Alveolar echinococcosis is a much-feared parasitic zoonosis caused by the larval stage of Echinococcus multilocularis . Mainland Norway is free from infection, but alveolar echinococcosis is, on rare occasions, imported from endemic regions. Those infected develop slow-growing, multicystic tumours that are clinically and radiologically reminiscent of malignant disease. The disease mainly attacks the liver. Treatment often consists of extensive surgical resection in combination with prolonged use of albendazole. In this clinical review article we summarise the life cycle, clinical findings, diagnosis, treatment and epidemiology of alveolar echinococcosis, and provide examples of the disease course with two patient case reports.
Echinococcosis diseases are parasitic zoonoses caused by the larval stage of tapeworms and are characterised by slow-growing cystic lesions in infected tissue, primarily in the liver. Echinococcosis occurs in two main forms: cystic echinococcosis, caused by the dog tapeworm (Echinococcus granulosus ), which gives rise to solitary cysts that gradually become larger; and alveolar echinococcosis, caused by the fox tapeworm (E. multilocularis ), which develops a conglomerate of small cysts and necroses that are radiologically similar to malignant lesions.
Neither of the diseases is endemic on the Norwegian mainland but they are occasionally diagnosed as imported cases. In a retrospective study of 92 patients with echinococcosis treated at Oslo University Hospital in the period 2000–20, a total of 90 patients had cystic echinococcosis, while two had alveolar echinococcosis (1) . A further four patients have subsequently been diagnosed with alveolar echinococcosis in Norway. Of the six Norwegian cases detected in the period 2017–23, four were acquired in Lithuania, one in Poland and one in Southern France. This clinical review article is based on a non-systematic literature search as well as the authors' own experiences. The disease course is exemplified by two patient case reports.
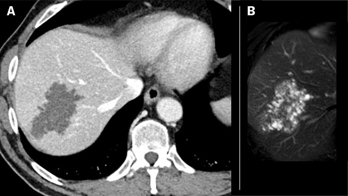
Patient 1: A man in his thirties from Eastern Europe, who had lived for several years in Norway, developed jaundice and pain below his right costal arch. CT abdomen revealed an irregular low-attenuation lesion measuring 13 cm, with central necrosis and calcification in liver segments 6 and 7, while an MRCP test showed that all the involved liver segments were permeated by small cysts (Figure 1). Serological testing detected antibodies to E. multilocularis , and treatment commenced with oral albendazole. He underwent surgery with extensive resection of the right liver. Macropathology confirmed a large, multilocular cyst (Figure 2), and histological examination showed cysts with laminated membranes, necrosis and fibrosis. Radical surgery was not technically possible, and there were residual lesions around the liver hilus and retroperitoneally. The patient is therefore expected to receive lifelong treatment with albendazole.
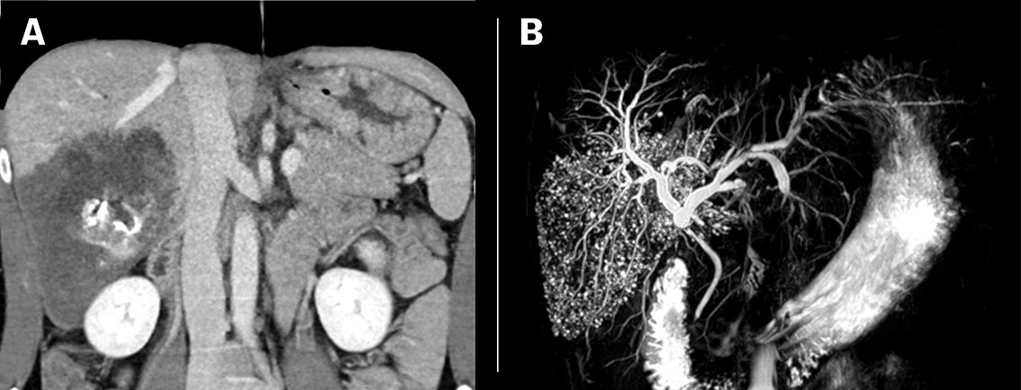
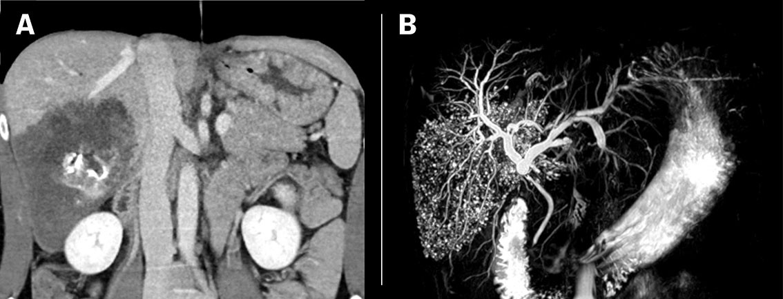
Patient 2: A man in his sixties from Eastern Europe, who has lived in Norway for many years, was examined for newly diagnosed colorectal cancer. CT abdomen revealed a 3 cm large lobular lesion in liver segment 7. The lesion was perceived to be a hemangioma. At a CT check-up one year later, the lesion had grown to 6.5 cm, and metastasis was initially suspected, but MRI of the liver surprisingly revealed multiple small cysts (Figure 3). Serological testing detected antibodies to E. multilocularis . The patient started on albendazole and a right hemihepatectomy was performed. The surgical specimen contained a large multicystic tumour (Figure 4). Histological findings were typical for alveolar echinococcosis (Figure 5). The patient developed moderately elevated liver transaminases, and albendazole was temporarily discontinued. After several attempts at reintroduction, albendazole was finally discontinued seven months after the operation. Six-monthly check-ups are planned for several years with radiology and serology to monitor for potential relapse.
