A young trauma patient with five fractures and multi-organ failure

    ()

    sporsmal_grey_rgb
    Article

    A man in his late teens collided head-on with a semi-trailer. He was conscious and oriented before, during and after reaching trauma triage. A fractured femur and bilateral tibia and fibula fractures were found (lower leg fractures). In the course of a few hours the patient developed respiratory failure, a decline in level of consciousness and heart failure.

    A previously healthy young man was driving a passenger car that had a head-on collision with a semi-trailer. He was using a seat belt, and the airbag was released. He was not under the influence of alcohol or drugs. When he was found at the accident site, he had a score of 15 on the Glasgow Coma Scale (GCS). An ambulance arrived at the accident site after 20 minutes, a rescue helicopter shortly afterwards. The driver was trapped in the car and firefighters cut him out.

    During transport to hospital he was breathing independently and was alert and oriented. At trauma triage two hours after the accident, he had clear airways, a respiratory rate of 25 per minute and oxygen saturation of 100 % with 10 l/min oxygen by mask. Auscultation revealed bilaterally equal respiratory sounds, and the thorax was considered stable, with normal respiratory movements.

    His blood pressure was 134/67 mm Hg, his pulse 116/min and regular and his GCS 15. Clinical examination revealed a stable pelvis, but open lower leg fracture on the right, dislocated lower leg fracture on the left and a fractured left femur. Chest X-ray and ultrasound scan with Focused Assessment with Sonography in Trauma (FAST) were normal.

    The patient was given pain relief in the form of small doses of fentanyl and ketalar in Acute Admissions. A CT scan revealed a fractured left femur shaft and bilateral lower leg fractures (Fig. 1). CT head, spinal column, abdomen and pelvis were normal. CT thorax revealed small contusion changes anterobasally in the left lung.

    Figure 1 CT images with three-dimensional presentation of left (shown to the right) and right tibia (shown to the left)…
    Figure 1 CT images with three-dimensional presentation of left (shown to the right) and right tibia (shown to the left) revealed dislocated fractures on both sides, most pronounced on the right side, where the fracture was open.

    High-energy traumas trigger a trauma alarm according to criteria defined in the Norwegian National Trauma Plan (1) – for stabilising the patient and detecting both evident and concealed injuries, and include ultrasound abdomen and extensive CT scans.

    The development of thromboembolism, fat embolism, acute pulmonary failure, infection or delayed haemorrhaging may only manifest itself after completion of trauma triage (2).

    Immediately after the trauma CT scan, the right tibia was submitted to open and the left tibia and femur to closed reduction and fixed externally in the operation theatre under general anaesthesia. The patient had stable circulation and respiration during the operation. He regained consciousness after the normal time, but needed 4 l of oxygen by over-the-ear nasal cannula post-operatively, and was moved to the Intensive Care Department after a total operating time of 2.5 hours.

    He was then conscious and oriented, but had amnesia with respect to the accident.

    Since the patient had a GCS score of 15, normal respiration and circulation, and – apart from the fractures and minimal contusion changes in the left lung – normal CT findings, the on-duty team did not expect serious post-operative complications. Nonetheless, it is advisable to monitor high-energy trauma (3), and the patient was placed at the highest level of surveillance post-operatively.

    Early complications after open fracture surgery and external fixation include haemorrhaging, deep vein thrombosis and fat embolism (4). Fat emboli are most frequently seen in young people with fractures of the pelvis or long bones or after orthopaedic surgery (5, 6). After initial stabilisation and diagnostic work-up, haemorrhage control should be assured, a tertiary survey performed, relevant examinations repeated and the patient kept under surveillance (3).

    Four hours post-operatively – 11 hours after the trauma – the patient developed an increasing need for oxygen and was perceived to be mentally confused. The primary on-call doctor/anaesthetist was called. The patient's respiratory rate was 22/min and oxygen saturation 90 % on 15 l oxygen by mask with reservoir. Since his admission, the patient had up to this point received 3.5 l Ringer acetate intravenously. There were crepitations over both lung surfaces on auscultation. The patient responded in monosyllables when spoken to.

