A man in his 50s with high ferritin levels and increasing cognitive impairment

    ()

    sporsmal_grey_rgb
    Article

    A healthy man in his late 30s was found to have elevated ferritin levels, which raised suspicion of haemochromatosis. He was treated for many years with phlebotomy, but in his 50s developed progressive neuropsychiatric symptoms. A blood test finally provided a diagnosis – more than 20 years after the illness first appeared.

    According to medical records, the patient was in his late 30s when he was found by chance to have elevated serum ferritin of around 800 μg/l (34 – 300 μg/l), transferrin saturation 11 – 16  % (20 – 45  %), serum ALT 90 U/l (10 – 50 U/l) and haemoglobin 12.8 g/100 ml (13.4 – 17.0 g/100 ml). He had been a blood donor and had given blood seven times, but had to stop because of a tendency to low haemoglobin levels. Apart from increased fatigue, he was otherwise healthy and was in full-time employment.

    He was referred to the haematology outpatient clinic. The low transferrin saturation argued against haemochromatosis, and liver disease with secondary hyperferritinemia was therefore considered more likely.

    Measurement of serum ferritin is common in general practice, and moderate hyperferritinemia is a relatively frequent finding (1). Transient increases are seen in acute inflammatory disease with increased synthesis of ferritin and other acute-phase proteins, and in conditions that result in damage to hepatocytes and leakage of ferritin, particularly hepatitis and sporadic excessive alcohol consumption (2). Persistent hyperferritinemia is seen in chronic conditions such as alcoholism, infection, inflammatory disease, fatty liver, diabetes, some cancers, haemolysis and iron overload due to hereditary haemochromatosis (1, 3).

    In a healthy man in his 30s or 40s, a stable elevated ferritin level of 500 – 600 μg/l is suggestive of preclinical hereditary haemochromatosis. Mildly elevated serum ALT and fatigue, as in our patient, are common initial symptoms of the transition to clinical stage disease. However, the low transferrin saturation was inconsistent with this diagnosis, as elevated transferrin saturation, above 45  %, is a pathognomonic feature of hereditary haemochromatosis (4).

    The patient was monitored by the haematology outpatient clinic. Although the cause of his illness remained unclear, he was assumed to have iron overload, and treatment with phlebotomy was therefore attempted along the same lines as for haemochromatosis. As expected, serum ferritin and ALT levels fell, as did transferrin saturation. Because of his tendency to low haemoglobin levels, with accompanying risk of anaemia, the interval between phlebotomy sessions was increased. In treatment-free periods, serum ferritin levels increased with improvement of haematological status.

    The hyperferritinemia was considered to reflect a pathogenic iron overload that could be rectified via phlebotomy. Phlebotomy stimulates erythropoiesis to replace the blood that has been lost (4). Increased haemoglobin synthesis increases iron requirements in the bone marrow, and anaemia is avoided as long as there is iron left in the iron stores of the body. Since phlebotomy led to anaemia, the goal of treatment was changed from abolishing the iron overload to limiting it in our patient.

    The medical records state that when the patient was in his 50s, he had insulin-dependent diabetes, blurred vision due to mild non-proliferative retinopathy and memory impairments that affected his daily life. He was still in employment. In the preceding four years, phlebotomy had been performed roughly every four months.

    Ferritin level was 400 – 500 μg/l, serum ALT 70 – 80 U/l, transferrin saturation < 20  % and serum soluble transferrin receptor (sTfR) had increased to 2.1 mg/l (0.8 – 1.5 mg/l). Liver biopsy showed moderate steatosis, fibrosis and abundant iron deposition in hepatocytes, but not Kupffer cells. Genetic testing, which had recently become available, failed to reveal a mutation in the haemochromatosis gene HFE, which is the most common cause of hereditary haemochromatosis.

