Multiorgan inflammatory syndrome associated with SARS-CoV-2 in a child

    ()

    sporsmal_grey_rgb
    Article

    This case report describes a child with heart failure and incipient multiorgan failure following infection with SARS-CoV-2. This is not COVID-19, but a delayed immune response known as multiorgan inflammatory syndrome. We have treated a number of children with this condition, and similar cases have been reported internationally. Patients can quickly become seriously ill, with high fever, gastrointestinal symptoms and cardiogenic shock.

    A child of late primary school age was admitted to the paediatric surgery department after four days of abdominal pain, nausea, vomiting, frontal headache and reduced general condition. Over the last three days s/he had had a temperature of up to 39 °C. The patient had known food allergies, but was otherwise in good health.

    Two days prior to admission, the child was prescribed phenoxymethylpenicillin by his/her general practitioner owing to suspected acute otitis media. The night before the admission, the family contacted the out-of-hours medical service because the patient had a persistent high fever. Treatment failure for acute otitis media was suspected, and the treatment was changed to trimethoprim/sulfamethoxazole. The child had not had a cough or diarrhoea, but had had mild rhinitis. The parents also reported that the child had seemed confused in association with the fever.

    On the morning of the admission, the family contacted the out-of-hours medical service again owing to high fever, shortness of breath, increasing abdominal pain, nausea and vomiting. The patient was hospitalised in acute surgical admissions with suspected appendicitis. The child had had no known exposure to SARS-CoV-2.

    Upon admission, the patient was alert, oriented and responsive. S/he was overweight with a body mass index in the 97th percentile for his/her age. The child had dry, cracked lips and slightly dry oral mucosa. Bilateral, non-purulent injection of the sclera was apparent, along with mild erythema in both palms. Palpation revealed 3–4 mm glandules along the sternocleidomastoid muscle bilaterally.

    The patient had a pulse of 137 beats/minute and blood pressure of 111/67 mm Hg (normotensive). Tympanic temperature was 38.9 °C. Respiration was normofrequent and effortless, with oxygen saturation (SpO2) 100 % on room air. The patient showed diffuse tenderness to palpation and rebound tenderness over the entire abdomen, but most pronounced in the lower right quadrant. Bowel sounds were normal, and there were no palpable masses or organomegaly. The results of other clinical tests were normal.

    A sample of nasopharyngeal aspirate was collected for viral diagnostics, including SARS-CoV-2, and blood cultures and blood samples were collected (Table 1). As we could not rule out appendicitis, pneumonia, or a serious bacterial infection with possible origin in the abdomen, treatment was switched to piperacillin/tazobactam and intravenous fluids.

    Table 1

    Blood test results upon admission and highest/lowest values. Abnormal values are shown in bold.

    Analysis

    Upon admission

    Highest/lowest value

    Reference range

    Haemoglobin (g/100 ml)

    12.4

    8.4

    11.0–15.5

    White blood cells (· 109/l)

    6.0

    12.7

    4.5–14

    Differential count (machine)
    (· 109/l)

    Neutrophil granulocytes

    5.4

    10.3

    1.5–8

    Lymphocytes

    0.3

    0.3

    1.5–6.5

    Sedimentation rate (mm)

    46

    46

    1–12

    Thrombocytes (· 109/l)

    144

    73

    150–450

    Fibrinogen (g/l)

    3.3

    4.4

    1.9–4

    D-dimer (mg/l)

    24

    24

    < 0.5

    Albumin (g/l)

    44

    20

    36–48

    Creatinine (µmol/l)

    114

    172

    37–63

    Carbamide (mmol/l)

    9.2

    11.2

    3.2–8.2

    AST (u/l)

    55

    73

    15–45

    ALT (u/l)

    40

    64

    10–45

    Lactate dehydrogenase (u/l)

    430

    430

    111–295

    Pancreatic amylase (u/l)

    11

    352

    10–65

    Procalcitonin (µg/l)

    109.6

    115.6

    < 0.1

    CRP (mg/l)

    300

    368

    0–4

    Prothrombin time-INR (N-Ratio)

    1.4

    1.4

    0.9–1.2

    Activated partial thromboplastin time (s)

    27

    31

    22–30

    Troponin T (ng/l)

    453

    0–14

    ProBNP (ng/l)

    30 000

    0–170

    Ferritin (µg/l)

    1 700

    7–140

    Sodium (mmol/l)

    137

    134

    137–145

    Potassium (mmol/l)

    2.4

    2.4

    3.4–4.7

    Chloride (mmol/l)

    101

    114

    102–110

    Ionised calcium (mmol/l)

    1.22

    1.02

    1.15–1.33

    Arterial blood gases

    pH

    7.43

    7.36

    7.35–7.45

    PaCO2 (kPa)

    4.3

    5.6

    4.7–6.0

    PaO2 (kPa)

    9.6

    9.4

    10–14

    Lactate (mmol/l)

    1.2

    5.6

    0.4–0.8

    Base excess (mmol/l)

    −3

    −8

    −3–3

    Actual bicarbonate (mmol/l)

    21.4

    26.6

    22–26

    Extensive microbiological testing was performed, and all bacteriological and virological tests were negative, including repeated blood cultures, urinary culture, and respiratory virus and enterovirus diagnostics.

