A man in his 60s with headache, nausea and vomiting

    ()

    sporsmal_grey_rgb
    Article

    A man in his 60s was hospitalised after a 24-hour history of headache, nausea and vomiting. The conclusion after an initial examination in Acute Admissions was that there was little suspicion of a serious underlying illness, but he was admitted for observation and pain relief. After several days in hospital, new symptoms and laboratory findings pointed to the correct diagnosis.

    A man in his 60s was admitted to the Department of Neurology with headache. The headache had onset the previous evening, and developed to maximum intensity in the space of a couple of hours. There was exacerbation on the day of admission, with a gradual increase in pain without the characteristics of a seizure. He described compressive pain at the top of the head radiating towards the eyes on both sides. He had attempted to take ibuprofen at home for the pain, but vomited up the tablets each time. He had vomited a total of five times on the day of admission. The previous three days he had worked outside in the heat a great deal, and eaten and drunk little.

    The patient had known coronary disease and had had angioplasty treatment for angina over ten years previously. He had had chronic pain in the pelvis and lower back for several years, and been treated for this at the hospital's Pain Clinic. Ten years previously, an oesophageal ulcer had been found. He had no known allergies, was a non-smoker and had had no previous reactions to drugs. He was taking an angiotensin-converting enzyme inhibitor (ACE inhibitor) (ramipril tablets 5 mg x 2), beta-blocker (metoprolol slow-release tablets 50 mg x 1), statins (atorvastatin tablets 20 mg x 1) and a platelet inhibitor (acetylsalicylic acid tablets 75 mg x 1). He was still working.

    On admission the patient complained of headache, was wearing sunglasses and asked for subdued room lighting. He was markedly photophobic but did not have a stiff neck. His blood pressure was 130/88 mm Hg, pulse regular at 56 beats/min, and temperature 37.2 °C. Blood tests showed: leukocytes (LPC) 7.5 · 109/l (3.5–10.0), haemoglobin 14.9 g/dl (13.4–17.0), thrombocytes (TPC) 115 · 109/l (145–390), CRP 0.60 mg/l (0.0–5.0), creatinine 80 µmol/l (60–105), estimated glomular filtration rate (eGFR) > 90 ml/min/1.7 m2, troponin T < 10 ng/l (0.00–14), sodium 140 mmol/l (137–145), potassium 3.9 mmol/l (3.5–4.5), albumin-corrected calcium 2.22 mmol/l (2.17–2.53). Findings of neurological examination were normal, with no cranial nerve deficits or motor or sensory deficits in the upper or lower extremities. Donder's test revealed a normal field of vision and no visual disturbances. Head CT was also described as normal. There was no fever or CRP rise indicating infection. The conclusion following the initial examination was that there was little probability of a serious underlying cause of the patient's headache. The patient was admitted to hospital for observation and pain relief.

    Severe headache with acute onset may have many causes, and is a common presenting complaint at neurological and medical departments. During the initial assessment, it is important to exclude any serious underlying cause of the headache requiring prompt treatment, such as subarachnoid haemorrhage, intracerebral haemorrhage, stroke or meningitis/encephalitis.

    The day after admission he had persistent severe pain, was still vomiting and failed to keep down either food or medicines taken by mouth. A lumbar puncture was performed and findings were clear, colourless cerebrospinal fluid with LPC 1 · 106/l (0–4) and total protein 0.77 g/l (0.10–0.50). CSF glucose was 2.5 mmol/l (2.5–4.0) and serum glucose 5.1 mmol/l (4.0–6.3), giving a ratio of 0.49. Opening pressure was unfortunately not measured. IgG antibodies against Borrelia burgdorferi were detected in the cerebrospinal fluid, but the test for IgM antibodies was negative. Similarly, there were elevated values of Borrelia burgdorferi IgG in blood (550 % of the detection limit), and negative IgM. The antibody ratio was not consistent with intrathecal antibody production. The polymerase chain reaction (PCR) test was negative for enterovirus, varicella zoster virus and herpes simplex virus types 1 and 2 in the cerebrospinal fluid. Serology was negative for tick-borne encephalitis and consistent with previous infections with the herpes simplex and varicella zoster viruses. On vague suspicion of migraine attacks, pain relief was attempted with subcutaneous sumatriptan. This had no effect.

    On suspicion of subarachnoid haemorrhage, lumbar puncture has conventionally been recommended 12 hours after the onset of pain, as xanthochromia (yellow discolouration) or blood in the spinal fluid may reveal subarachnoid haemorrhage that was not seen on the head CT scan. Some studies have questioned the clinical benefit of this test. The authors of these studies are more inclined to recommend CT angiography as a secondary test in the event of strong clinical suspicion of subarachnoid haemorrhage and negative findings on the head CT scan (1). Lumbar puncture is important, regardless, for indicating other differential diagnoses. Pleocytosis may arouse suspicion of meningitis or encephalitis. Cerebral vasculitis is often accompanied by slight pleocytosis and elevated CSF protein. Low opening pressure may give rise to suspicion of spontaneous intracranial hypotension. High opening pressure will point to a condition that causes high intracranial pressure, such as cerebral venous thrombosis.

