Under pressure

    ()

    sporsmal_grey_rgb
    Article

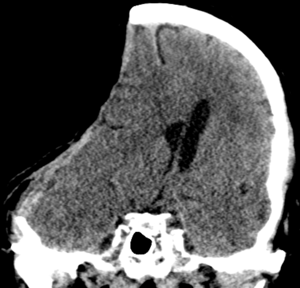
    This image shows paradoxical brain herniation in a patient with known renal failure, hypertension and coronary artery disease who had undergone a hemicraniectomy a few months earlier. Paradoxical brain herniation is a rare, and potentially life-threatening, complication following removal of a large area of the skull. One of the roles of the skull is to protect the brain from the difference in intracranial pressure relative to atmospheric pressure. In larger craniectomies, the atmospheric pressure may exceed the intracranial pressure, causing displacement of underlying brain tissue and, at worst, herniation (1). The condition is most commonly seen with acute pressure changes following lumbar puncture or drainage of cerebrospinal fluid (with a shunt or ventricular drain) in patients who have undergone a craniectomy, and may be further exacerbated by dehydration or head-of-bed elevation. Acute treatment consists of lowering the head of the bed and making mechanical improvements to cerebrospinal fluid drainage if appropriate (adjusting the resistance of ventricular or lumbar drains), as well as replacing the bone flap if possible. Intensive treatment with overpressure ventilation (2) and fluid therapy or treatment of heart failure can alter the intracranial pressure and in some cases contribute to the development of this condition.

    The patient's next of kin have consented to the publication of this article.

    The article has been peer-reviewed.

    Comments  ( 0 )
    PDF
    Print

    Recent Articles