    The patient had an iron deposition disorder with a pattern of laboratory test results that excluded «classic haemochromatosis». Instead, the condition showed greater resemblance to another hereditary haemochromatosis variant, type 4, which had recently been described in the literature and named ferroportin disease (5).

    Normal HFE gene status, low transferrin saturation, functional iron deficiency with increased sTfR, tendency to hypochromic anaemia and reduced tolerance for phlebotomy despite iron deposition in the liver and hyperferritinemia, are the main features of inherited autosomal dominant ferroportin disease (5). This tallied well with findings in our patient. However, the liver biopsy, which was negative for iron deposition in the Kupffer cells, and the overall clinical picture, with diabetes, retinopathy and cognitive impairment, did not.

    While in his 50s, the patient was admitted to the neurology department because of transient symptoms that were attributed to a small posterior circulation infarct, according to the medical records. T2-weighted MR of the head showed pronounced hypointensities of the basal ganglia and the dentate nucleus of the cerebellum, while MR angiography was unremarkable. In the description of the MR images, the hypointensities are interpreted as central iron deposits in the brain.

    In the ensuing years, the patient showed increasing cognitive impairment as well as personality changes, becoming increasingly aggressive. He gave up work. His GP referred him for outpatient assessment in a geriatric psychiatric unit. According to the medical records, electroencephalography (EEG) revealed non-specific frontotemporal dysfunction, consistent with mild encephalopathy. MRI of the head (DWI- and SWI- sequences) showed generalised iron deposits in both cortex and cerebellum. In his late 50s, he was admitted to the unit for investigation of dementia.

    Brain fluorodeoxyglucose positron emission tomography (FDG-PET) showed non-specific pathological changes. Abdominal MRI revealed moderate iron deposition in the liver, and atrophy with significant fatty infiltration of the pancreas. The patient was discharged with a diagnosis of unspecified moderate dementia with frontal syndrome and was referred to the neurology department for further investigation of the disease aetiology.

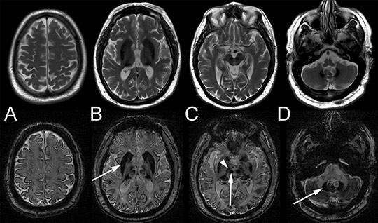
    Neurological examination revealed unsteady gait, ataxia in the knee-heel test, abnormal performance in the finger-nose test, intention tremor and slow saccades, which could indicate cerebellar disease. MRI of the head revealed widespread iron deposits in the cerebral cortex, brainstem nuclei and basal ganglia (Fig. 1), but not in the meninges. Cerebrospinal fluid was normal, apart from slightly elevated total protein. Examination of dementia markers revealed a non-specific increase in tau protein and normal β-amyloid.

    Figure 1  Cerebral MRI of the patient in his late 50s. T2-weighted (upper row) and susceptibility-weighted (SWI, bottom row)…
    Figure 1 Cerebral MRI of the patient in his late 50s. T2-weighted (upper row) and susceptibility-weighted (SWI, bottom row) series. SWI is significantly more sensitive to iron deposition than the T2 series. There is widespread and symmetrical iron deposition, with deposits revealed by hypointensities in the cerebral (A) and cerebellar cortex (D), striatum (arrow in B), red nucleus and substantia nigra (arrow and arrowhead in C) and the dentate nucleus of the cerebellum (arrow in D)

    The patient had iron deposition centrally in the brain, with progressive neurological symptoms and pathology in several areas of the central nervous system, including the retina. This combination of neurological symptoms plus iron accumulation in the brain and other organs is seen in a number of distinct progressive conditions known as «neurodegeneration with brain iron accumulation» (NBIA) (6, 7). In these disorders, the accumulation of iron in the brain, particularly in the basal ganglia, can most easily be seen in T2-weighted and susceptibility-weighted MR images (SWI).

    Several of the following conditions were considered:

    Neuroferritinopathy produces iron deposition in the basal ganglia, but serum ferritin levels are often low. The disease can give rise to parkinsonism, but shows greater phenotypic resemblance to Huntington’s disease (6).

