A woman was referred for investigation because she wanted to know the reason for the diagnosis she had received as a teenager, and a future prognosis. Extended genetic testing and thorough review of her medical history revealed that the original diagnosis was incorrect. This case report illustrates that increased options for genetic testing may have consequences for follow-up and treatment.
A woman in her fifties was born with a deformity of her feet that reportedly spontaneously resolved within a few weeks following birth. She walked on her toes from the age of one year, and one of her parents also walked on their toes. Until school age, she could run and climb stairs, but over the course of several years, she gradually lost the ability to run. When she was a teenager, a neurologist diagnosed her with arthrogryposis multiplex congenita, and she and her affected parent went for genetic counselling, which concluded that they had distal arthrogryposis of the dominant inheritance type. The diagnosis was based on congenitally raised feet and reduced mobility in ankles, elbows and fingers, as well as family history.
Arthrogryposis multiplex congenita (AMC) is a term used to describe a group of congenital conditions characterised by joint contractures in two or more areas of the body (1). Arthrogryposis multiplex congenita is not an aetiological diagnosis, but a clinical description. The condition may have various causes, including genetic, and circumstances in pregnancy, such as foetal hypokinesia or akinesia, may also lead to the condition (1). Mobility is reduced in the affected joints, with or without muscle weakness. The contractures do not progress to previously unaffected joints, but may alter over time with growth and physical therapy. The spine may be affected. Some forms involve multiple organ systems. Based on international figures, it is estimated that 15–20 children are born with changes consistent with arthrogryposis multiplex congenita in Norway each year (2–4). The condition is usually divided into three subgroups: amyoplasia, distal arthrogryposis and syndromic arthrogryposis multiplex congenita (5). Amyoplasia is characterised by symmetrical, inflexible contractures and typical deformities in the upper extremities and is not thought to have a genetic cause. Distal arthrogryposis and syndromic arthrogryposis multiplex congenita usually have a genetic cause. There is wide variation in how the condition manifests, depending on the cause (6).
The patient's clinical condition up to the age of 30 years was marked by reduced distal joint mobility in the hands, ankles and one elbow, but she felt fit and strong. From the age of 30, she had a sedentary occupation. After giving birth in her thirties, she became weaker with less physical stamina. She developed difficulties climbing stairs and walking uphill and was not able to get up from the floor without assistance. When she was in her mid-forties, an MRI scan of her lumbar spine and pelvis was performed due to increasing weakness, which revealed considerable fatty infiltration in a number of proximal muscles.
As she got older and her symptoms increased, the patient wanted to learn more about the condition. She was concerned about what she could expect in the future, and therefore she contacted a national resource centre, which referred her for genetic testing.
She initially had a genetic consultation by telephone, and sequencing was requested (7), covering the genes most often associated with distal arthrogryposis, the result of which was normal. The woman then went for a consultation with a geneticist. She reported that until her early thirties she had been able to get up from kneeling, and subsequently experienced gradually decreased strength in her thighs. Slightly elevated serum creatine kinase (CK) concentrations had been detected on repeated occasions. On clinical examination, the patient had reduced strength in her thighs and reduced extensibility in her elbows, and she was not able to extend her wrist and fingers at the same time. She had multiple keloid scars on her skin.
The affected parent had also had bent elbows, stiffness in the fingers and increased arch of the lower back. The parent eventually developed buckling knees, walked on their toes, became gradually physically debilitated and died in their seventies.
With the woman's consent, her previous medical records were obtained, and with her consent and that of her surviving parent, the medical records of the deceased parent were also obtained. Review of the affected parent's medical records revealed that myopathy had been suspected in connection with another disease when they were aged 70. The woman did not know this. Her own medical records revealed that as a teenager she had been assessed by an orthopaedic specialist and that the diagnosis of Charcot-Marie-Tooth disease had been mentioned.
The reduced strength in the thighs, fatty infiltration detected on MRI and the slightly elevated CK levels, as well as the keloid scars, lowered the suspicion of arthrogryposis multiplex congenita because an increased tendency to keloid scarring and elevated CK have not been reported in this condition. Considering this, it might have been decided not to perform the gene panel testing for distal arthrogryposis. However, given the wide clinical and genetic heterogeneity of arthrogryposis multiplex congenita, the analysis was still considered to have been appropriate based on the information available when it was requested. The sequencing was exome-based, so gene variant data was available for all genes, but only the genes included in the gene panel for arthrogryposis multiplex congenita were examined. It was subsequently possible to widen the analysis using bioinformatics to test other relevant genes.
