Immunotherapy has improved the prognosis for many types of cancer, but severe adverse reactions may occur, as illustrated by the following case report. These reactions are fundamentally different from the adverse effects of cytostatic agents, and can arise in all organ systems. A knowledge of these adverse reactions is therefore important for all medical specialties.
A man in his sixties received a diagnosis of renal-cell carcinoma with metastasis to the lungs after two months of fever, cough and a three-digit CRP level, unresponsive to antibiotic therapy. Previously he had endured a prolonged ICU stay because of spondylodiscitis, and had vitiligo but was otherwise in good health. Because of the modest metastatic burden, nephrectomy was recommended, where histology showed clear cell renal cell carcinoma. The patient's general condition normalised after removal of the kidney. Following surgery, CT of the thorax, abdomen and pelvis showed spontaneous regression of pulmonary metastases, but revealed central pulmonary embolism, and he received anti-coagulation therapy with low molecular weight heparin. At follow-up five months after surgery, however, tumorous masses had appeared between the liver and the colon. The pulmonary metastases had grown, and systemic treatment was indicated. The patient now had no aberrant blood test results, and his general condition was quite normal. He was recommended immunotherapy in the form of ipilimumab and nivolumab.
Medical treatment of renal cell carcinoma differs from treatment of many other cancers, due to little use of cytostatic drugs. An important type of treatment is immunotherapy, where antibodies are used to inhibit the 'brakes' of the immune system (1) . These medications are often called checkpoint inhibitors, and are administered as infusions at fixed intervals. Ipilimumab inhibits the cell-surface molecule cytotoxic T-lymphocyte antigen 4 (CTLA-4), while nivolumab inhibits the cell-surface molecule programmed cell death 1 (PD-1) (1) . Combination therapy with ipilimumab and nivolumab for metastatic renal-cell carcinoma was approved by the Decision Forum at the beginning of 2020 (2) , and is recommended in European guidelines (3) . However, the Norwegian guidelines for management of metastatic renal-cell carcinoma have not been updated since 2015 (4) . The purpose of immunotherapy is to augment the immune response to the tumour, but at the same time the therapy creates a risk of autoimmune reactions in normal tissue. This risk is particularly high when ipilimumab and nivolumab are combined (1) .
'Open return' to the local oncology department was organised, and the patient was scheduled for weekly blood test monitoring initially. At check-up fourteen days after treatment he had rising liver counts, with aspartate amino transferase (AST) 224 U/L (15–45), alanine amino transferase (ALT) 159 U/L (10–70), bilirubin 7 µmol/L (5–25), alkaline phosphatase (ALP) 136 U/L (35–105) and gamma glutamyl transferase (gamma-GT) 188 U/L (15–115). Differential diagnoses included hepatitis due to immunotherapy, but according to guidelines the level was not high enough for the patient to be started on steroids (5) . It also emerged that the patient had used more than the recommended amount of paracetamol for the past three days, which could influence the blood test results. His alcohol consumption was moderate. Prior to immunotherapy, negative antibody tests for hepatitis B and C were confirmed. He was scheduled for follow-up two days later, when a further transaminase rise was seen, with AST 472 U/L and ALT 291 U/L, and unchanged cholestasis parameters. The condition was interpreted as immunotherapy-induced hepatitis grade 3 (5) , and prednisolone in a dose of 1 mg/kg/day by mouth was started. The patient had also developed cough and slightly laboured breathing, and his GP had prescribed doxycycline for suspected pulmonary infection. He was still on therapeutic doses of low molecular weight heparin, and new pulmonary embolisms were unlikely.
In the event of severe adverse reaction to immunotherapy, high-dose steroids, and other immunosuppressants if indicated, form a central part of the treatment (5) . However, it is important to consider differential diagnoses, which in this case included overconsumption of paracetamol.
