Diagnostic imaging of COVID-19 patients

    ()

    sporsmal_grey_rgb
    Article

    COVID-19 provides a many-faceted disease picture, and there are several potential diagnostic imaging methods for assessing and monitoring patients. The following is a review of indications and usefulness and presents example images with typical findings at different stages of the disease. As viral pneumonia and acute respiratory distress syndrome are salient features, special emphasis is placed on X-ray and CT imaging of the lungs.

    In the ongoing pandemic, the value of diagnostic imaging must be balanced against available resources. Both the capacity challenges presented by the crisis and the interests of infection control point to strictly targeted use. The need for diagnostic imaging of COVID-19 patients must be managed in the same way as for other patient cohorts, on the basis of a clinical evaluation, but only when the findings are anticipated to have therapeutic implications. See Box 1 for our recommendations.

    Box 1 Our diagnostic imaging recommendations
    1. The need for diagnostic imaging of patients with COVID-19 is based on clinical assessment in the same way as for other patient cohorts. Infection status must not prevent necessary diagnostic procedures and assessment.

    2. Diagnostic imaging can only be justified where the findings will have clearly defined therapeutic implications.

    3. Chest X-rays are neither sensitive nor specific to COVID-19, and findings may be normal in early stages of the disease.

      • At the time of assessment, a chest X-ray is indicated with differential diagnoses in mind, but can neither rule out nor confirm COVID-19. The examination is also important as a baseline for disease progression and later follow-up.

      • In the course of the disease, a chest X-ray is indicated for checking technical medical equipment, on suspicion of complications, and in follow-up and monitoring when findings may have implications for further treatment.

      • Daily routine chest X-ray is not indicated for stable intubated patients.

    4. Chest CT may be sensitive to COVID-19 pneumonia, but is not specific. Other acute interstitial pneumonias may yield similar findings.

      • CT should not be used as a screening tool for patients with mild or no symptoms.

      • At the time of assessment, CT can be used for unresolved conditions, negative polymerase chain reaction (PCR) and clinical suspicion of COVID-19, and when establishment of infection has substantial consequences.

      • In the course of the disease, CT is indicated in the event of clinical suspicion of complications.

      • Incidental findings on CT scans that arouse suspicion of COVID-19 should lead to prompt assessment for COVID-19.

    5. The disease may present with symptoms in other organ systems and may appear as a secondary finding in radiological examinations on another indication. This demands alertness and good organisation.

    Background documents and recommendations on imaging of patients with COVID-19 have rapidly been drawn up worldwide (1–4). To date (April 2020) this has not been done at national level in Norway. In our experience, both CT and chest X-ray are used to only a limited degree as a primary diagnostic method. Both methods are well established and often a matter of course in assessing and monitoring pulmonary disease.

    Clinicians should familiarise themselves with CT and X-ray findings that are typical of COVID-19 pneumonia. In the following we therefore present such findings in the different stages of the disease.

    Diagnostic imaging findings in COVID-19 cases must be regarded as non-specific and overlapping with findings in other viral pneumonias and some bacterial pneumonias. X-ray findings alone do not rule out the need for specific virus testing and should not be regarded as a substitute for this.

    Infection prevention concerns associated with radiological methods

    Infection prevention concerns associated with radiological methods

    The World Health Organization and the Norwegian Institute of Public Health have defined the means of infection of SARS-CoV-2 as droplet infection, while some procedures entail a risk of aerosol release which implies that the situation will be defined as airborne infection (5). Radiographers are exposed to infection through close contact with a large number of patients. Radiologists may be exposed through ultrasound and interventional activities.

    Disinfection of radiological equipment can be complicated and time-consuming. If there is no visible spillage, contact infection procedures require that surfaces or points with which the patient and personnel have been in direct contact during the examination must be disinfected for three minutes with disinfection spirit. Visible spillage is disinfected with an approved disinfectant for the recommended time. If the patient has not worn a mask during the examination, the droplet regimen is used; i.e. disinfection of equipment and surfaces within a radius of two metres from the patient's face and which have been exposed to droplets for some time (several minutes). Equipment, inventory and surfaces that the patient has passed only briefly do not need to be disinfected unless there has been direct contact. Disinfection in connection with aerosol-generating procedures is the same as for airborne infection.