    Superficial siderosis gives rise to iron deposition due to breakdown of haemoglobin in the cerebrospinal fluid. The cause is often chronic bleeding into the subarachnoid space. Common symptoms include sensorineural hearing loss, ataxia, pyramidal signs and dementia. Our patient had no iron deposition in the meninges and no known source of bleeding.

    Wilson’s disease is a genetic disorder that produces copper deposition in the brain, liver and corneas, with the development of liver cirrhosis, neuropsychiatric symptoms, movement disorders and haemolytic anaemia (8). A Kayser-Fleischer ring in the cornea is a pathognomonic sign. The disease is characterised by low serum levels of copper and ceruloplasmin, and high levels of copper in the urine. However, neither the liver biopsy nor eye status of our patient, nor his metal deposits were typical of Wilson’s disease.

    Another iron deposition disorder with low serum copper and ceruloplasmin is aceruloplasminemia (6).

    On suspicion of this condition, quantification of serum copper and ceruloplasmin was requested. Levels of both were found to be too low to measure: serum copper < 2.0 μmol/l (13 – 21 μmol/l) and serum ceruloplasmin < 0.04 g/l (0.22 – 0.38 g/l). A diagnosis of aceruloplasminemia was therefore made on the basis of typical clinical, imaging and biochemical features.

    At the time of diagnosis, the man was almost 60 years old. He had significant iron deposition in the brain and showed cognitive impairment, dementia, chronic fatigue and neurological symptoms consistent with cerebellar damage, such as difficulties with coordination and gait, dysarthria, intention tremor and dysdiadochokinesia.

    Treatment with a drug that binds iron and excretes it in the urine, a so-called chelator, is the only way of controlling the condition. Desferrioxamine and the newer oral chelators deferasirox and deferiprone have been tried in a number of patients with aceruloplasminemia and other NBIA disorders. However, their efficacy is uncertain in manifest brain iron deposition (9) – (11). We plan to begin treatment with an oral chelator combined with carefully managed phlebotomy.

    Discussion

    Discussion

    This case report describes the disease course and clinical presentation of a man with the rare disease aceruloplasminemia, in which 20 years went by before the condition was diagnosed. The earliest and most important finding was stable hyperferritinemia without serious clinical symptoms, which unsurprisingly raised suspicion of hereditary haemochromatosis. However, low transferrin saturation argued against this diagnosis. In classic haemochromatosis, transferrin saturation is typically above the upper reference limit (45  %) (4). It was not possible to use diagnostic genetic analysis, as this was several years before the discovery of the haemochromatosis gene HFE. The mutation C282Y is now known to be present in 85  % of patients with classic hereditary haemochromatosis (12). The patient was thought to have a pathogenetic iron overload of unknown aetiology, and was therefore treated with phlebotomy.

    After several years of monitoring the patient and in the light of new knowledge about the genetic regulation of iron metabolism, it became clear that the disease could be due to another newly discovered mutation. Today we know that rare mutations in several other iron-regulatory genes can cause non-HFE hereditary haemochromatosis with varying laboratory and clinical phenotypes (13).

    After HFE-haemochromatosis, the next most common variant is ferroportin disease. It is caused by a rare autosomal dominant mutation in the gene encoding ferroportin (5), a cell membrane protein that transports iron out of cells. The mutation blocks the cellular export of iron, which is thus retained within iron stores. A secondary increase in serum ferritin is seen. This particularly affects macrophages, which normally excrete large amounts of iron into the plasma from the breakdown of defunct erythrocytes. The result is a reduction in the supply of iron to the plasma, with reduced transferrin saturation and mild hypochromic anaemia. Phlebotomy exacerbates the tendency to anaemia because the iron mobilised from macrophages is insufficient to meet the needs imposed by increased haemoglobin synthesis. In time, large amounts of iron are also deposited in hepatocytes, giving rise to liver damage.