    Chest X-ray showed central radiating opacities extending bilaterally to the periphery and somewhat more diffuse opacities basally on both sides. Abdominal ultrasound revealed two notable lymph nodes in the right fossa and one on the posterior abdominal wall with a short-axis diameter of up to 15 mm.

    As the appendix could not be visualised, CT with intravenous contrast was used to examine the abdomen, pelvis and thorax. This revealed numerous pathologically enlarged mesenteric lymph nodes, including some with central decay. There was no evidence of appendicitis or pathology in the lung parenchyma.

    Polymerase chain reaction (PCR) testing of the nasopharyngeal aspirate specimen collected upon admission was negative for SARS-CoV-2, and droplet precautions were therefore lifted after a few hours. However, they were reinstated following examination by a paediatrician the next day, when both the clinical picture, with pronounced abdominal pain and nausea, and the blood test results, with high inflammatory markers, lymphopenia and thrombocytopenia, strongly suggested SARS-CoV-2-associated disease.

    The patient's condition had clearly deteriorated, with persistent high fever and pronounced lethargy. The child was oriented to time and place, but appeared confused. S/he gradually developed hypotension, and biochemical markers indicated myocarditis and heart failure, while creatinine levels were increasing.

    The child was transferred to the paediatric intensive care unit with cardiogenic shock and incipient multiorgan failure, hypotension (82/45 mm Hg), oliguria, altered sensorium, and tachypnoea with frequency 40–50/min, but without the need for oxygen or respiratory support. Vasopressor therapy (noradrenaline) was initiated, with a subsequent transition to inotropy (adrenaline) following echocardiography and measurement of central venous oxygen saturation at 62 %. Hydrocortisone 1 mg/kg × 2 was also administered as substitutive therapy. Following normalisation of blood pressure, the patient was given diuretics to re-establish proper diuresis and reduce strain on the heart.

    Echocardiography initially showed reduced left ventricular systolic function, with fractional shortening (FS) of 20 % (M-mode from the parasternal view) and global longitudinal strain (GLS) of −12 % (from the apical four-chamber view). There were no signs of left ventricular dilatation or pulmonary hypertension. Fractional shortening of less than 25 % and GLS of greater than −16 % indicate significant myocardial dysfunction.

    SARS-CoV-2-PCR was finally positive in a laryngeal aspirate collected on day 3. The finding was later confirmed through positive SARS-CoV-2 serology (1).

    On day 3, the patient was no longer confused but was still very lethargic. The abdominal pain, headaches and nausea had resolved, but the abdomen remained soft with tenderness to palpation. Cerebrospinal fluid from a lumbar puncture showed no evidence of infection or inflammation of the central nervous system. The mucocutaneous manifestations had resolved. Troponin T and creatinine levels ​​were decreasing.

    CRP, procalcitonin and ferritin levels remained highly elevated, and the patient continued to have a high fever. ProBNP had increased from 8 000 ng/l in the afternoon on day 2 to 30 000 ng/l. On suspicion of multiorgan inflammatory syndrome, 2 g/kg immunoglobulins were administered.

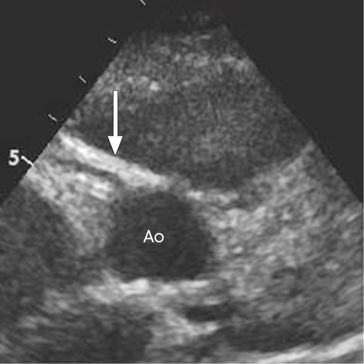
    On day 4, echocardiography showed increased echo in the coronary artery wall, which may be an early sign of cardiac involvement (Figure 1). Inflammatory markers had fallen nicely after the first dose of immunoglobulins, but the fever persisted. The patient was therefore started on oral acetylsalicylic acid 500 mg × 4 daily. On day 5, a second equivalent dose of immunoglobulins was administered and the patient became afebrile.

    Figure 1 Echocardiogram of the aorta in cross-section (Ao) showing the exit point of the right coronary artery (arrow). The…
    Figure 1 Echocardiogram of the aorta in cross-section (Ao) showing the exit point of the right coronary artery (arrow). The right coronary artery has increased echo in the vessel wall, which can be seen in the acute stage of Kawasaki syndrome.

