Four years before his hospitalisation, a man in his 90s had a left-sided intraparenchymal cerebral haemorrhage parietally with penetration into the subarachnoid space. Following this, the patient was self-reliant but had moderate cognitive impairments.
Three months before hospitalisation, the patient underwent a gradual decrease in physical and cognitive function that caused him to be bedridden and needing care.
The initial neurological examination did not reveal any definite focal pathology, but the patient appeared confused and aphasic.
CT of the head, thorax, abdomen and pelvis were normal. Lumbar puncture showed no signs of infection or inflammation. The medical history was potentially consistent with Creutzfeldt-Jakob disease, but the 14 – 3-3 protein in cerebrospinal fluid, which is used as a biomarker for the condition, was normal. Beta-amyloid, total tau and phospho-tau in cerebrospinal fluid were consistent with Alzheimer's disease. These are biomarkers used to distinguish Alzheimer's disease from normal ageing. EEG showed generally slow activity (theta), which indicates a non-specific brain disorder.
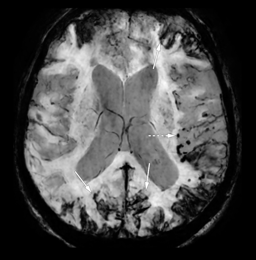
Susceptibility-weighted MRI in the axial plane showed extensive hemosiderin deposition on the facies cerebralis (solid arrows), consistent with superficial hemosiderosis, numerous microhaemorrhages in the brain parenchyma (dotted arrow), most of these subcortically in the left hemisphere. Microhaemorrhages in connection with a previous haemorrhage are typical of amyloid angiopathy.
Superficial hemosiderosis of the 'classical type' is a rare but potentially serious condition resulting from leptomeningeal hemosiderin accumulation on the surface of the cerebellum, around the cranial nerves and spinal cord. Aetiologically a haemorrhage (acute or chronic) is present in the subarachnoid space.
In the case of the cortical type, hemosiderosis is located supratentorially (above the cerebral convexity), and a cerebral amyloid angiopathy is regarded as an aetiological key factor, particularly in older patients. Cerebral amyloid angiopathy is caused by cerebrovascular amyloid deposition which leads to microaneurysms and an increased tendency to haemorrhage (microhaemorrhages or larger intracerebral parenchymal haemorrhages). Cerebral amyloid angiopathy itself is associated with an elevated risk of developing dementia.
Typical clinical findings for the classical type include hearing loss, ataxia, pyramidal tract signs (spasticity, paralysis) and headache. For the cortical type, (transient) focal neurological symptoms are found, but also development of dementia (1) .
Prognostically a slow progression is usually observed for cerebral hemosiderosis, but a rapid deterioration with a fatal outcome has also been described (2) .
The pronounced hemosiderosis in this patient is therefore considered to be a contributory cause of the unusually rapid progress of his dementia. The patient died a few months after the diagnosis was made.
The patient's next of kin have consented to the publication of this article.