Lung cancer is the second most common form of cancer among women and men in Norway. Increasing numbers of patients with non-small cell lung cancer undergo surgery, usually with lobar resection. We present a rare but potentially life-threatening complication following lobectomy.
A man in his seventies with known hypertension and type 2 diabetes had experienced unintentional weight loss of over 10 kg in the course of 6 months and had been diagnosed with anaemia. Computed tomography (CT) scanning of the chest, abdomen and pelvis revealed an approximately 9 cm tumour occupying the right upper lobe with infiltration into the upper segment of the lower lobe, as well as a few enlarged lymph nodes in the right pulmonary hilum and mediastinum. There were no signs of distant metastasis on supplementary positron emission tomography (PET)-CT. CT-guided biopsy of the tumour revealed squamous cell carcinoma. Endobronchial ultrasound (EBUS) and mediastinoscopy were performed, with no finding of lymph node metastasis. The patient had clinical stage IIIA disease and was accepted for surgery. Posterolateral thoracotomy and an extended right upper lobectomy with sublobar resection of the right lower lobe were performed. The surgery was successful with no particular incidents. A chest drain was inserted in the operated hemithorax as per routine practice.
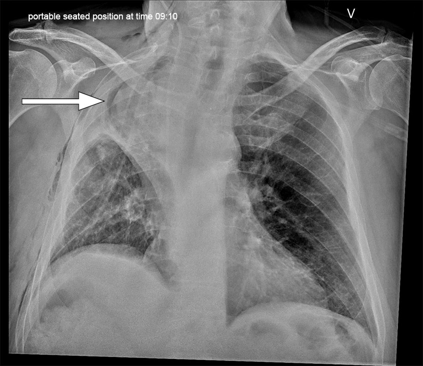
A routine postoperative chest X-ray (CXR) demonstrated opacities typical of atelectasis in the right middle lobe. There was also a small right-sided pneumothorax and small ipsilateral pleural effusion, which is to be expected following surgery. A follow-up CXR on postoperative day 1 revealed increasing opacities in the right upper zone, which might indicate worsening atelectasis, pleural effusion or haemothorax (Figure 1). The patient was not in respiratory distress and had adequate capillary oxygen saturation of 96–98 % with oxygen supplementation of 2 L/min through a nasal cannula. There were no clinical signs of infection.
Mucus plugging was suspected to be causing atelectasis, and therefore bronchoscopy was performed under sedation on postoperative day 1. The middle lobe bronchus was uninspectable because of sharp cranial deviation, although the ostium was unobstructed. The right lower lobe bronchus was open without an abnormal amount of mucus. The patient was consequently treated with non-invasive ventilatory support (NIV) in the form of continuous positive airway pressure (CPAP).
A CXR was performed later the same day for closer monitoring. This did not show any significant change. Hence, the patient was referred for a CT scan for further diagnostic imaging. Contrast-enhanced chest CT performed the evening of the same day demonstrated the middle lobe located apically with extensive ground-glass opacities and patchy consolidation, as well as interlobular septal thickening (Figure 2). The middle lobe appeared to be nearly completely devascularised. The proximal middle lobe bronchus was obliterated and transverse sections revealed subtle swirl sign in the middle lobe, suggesting twisting. The radiological findings raised suspicion of middle lobe torsion.
Exploratory thoracotomy was indicated based on the radiological findings, but due to the good general condition of the patient, it was decided to postpone surgery until the next morning. Thoracotomy was performed through the surgical wound and revealed 180° torsion of the middle lobe with severe atelectasis and congestion. The middle lobe was considered unviable and was resected. There were no perioperative or postoperative complications. CXR performed later on the day of surgery and the following days showed adequate expansion of the remaining lower lobe and gradually decreasing pneumothorax. The patient was discharged to the local hospital on postoperative day 4 following the second operation.