Reduced proximal strength, fatty infiltration on MRI and slightly elevated CK led to the clinical suspicion of Bethlem myopathy, and genes associated with this were tested.
The testing revealed a heterozygous and likely pathogenic sequence variant NM_001849.3:c.854_855del p.(Gln285Argfs*26) in the COL6A2 gene (collagen 6A2). The same variant was detected in targeted testing of a blood sample from the affected parent which had been stored following a previous genetic consultation. The variant was assessed by the laboratory to be likely pathogenic (Box 1) (8, 9), and so the woman was diagnosed with probable Bethlem myopathy based on her medical history, clinical examinations, family history and findings of genetic testing.
Sequence variants detected in genetic analyses are classified in accordance with consensus guidelines for variant interpretation, for example the ACMG (American College of Medical Genetics and Genomics), AMP (Association for Molecular Pathology) and ABC systems (8, 9), as benign, likely benign, unclassifiable (variants of uncertain significance, known as VUS), likely pathogenic or definitely pathogenic. The grading of the variant's molecular biological consequences in the context of the clinical phenotype is significant for interpretation of a variant.
The variant identified in the woman in this case report results in deletion of the last two base pairs in exon 6 in one of her two copies of the COL6A2 gene. This can either result in aberrant splicing or the introduction of a reading frameshift with a premature stop codon downstream.
The first of these will lead to shortening of the collagen triple helix repeat. The second will lead to decay of COL6A2 mRNA via nonsense-mediated decay (NMD). The variant had not been previously reported as pathogenic and had no frequency in the normal variation database gnomAD (Genome Aggregation Database). Similar variants have been described as causes of type VI collagenopathy.
Collagen VI forms an extracellular matrix network in muscles, skin, tendons and other tissue. The three collagen VI genes COL6A1, COL6A2 and COL6A3 each encode an alpha chain and together form the collagen VI protein. Pathogenic sequence variants in COL6A1, COL6A2 and COL6A3 cause a clinical continuum of muscle disease from Bethlem myopathy at the mild end to Ullrich muscular dystrophy at the severe end (10). Bethlem myopathy is characterised by the combination of proximal muscle weakness and a varying degree of contractures affecting the long finger flexors, elbows and ankles. Skin changes have also been reported in Bethlem myopathy, for example keloid scarring, as well as normal or slightly elevated CK levels. Inheritance of Bethlem myopathy is autosomal dominant. If the mother or father has the condition, there is a 50 % chance of the pathogenic sequence variant being inherited in each pregnancy. There may be variation in the clinical expression of a pathogenic variant in the COL6A1 gene, even within the same family (11). For example, a parent may be less affected than their child or vice versa.
The woman was referred on for neurological assessment and exercise advice. Findings of the clinical neurological examination were the previously known keloid scarring, even after mosquito bites, and the previously noted flexion contractures in the fingers and elbows. The examination also found contractures in the Achilles tendons, which resulted in an inability to walk on her heels. She had proximal weakness in the upper and lower extremities, as well as in the muscles of the trunk as she had to use her arms to get up from a lying position. She had hypermobility in her hip joints. These findings were consistent with the diagnosis of Bethlem myopathy.
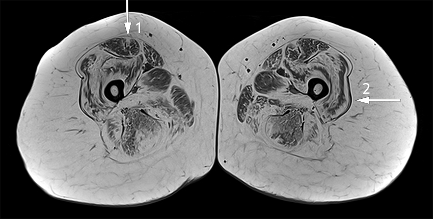
Based on a clinical examination consistent with myopathy, positive genetic testing and previously demonstrated fatty infiltration on MRI, there was no indication for electromyography. With the woman's consent, her clinical presentation was discussed anonymously in a national video conference with colleagues across Norway working with rare muscular diseases. It was recommended that MRI scanning of all muscles be performed, which revealed a characteristic pattern of fatty infiltration, predominantly in the proximal muscles of the upper and lower extremities (Figure 1).