Life cycle
Life cycle
As with other tapeworm infections, the life cycle of E. multilocularis involves a definitive host and an intermediate host. Foxes are the most common definitive hosts, but dogs and racoon dogs can also serve this role. The definitive host carries the approximately five millimetre-long tapeworm in their small intestine and excretes the eggs in faeces. Small rodents are intermediate hosts and are infected via contaminated feed. Alveolar echinococcosis, a multicystic tumour that contains the parasite's larval stage, develops in the intermediate host. If the diseased rodent is later eaten by a fox or other carnivore, adult tapeworms can develop in the intestine of the new definitive host, completing the tapeworm's life cycle. Humans can be incidental intermediate hosts and are infected either indirectly via consumption of contaminated berries, mushrooms or other products of nature's larder, or via direct contact with an infected definitive host (2) .
Clinical findings
Clinical findings
Human alveolar echinococcosis generally affects the right lobe of the liver, where a slow-growing multicystic tumour appears. The individual cysts measure 5–20 mm and are formed through sprouting, so that a conglomerate resembling a bunch of grapes gradually appears. Unlike cystic echinococcosis, where the individual cysts are distinctly bordered by a double-layered membrane, the growth in the case of alveolar echinococcosis is diffuse and similar to malignancy, and gradually infiltrates the tissue that borders it. The incubation time is long, from 5–15 years. Hematogenous spread can give rise to extrahepatic lesions in the spleen, lungs, brain and other organs. At the time of diagnosis, around 70 % of patients have pain, weight loss and/or jaundice (patient 1), while the remaining patients are diagnosed coincidentally (patient 2). The prolonged asymptomatic phase poses a significant risk that the spread of disease at the time of diagnosis may be extensive, therefore precluding radical surgery. Untreated, the disease is fatal in almost all patients (2) .
Diagnosis
Diagnosis
Diagnosis of alveolar echinococcosis is based on a combination of typical radiological findings positive serology. The final diagnosis is made after histopathological examination and/or PCR analyses of the surgical specimen. Alveolar echinococcosis is classified radiologically according to CT findings (Alveolar Echinococcosis Ulm Classification for Computed Tomography , AEUC-CT ) and MRI (Kodama's classification) (3,4) . The lesions often present on CT as lobulated masses with poorly demarcated margins, irregular central necrosis and scattered calcifications suggestive of a malignant tumour, but the characteristic microcystic components present more clearly on MRI (Figures 1 and 3). MRI is best suited for characterisation and locoregional spread. The diagnosis is generally not based on diagnostic imaging alone, as several other focal hepatic lesions, including premalignant and malignant tumours, can have similar characteristics (5) . An FDG PET scan is useful for initial diagnosis as well as for postoperative monitoring and when relapse is suspected (6) .
Serological testing can detect specific antibodies using two methods, Western Blot and enzyme-linked immunosorbent assay (ELISA). These methods have high sensitivity and are positive in more than 95 % of cases. Antibodies to E. granulosus and E. multilocularis cross-react in both methods, but the pattern of the band that forms in the Western Blot method will often indicate the form of echinococcosis in question (7) .