    On the third day following admission he had persistent headache without improvement. On this day he noticed double vision for the first time after being up walking about for a while. The patient was weak.

    There was still no explanation for the headache, and cerebral venous thrombosis, a rare but serious condition, therefore needed to be excluded. The onset of the condition may be acute, subacute or chronic. The condition presents in a number of forms, but usually as an isolated intracranial hypertension syndrome (headache with or without vomiting, papilloedema or visual disturbances), a focal syndrome (focal deficits, seizures or both) or as encephalopathy (multifocal signs, altered mental status, stupor or coma). This presents diagnostic challenges.

    D-dimer was negative, and ophthalmoscopy did not reveal papillary stasis. There was still no neck stiffness. CT angiography of the venous phase was conducted, and findings were normal.

    On the fourth day after admission, abductive palsy of the right eye occurred. Electrolyte status was tested again and revealed that hyponatraemia had developed, with serum sodium 127 mmol/ (137–145) compared with 140 on admission four days earlier. His CRP value had risen to 16. The previous night his headache had worsened, but tramadol provided effective pain relief. A clinical examination revealed bilateral tenderness over the temporal area and eye pain.

    There was still no explanation for the patient's headache, and palsy of the sixth cranial nerve had now developed. In light of the temporal tenderness and eye pain, the possibility of temporal arteritis was considered. A rheumatological assessment was therefore requested.

    There was no known previous rheumatic disease, no joint pain or skin problems mentioned in the patient's history, no tenderness to palpation over the temporal arteries and his pulse was fine. Blood tests showed LPC 4.7 · 109/l (3.5–10.0), sedimentation rate (SR) was 16 mm/hour (2–20), CRP 16 mg/l (0.00–5.0) and TPC 106 · 109/l (145–390). The conclusion was that clinical findings did not indicate classical temporal arteritis, nor was there any basis for other vasculitis disease in the patient's clinical symptoms or history.

    The results of the rheumatic tests came later: RF latex test < 20 IU/ml (< 20), anti-cyclic citrullinated peptide antibodies (anti-CCP) U/ml (< 7), negative for antinuclear antibodies (ANA), anti-proteinase-3 antibodies (PR3-ANCA) 2 units (< 20) and myeloperoxidase antibody (MPO-ANCA) 3 units (< 20). As no diagnosis had yet been made, a head MRI was ordered, but owing to a shortage of capacity the scan could not be performed the same day. The new onset hyponatraemia was discussed with the duty internal medicine specialist. There was no known renal disease in the patient's history, and the patient did not use diuretics, but was taking an ACE inhibitor (ramipril, tablets 5 mg x 2). It was assumed that the hyponatraemia had a bearing on the nausea and vomiting.

    On the fifth day following admission, the hyponatraemia had worsened to 121 mmol/l (137–145). Serum potassium was 4.0 mmol/l (3.5–4.4) and serum osmolality 254 mmol/l (280–300). His CRP value had risen to 76. There was no definite suspicion of infection. The spot urine test showed osmolality of 890 mosmol/kg (300–900), sodium 159 mmol/l and potassium 32 mmol/l. Clinically, the patient was regarded as normovolaemic.

    The urine sample showed high urine osmolality (> 100 mosm/kg) and a high sodium content (> 30 mmol/l). Electrolyte imbalance and the urine findings were consistent with pathologically increased secretion of antidiuretic hormone (ADH), a condition called SIADH, syndrome of inappropriate ADH secretion. Elevated CRP may be related to an infection, but may also be a marker of tissue destruction. The clinical picture was now acute headache, suspected SIADH and cranial nerve palsy (VI), and possible pituitary lesion/apoplexy.

    The neurologist repeated the request for an MRI scan and asked for renewed scrutiny of the pituitary gland on the original head CT images. At the same time, the duty internal medicine specialist was contacted. Hydrocortisone (Solu-Cortef) 100 mg was administered intravenously on suspicion of central hypopituitarism with hypocortisolism, and the patient was given isotonic saline (NaCl 0.9 %). He was moved to the Intermediate Intensive Care Department for closer monitoring of vital parameters and electrolyte imbalances. 100 mg hydrocortisone was also prescribed for intravenous administration every six hours.