    If several machines of similar kind are available, it is practical to allocate one to patients with droplet infection in order to shield the other activities. Sound procedures for transport of potentially infectious patients through the department, based on ventilation, the possibility of a screened entrance and use of different machines from those used for other activities are important. COVID-19 may make chest X-ray monitoring necessary in the observation ward and Intensive Care Department. We recommend that a portable X-ray unit be allocated to a defined infection cohort.

    COVID-19 can also affect persons with other diseases. We must therefore be prepared to handle any diagnostic procedure, survey or intervention, also concurrently with SARS-CoV-2 infection. Droplet infection procedures have now become extra relevant in connection with angiography, MRI and nuclear medicine methods.

    In some cases, asymptomatic COVID-19 will be suspected on the basis of findings from a pulmonary CT scan performed on another indication, for example in connection with cancer follow-up in the Department of Radiology or with PET/CT. To avoid lack of clarity concerning the management of the infection prevention regimen in relation to these patient categories, we strongly recommend that all hospitals plan for such situations.

    Microbiological diagnostics

    Microbiological diagnostics

    SARS-CoV-2 RNA is detected by means of real-time PCR. The tests offered in Norway are regarded as having very high analytical sensitivity and specificity (6). Throat and nasopharyngeal swab specimens are recommended. In cases of severe affection of the lungs, a specimen from the lower respiratory tract is also recommended (7, 8). The viral load in the upper respiratory tract is highest at the onset of symptoms (on average about 106 virus copies/ml) and falls after 5–7 days, but remains high in the lower respiratory tract in severe cases (9, 10). The analysis time is currently about four hours; the response time will vary depending on logistics and other local conditions. PCR rapid tests yielding results in less than an hour are in use. Serological analyses detect antibodies against SARS-CoV-2 and are now being established in Norwegian laboratories. Rapid tests that detect antigen or antibodies against SARS-CoV-2 are available, but as of April 2020 are not quality assured (11).

    Chest X-rays

    Chest X-rays

    Capacity

    Capacity

    Some hospitals have an X-ray laboratory in connection with the emergency department, but for the majority, mobile X-ray scanners will be most relevant. The advantage of conducting the examination at the patient's location is that infection transmission within the X-ray Department is avoided.

    Technology and image quality

    Technology and image quality

    The quality of an X-ray image of the thorax – and hence the expected value – is optimal if the examination is conducted in two planes standing in a laboratory, and poorest if it is conducted with a mobile scanner on a patient lying flat in bed. A higher diaphragm level and suboptimal degree of inspiration may give the illusion of ground-glass opacities, and reduced sensitivity must be expected for detection of all relevant findings, including pleural fluid and consolidations. However, bedside imaging is the only option with severely ill patients.

    Sensitivity and findings

    Sensitivity and findings

    Chest X-rays have a low sensitivity for detecting ground-glass opacities and may be 'normal' early in the course of COVID-19 and in asymptomatic persons (12, 13).

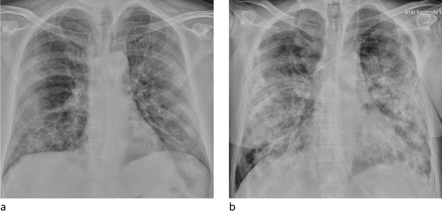
    In a dataset from Hong Kong, 69 % had findings on chest X-rays prior to treatment (baseline), but 9 % had findings on chest X-ray prior to positive PCR (14). Sensitivity for chest X-ray was 69 % and for PCR 91 %. The most common X-ray findings were bilateral consolidation and ground-glass opacities with peripheral and caudal distribution. The findings were most pronounced 10–12 days after the onset of symptoms. Figures 1 and 2 show typical chest X-ray patterns in patients with COVID-19.