    The patient was able to breathe independently throughout, but experienced occasional tachypnoea with a brief need for supplemental oxygen. CT thorax performed on day 4 to exclude pulmonary embolism showed a basilar opacity and modest ground-glass opacities in the left lung, a clear right lung and no pulmonary emboli (Figure 2).

    Figure 2 CT thorax with intravenous contrast shows a basilar opacity and modest ground-glass opacities in the left lung, a…
    Figure 2 CT thorax with intravenous contrast shows a basilar opacity and modest ground-glass opacities in the left lung, a clear right lung, and no pulmonary emboli.

    Piperacillin/tazobactam was discontinued on day 4 as the patient had not responded, and there was no growth in the blood cultures. The inotropic treatment was discontinued after five days because the patient was normotensive and echocardiography showed normalisation of the left ventricular function.

    Echocardiography performed on day 10 and after five weeks provided no evidence of coronary artery aneurysm. The patient will continue on low dose acetylsalicylic acid and will be followed up by a paediatric cardiologist.

    Discussion

    Discussion

    Most children infected with SARS-CoV-2 are asymptomatic or have only mild symptoms (2). However, in rare cases, children may develop serious multiorgan inflammation and require intensive care. On 27 April 2020, the Paediatric Intensive Care Society issued an alert about a sharp increase in children with serious inflammation and multiorgan failure in association with previous SARS-CoV-2 infection during the pandemic (3). These patients were described in The Lancet a few days later (4). The condition bears similarities to Kawasaki syndrome and toxic shock syndrome. Over the past few weeks, an increasing number of reports have emerged from several countries describing children with a similar disease course (5–9).

    The condition has been assigned two different names: paediatric inflammatory multisystem syndrome (PIMS) (European Centre for Disease Prevention and Control) (10) and multisystem inflammatory syndrome (MIS) in children and adolescents temporally related to COVID-19 (World Health Organization) Box 1) ((11).

    Box 1 World Health Organization (WHO) preliminary definition of multiorgan inflammatory syndrome in children and adolescents temporally related to COVID-19 (11). All six criteria must be met.
    1. Age 0–19 years

    2. Fever for more than three days

    3. Clinical signs of multiorgan involvement with at least two of the following

      • Rash or bilateral non-purulent conjunctivitis or mucocutaneous inflammation signs (oral, hands or feet)

      • Hypotension or shock

      • Evidence of myocardial dysfunction, pericarditis, valvulitis or coronary abnormalities (including echocardiography findings or elevated troponin T/proBNP)

      • Evidence of coagulopathy (prothrombin time, partial thromboplastin time, elevated D-dimer)

      • Acute gastrointestinal symptoms (diarrhoea, vomiting or abdominal pain)

    4. Elevated inflammation markers such as sedimentation rate, CRP or procalcitonin

    5. No other obvious microbiological explanation for the symptoms, including bacterial sepsis, staphylococcal or streptococcal shock syndromes

    6. Evidence of SARS-CoV-2 infection or likely contact with a patient with COVID-19

    Our patient was hospitalised a few days after the first report and eventually fulfilled all of the proposed WHO criteria. It was in large part due to this report that we continued to suspect SARS-CoV-2-related disease, and therefore decided to use droplet precautions for the child and perform further testing.

    Affected children have largely been treated in accordance with the guidelines for Kawasaki syndrome (3–9). Kawasaki syndrome is a self-limiting vasculitis, primarily occurring in children <5 years of age, which can lead to inflammation of medium-sized arteries and the development of coronary artery aneurysms. The diagnosis is made on the basis of defined criteria (12). The pathogenesis is unclear, but the condition is hypothesised to be a delayed immune response secondary to an infection in genetically predisposed individuals (13).

    In France, 35 children have been described with a clinical history and course closely resembling those of our patient. The children had a median age of ten years and developed febrile cardiogenic shock with left ventricular dysfunction and an inflammatory syndrome. They had high levels of inflammatory markers, including very high levels of interleukin-6, indicative of a cytokine storm. Gastrointestinal symptoms were described in 83 % of the cases (7).

    In England, 58 children with multiorgan inflammatory syndrome had varying disease severities and a wide range of symptoms, from fever and signs of inflammation to myocardial injury, cardiogenic shock and the development of coronary artery aneurysms. In total, 50 % of the children developed cardiogenic shock and required inotropic support (9).