Two days later, 18 days after the immunotherapy, the patient contacted the local hospital because of increasing dyspnoea. He was referred for emergency admission. He had no chest pain, was alert and oriented, but anxious. He had blood pressure at 144/95 mm Hg, regular pulse at 111 per minute, respiratory rate at 19 per minute, saturation 93 % at room air and rectal temperature 37.4 °C. Arterial blood gases showed pH 7.38 (7.35–7.44), pO2 8.83 kPa (10.0–14.0), pCO2 4.87 kPa (4.7–6.0), HCO3 − 21.3 mmol/L (22–26), base excess −3.8 mmol/L (−3.0–3.0) and lactate 1.29 mmol/L (0.5–2.5).
An ECG showed sinus tachycardia with a rate of 110 beats per minute with new-onset left anterior hemiblock and right bundle branch block. There was normal PQ interval and corrected QT interval of 460 milliseconds. Blood tests revealed rising transaminases, with AST 503 U/L, ALT 443 U/L, stable cholestasis parameters, slightly elevated D-dimer of 1.0 mg/L (< 0.7), elevated NT-proBNP of 733 ng/L (< 250), and markedly elevated troponin I of 14 834 ng/L (< 47), which was consistent with myocardial damage. Echocardiography revealed normal ejection fraction without areas of hypokinesia or other aberrations. CT thorax with pulmonary embolism protocol showed normal thoracic aorta, no pulmonary embolisms and no pathology in the lung parenchyma other than small metastases.
Acute coronary syndrome and myocarditis were possible differential diagnoses. The patient had no chest pain, and echocardiography showed normal findings without areas of hypokinesia. He had no previous heart disease, and apart from age, no known risk factors. The probability of acute coronary syndrome was regarded as low. His medical history and clinical findings gave rise to suspicion of acute myocarditis.
He was transferred to the university hospital for further assessment the same day. On arrival the patient was found to be haemodynamically stable, with stable respiration. Echocardiography showed a normal-sized left ventricle with hyperdynamic function. A few hours later, however, the patient developed aberrantly conducted atrial fibrillation with a rate of 177 per minute (Figure 1a). Intravenous injection of 5 mg metoprolol ended the tachycardia, but resulted in pronounced sinus bradycardia, trifascicular block and episodes of third-degree atrioventricular block with pauses of up to 4 seconds (Figure 1b). A transvenous, temporary pacemaker was therefore implanted in the right ventricle via the internal jugular vein. The base rate of the pacemaker was set at 40 beats per minute.
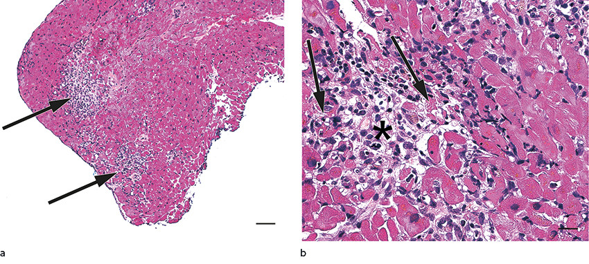
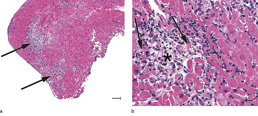
On Day 3 after admission the patient became increasingly dyspnoeic. Arterial blood gases showed severe respiratory acidosis with CO2 retention, but adequate oxygenation (pH 7.12, pO2 16.1 kPa, pCO2 12.2 kPa, HCO3 29.5 mmol/L, base excess 0 mmol/L and lactate 1.1 mmol/L). Non-invasive ventilation support in the form of BiPAP was initiated the same day with positive effect. A coronary angiogram was performed on Day 4, and revealed no sign of stenoses. Cardiac MRI was contraindicated because of the pacemaker, and as an alternative, right-side heart catheterisation was performed and a biopsy taken. Histological analysis showed patchy lymphocyte inflammation and myocyte damage consistent with acute myocarditis (Figure 2).
Myocarditis is an inflammatory condition with multiple causes, of which viral infections are the most common. Histologically, inflammatory infiltrates are seen with or without necrosis of cardiac muscle cells. Presentation varies from subclinical disease to cardiogenic shock (6) . Myocarditis due to immunotherapy is described as a rare, but serious condition. An incidence of about 1 % was found in patients in a multi-centre registry study. Therapy consists of high-dose steroids combined with other immunosuppressants. The prognosis in myocarditis triggered by immunotherapy is serious, with a reported mortality of around 50 % (8) .