    Indications

    Indications

    Patients with moderate symptoms should be evaluated for imaging in accordance with routines for other respiratory diseases. However, chest X-ray is not recommended as the primary modality for specific diagnosis of COVID-19 because a normal X-ray image does not rule out the disease and because typical findings are not specific enough to confirm it either. A chest X-ray may nonetheless be indicated with differential diagnosis in mind.

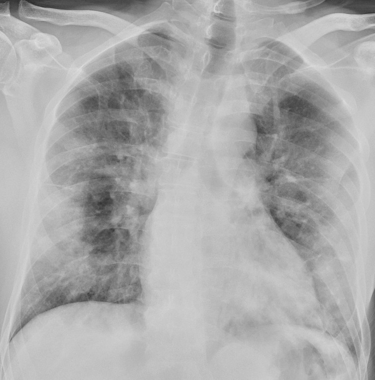
    For inpatients, a bedside X-ray image at an early stage of the disease may be useful as a basis of comparison for interpreting later images. In patients with severe disease, bedside X-rays will be indicated to check technical medical equipment (Figure 3), but daily, routine chest X-rays are not indicated for stable patients. In the course of the disease, bedside X-ray will be indicated on suspicion of complications and for following up and monitoring the progression of the disease.

    Chest CT

    Chest CT

    Capacity and availability

    Capacity and availability

    The laboratory capacity for CT scans will be reduced because cleaning after the examination of an infected patient is time-consuming. The potential value of the examination must be weighed up against the strain that the transfer places on a critically ill patient. Sound procedures for moving the patient through the hospital prevent infection. The patient should be fitted with a surgical mask prior to transportation.

    Technology

    Technology

    If the indication is extent of pulmonary disease, an intravenous contrast medium is not necessary. IV contrast medium can blur the presentation of some pulmonary changes, such as ground-glass opacities. The CT scan must be of high enough quality and with a sufficient radiation to show subtle pathology. Reconstructions with thinner and thicker sections with edge-enhancing and soft algorithms are necessary. With low-dose techniques, the noise level in high resolution images may increase substantially at the expense of spatial resolution. We therefore recommend a computed tomography dose index (CTDI) in the order of 5–10 mGy.

    For assessing suspected complications, contrast medium is used if indicated. In the event of a relative contraindication for contrast medium, spectral CT (double-energy technology) can be used to reduce the volume of contrast medium and at the same time achieve adequate image quality, for example to detect pulmonary embolisms.

    Findings

    Findings

    Typical CT findings vary with symptom duration and can be divided into three stages: an early phase, an intermediate phase that extends from 3–5 days after symptom onset, and a late phase.

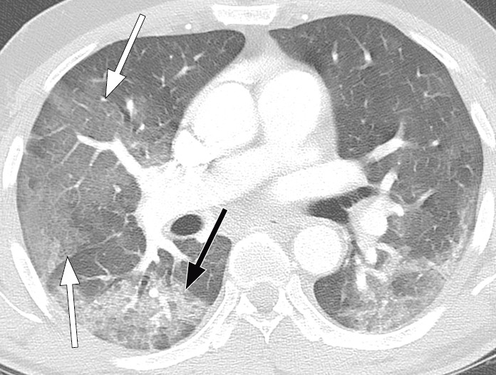
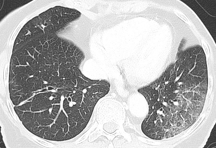
    There are not always CT findings the first few days after symptom onset. In a material with symptomatic, but unspecified patients, 56 % had normal CT findings within two days of symptom onset (12), declining to 9 % 3–5 days after symptom onset and 4 % 6–12 days after symptom onset. The frequency of findings varies with the severity of the disease. Initial diagnostic imaging yielded normal findings for 18 % in a cohort of patients who were not severely ill, but in only 3 % of patients who were (15). Typical CT findings are multiple, bilateral ground-glass opacities with peripheral distribution, most frequently located in the lower lobes. In the intermediate phase there are increasing amounts of consolidation and affection of several lobes, and increased septation with crazy paving as sign of interstitial affection. In the late phase there is increasing total extension, but ground-glass opacities and consolidation are still the dominant findings (12, 16). Figures 4, 5 and 6 show typical CT findings in different phases of COVID-19.