Typical features of Bethlem myopathy are moderate weakness and atrophy of muscles in the trunk and extremities. This tends to be most prominent in proximal and extensor muscles. Slow progression is common, and more than two-thirds of patients aged over 50 years need mobility aids, for example crutches or wheelchairs outdoors (10).
MRI scanning is being increasingly used to investigate diseases affecting the muscles, primarily to select a suitable biopsy site, but also as a diagnostic tool to identify the extent and pattern of muscle oedema and fatty infiltration. Collagen VI-related myopathies such as Bethlem myopathy have a distinct, but not pathognomonic pattern with central fatty infiltration in the rectus femoris muscle and peripheral fatty infiltration in the vastus lateralis muscle with relative sparing of the central region, resulting in a 'sandwich sign' (12–14).
The patient was glad to have a specific genetic diagnosis and information about what to expect in the future with this condition. She also received advice about moderate exercise, as recommended for patients with inherited muscle diseases (15–17).
Discussion
Arthrogryposis multiplex congenita has been reported to be present in more than 400 different conditions. Severity, extra-articular manifestations, prognosis, inheritance, follow-up and treatment vary depending on cause. The genetic testing in this patient led to her diagnosis being revised from arthrogryposis multiplex congenita to autosomal dominant Bethlem myopathy. It is not uncommon for the diagnosis to be changed in some inherited conditions where the diagnosis was made before genetic testing became widely available (18). The organisation of national resource centres in Norway means that a change in diagnosis can lead to a change in resource centre registration, as was the case for this patient.
A precise diagnosis with a genetic cause enables information to be provided about what has been reported for the relevant diagnosis in various age groups, which is what the woman wanted when she was referred for genetic consultation. Diagnosis-specific information was available, and she could be referred to appropriate specialists. Exome gene panel testing was requested early in the investigation process. This allowed additional genes to be assessed through extended bioinformatic analysis and contributed to a shorter response time, as well as avoiding the increased cost incurred with a new genetic analysis.
Many adults living with an AMC diagnosis have not undergone genetic testing because the testing options were limited previously. The options for genetic testing in Norway now are very good, and consequently many people can get a more specific diagnosis. This is important in several situations. For example, it may be crucial for parents of a small child with arthrogryposis multiplex congenita in establishing whether to start any particular type of treatment for the child and whether diagnosis-specific follow-up can be initiated. A confirmed genetic diagnosis will enable information to be provided about what has been reported about the condition up to now.
Supplementary MRI was used to support the woman's new diagnosis. Muscle biopsy can also help with reaching a diagnosis when investigating inherited muscle diseases, but with improved genetic diagnostic testing it is being used less. Non-specific myopathic changes may be revealed on biopsy in patients with Bethlem myopathy, although staining of collagen VI may reveal a more specific diagnosis (19).
In this patient, the clinical presentation and medical history suggested a diagnosis different to that she received as a child. Since arthrogryposis multiplex congenita encompasses so many different diagnostic groups, and given the developments in genetic testing, it is advisable to offer genetic testing to patients with this condition. Sequencing of a select set of genes enables a more precise diagnosis and is readily available in Norway. A precise diagnosis may have consequences for choice of treatment and pregnancy planning, and in some cases may be significant for relatives.
The patient and surviving parent have given consent for the article to be published.
The article has been peer-reviewed.
- 1.
Dahan-Oliel N, Cachecho S, Barnes D et al. International multidisciplinary collaboration toward an annotated definition of arthrogryposis multiplex congenita. Am J Med Genet C Semin Med Genet 2019; 181: 288–99. [PubMed][CrossRef]
- 2.
Bamshad M, Van Heest AE, Pleasure D. Arthrogryposis: a review and update. J Bone Joint Surg Am 2009; 91 (Suppl 4): 40–6. [PubMed][CrossRef]
- 3.
Linnet KM, Balslev T, Møller-Madsen B. Arthrogryposis multiplex congenita. Ugeskr Laeger 2015; 177.. [PubMed]
- 4.
Hall JG, Kimber E, van Bosse HJP. Genetics and Classifications. J Pediatr Orthop 2017; 37 (Suppl 1): S4–8. [PubMed][CrossRef]
- 5.