The patient was treated for a total of six days with prednisolone 1 mg/kg/day, two days before and four days after hospitalisation. His clinical condition deteriorated in this period. Despite biochemical improvement with persistently low CRP levels and falling transaminase, troponin and proBNP levels, the patient's respiratory and circulatory status was unstable. Periods of apnoea alternated with tachypnoea and dyspnoea. His cardiac rhythm fluctuated between atrial fibrillation with a rate of up to 150 per minute, to sinus rhythm with third-degree atrioventricular block and nodal rhythm with a heart rate of 50 beats per minute. He had fluctuating blood pressure varying from 71/48 mm Hg to 188/79 mm Hg in the course of the same day, resulting in dizziness followed by loss of consciousness in the first case and hypertensive pulmonary oedema in the second.
CT thorax was repeated on Day 5 after admission, with no evidence of infiltrates or embolisms. After an interdisciplinary evaluation, immunosuppression was escalated to 1 000 mg per day of methylprednisolone administered intravenously, with the addition of 1 000 mg mycophenolate mofetil morning and evening, due to suspected treatment failure. Two days later 2 mg tacrolimus, morning and evening, was also added.
The patient's condition could not be explained by myocarditis alone. There were no pulmonary embolisms or infiltrates on the CT thorax. The patient deteriorated despite falling transaminase and troponin levels. Multiple neurological conditions such as polyneuropathy, myasthenia gravis, Guillain-Barré's syndrome, encephalitis and aseptic meningitis have been described as being associated with immunotherapy (5) . Autoimmune autonomic ganglionopathy with dysfunction of the autonomic nervous system and hypotension has also been reported following treatment with ipilimumab and nivolumab (9) . It was suspected that the clinical picture might be due to an autonomic dysfunction that affected respiratory and blood pressure regulation. Neurological assessment was therefore requested.
The neurological examination was restricted by the patient's dyspnoea. Ophthalmoplegia with reduced lateral vision, diplopia as in bilateral abdusens nerve palsy, as well as atactic eye movements were found. There was palsy of the extremities, most pronounced in the lower extremities, and almost global areflexia. Nerve conduction testing revealed low amplitudes in the upper extremities, particularly for sensory nerves, and lack of response in the lower extremities. However, there was markedly increased distal motor latency, with moderately reduced conduction velocity and significantly prolonged F responses. Electromyography (EMG) revealed no spontaneous activity, but markedly decreased recruitment in lower extremities. The absence of motor response in the lower extremities was interpreted as pronounced distal conduction blocks, consistent with the clinical findings of palsy and areflexia.
The combination of these findings is unusual and was interpreted as acute immune-mediated polyneuropathy. Several differential diagnoses were considered, such as primary autoimmune polyradiculitis (Guillain-Barré's syndrome/Miller-Fisher's syndrome) with or without Bickerstaff brainstem encephalitis, or paraneoplastic polyneuropathy with cranial nerve affection.
Spinal puncture was not possible due to full anticoagulation, and the temporary pacemaker made head MRI difficult to perform. Intravenous immunoglobulin therapy was initiated while waiting for the results of ganglioside and neuronal antibodies, which subsequently proved to be negative. After three days of treatment without improvement, preparations were made for plasmapheresis coupled with rituximab therapy as a last resort. However, the patient deteriorated before this could be initiated. He had falling blood pressure to 60/40 mm Hg and bradycardia with a heart rate of 50 beats per minute. An effort was made to increase the pacemaker rate, but this had no positive effect on his blood pressure. Echocardiography revealed unchanged status, with an effectively contracting left and right ventricle without regional contraction abnormalities or pericardial fluid. Adrenalin bolus was administered with initial effect, followed by bouts of atrial fibrillation and renewed hypotensive shock. Maximum dose of noradrenaline was not sufficient to maintain adequate blood pressure, indicating pronounced autonomic dysregulation with vasoplegia. The anaesthetist was called for an assessment. The patient had been dependent on BiPAP for several days. He had a respiratory rate of 22 per minute with the BiPAP set for a minimum rate of 8 per minute. When the pressure support was reduced from 10 cm H2 O to 2 cm H2 O for diagnostic purposes, the tidal volume fell from 600 mL to 150 mL.