    Hormone tests for the pituitary axes showed thyroid-stimulating hormone (TSH) 0.35 mIU/l (0.39–4.2), free thyroxine (FT4) 7.3 pmol/l (11.0–22.0) and free triiodothyronine (FT3) 2.3 pmol/l (3.1–6.8). This was consistent with central hypothyroidism. The 11 a.m. cortisol test showed low values: 14 nmol/l (ref. (7)-9 a.m.: 220–850 nmol/l, 7–9 p.m.: < 50 % of morning value). The prolactin value was 23 mIU/l (100–400), while follicle-stimulating hormone (FSH) at 5.7 IU/l (1.0–12.0) and luteinising hormone (LH) at 1.6 IU/l (1.0–10.0) were within the normal ranges. The testosterone value was < 1.0 nmol/l (9.0–35.0) and growth hormone was 1.0 µg/l. The set of test results was consistent with hypopituitarism along several axes (Fig. 1).

    Figure 1 Hormone axes of the pituitary gland
    Figure 1 Hormone axes of the pituitary gland

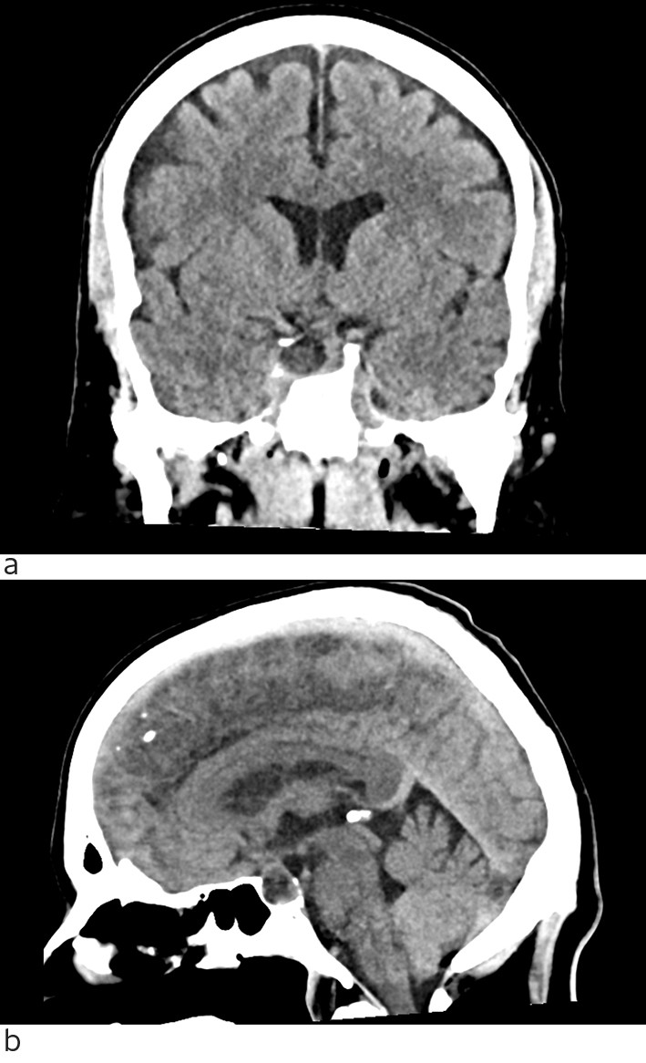
    A repeat scrutiny of the head CT scan carried out on admission revealed a low-attenuation lesion in the pituitary gland (Fig. 2). An emergency head MRI scan showed haemorrhage in a pituitary adenoma with a bulge into the cavernous sinus on the right side and affection of the abducens nerve. There was expansion of the sella turcica with absent right lateral wall and pronounced thinning of the posterior wall, which was consistent with an adenoma that had developed over a long period of time with remodelling of surrounding bone. There were also some non-specific lesions in the white matter. The patient was transferred the same evening to the Department of Neurosurgery at Oslo University Hospital. He underwent surgery the following day, with transsphenoidal resection of the pituitary tumour and haemorrhage.

    Figure 2 Head CT without intravenous contrast medium. a) coronal section, b) sagittal section. Expansive lesion in sella…
    Figure 2 Head CT without intravenous contrast medium. a) coronal section, b) sagittal section. Expansive lesion in sella turcica with expansion into the cavernous sinus on the right side. The tumour extends up to the optic chiasm. Remodelling of adjacent bone structures.

    After the operation, the diplopia receded almost completely, but the patient had permanent hypopituitarism and needed substitution treatment with cortisone, levothyroxine, testosterone and desmopressin.