Nouraei H, Sawatzky B, MacGillivray M et al. Long-term functional and mobility outcomes for individuals with arthrogryposis multiplex congenita. Am J Med Genet A 2017; 173: 1270–8. [PubMed][CrossRef]
- 6.
Dai S, Dieterich K, Jaeger M et al. Disability in adults with arthrogryposis is severe, partly invisible, and varies by genotype. Neurology 2018; 90: e1596–604. [PubMed][CrossRef]
- 7.
Sørensen IW, Prescott T, F Rustad C et al. Genpaneltesting. Tidsskr Nor Legeforen 2020; 140. doi: 10.4045/tidsskr.19.0535. [PubMed][CrossRef]
- 8.
Richards S, Aziz N, Bale S et al. Standards and guidelines for the interpretation of sequence variants: a joint consensus recommendation of the American College of Medical Genetics and Genomics and the Association for Molecular Pathology. Genet Med 2015; 17: 405–24. [PubMed][CrossRef]
- 9.
Houge G, Laner A, Cirak S et al. Stepwise ABC system for classification of any type of genetic variant. Eur J Hum Genet 2021; 29. doi: 10.1038/s41431-021-00903-z. [PubMed][CrossRef]
- 10.
Foley AR, Mohassel P, Donkervoort S et al. Collagen VI-Related Dystrophies. I: Adam MP, Ardinger HH, Pagon RA et al., red. GeneReviews®. Seattle, WA: University of Washington, 1993–2021. https://www.ncbi.nlm.nih.gov/books/NBK1503/ Accessed 14.9.2021.
- 11.
Peat RA, Baker NL, Jones KJ et al. Variable penetrance of COL6A1 null mutations: implications for prenatal diagnosis and genetic counselling in Ullrich congenital muscular dystrophy families. Neuromuscul Disord 2007; 17: 547–57. [PubMed][CrossRef]
- 12.
Mercuri E, Lampe A, Allsop J et al. Muscle MRI in Ullrich congenital muscular dystrophy and Bethlem myopathy. Neuromuscul Disord 2005; 15: 303–10. [PubMed][CrossRef]
- 13.
Salim R, Dahlqvist JR, Khawajazada T et al. Characteristic muscle signatures assessed by quantitative MRI in patients with Bethlem myopathy. J Neurol 2020; 267: 2432–42. [PubMed][CrossRef]
- 14.
Fu J, Zheng YM, Jin SQ et al. Target and sandwich signs in the thigh muscles have high diagnostic values for collagen VI-realted myopathies. Chin Med J (Engl) 2016; 129: 1811–6. [PubMed][CrossRef]
- 15.
Fossmo HL, Holtebekk E, Giltvedt K et al. Fysisk trening hos voksne med arvelig muskelsykdom. Tidsskr Nor Legeforen 2018; 138. doi: 10.4045/tidsskr.17.1024. [PubMed][CrossRef]
- 16.
Vissing CR, Hedermann G, Vissing J. Moderate-intensity aerobic exercise improves physical fitness in bethlem myopathy. Muscle Nerve 2019; 60: 183–8. [PubMed][CrossRef]
- 17.
Treningsråd til voksne med muskelsykdom. Oslo/Siggerud: Frambu kompetansesenter for sjeldne diagnoser, Enhet for medfødte og arvelige nevromuskulære tilstander og Nevromuskulært kompetansesenter, 2019. https://unn.no/Documents/Kompetansetjenester,%20-sentre%20og%20fagr%C3%A5d/Nevromuskul%C3%A6rt%20kompetansesenter%20(NMK)/Trenings%C3%A5d%20til%20voksne%20med%20muskelsykdom%20II.pdf Accessed 14.9.2021.
- 18.
Stray-Pedersen A, Sorte HS, Samarakoon P et al. Primary immunodeficiency diseases: Genomic approaches delineate heterogeneous Mendelian disorders. J Allergy Clin Immunol 2017; 139: 232–45. [PubMed][CrossRef]
- 19.
Bushby KM, Collins J, Hicks D. Collagen type VI myopathies. Adv Exp Med Biol 2014; 802: 185–99. [PubMed][CrossRef]