A woman in her 70s with chronic walking difficulties

    ()

    sporsmal_grey_rgb
    Article

    Difficulty in walking is a common reason for referral to a neurologist. We present a patient with slowly progressive walking difficulties and white matter changes on MRI.

    The patient was first referred to the neurology department about 20 years ago. She was then in her early 50s with an approximately year-long history of progressive walking difficulties.

    During the first consultation she stated that she had had difficulty controlling her right leg for roughly a year and an increasing tendency to stumble, which had become worse over the past six months. She also described an inability to extend her toes and foot without accompanying pain. The patient was otherwise largely healthy and not on any regular medication. She smoked around ten cigarettes a day and worked full time. She had no known family history of neurological disease.

    Walking difficulties are a common reason for referral to a neurological outpatient clinic. During the initial assessment it is important to consider whether such difficulties may be due to neurological disease and, if so, whether they reflect damage to the peripheral or the central nervous system.

    The clinical examination will determine the subsequent investigations. The most common causes of walking difficulties are (in no particular order) cerebrovascular disease, neurodegenerative disease, inflammatory disease, degenerative processes in the spinal column and polyneuropathies.

    Examination revealed mild spasticity in the right leg. The patient also showed a low-grade paresis for flexion and extension of the toes and for flexion of the right knee. Power, speed and fine motor control were otherwise normal in the limbs. Sensitivity testing revealed bilaterally reduced vibration sense distal to the ankle joint, but preserved joint position sense. Reflexes were increased symmetrically in the upper limbs (+++) and there was right-dominant hyperreflexia in the lower limbs, with subclonus at the right ankle. The plantar reflex was indifferent on the right and flexor on the left. Gait was considered normal with no evidence of spastic gait when assessed over short distances. Other neurological tests were unremarkable.

    Computed tomography (CT) of the head without contrast was normal, except from a mild enlargement of the subarachnoid space. Electroencephalogram (EEG) was normal, as were electromyography and nerve conduction velocity (EMG/NCV). Transcranial and carotid Doppler ultrasound were unremarkable. MRI of the head and spinal cord showed elongated symmetrical hyperintensities of unknown character in the pons and medulla oblongata on T2-weighted images, most pronounced on the left, in addition to mild atrophy of the medulla oblongata. The lesions affected the pyramidal tracts and correlated with the patient's central nervous system signs.

    The patient thus had late-onset (after 50 years of age) slowly progressive motor symptoms, with asymmetric upper motor neuron signs, most pronounced in the right leg. There was no indication of lower motor neuron involvement, either clinically or electrophysiologically (EMG/NCV).

    There was initially discussion as to whether the symptoms could reflect a cortical infarct, possibly a low-grade tumour that was not detected on CT of the brain. A cortical infarct could explain the central nervous system signs, but not the gradual progression of symptoms. The patient smoked but had no further known risk factors for cerebrovascular disease.

    The Doppler ultrasound was normal, and the possibility of a tumour or infarct was ruled out by MRI. However, MRI of the brain and spinal cord did reveal hyperintensities in the pons and medulla oblongata, as well as mild atrophy of the latter. Demyelinating inflammation of the type seen in multiple sclerosis was unlikely given the symmetrical elongated MRI signal changes in the brainstem and cerebellum. Multiple sclerosis seldom gives rise to symmetrical signal changes that extend specifically along defined neuroanatomical tracts.

    Hyperintensities on T2-weighted MRI and medullary atrophy may occur in hereditary spastic paraplegia (HSP), a group of hereditary diseases marked by gradual degeneration of the pyramidal tract (1, 2). Other conditions that can produce similar MRI changes are leukodystrophies and other leukoencephalopathies; that is, diseases that affect white matter (3).

    The patient was followed up with outpatient clinical examinations for roughly two years. Initially there was no definite progression, but then she developed symptoms in the right arm in the form of increased clumsiness. Physical examination revealed increased muscle tone in the right upper limb as well as an increasing loss of power in the right lower limb and impaired heel walking on the right side.

    The patient was admitted for further investigation. The visual evoked response (VER) and somatosensory evoked response (SER) were normal. The auditory evoked response (AER) showed asymmetry, with a flattened response on the right. EMG/NCV and EEG were again normal. Cerebrospinal fluid was also normal, with protein 0.30 (0.15 – 0.50), leucocytes 2 – 1 × 10⁹/l (< 3 × 10⁹/l) and negative IgM/IgG Borrelia antibody response. Blood tests, including a serological test for Borrelia, and broad immunological screening were normal, while MRI was unchanged from before. Upon discharge, it was discussed whether the patient might have an upper motor neuron disease.