    Our patient had laboratory test results and certain symptoms that were reminiscent of the newly discovered ferroportin disease – with one notable exception: A liver biopsy failed to show iron deposition in the macrophages (Kupffer cells), the pathognomonic sign of ferroportin disease (5). Mutation analysis of the ferroportin gene was not yet available. It was only when the patient finally became seriously ill with neuropsychiatric symptoms and brain MRI abnormalities that could not be explained by either HFE-haemochromatosis or ferroportin disease, that the correct diagnosis was made with the aid of a simple blood test.

    Aceruloplasminemia is an autosomal recessive disease with ceruloplasmin deficiency caused by a mutation in the ceruloplasmin gene (6, 14). Ceruloplasmin is a copper-binding plasma protein that oxidises iron before it can bind to transferrin and be transported to erythropoietic bone marrow and other tissues. As with ferroportin disease, the mutation in the ceruloplasmin gene leads to reduced excretion of iron from cells, an up to 40-fold increase in serum ferritin, low transferrin saturation, a tendency to anaemia, and intolerance of intensive phlebotomy (15).

    The disease is characterised by strongly reduced or undetectable serum ceruloplasmin and copper. Progressive iron deposition in the central nervous system, liver and pancreas, with gradual neurodegeneration, retinal degeneration, liver fibrosis and insulin-dependent diabetes follow. Hypometabolism can be seen in the basal ganglia and thalamus with the aid of FDG-PET. Cerebellar atrophy is common. The cause of brain iron deposition in the basal ganglia, thalamus, dentate nucleus and cortex is unknown. At postmortem, iron deposition has also been found in the heart, thyroid gland, kidneys and spleen (14).

    Clinical symptoms appear between the ages of 30 to 40 and slowly worsen over the years. In a meta-analysis which included 28 homozygous patients with a mean age of 51 years, the most common neuropsychiatric symptoms were cerebellar ataxia (46  %), cognitive impairment (42  %) and orofacial dyskinesias (28  %) (15). Heterozygous carriers may show moderate abnormalities in laboratory test results, with or without mild disease.

    Aceruloplasminemia was first described in Japan in 1987 (16). The condition is extremely rare, with an estimated prevalence in Japan of one per two million population (15). The prevalence in other countries is unknown. More than 40 different mutations have been described (16), and the identity of the mutation(s) in our patient is unclear. Nevertheless, we are confident in our diagnosis of aceruloplasminemia. We base this on serum ceruloplasmin- and copper deficiency in association with the changes in iron status, typical findings in brain MRI, and also the overall clinical picture with characteristic neurological symptoms, dementia and diabetes in this patient.

    Carefully managed phlebotomy removes iron from hepatocytes, with a fall in serum ferritin, but not from the brain. Here, the only option is treatment with an iron chelator. However, due to the low prevalence of NBIA disorders little is known about the efficacy of chelator therapy. A small number of observational studies and case reports have shown that chelators remove iron from hepatocytes, but have limited and variable effects on the brain. This may be explained by low penetration of the blood-brain barrier, disease stage and the type of genetic mutation (9) – (11, 17). In light of the poor prognosis, it is important that patients with aceruloplasminemia and other NBIA disorders are identified early, so that preventive chelator therapy can be considered. The combination of hyperferritinemia with neurological symptoms should be investigated with measurement of serum ceruloplasmin and copper, tests of liver function and glucose tolerance, eye examination, as well as head MRI with a view to detecting brain iron deposition. The symptom triad of cognitive impairment, movement disorders and retinopathy should raise suspicion of aceruloplasminemia. This is easily confirmed or ruled out by simple blood tests. The benefits for patients whose condition is detected early, can be great.

    The patient has consented to the publication of this article

    Comments  ( 0 )
    PDF
    Print

    Recent Articles