    Blood gases showed pH 7.36 (7.37–7.45), pCO2 5.8 kPa (4.7–6.0 kPa), pO2 7.4 kPa (>11 kPa), HCO3 24 mmol/l (22–27 mmol/l), base excess (BE) -1 mmol/l (-2–+3 mmol/l) and lactate 1.5 mmol/l (0.5–1.6 mmol/l). His blood gases revealed hypoxia. Blood gases taken earlier had been normal.

    A new chest X-ray revealed white lungs bilaterally. His level of consciousness fell, and red-brown, frothy expectorate came up from his airways. The expectorate was removed with suction, and the patient was given bag-valve-mask ventilation with a reservoir for preoxygenation prior to intubation. His oxygen saturation fell nonetheless to 75 %. The primary on-call doctor intubated the patient rapidly, without difficulty. Brief extension spasms of the upper extremities were observed during intubation.

    A fall in oxygen saturation and chest X-ray showing "white lungs" after a high-energy trauma gave rise to suspicion of the development of acute respiratory distress syndrome (ARDS). This may be seen after trauma, pneumonia or sepsis (7).

    Treatment includes lung-protective ventilation with positive end-expiratory pressure, corticosteroids and possibly nitrogen monoxide and extracorporeal membrane oxygenation (ECMO). Differential diagnoses are pulmonary haemorrhage, acute eosinophilic pneumonia, pulmonary oedema and fat embolism syndrome.

    The patient was placed under a general anaesthetic with midazolam and fentanyl and given respirator treatment. After intubation the size of his pupils was normal. There were still crepitations over the lung surfaces, but less than before intubation. His blood pressure was 101/56 mm Hg and his pulse 115/min. The patient was afebrile throughout and did not have petechiae.

    His haemoglobin level was 14.5 g/100 ml (13.4–17 g/100 ml), leukocytes 23.8 · 109/l (3.5–11.0 · 109/l), thrombocytes 292 · 109/l (130–400 · 109/l), INR 1.5 (< 1.2), aPTT (activated partial thromboplastin time) 45 s (30–42 s), CRP 39 mg/l (< 5 mg/l), ALT 69 U/l (< 70 U/l), AST 86 U/l (< 45 U/l), LD (lactate dehydrogenase) 454 U/l (< 205 U/l), troponin I 771 ng/l (< 40 ng/l), creatinine 67 μmol/l (60–105 μmol/l), myoglobin 1 440 μg/l (< 70 μg/l) and creatine kinase (CK) 2 839 U/l (50–400 U/l). Fibrinogen was not tested after the exacerbation.

    Treatment with cefuroxime and metronidazole was started against possible aspiration pneumonia. Two hours after intubation – 13 hours after the trauma – a further CT head was taken, which was normal, while the CT thorax showed changes consistent with ARDS. In the following hours, respiratory settings had to be increased, with increased pressure support, high end-expiratory pressure and 75 % oxygen in order to achieve satisfactory oxygenation. Frothy, pink expectorate came up from the tube.

    A muscle relaxant was administered to the patient because of extensive diaphragm movement and problems in attaining satisfactory ventilation. Four hours after intubation he became hypotensive, with blood pressure 90/50 mm Hg and pulse 110/min. The ECG showed sinus tachycardia. His creatinine level rose to 115 μmol/l, and diuresis fell from 60 ml/h to 10 ml/h.

    In addition to ongoing infusion with Ringer acetate 150 ml/h, noradrenaline infusion was started because of his hypotension. He was given 60 mg methylprednisolone against ARDS. Despite this, the patient developed progressive respiratory failure. A further round of blood gases showed pH 7.30 (7.37–7.45), pCO2 6.0 kPa (4.7–6.0 kPa), pO2 8.1 kPa (> 11 kPa), HCO3 23 mmol/l (22–27 mmol/l), BE -4 mmol/l (-2–+3 mmol/l) and lactate 2.4 mmol/l (0.5–1.6 mmol/l), consistent with metabolic acidosis.