Discussion
Our case report describes a case of 180° torsion of the middle lobe following upper lobe resection. Pulmonary torsion is a rare condition, with a reported incidence of 0.089 % in an American study (1). Postoperative middle lobe torsion following right upper lobectomy is the most common form of pulmonary torsion, as in our patient. Pulmonary torsion occurs most frequently in association with thoracic surgery, and less frequently following trauma or spontaneously (1–3). Pulmonary torsion generally involves hilar structures and may affect the whole lung, one or more lobes or part of a lobe. The degree of torsion is most frequently 180°, but may vary from 90° to 1,080° (3).
Our patient was asymptomatic, which has been reported in 21 % of cases of postoperative lung torsion (3). The most common symptoms and findings are acute onset of dyspnoea, fever, chest pain and cough. Underdiagnosis and misdiagnosis are common due to considerable overlap in symptoms and findings with other postoperative conditions (3). The most common is obstructive atelectasis caused by stagnation of secretions. Less common conditions are haemorrhage, infection and pulmonary embolism. Another rare complication is necrosis due to iatrogenic injury of vascular structures in the affected lobe.
Bronchoscopy was initially performed in our patient since mucus plugging is the most common cause of opacities and atelectasis, but this was not found. On the other hand, the middle lobe bronchus was uninspectable without a clear cause. According to current literature, bronchoscopy findings of an unusually angled and obstructed bronchus not caused by secretions may suggest torsion.
CXR findings that may raise suspicion of lobar torsion are opacities in an unusually oriented pulmonary lobe which may change position in a short space of time (2, 4). On CT, a tortuous lobe will usually demonstrate reduced contrast enhancement as well as consolidation and/or ground-glass opacities. A tortuous lobe may develop air retention and congestion, leading to lobe expansion and interlobular septal thickening respectively as manifestations of interstitial oedema. There is tapered obliteration of the bronchovascular structures of the lobe near the hilum and the position may be altered, as on X-ray. The development of these changes depends on the degree and duration of torsion. The radiological findings in our patient were consistent with findings previously described in literature.
We identified the condition unusually early based on radiological findings alone. The median time to diagnosis for postoperative lung torsion is 10 (2–14) days following primary surgery (3). Although a significant proportion of patients with postoperative lung torsion are asymptomatic, we believe that our patient would have developed symptoms on postoperative day 3 or 4, with development of necrosis and infection in the middle lobe.
If there is a sufficient level of suspicion of torsion, the final diagnosis is made by exploratory surgery. Treatment is detorsion or resection of the affected lobe, depending on the viability of the lobe.
Pulmonary torsion is a rare complication, but it is important to be aware of the condition as it is potentially fatal if left untreated. However, case fatality rates vary in the sparse literature regarding the subject.
Postoperative pulmonary torsion does not necessarily develop as early postoperatively as in our patient, and clinical manifestation of the condition may be delayed up to 14 days. Therefore, it is important for there to be awareness of the condition at both regional hospitals and local hospitals to which patients are admitted postoperatively.
Conclusion
Pulmonary torsion is a rare but potentially fatal condition that should be suspected in patients having undergone lung surgery who present with acute lower respiratory tract symptoms that do not respond adequately to treatment for common postoperative conditions, or once these have been ruled out. Early suspicion of the condition can also be raised by radiological or bronchoscopic findings, as in our patient.
The patient has given consent for the article to be published.
The article has been peer-reviewed.
- 1.
Cable DG, Deschamps C, Allen MS et al. Lobar torsion after pulmonary resection: presentation and outcome. J Thorac Cardiovasc Surg 2001; 122: 1091–3. [PubMed][CrossRef]
- 2.
Felson B. Lung torsion: radiographic findings in nine cases. Radiology 1987; 162: 631–8. [PubMed][CrossRef]
- 3.
Dai J, Xie D, Wang H et al. Predictors of survival in lung torsion: A systematic review and pooled analysis. J Thorac Cardiovasc Surg 2016; 152: 737–745.e3. [PubMed][CrossRef]
- 4.
Childs L, Ellis S, Francies O. Pulmonary lobar torsion: a rare complication following pulmonary resection, but one not to miss. BJR Case Rep 2016; 3: 20160010. [PubMed][CrossRef]