On macroscopic pathology examination, the lesions present as multilocular cystic cavities with necrosis, and contain thick, glutinous material (Figures 2 and 4). Microscopic examination reveals cystic cavities with laminated membranes (Figure 5), and various changes can be seen in surrounding tissue. These can include granulomatous response, neutrophilic and eosinophilic granulocytes, necrosis, fibrosis and calcification. In contrast to findings in E. granulosus infection, no germinal membrane or larvae (protoscoleces ) are observed (8) . The Norwegian Veterinary Institute offers PCR examination of infected tissue. The institute is the national reference laboratory for numerous zoonotic infectious materials and has molecular instruments for the detection and identification of DNA from E. multilocularis .
Surgical treatment
Surgical treatment
All patients must be assessed for radical resection, which is the only curative treatment method. Surgery for alveolar echinococcosis follows the same principles as for malignant liver tumours, where any remaining infected tissue can infiltrate neighbouring organs and blood vessels. A 2 cm resection margin around infected tissue is recommended. Although this is not always technically possible due to the proximity of other vital structures, a free margin is always strived for. Alveolar echinococcosis grows along the bile ducts and can therefore diffusely infiltrate hepatic tissue and hence cause rapid relapse of the disease even after complete surgical resection (9) .
Medicinal treatment
Medicinal treatment
All patients should be treated with oral albendazole 10 mg/kg/per day divided into two doses. For body weight of less than 80 kg, the recommended dosage is 400 mg × 2, and for weight of more than 80 kg it is 600 mg × 2. Albendazole is not marketed in Norway, and the attending doctor should apply to the Norwegian Health Economics Administration for reimbursement through the reimbursable prescription scheme, paragraph 3. The recommended length of treatment is a minimum of two years postoperatively. If the patient cannot undergo radical surgery, albendazole should be considered as a lifelong suppressive therapy (patient 1) (9) . Adverse effects include reversible hair loss, headache and nausea. Approximately 15 % develop medication-induced hepatitis that may necessitate discontinuation (patient 2) (10) . If adverse effects occur, the metabolite albendazole sulphoxide concentration should be measured, a service offered by international laboratories. Because of insufficient data on teratogenic effect, pregnancy during the treatment period is advised against.
Check-ups
Check-ups
CT or MRI should be performed every six months postoperatively in the first few years, and then less frequently. Serological testing should be undertaken every 6 to 12 months. Following successful treatment, levels of antibodies will normally decrease slowly, often over several years. Any increase in titre may indicate relapse of the disease. A number of European centres use a more specific serological method at check-ups (Em18-ELISA). A result which goes from positive to negative in Em18-ELISA postoperatively is used as a guide for when to discontinue albendazole (7) .
Epidemiology
Epidemiology
Alveolar echinococcosis is confined to the northern hemisphere. The prevalence of human disease mirrors the spread of E. multilocularis in foxes. In Europe, alveolar echinococcosis is found in around 120 patients per year, with its nexus in the alpine region where up to 60 % of the foxes examined are infected with tapeworm. Other European core areas are in Poland, the Baltics and Russia (11) . In Sweden, where E. multilocularis was detected in foxes in 2011, alveolar echinococcosis has recently been diagnosed in six patients in whom domestic infection cannot be ruled out (12) . The fox tapeworm has been detected in the fauna of Grumantbyen, an abandoned Soviet Russian settlement southwest of Longyearbyen. Here the Arctic fox is the definitive host and the East European vole the intermediate host (13) . Since 2002, the Norwegian Veterinary Institute has been conducting a monitoring programme for E. multilocularis in foxes in mainland Norway. To date, more than 8100 animals have been examined with no positive findings (14) .
Legal aspects
Legal aspects
Human alveolar echinococcosis is a nominatively notifiable disease, and confirmed cases must be reported to the Norwegian Surveillance System for Communicable Diseases (MSIS) at the Norwegian Institute of Public Health. The condition is classified as a National List 2 zoonosis due to the risk of spreading to Norwegian fauna. Mainland Norway has the status of free from E. multilocularis , and therefore stringent rules have been introduced to avoid the accidental import of infection from pets. For dogs imported into Norway, documentation must, with few exceptions, be provided that parasitic treatment has been administered by a veterinary surgeon 1–5 days before entering the country.
Conclusion
Conclusion
Alveolar echinococcosis is a rare but potentially very serious parasitic disease. The diagnosis should be considered when assessing multicystic hepatic lesions, particularly in patients from endemic regions. Treatment is complicated and should be undertaken in consultation with experienced surgeons and specialists in infectious diseases.
The patients have consented to publication of this article.
The article has been peer-reviewed.