A middle-aged man was hospitalised with suspected sepsis. He had recently had a long period of illness requiring intensive care, and had been discharged from hospital three days prior to his current admission. Ultrasound during the diagnostic workup eventually revealed an unexpected finding.
A man in his fifties, with a history of mostly good health, was diagnosed with diffuse large B-cell lymphoma. He had tumour tissue in the duodenum, which posed a risk of perforation. Parenteral nutrition was required to relieve strain on the bowel; two months after diagnosis, a tunnelled venous port catheter was therefore inserted into the left internal jugular vein. Approximately three months after diagnosis, the patient underwent chemotherapy with cyclophosphamide, doxorubicin, vincristine and prednisolone combined with rituximab (the R-CHOP regimen). Radiotherapy was planned for the residual tumour, but was postponed when the patient developed small bowel ileus. A conglomerate tumour had grown into the mesentery from the posterior abdominal wall and encompassed the small intestine. Acute surgery was performed to bypass the conglomerate tumour and establish a side-to-side anastomosis.
A complicated disease course ensued, with multiple reoperations owing to anastomotic leakage, wound rupture and sepsis with multiple organ failure. The patient was operated and reoperated a total of four times over the course of two weeks, until in the final operation an end-jejunostomy and mucous fistula were established. He required mechanical ventilation as well as continuous dialysis because of acute renal failure. A 5-lumen central venous catheter was inserted into the right internal jugular vein. The port on the left side was not in use. After a week, renal function was satisfactory and dialysis was discontinued.
After three weeks of treatment in the intensive care unit at the local hospital, the patient was transferred to a regional hospital for re-evaluation. Here he experienced respiratory failure once again. He was intubated and remained on a ventilator for 15 days. Multiple tests were performed, including a new CT, which showed a fluid collection in the upper right abdominal quadrant. This was managed using ultrasound-guided percutaneous drainage. CT also revealed a deep vein thrombosis in the right common iliac vein. The patient was therefore treated with therapeutic dose dalteparin (Fragmin, 100 IU/kg × 2). After 15 days in the intensive care unit, he was transferred to a ward. After a total of three weeks in the regional hospital, he was moved back to a ward in the local hospital.
Over the next few weeks, the patient developed short bowel syndrome as a result of his multiple bowel resections. At its peak, stoma output was up to twelve litres per day. Although the patient consumed a normal diet and had a good appetite, his rapid intestinal transit meant that he failed to derive sufficient nutritional benefit from the food he ate. He was evaluated by a nutritional physiologist and received supplementary parenteral nutrition and intravenous fluids. The fluid and electrolyte balance was checked daily. The patient removed the central venous catheter himself after it had been in place for about seven weeks. On the ward, the port catheter was therefore brought back into use, four months after it had been inserted and two months after it had last been used. No blood could be aspirated from the port, but infusion of fluid was unproblematic. The patient had no pain or swelling around the port or along the subcutaneous course of the catheter. Chest X-ray showed that the catheter had not changed position. The port catheter was used without problems for both fluids and parenteral nutrition for four weeks.
The most common complications with indwelling intravascular catheters are thrombosis, infection, and fibrin sheath development (1).
We considered it possible that the difficulty in aspirating blood from the port catheter could be due to a fibrin sheath around the catheter tip. A fibrin sheath can enclose a catheter and extend beyond the distal opening. This can act as a one-way valve and cause problems with aspiration or increased resistance to fluid injection (1).
After a total of three months in hospital, the patient was discharged home. He still required parenteral nutrition and intravenous fluid supplementation. However, daily stoma output had decreased to between 2.5 and 6 litres, and his need for parenteral nutrition was reduced. Plans were made for him to have his electrolytes monitored weekly by his general practitioner, and therapeutic treatment with dalteparin 100 IU/kg × 2 was continued owing to the described venous thrombosis.
On the second day after discharge, the patient developed pain on the left side of the neck. His wife observed diffuse swelling in the painful area upon infusion of parenteral nutrition. The next day, the patient developed fever and chills, and he was admitted to hospital with suspected sepsis. Upon examination in Acute Admissions, he was exhausted but awake, alert and oriented. His heart rate was 135 beats/min, temperature 40.1 °C and respiratory rate 25 breaths/min. Blood pressure was measured at 137/83 mm Hg. Blood tests showed CRP 253 mg/l (reference range <5 mg/l) and leukocytes 2.9 ∙ 109/l (3.5–10 ∙ 109/l). With a suspected infection and four out of four criteria for systemic inflammatory response syndrome (SIRS), he thus fell within the old definition of sepsis.
