conduction velocities suggested a proximal abnormality near the nerve root.

    There was no neurophysiological evidence for amyotrophic lateral sclerosis, nothing to suggest simultaneous denervation and reinnervation in most of the muscles examined, and no spontaneous activity. Non-reduced amplitudes proximally compared with distally, and negative GM1 antibody status, argued against multifocal motor neuropathy with conduction block. Normal ulnar and median distal latencies meant that there was also no evidence for pathology of Guyon’s canal or the carpal tunnel. Creatine kinase was normal and there were no EMG changes typical of myopathy.

    Another possible cause of atrophy and paresis of the small hand muscles is neurogenic thoracic outlet syndrome. This condition results from compression of the brachial plexus, often by a cervical rib, and generally begins with pain or paresthesia in the ulnar region of the arm. In our patient, no anomalies were detected in the cervical spine. As she had never had pain or paresthesia either, this differential diagnosis was also regarded as unlikely.

    Following an internet search we found an article from 1978 in which O’Sullivan & McLeod described six patients with chronic distal spinal muscular atrophy affecting the hands (1). These patients had a 10 – 30 year history of slowly progressive wasting and weakness of the small hand muscles, and in all six individuals, clinical abnormalities were limited to the hands.

    According to the authors there was no clinical or radiological evidence for peripheral or proximal nerve root involvement or for a disorder of the central nervous system. Neurophysiological examinations confirmed that the muscle atrophy was the result of a chronic partial denervation. Motor and sensory nerve conduction velocities were normal, and cervical myelography revealed no pathology. Clinical, radiological and neurophysiological findings were interpreted as consistent with a chronic degeneration of motor anterior horn cells. The condition has subsequently been named O’Sullivan-McLeod syndrome.

    In our patient, there has been no definite progression of the condition in ten years, based on clinical and MRI data.

    Discussion

    Discussion

    Spinal muscular atrophies (SMA) are a heterogeneous group of disorders that usually begin with weakness in proximal muscle groups as a result of slowly progressive lower motor neuron degeneration. Most spinal muscular atrophies are hereditary, but sporadic cases also occur. Rarer and localised variants with distal musculature involvement and relatively good prognosis have been described (2, 3).

    In other forms of distal spinal muscular atrophy, such as SMA-V, both upper and lower extremities are affected. Charcot-Marie-Tooth type 2D (CMT) is an inherited polyneuropathy with a similar phenotype to SMA-V (4). The main difference between these two conditions is distal sensory loss in patients with Charcot-Marie-Tooth type 2D. Both conditions show autosomal dominant inheritance and are therefore unlikely in our patient, although the possibility of a de novo mutation remains. The anamnesis provided no evidence to suggest a hereditary neurological disorder.

    Another condition with similar clinical features is Hirayama disease. This is a benign, non-familial focal amyotrophy, which typically affects an upper extremity. The condition most often affects young men, and is more prevalent in Asians than in Caucasians (5). Bilateral manifestations of Hirayama disease have been described (6). Some authors believe that these two conditions are identical (7). However, in O’Sullivan-McLeod syndrome, clinical findings are limited to atrophy and paresis of the small hand muscles, whereas Hirayama disease as a rule also affects the musculature of the forearm and upper arm. Hirayama disease is therefore known additionally as monomelic amyotrophy.

    The aetiology of Hirayama disease is controversial. Mechanical deformation of the cervical medulla during neck flexion due to insufficient growth of the dura relative to the spine during adolescence is one possible cause (8). Two studies have reported focal atrophy and MRI signal changes in the cervical medulla in Hirayama disease (9, 10).

    Several case reports and a few MRI studies have been published on O’Sullivan-McLeod syndrome, but no review articles. In 1989, Gaio and co-workers (11) published a series of five patients. MRI of the cervical and thoracic spine was performed in four patients with T1- and T2-weighted images. The T1-weighted series revealed flattening of the medulla from C5 to Th1 and normal conditions from C1 to C4. The findings were interpreted as segmental spinal atrophy of the medulla. No signal changes were detected in the medulla.

    In 2000, Petiot and co-workers (12) published a case report on a 41-year-old woman with O’Sullivan-McLeod syndrome. Over a period of 20 years, the patient had developed a slowly progressive asymmetrical weakness in both hands. There was no family history of neurological disease. MRI of the cervical spine revealed symmetrical hyperintense lesions in T2-weighted images, corresponding to an area of anterior horn cells extending from C6 to C7. The diameter of the cervical medulla was considered normal.

    The aetiology of O’Sullivan-McLeod syndrome is unknown, although it is presumably a neurodegenerative disorder. There is no evidence that the condition is hereditary. A pathophysiological mechanism similar to that of Hirayama disease is conceivable, but has not been described in the literature. There has been discussion as to whether immune-mediated neuronal damage may be a contributory factor in the pathogenesis, based on a case report in which transient improvement of muscle wastage was seen after treatment with intravenous immunoglobulin (13).

    Other than this single report, no specific treatment has been described. Because the condition is very rare, it will not be possible to conduct randomised controlled trials; however, the prognosis seems to be good.

    Conclusion

    Conclusion

    O’Sullivan-McLeod syndrome is a rare form of distal spinal muscular atrophy with relatively good prognosis. The diagnosis is based upon clinical and neurophysiological examinations and characteristic MRI changes with segmental atrophy in the cervical medulla and hyperintense lesions in the anterior motor neuron area.

    The patient has consented to publication of this article.

    Comments  ( 0 )
    PDF
    Print

    Recent Articles