    In a severe disease course, distortion of the lung architecture, traction bronchiectasis, enlarged lymph nodes and pleural fluid can be detected. These are findings that are not specific for COVID-19 (17).

    Sensitivity

    Sensitivity

    The sensitivity of the examination in detecting COVID-19 pneumonias is reported as being up to 97 % (18, 19), and it may therefore be more sensitive than PCR of specimens from the upper respiratory tract (18, 20, 21). There is evidence that the viral load is significantly higher in the lower than in the upper respiratory tract in COVID-19 pneumonia (8, 9). Detection of SARS-CoV-2 in cases of pneumonia should therefore include specimens from the lower respiratory tract (8). CT changes were included as an important diagnostic feature (major evidence) in Hubei after 12 February 2020 (22). Reports of CT findings prior to the onset of clinical symptoms (23) proposed to use CT as a screening tool – together with PCR – for potentially infectious patients where false negative PCR tests are suspected (24). Where there is a low pre-test probability of disease, however, CT has a low positive predictive value (25), and leading communities in Europe and the USA have warned against using CT as a screening tool (2, 4, 26). The time elapsing from symptom onset to CT findings varies as well, which means that a normal CT shortly after symptom onset does not rule out COVID-19.

    The pulmonary changes with COVID-19 are non-specific and overlap with findings for other acute interstitial pneumonias, including influenza (27, 28). As incidental findings on CT scans carried out on other indications, the changes should nonetheless lead to prompt COVID-19 testing during an ongoing pandemic.

    Indications

    Indications

    CT is not recommended as a screening tool for COVID-19. CT should only be used for patients with unresolved symptoms after a systematic clinical evaluation. CT can be considered as first-line modality in cases of significant symptoms such as dyspnoea requiring treatment, negative or unresolved PCR, when the establishment of infection has consequences, in cases of unresolved findings on chest X-rays, and for patients with underlying diseases such as diabetes, obesity and chronic pulmonary disease.

    COVID-19 can also present with abdominal pain, particularly acute and combined with fever (29). We recommend alertness to such atypical symptoms, and radiologists, in counsel with a clinical doctor, can consider adding a chest scan to an already ordered abdominal CT scan (29, 30).

    Patients with the disease may also present with confusion or impaired level of consciousness, which may prevent reliable determining of their infection or quarantine status. For this patient group, too, it may be relevant to perform an acute chest CT under a droplet infection regimen, first and foremost if they are going to have another CT scan anyway.