A diagnosis of SIRS is made if two or more of the following four criteria are fulfilled: temperature above 38 °C or below 36 °C, heart rate above 90 beats/min, respiratory rate above 20 breaths/min or PaCO2 below 4.3 kPa, leukocytes above 12 ∙ 109/l or below 4 ∙ 109/l, or over 10 % immature neutrophil granulocytes. Sepsis was previously defined as SIRS plus infection (2).
The left side of the patient's neck was noticeably swollen with tenderness to palpation, but the skin was unreactive and there was no rubor over the swelling. Chest X-ray showed no relevant changes, and urine dipsticks were negative. The presence of the above symptoms over the site of an indwelling port catheter raised suspicion of a catheter-associated infection. Blood samples were secured for blood cultures before antibiotic treatment with cloxacillin 2 g × 4 and tobramycin 400 mg × 1 was initiated. It proved impossible to aspirate blood from the port catheter, and therefore on admission, blood samples for culture were drawn only from a peripheral vein. The patient was also examined with ultrasound of the neck, which provided no evidence of abscess formation.
In the event of a suspected catheter-associated infection, blood samples should be taken for cultures from both the catheter and a peripheral vein to ensure appropriate diagnostics prior to initiation of antibiotics (3).
Owing to his symptoms of sepsis, the patient was placed under observation in the intensive care unit. Circulation and respiration were stable without the need for vasopressors or respiratory support.
According to national guidelines for antibiotic use in hospitals, the standard treatment for sepsis originating from an intravascular catheter is cloxacillin 2 g × 4 intravenously and gentamicin 5–7 mg/kg × 1 intravenously (4). Upon suspicion of sepsis, antibiotics should be administered "as soon as possible and ideally within an hour of admission, but preferably after a blood culture has been secured. Each hour of delay in initiating effective treatment has been shown to increase mortality by approximately 7 %" (5).
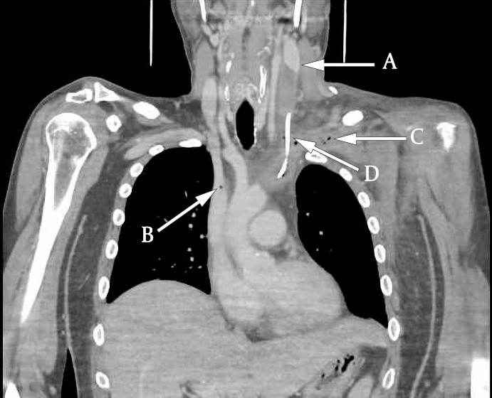
However, ultrasound examination of the neck showed a significant thrombotic mass that almost completely occluded the left internal jugular vein and subclavian vein (Figures 1 and 2). The total extent of the thrombus could not be determined using ultrasound, and therefore CT venography was performed in addition. This revealed extensive thrombosis involving the lower part of the left jugular vein (from the level of the carotid bifurcation), subclavian vein and brachiocephalic vein up to the inlet of the superior vena cava (Figure 3). Multiple air bubbles were dispersed throughout the thrombotic mass. We suspected that these were caused by bacteria, and that the thrombus was thus the focus of the patient's infection.
Ultrasound is a non-invasive and cost-effective method for detecting thrombotic masses. Unfortunately, however, it is suboptimal for diagnosing thrombi located deep below the mandible or clavicle. For this reason, CT venography is preferred by many (6). In our case, CT venography allowed us to determine the extent of the thrombotic mass and also revealed the characteristic air bubbles that strengthened suspicion of an infected thrombus.
Findings of small intravenous air bubbles on CT are not abnormal, as small air bubbles may be injected along with the contrast fluid. Air bubbles may also be seen in the portomesenteric venous system as a result of ischaemia or infection. However, air bubbles within a thrombotic mass are rare, and this finding therefore reinforces suspicion of an infected thrombus (7).
Both infection and thrombosis are common late complications associated with the use of intravascular catheters. The most common complications are listed in box 1 (8).
Acute complications
Arrhythmia
Haemorrhage
Misplacement of catheter
Air emboli
Pneumothorax or haemothorax
Arterial puncture
Thoracic duct injury (upon access via left subclavian vein or left internal jugular vein)
Late complications
Infection
Migration of catheter
Myocardial perforation
Nerve injury
Thrombosis
Intravascular catheters can cause endothelial trauma and inflammation that can lead to venous thrombosis. Intravascular catheters are responsible for 70–80 % of thrombi in superficial or deep veins in the upper extremities (9–11).