    Multiorgan inflammatory syndrome and Kawasaki syndrome have many similarities, including fever, mucocutaneous manifestations, lymphadenopathy, myocarditis and high levels of inflammatory markers, but they also differ in several ways (Table 2). Multiorgan inflammatory syndrome often has a more rapid and severe course and appears to particularly affect older children of African American ancestry (as opposed to Asian ancestry for Kawasaki syndrome). The patients have gastrointestinal symptoms and may develop left ventricular dysfunction and cardiogenic shock, which are unusual in Kawasaki syndrome. A shock syndrome with hypotension and poor peripheral circulation has been described in cases of Kawasaki syndrome, but left ventricular dysfunction is uncommon (14, 15). Lymphopenia, thrombocytopenia and high proBNP are typical of multiorgan inflammatory syndrome, but not of Kawasaki syndrome (4–9).

    Table 2

    Differences between multiorgan inflammatory syndrome (MIS) and Kawasaki syndrome (39, 12, 13).

    Characteristic

    Multiorgan inflammatory syndrome

    Kawasaki syndrome

    Age

    80 % > 5 years

    Usually < 5 years
    Very rarely > 11 years

    Ethnicity

    Usually African American. Cases have yet to be described in Japan or China

    Usually Asian

    Gastrointestinal symptoms

    Occur in almost all cases

    Occur in some cases

    Cardiovascular changes

    Left ventricular dysfunction with high proBNP

    Rarely myocarditis, more often involvement of coronary vessels. Rarely elevated proBNP

    Lymphopenia/thrombocytopenia

    Yes

    No

    Fever

    Yes, rapid-onset and high

    Yes, but may be low-grade

    SARS-CoV-2

    Yes, often antibody-positive
    (but often PCR-negative in nasopharynx)

    No

    Our patient had both positive serology and a positive PCR result from a laryngeal specimen. PCR is often positive early in the SARS-CoV-2 disease course, but may also remain positive for a long time after the infection has resolved and does not necessarily indicate the presence of live virus (16). The serological test is a combined IgM and IgG immunoassay. It cannot estimate the exact duration of illness, as it may become positive a few days after infection onset and remain positive for a long time. Sensitivity is reported to be 100 % if testing is performed 14 days after symptom onset; however, the sooner after symptom onset the testing is performed, the lower the sensitivity. Specificity is reported to be 99.8 % (1). In cases of a strong suspicion of SARS-CoV-2 infection but with negative serology, serological testing should be repeated after a few weeks.

    Most patients with multiorgan systemic inflammation have been SARS-CoV-PCR-negative in nasopharyngeal aspirate, but have had positive serum-IgG. Of the first 94 children described, 68 % had positive serology alone, while 26 % had both positive serology and positive PCR in nasopharyngeal aspirate (5, 7, 8). In addition, the increase in the incidence of the condition appeared to occur 3–4 weeks after the COVID-19 peak (3, 6). This supports the hypothesis that it is a delayed immune response, and not the primary infection, that gives rise to this clinical picture. We suspect that this is also true for our patient.

    Our patient had transient and fairly minor respiratory symptoms and sparse radiological findings. In general, X-ray and CT thorax have shown sparse radiological findings in children with COVID-19, and diagnostic imaging is recommended only if there is rapid deterioration, the child has known underlying pulmonary disease, the results would have implications for treatment, or in order to evaluate the treatment response (17).

    As in our patient, children with a severe inflammatory response often have abdominal pain as their presenting symptom and are initially referred for surgical assessment for suspected appendicitis (4, 6, 7, 9, 18). In such cases, it is important to quickly exclude a surgical condition, consult a paediatrician, continue droplet precautions, and perform repeated diagnostic tests, including SARS-CoV-2 serology.

    Our patient was discharged and showed no evidence of coronary artery aneurysm at the 5-week follow-up. The long-term prognosis in terms of the risk of aneurysm development in patients with multiorgan inflammatory syndrome remains unclear. Of a total of 114 children with multiorgan inflammatory syndrome in France and England, 19 showed moderate dilatation (Z-score > +2) of the coronary arteries, eight developed coronary aneurysms, and one child died (6, 7, 9).

    Although paediatric SARS-CoV-2 infections are usually mild, and it is rare for a child to develop multiorgan inflammatory syndrome, it is important to be able to recognise this condition at an early stage. Affected children must be referred to a department with expertise in multidisciplinary paediatric intensive care. The aim of the treatment is to ensure adequate circulation and to prevent late complications through the use of anti-inflammatory agents.

    Much remains unknown about SARS-CoV-2 in children, and this case report highlights the importance of rapid sharing of observations, and the need for up-to-date knowledge about this new condition.

    The patient's guardians have consented to the publication of the article.

    The article has been peer-reviewed.

    Comments  ( 0 )
    PDF
    Print

    Recent Articles