The patient had dyspnoea, and after his transfer to the university hospital he developed hypercapnia. Involvement of the central nervous system causing hypoventilation was one hypothesis, but his adequate respiratory rate weighed against this. However, he was dependent on pressure support to maintain an adequate tidal volume. Peripheral neuromuscular disease with involvement of the phrenic nerve is a possible explanation.
The patient's condition was critical. However, he stated repeatedly that he did not want ventilator treatment. It was decided in consultation with the family not to increase treatment intensity, and focus purely on palliative care in the event of exacerbation. The patient's condition worsened the following night, and death occurred 11 days after admission, 29 days after immunotherapy.
Discussion
Discussion
Immunotherapy has improved the prognosis for several types of cancer, and constantly acquires new indications. However, immunotherapy creates challenges in the form of different adverse reactions than what we are used to in cancer therapy. This has been described previously in Tidsskriftet (10) , where a patient developed diabetes mellitus after nivolumab therapy. Our case report presents a very serious and dramatic course of events after only one course of ipilimumab and nivolumab.
Managing adverse reactions to immunotherapy has become an important part of everyday oncology. The reactions may come after one course, later in the treatment or up to a year after completion of treatment (5) . Patients may come to acute admissions in a hospital or present at their general practitioner with everything from red eyes to rash, laboured breathing, diarrhoea, lethargy and headache. They may experience autoimmune reactions in every organ in the body. If the anamnesis reveals that the patient is receiving or has previously received immunotherapy, a reaction to immunotherapy must be one of the differential diagnoses. Swift contact with the nearest oncology department, where initiation of high-dose steroids and other immunosuppressive treatment can be considered, may save lives and organ function. It is important that patients are well informed of the risks associated with immunotherapy, and of which symptoms should prompt them to contact their nearest oncology department. In most cases, the adverse reactions are less severe than in this case report, and treatment can often continue after a course of steroids.
Our patient had liver enzyme elevation consistent with hepatitis, and arrhythmia, elevated troponin level and inflammatory changes in the heart biopsy consistent with myocarditis. However, the neurological symptoms became the most prominent after a while, whereby tests revealed a complex and unclear picture with sensorimotor, peripheral neurological impairment and affection of cranial nerves and assumed autonomic dysregulation. The patient also had vitiligo. Patients with serious autoimmune diseases have often been excluded from trials involving immunotherapy (11) , but in Motzer et al.'s study of metastatic renal-cell carcinoma and immunotherapy, vitiligo was included (1) . A literature review from 2020 indicates that patients with autoimmune disease may experience a flare-up during immunotherapy, without increased risk of other autoimmune-related adverse events (11) . Patients who receive immunotherapy must be monitored closely, particularly initially. The most severe reactions typically occur shortly after start-up, as with our patient (12) . He was followed up routinely with blood tests and telephone consultations. Immunotherapy-induced hepatitis was suspected, and he was therefore started on steroids, at which time he also had dyspnoea. As he had possible involvement of two organ systems and an AST value of over 400 U/L, it can be argued that he should have been hospitalised earlier for more thorough evaluation and higher steroid doses (5) . Later in the course, despite a steady worsening of the situation, he was on the same steroid dose for six days without the addition of other immunosuppressants. The steroid dose should have been increased and other immunosuppressants added at an earlier point in time.
It is worth noting that patients undergoing similar therapy have a 47 % probability of experiencing a severe adverse reaction in the course of the treatment period, but fortunately seldom with a fatal outcome (13) . Several tools have been created for assessing the seriousness of adverse reactions and providing advice about appropriate measures in emergency situations. We make particular mention of the online manual of Oslo University Hospital (14) . It is based on a number of international guidelines, including those issued by the American Society of Clinical Oncology (15) , the National Comprehensive Cancer Network (16) and the European Society for Medical Oncology (5) .
The patient's family have consented to the publication of the article. Our thanks go to Tormod Helås for reading the manuscript and providing valuable feedback. The article has been peer-reviewed.