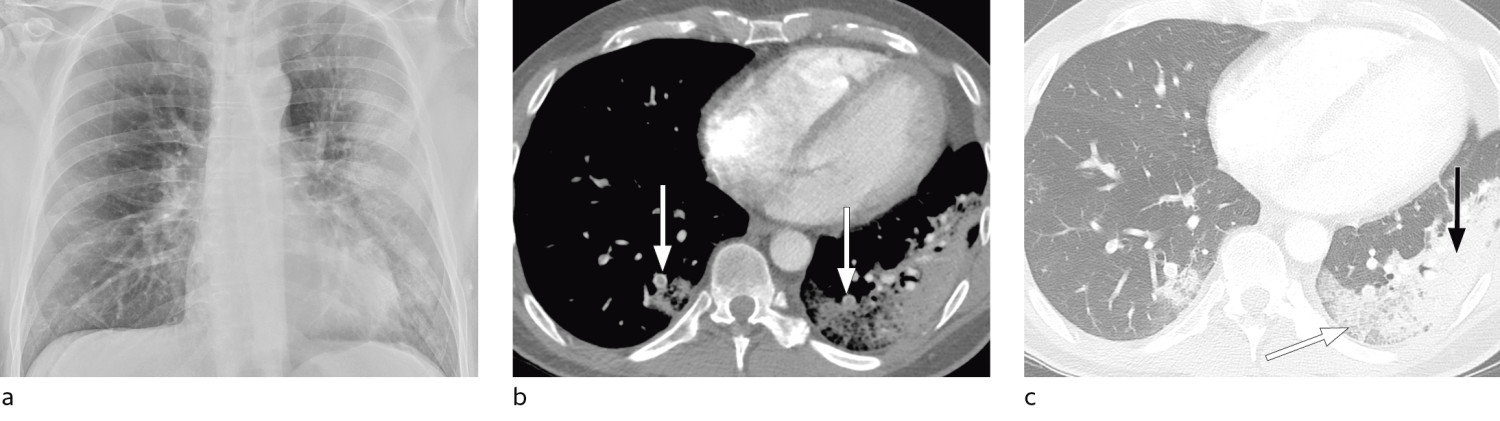
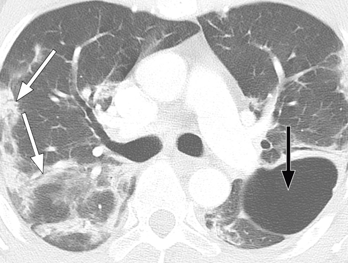
    In patients with acute respiratory distress syndrome (ARDS), CT can provide useful information about available ventilatable lung volume with a view to optimising ventilation (31, 32), and it can be essential for identifying bullae or pneumothorax. For patients with confirmed COVID-19, CT may be indicated in the event of suspected complications such as pulmonary embolism or superinfection (Figure 7) and for following up unresolved findings on chest X-rays.

    Ultrasound thorax

    Ultrasound thorax

    Ultrasound is a useful aid when there is a need for diagnosis and drainage of pleural fluid. Ultrasound can also show signs of COVID-19 pneumonia, such as subpleural consolidations, alveolar consolidations, pleural thickening and B-lines that appear as tail-shaped artefacts (33, 34). It is not suitable for distinguishing bacterial aetiology from viral. Other causes of symptoms akin to acute respiratory distress may also give rise to similar changes on ultrasound.

    Chest ultrasound may play a part in monitoring therapy for existing disease. CT would depict these changes more objectively, but one advantage of ultrasound is that the examination can be conducted bedside in severely ill patients. The disadvantage is that it is operator-dependent, and an experienced radiologist or intensive care doctor is necessary to ensure clinically meaningful examinations. Because of this we cannot issue a general recommendation for this method.

    Echocardiography

    Echocardiography

    Advanced age, male sex, hypertension, other cardiovascular disease and diabetes increase the risk of a severe course of COVID-19 infection (35). Both the infection per se and pulmonary failure in the form of acute respiratory distress syndrome, with increased stress and risk of hypoxia, generate a risk of myocardial damage and/or ischaemia. Echocardiogaphy may be essential for resolving situations with troponin release, arrhythmia and heart failure (35), but is only indicated when this has a probable impact on treatment. Many issues can be clarified at the bedside with a hand-held ultrasound scanner (36). The challenge of infection prevention is at least as great as with any other ultrasound examination. In the event of myocardial infarction, invasive diagnostics and treatment are necessary.

    CT and MRI of the brain

    CT and MRI of the brain

    In a retrospective study from Wuhan in China, 36 % of hospitalised patients with COVID-19 had neurological symptoms (37). The most common symptoms were acute cerebrovascular disease, altered consciousness and musculoskeletal symptoms. Headache and impaired sense of taste and smell were also among the findings, and were more common in the seriously ill. Cerebral changes as with haemorrhagic encephalitis have also been described (38), a serious complication that may arise in connection with an intracranial cytokine storm. These studies suggest that COVID-19 may also give an indication for intracranial examinations with either CT or MRI, primarily in order to detect ischaemia in need of treatment.

    Comments  ( 0 )
    PDF
    Print

    Recent Articles