The incidence of thrombosis associated with central venous catheters is up to 66 %, but in most cases the thrombi have little clinical significance. A rare but serious complication is infection in a catheter-associated thrombus. This occurs in 7–16 % of cases (12).
Bloodstream infections caused by intravascular catheters are an important cause of both morbidity and mortality worldwide. Their incidence is declining, largely due to increased focus on the issue and to preventive campaigns. For example, the proportion of catheter-associated bloodstream infections in intensive care patients in the USA fell from 3.64 to 1.65 infections per 1 000 central venous catheters over the period 2001–2009 (13). The same trend can be seen in figures from Canada (14).
The port catheter was removed without problems the following day, and a thin, yellow-brown film was seen coating the catheter. The catheter tip was sent for cultivation. Half an hour after removal of the catheter, the patient again developed a transient high fever, tachycardia with a heart rate of 138 bpm and tachypnoea with a respiratory rate of 32 breaths/min. We suspected another bacteraemia resulting from manipulation of the infected thrombus. The patient was given intravenous fluids and his symptoms resolved without the need for further intervention. We considered him to be adequately covered by the ongoing antibiotic regimen of cloxacillin and tobramycin, and therefore made no changes to the antibiotic treatment at this time.
The CT images were evaluated by a vascular surgeon, who recommended continuing conservative treatment with antibiotics as well as a therapeutic dose of low molecular weight heparin (dalteparin) for three months, followed by oral anticoagulants in the form of either warfarin or direct-acting oral anticoagulants (DOACs). In our case, we continued dalteparin 100 IU/kg × 2 beyond the first three months because of uncertainty over whether the patient's absorption of oral medications would be sufficient given his short bowel syndrome.
Catheter cultivation and six out of six blood cultures showed growth of Staphylococcus epidermidis, sensitive to vancomycin, fucidin, chloramphenicol, tetracycline and linezolid. The patient received further treatment with vancomycin, initially 1 g × 2 intravenously, thereafter dosed according to the vancomycin serum concentration.
Infection associated with central venous catheters can be attributed to four main sources: colonisation from the skin, intraluminal contamination of the catheter (via handling of connectors, plugs, etc), haematogenous spread from another focus of infection in the body, and contaminated infusion fluid. Colonisation from the skin is the most common cause, responsible for about 65 % of catheter-associated infections. Intraluminal contamination is also a frequent cause and accounts for about 30 % of infections, especially in surgically implanted catheters or catheters that are indwelling for more than two weeks (15).
Staphylococcus epidermidis is a gram-positive bacterium that is part of the normal skin flora. It is usually non-pathogenic, but may cause infection in patients with risk factors such as reduced immune function or an indwelling foreign body (prosthesis, pacemaker, intravenous catheter, etc.). The bacterium is known to produce biofilms that can grow on implanted devices, and is the most common cause of infections related to medical implants (16). The yellow-brown film we saw upon removal of the catheter was probably a bacterial film discoloured by the thrombus.
Systemic antibiotics are the standard treatment for infections associated with implanted medical devices. However, such infections can be difficult to treat due to biofilm formation. The biofilm can prevent antibiotic efficacy, and successful treatment often requires catheter removal (16).
After 16 days in hospital, the patient was discharged home.
Discussion
In our patient, we quickly suspected that the port catheter could be the focus of infection owing to his clear local symptoms. However, symptoms in immunosuppressed patients may be more subtle and thus more difficult to detect. Local signs of infection may be absent due to leukopaenia, but pain on palpation is often reported nonetheless (17).
It is not possible to determine for certain when in the disease course the thrombotic masses developed in our patient. We know that during treatment of his ileus-related sepsis in intensive care, he was diagnosed with deep vein thrombosis in the right common iliac vein. Most likely, the thrombi in the venous port catheter also developed around this time. They are less likely to have formed later during ongoing treatment with therapeutic dose dalteparin, even though the patient was at increased risk of thrombosis owing to the underlying malignancy. When the port catheter began to be used once again on the ward, for fluid and parenteral nutrition, we were unable to aspirate blood but could easily inject fluid. Had we examined the blood vessel with ultrasound at this point, we might have seen the thrombotic mass in the vein, and not a fibrin sleeve, which we assumed to be the cause of the aspiration difficulties.
We also do not know at what point this uncomplicated thrombus became an infectious thrombus. We assume that the most likely route of contamination is intraluminal contamination, due to daily use of the port catheter for parenteral nutrition.
We have reviewed our own guidelines in connection with this case report. We are now adding a paragraph stating that one should be particularly vigilant in the event of deep vein thrombosis and consider additional diagnostic tests related to the catheter; in the event of septicaemia, removal of the port catheter should also be considered.