    At this point the intensive care team treating him suspected heart failure because of contusion of the heart with troponin release after high-energy trauma in a patient with a previously sound heart. It was also considered whether acute respiratory distress could result in right-side heart failure.

    The cardiologist was called for echocardiography, which showed impaired contractility of the left ventricle with an ejection fraction of 35 % and slightly dilated and weakened right ventricle. There were no atrial septum defects or pericardial fluid. The cardiologist described an impaired left ventricle as the main finding. It was uncertain whether the cause was contusion of the heart or a systemic inflammatory response. Noradrenaline infusion was increased to 0.5 μg/kg/min and dobutamine 2.5 μg/kg/min added. Hypotension, heart failure and kidney failure were interpreted as being due to contusion of the heart.

    Because of simultaneous exacerbation of heart and lung failure, it was decided to prepare to transfer the patient to a university hospital, in order to be able to administer extracorporeal membrane oxygenation. A further clinical examination showed bilaterally equal pupils 2 mm in diameter and normal reaction to light. Seventeen hours had now passed since the trauma.

    When adequate oxygenation is not achieved despite medicinal treatment and optimised respirator treatment, extracorporeal membrane oxygenation may be indicated in the treatment of ARDS (7). The syndrome itself, with concomitant high intrathoracic pressure due to respirator treatment, increases the risk of acute heart failure (8).

    Acute heart failure following trauma may be due to contusion of the myocardium or (less often) myocardial infarction due to damage to the coronary vessels or heart failure secondary to pulmonary damage (9–11). Here it was believed that the heart failure was due to myocardial contusion. The development of infarction was considered unlikely because of the patient's young age.

    Shortly after the decision was made to transfer him to a university hospital – 18 hours after the trauma – a new clinical examination revealed that the patient had developed dilated pupils that did not react to light. A head CT was performed for the third time, and now showed pronounced cerebral oedema. The surgical standby doctor contacted the neurosurgeon at the university hospital, and the intensive care doctors began treatment with hypertonic saline and mannitol in an attempt to curb the development of cerebral oedema. However a head CT with angiography showed cessation of circulation in the brain. The family consented to organ donation.

    The transplantation team found macroscopic infarctions in the heart and a closed foramen ovale.

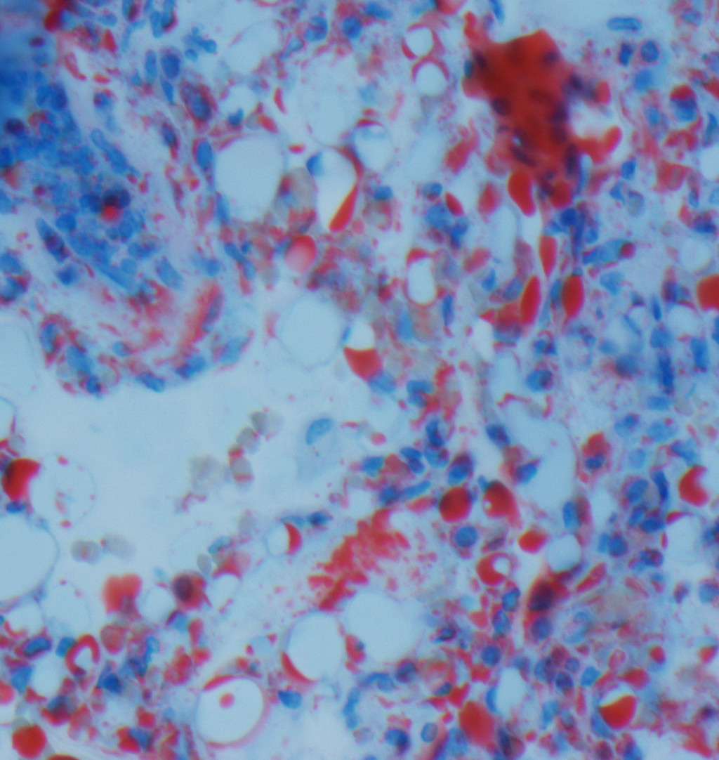
    His kidneys, liver, pancreas and blood vessels were used. A coroner's autopsy with special histopathology staining revealed extensive fat emboli in the lungs and brain (Fig. 2). Fat embolism syndrome was given as the probable cause of death.