    The patient had definite progression of symptoms. As well as increased weakening of the right lower limb, there was new-onset functional impairment with increased muscle tone in the right arm. Clinical assessment was normal with the exception of the MRI, which was unchanged from before, and the AER, which showed a flattened response on the right side.

    This was interpreted as evidence that the brainstem was affected, giving rise to a delayed auditory evoked response. Similar findings have been described in patients with leukodystrophy (4). The patient had upper motor neuron symptoms and it was concluded that she might have a form of motor neuron disease with slow progression.

    Over the following years the patient developed gradually increasing right-sided spastic paresis, without sensory or autonomic symptoms. After about ten years of follow-up, the possibility of an autosomal recessive form of hereditary spastic paraplegia was discussed, and she was diagnosed with probable hereditary spastic paraplegia. Five years later, she was readmitted to the neurology department for reassessment, due to an atypical disease course.

    A new set of blood tests was negative for anti-neuronal antibodies and anti-encephalitis antibodies, ruling out paraneoplasia and a number of other neuroimmunological disorders, including stiff person syndrome (anti-GAD). She had normal levels of ultra-long-chain fatty acids, excluding adrenoleukodystrophy; phytanic acid (Refsum's disease), and pristanic acid (alpha-methylacyl-CoA racemase mutations, which give rise to a condition with brainstem lesions that resembles Refsum's disease (5)).

    No mutations were detected in DARS2, which is the gene responsible for a form of mitochondrial leukoencephalopathy, or frataxin, excluding late-onset Friedreich's ataxia. She was also tested for mutations in some of the most common HSP-associated genes (SPG4/3A/7/31), but no such mutations were found. EEG and EMG were once again normal.

    The most common symptoms of hereditary spastic paraplegia are gait abnormalities due to spasticity and loss of power, along with corticospinal symptoms, such as hyperreflexia and an inverted plantar reflex. The spasticity is generally symmetrical, and bladder dysfunction is relatively common. Sensory impairments are rare, but loss of vibration sense can occur upon involvement of the dorsal column (2).

    The patient was diagnosed with probable autosomal recessive hereditary spastic paraplegia on the basis of increasing spastic paresis of the right lower limb and loss of vibration sense in both lower limbs. However, there was no spastic bladder paralysis, impairments were unilateral and she tested negative for the most common mutations in hereditary spastic paraplegia, which argued against the diagnosis.

    Due to the atypical clinical signs, a decision was made to perform 3-Tesla MRI of the brain. The patient was by then 70 years old. The examination showed generally wide frontal and parietal sulci and a pronounced interhemispheric fissure, consistent with cerebral atrophy.

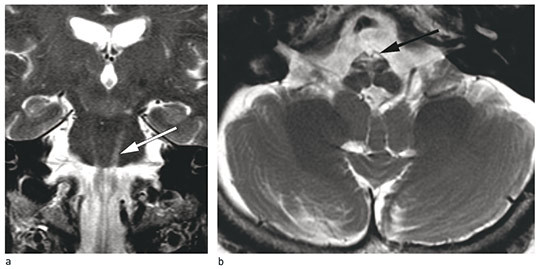
    Symmetrical signal abnormalities and atrophy were noted in the ventral medulla oblongata, corresponding to the pyramidal tract. The signal abnormalities extended upwards into the pons equally on both sides, although the mesencephalon was spared, and down the spinal cord to mid thoracic level. Symmetrical hyperintensities were additionally seen in the dentate nucleus of the cerebellum on T2-weighted images (Fig. 1).

    Figure 1  MRI of the patient’s brain at 70 years of age. T2-weighted images. Abnormalities are asymmetrical and most…
    Figure 1 MRI of the patient’s brain at 70 years of age. T2-weighted images. Abnormalities are asymmetrical and most pronounced on the left, which is consistent with the patient's right-dominant clinical signs. a) Coronal plane shows hyperintensities along the pyramidal tracts in the pons (white arrow). b) Axial plane shows hyperintensities in the medulla oblongata (black arrow)

    After reassessment of the clinical signs, imaging data and results of previous investigations, it was concluded that the condition was reminiscent of late-onset Alexander’s disease.