Conclusion
Our aim with this case report is to highlight complications related to central venous catheters. Indwelling catheters pose a risk of thrombosis, as well as a risk of colonisation in patients with bacteraemia. We also wish to draw attention to infected thrombi as a source of further infection. We hope that this article will contribute to increased vigilance with respect to patients at particular risk of these complications.
The patient has consented to the publication of this article.
- 1.
Chang DH, Mammadov K, Hickethier T et al. Fibrin sheaths in central venous port catheters: treatment with low-dose, single injection of urokinase on an outpatient basis. Ther Clin Risk Manag 2017; 13: 111–5. [PubMed][CrossRef]
- 2.
Bone RC, Balk RA, Cerra FB et al. Definitions for sepsis and organ failure and guidelines for the use of innovative therapies in sepsis. Chest 1992; 101: 1644–55. [PubMed][CrossRef]
- 3.
Mermel LA, Allon M, Bouza E et al. Clinical practice guidelines for the diagnosis and management of intravascular catheter-related infection: 2009 Update by the Infectious Diseases Society of America. Clin Infect Dis 2009; 49: 1–45. [PubMed][CrossRef]
- 4.
Helsedirektoratet. Retningslinjer for bruk av antibiotika i sykehus. Sepsis. https://helsedirektoratet.no/retningslinjer/antibiotikai-sykehus/seksjon?Tittel=sepsis-1116#sepsis,-mistanke-om-utgangspunkt-i-intravaskulært-kateter (10.12.2017).
- 5.
Helsedirektoratet. Om sepsis – SIRS-kriterier – diagnostiske kriterier ved organsvikt – praktiske tiltak – antibiotikabehandling (forslag). https://helsedirektoratet.no/retningslinjer/antibiotika-i-sykehus/seksjon?Tittel=om-sepsis-sirs-kriterier-10361 (10.12.2017).
- 6.
Mukherjee K, Chakrabart U, Mazumder P et al. Infected internal jugular vein thrombus in a case of infected arterio-venous fistula for dialysis access. Ann Vasc Dis 2014; 7: 335–8. [PubMed][CrossRef]
- 7.
Macari M, Panicek DM, Morris E. CT demonstration of infected SVC thrombus. Clin Imaging 1998; 22: 122–3. [PubMed][CrossRef]
- 8.
McGee DC, Gould MK. Preventing complications of central venous catheterization. N Engl J Med 2003; 348: 1123–33. [PubMed][CrossRef]
- 9.
Joffe HV, Goldhaber SZ. Upper-extremity deep vein thrombosis. Circulation 2002; 106: 1874–80. [PubMed][CrossRef]
- 10.
Flinterman LE, Van Der Meer FJ, Rosendaal FR et al. Current perspective of venous thrombosis in the upper extremity. J Thromb Haemost 2008; 6: 1262–6. [PubMed][CrossRef]
- 11.
Mustafa S, Stein PD, Patel KC et al. Upper extremity deep venous thrombosis. Chest 2003; 123: 1953–6. [PubMed][CrossRef]
- 12.
Tacke J, Adam G, Sliwka U et al. Diagnosis of an infected thrombus of the inferior vena cava with ultrasound and computerized tomography. Radiologe 1995; 35: 521–3. [PubMed]
- 13.
Centers for Disease Control and Prevention (CDC). Vital signs: central line-associated blood stream infections–United States, 2001, 2008, and 2009. MMWR Morb Mortal Wkly Rep 2011; 60: 243–8. [PubMed]
- 14.
Fontela PS, Platt RW, Rocher I et al. Epidemiology of central line-associated bloodstream infections in Quebec intensive care units: a 6-year review. Am J Infect Control 2012; 40: 221–6. [PubMed][CrossRef]
- 15.
Bouza E, Burillo A, Muñoz P. Catheter-related infections: diagnosis and intravascular treatment. Clin Microbiol Infect 2002; 8: 265–74. [PubMed][CrossRef]
- 16.
McCann MT, Gilmore BF, Gorman SP. Staphylococcus epidermidis device-related infections: pathogenesis and clinical management. J Pharm Pharmacol 2008; 60: 1551–71. [PubMed][CrossRef]
- 17.
Klingenberg C. 1.4. Sentralvenøse katetre (CVK) til langtidsbruk. Pediatriveileder. https://www.helsebiblioteket.no/retningslinjer/pediatri/medisinske-prosedyrer/1.4-sentralvenøse-katetre-cvk (10.12.2017).