    Figure 2 Histopathological section of lung tissue stained with oil red O. Fat is seen as half-moons and globules, which…
    Figure 2 Histopathological section of lung tissue stained with oil red O. Fat is seen as half-moons and globules, which probably cause incomplete and complete obstructions of capillaries and slightly larger vessels.
    Discussion

    Discussion

    Fat embolism syndrome causes respiratory failure, petechiae, altered consciousness and fall in blood pressure, and inflammation secondary to fat embolisation is of major pathophysiological significance (12–15). Fat emboli gain access to the venous system in connection with fractures or during surgery. From there they move via the right half of the heart to the lung capillary network. An immune response of greater or lesser strength is triggered there. Some fat emboli will be shunted over to the systemic circulation via anatomic shunts. An open foramen ovale is not necessary (16–20).

    Fat embolism syndrome is most frequently seen after fractures of the pelvis or long bones and after orthopaedic surgery (5, 6), but also after liposuction (21–23). In a study of 50 patients, nine of ten trauma patients were found post-mortem to have fat emboli in the pulmonary circulation (12). As only those who died of the trauma were examined for emboli, this may be over-reporting. Incidence figures based on clinical criteria for fat embolism syndrome vary from 1 % to 30 % (13–16), (24).

    Fat emboli may also lead to myocardial infarction. During orthopaedic surgery, they can be visualised with transoesophageal echocardiography, but visualised fat emboli correlate to only a limited degree with the development of clinical symptoms (16, 25).

    Cerebral fat emboli cause inflammatory cerebral oedema (26). CT head is usually normal, while MRI scans show hyperintense lesions in a "star pattern" (27). Intracranial pressure monitoring and decompression have saved some (26), but 5–15 % of patients with severe fat embolism syndrome die (28–30). Pending transportation to a department of neurosurgery, ultrasound scans of the diameter of the optic nerve may show whether the intracranial pressure has increased. This can determine the treatment and provide an indication for rapid transfer to a university hospital (31).

    Fat embolism syndrome may cause mild symptoms, such as slight confusion, transient respiratory failure and briefly altered haemodynamics, or more severe symptoms, such as those mentioned above (12–15). Most patients with fat emboli after long-bone fractures are probably asymptomatic (15, 27). In cases with mild symptoms, they probably tend to be attributed to more common or better known conditions, so fat embolism syndrome is probably under-diagnosed.

    The symptoms of fat embolism syndrome may also be confused with allergy, anaphylaxis, pulmonary contusion, pulmonary oedema and concussion. Identifying the syndrome requires actively considering the possibility of the condition as a complication, and acting on the suspicion to perform a head MRI. There are few treatment options for severe fat embolism syndrome, but organ-supporting treatment and the possibility of neurosurgical surveillance and respite may be life-saving (26).

    Conclusion

    Conclusion

    Fat embolisation in trauma patients is common, but neurological symptoms are rarer. Young people with long-bone fractures are particularly susceptible. There is reason to believe that not all those who have circulating fat emboli develop symptoms or clinical signs.

    A reduction in consciousness in an initially lucid and conscious patient should increase suspicion of cerebral fat embolism syndrome, however. As the fat emboli reach the left ventricle, embolisation and subsequent inflammation may cause myocardial infarction and cerebral oedema. If intubation and sedation are required, neurosurgical surveillance should be considered. A head MRI is the only modality that can detect emboli.

    The patient's family have consented to the publication of the article. We would like to thank the Department of Diagnostic Imaging for permission to use the three-dimensional CT image.

    Comments  ( 0 )
    PDF
    Print

    Recent Articles