    Discussion

    Discussion

    Pituitary apoplexy was first described by Bailey in 1898 (2), but was not named until Brougham, Heusner and Adams published an article in 1950 describing five patients who died suddenly and whose autopsy revealed haemorrhage in a pituitary adenoma. The condition should really be called pituitary adenoma apoplexy, as infarction of a normal pituitary gland has other causes, as in Sheehan's syndrome. Hypertension, anticoagulation treatment and major surgical interventions are risk factors. Pituitary apoplexy is a relatively rare condition. Clinical pituitary apoplexy occurs in only 0.6–9 % of pituitary tumours (4). However, radiological examination reveals haemorrhagic areas in 10–20 % of pituitary adenomas. New Belgian and Icelandic prevalence figures for pituitary adenoma indicate about 100 cases per 100 000 people (5, 6).

    The most usual presenting symptoms are headache (80–100 %), nausea (80 %), impaired visual acuity (56 %), temporal field of vision impairment (34–70 %), a degree of ophthalmopalsy (45–57 %) and a reduced level of consciousness (13–70 %) (4). Compression of the optic chiasm causes visual disturbances and field of vision impairment, while compression of the cavernous sinus may cause affection of the third, fourth and sixth cranial nerves. The third cranial nerve (oculomotor nerve) is most commonly affected, followed by the sixth (abducens nerve). Pituitary apoplexy is the presenting symptom of pituitary adenoma in 50–80 % of patients.

    Pituitary apoplexy can be a dangerous condition that may result in sudden death, probably due to central adrenal insufficiency. However, this is rare in modern times with CT and MRI diagnostics. Infarction or necrosis of the pituitary gland causes hypopituitarism that is permanent in 50–80 % of cases. Field of vision impairment may also be permanent, but improves in most cases if the patient has surgery in time.

    Our patient developed hyponatraemia. This occurs in some cases of pituitary apoplexy (10–40 %) and is caused by hypocortisolism (7). A fall in adrenocorticotropic hormone (ACTH) and cortisol leads to increased ADH. The condition therefore presents as normovolaemic hyponatraemia and a biochemical picture resembling that of SIADH. In central adrenal insufficiency, the renin-angiotensin-aldosterone system is preserved, and as a result patients do not develop hyperkalaemia as happens with primary adrenal insufficiency. This is consistent with the laboratory findings for our patient. SIADH can arise in connection with a number of other conditions that may cause acute headache. Examples are acute subarachnoid haemorrhage or other brain haemorrhage, meningitis and encephalitis. A particularly relevant differential diagnosis in the present case is cavernous sinus thrombosis, which may cause SIADH, headache, and the same cranial nerve deficit as our patient experienced.

    Traditionally, the majority of patients with pituitary apoplexy have undergone surgery, but in cases of a stable situation without major field of vision impairment or cranial nerve deficits, a conservative approach may be an equally good option. This is increasingly being chosen. The patient must then undergo close clinical monitoring and field of vision tests, to enable intervention in the event of exacerbation. If the tumour is a prolactinoma, there is a high probability of a good response to medical treatment with a dopamine agonist. This favours conservative treatment. The decision of whether to choose a conservative or a surgical approach should be made by a multidisciplinary team. The most important treatment initially is rapid administration of corticosteroids, haemodynamic stabilisation and correction of electrolyte imbalances. In cases of reduced consciousness or increasing loss of vision, the patient should undergo emergency surgery. All patients must be followed up by an endocrinologist with respect to observation and substitution treatment for hormone imbalances (8).

    This case study underscores the importance of systematically assessing and observing patients with severe, persistent headache with acute onset. Arriving at the correct diagnosis may be difficult. In our case it took five days. We had accepted the results of CT scans on which changes in the pituitary gland had been overlooked. The incipient diplopia on the third day might have shifted the focus to pathology at the base of the brain. Only when clinically distinct abducens nerve palsy and incipient hyponatraemia occurred on the fourth day, did it lead our thinking in the direction of the diagnosis. Interdisciplinary discussion between neurologist, internal medicine specialist and radiologist was important.

    An MRI head scan is an important examination that should have been carried out earlier in the case of an unexplained neurological condition such as this one. When the examination finally was ordered, a further day passed before it was carried out. There is limited MRI capacity at our hospital, and referrals have to be carefully prioritised on the basis of good clinical information. It may also be difficult to have an MRI carried out at the desired time because of an influx of emergency scans. Inpatients only have access to MRI during the day and not in the weekends. Both clinicians and radiologists want increased MRI capacity, but this is difficult given the current financial constraints.

    Another lesson from this case history is that renewed scrutiny of previously performed radiological scans in the light of new clinical information may lead to the discovery of pathology that has been overlooked.

    The patient has consented to the publication of the article.

    We would like to thank Jon-Marius Rognhaug Ørnes at the Department of Neurology, Southern Norway Hospital Trust, and Atle Eidet Hansen, formerly Department of Neurology, Kristiansand, now the Specialist Centre in Kristiansand, for input and comments on the article.

    Comments  ( 0 )
    PDF
    Print

    Recent Articles