    This is a hereditary disorder caused by mutations in the GFAP gene (which encodes «glial fibrillary acidic protein»). It is characterised by progressive white matter changes and broad and variable neurological signs.

    A new lumbar puncture was therefore performed to allow measurement of spinal GFAP. This showed clearly elevated spinal GFAP of 5 870 ng/l (< 1 250 ng/l). A genetic analysis was then conducted to search for mutations in the GFAP gene. This revealed a heterozygous mutation, c.196 C > G, which results in the amino acid arginine at position 66 of the protein being substituted by glycine (p.R66G).

    This variant has not previously been described, but it is considered pathogenic on the basis of predicted effects on protein structure and function. It was therefore concluded that the patient had late-onset Alexander’s disease.

    Discussion

    Discussion

    Alexander’s disease is one of many leukodystrophies, that is, diseases that affect the white matter of the central nervous system. Leukodystrophies are characterised by defects in the synthesis and maintenance of myelin, the modified plasma membrane produced by oligodendrocytes (in the central nervous system) which protects and insulates the nerve fibres. Alexander’s disease generally presents at a young age, but juvenile and adult variants exist (6, 7). The prevalence is unknown but fewer than 550 cases of the disease have been reported (7).

    The disease is caused by a mutation in the gene that encodes GFAP, an intermediate filament protein found in mature astrocytes that is rapidly synthesised in response to injury and reactive astrogliosis. The mutations disrupt dimerisation of the GFAP protein, which leads to collapse of the cytoskeleton and abnormal protein aggregation (8, 9).

    Alexander’s disease can be familial or sporadic. The familial form is autosomal dominant, which means that the mutation is inherited from one parent and each child has a 50  % risk of the disease. The sporadic form is caused by a new-onset (de novo) mutation, with no other cases in the family. Juvenile and infantile forms are assumed to result largely from spontaneous mutations, as patients often are unable to have children. The adult form can be the result of a sporadic mutation, but familial forms have also been reported (1, 10, 11).

    Our patient had neither parents, children nor other relatives with the disease, and it is therefore reasonable to assume that she has the sporadic form due to a de novo mutation. Establishing this with certainty would entail showing that the patient’s parents do not possess the mutation, but this was impossible in our case unfortunately as they were no longer alive.

    Patients with late-onset Alexander’s disease have a varied clinical profile, which may include brainstem dysfunction (dysphagia, dysphonia, dysarthria), pyramidal signs (spasticity, hyperreflexia, inverted plantar reflex), cerebellar symptoms (ataxia, nystagmus, dysmetria), autonomic dysfunction, sleep apnoea, gait abnormalities, hemiparesis/hemiplegia, possibly quadriparesis/quadriplegia, seizures and/or diplopia (7).

    MRI characteristics vary with age of onset. Adults typically show marked atrophy of infratentorial structures, most commonly the medulla oblongata, but also other parts of the brainstem, cerebellum and cervical spinal cord (12, 13). MRI signal changes can precede clinical symptoms (14). Alexander’s disease is diagnosed clinically and radiologically, while genetic testing can confirm the diagnosis. There is no active treatment but symptomatic treatment is important (7).

    Our patient has been monitored by the neurology department for 20 years and has shown only slowly progressive motor symptoms in the form of spastic hemiparesis. Her initial clinical symptoms were non-specific and there were numerous differential diagnoses: neoplasia, inflammation/infection, neurodegenerative disorders such as motor neuron disease, and a large and heterogeneous group of hereditary diseases, including hereditary spastic paraplegia and leukodystrophies. MRI data were the deciding factor in this patient’s diagnosis. Bilateral elongated lesions that selectively affect specific tracts in the brainstem/spinal cord strongly suggest a hereditary, metabolic or degenerative disorder.

    Hereditary leukodystrophies usually present in childhood and are generally diagnosed by neuropaediatricians. However, there are also several variants with adult onset. These patients can be difficult to diagnose as they often deviate from «textbook descriptions» and have atypical symptoms and signs. Other examples are adult-onset variants of metachromatic leukodystrophy, Krabbe’s disease and adrenoleukodystrophy. It is also important to consider these differential diagnoses in adult patients with white matter disease of unknown aetiology, in whom more common causes such as multiple sclerosis or chronic cerebral ischaemia have been excluded.

    The patient has consented to the publication of this article.

    Comments  ( 0 )
    PDF
    Print

    Recent Articles