Magnetisk resonansangiografi

    ()

    sporsmal_grey_rgb
    Abstract

    Magnetisk resonansangiografi (MRA) er en gruppe MR-teknikker som kan gi angiografiliknende projeksjonsbilder av arterier og vener uten bruk av ioniserende stråler eller katetre. To av hovedteknikkene, såkalt innstrømnings-MRA og fasekontrast-MRA, fremstiller blodårene selektivt fordi blodet beveger seg. Den tredje hovedteknikken, kontrastforsterket MRA, baserer den selektive fremstillingen av blodårer på bruk av intravenøs injeksjon av kontrastmiddel. I motsetning til jodholdige røntgenkontrastmidler er kontrastmidlene som benyttes ved MRA, ikke nefrotoksiske og kan derfor uten fare benyttes også hos pasienter med nyresvikt og diabetes. MRA er indisert ved sykdom i en rekke kargebeter, ikke minst arterier og vener i hode og hals, de store arterier og vener i thorax og abdomen og underekstremitetsarteriene. Selv om «gullstandard» fortsatt er røntgenangiografi, vil MRA ofte være et tilstrekkelig godt alternativ. Det er grunn til å tro at det meste av den diagnostiske angiografien etter hvert vil bli utført med MR-teknikker.

    Abstract

    Introduction. MR angiography (MRA) is a group of MRI techniques capable of producing projectional images of arteries and veins without the use of ionising radiation or catheters.

    Material and methods. This review describes two of the main techniques, time-of-flight (TOF) MRA and phase contrast MRA, that provide high signal-intensity vessels due to flow phenomena, and a third main technique, contrast-enhanced MRA, which relies on intravenous injection of contrast media. Contrary to the iodine-containing x-ray contrast media, the contrast media for MRA are not nephrotoxic, making contrast-enhanced MRA a good alternative for patients with reduced renal function. MRA is indicated in several vascular areas, especially head and neck arteries and veins, the large thoracic and abdominal arteries and veins, and the lower extremity arteries.

    Interpretation. For several indications, the sensitivity and specificity of MRA is approaching those of the gold standard, x-ray angiography. There are reasons to believe that most diagnostic angiographic procedures will soon be performed as MRA.

    Artikkel

    Magnetisk resonanstomografi, eller bare MR, er en teknikk som kan gi snittbilder av en hvilken som helst del av kroppen i en hvilken som helst retning. Teknikken benytter ingen ioniserende stråler, men baserer seg bl.a. på bruk av magnetfelter og radiobølger (1). Snittbilder kan gi god fremstilling av blodårer, men er utilstrekkelige for visualisering av tredimensjonal karanatomi. MR-angiografi (MRA) er en gruppe MR-teknikker som kan gi angiografiliknende, todimensjonale projeksjonsbilder av karanatomien. Det tredimensjonale kartreet kan betraktes fra valgfrie synsvinkler, hvilket gir et tredimensjonalt inntrykk. MRA er en ung teknikk under stadig utvikling, men er allerede et godt alternativ til invasiv røntgenangiografi – heretter kalt kateterangiografi – ved flere indikasjoner.

    Det er tre hovedtyper MRA, såkalt innstrømnings-MRA, fasekontrast-MRA og kontrastforsterket MRA. Disse tre teknikkene har sine fordeler og ulemper og ulike indikasjonsområder. I denne artikkelen vil jeg gi en kort orientering om det teoretiske grunnlaget for de ulike typene MRA og nevne de vesentligste forskjellene mellom MRA og alternative teknikker som kateterangiografi, CT og ultralydundersøkelse. De viktigste indikasjonene for MRA vil også bli omtalt.

    Innstrømnings-MRA

    Dette er en MRA-teknikk som gir hvite blodårer mot en mørk bakgrunn fordi blod stadig strømmer inn i det snittet (eller volumet) som avbildes. Teknikken er kanskje bedre kjent under sitt engelske navn, time-of-flight (TOF) MRA (2). For å forstå hvordan innstrømning av blod kan gi angiografiske bilder, må vi ta utgangspunkt i de basale prinsippene for MR.

    Ved MR-avbildning (magnetic resonance imaging, MRI) blir pasienten plassert i et meget kraftig magnetfelt, hvilket fører til at alt vev, også blod i blodårene, blir magnetisk. Denne vevsmagnetismen er basert på hydrogenkjernenes (protonenes) kjernemagnetisme (1). Vevsmagnetismen er en vektor med en viss størrelse og retning, og denne magnetiske vektoren kan settes i rotasjon av spesielle radiobølgepulser og dermed indusere strøm i en mottakerspole (1). Man kan selektivt påvirke magnetismen bare i en smal vevsskive og dermed få induserte strømsignaler bare fra denne skiven. Fordelingen av magnetisme i denne skiven kan fremstilles som et todimensjonalt bilde der hvert bildeelement (piksel) får en gråtone bestemt av magnetismens styrke på tilsvarende sted i vevsskiven (1).

    For å få nok data til å rekonstruere et bilde kreves mange induserte strømsignaler og derfor transmisjon av mange kortvarige radiobølgepulser. Hver radiobølgepuls svekker den magnetiske vektoren i vevet, men denne bygger seg opp igjen i tidsrommet frem til neste radiobølgepuls. Er dette tidsrommet (også kalt repetisjonstiden) langvarig, er den magnetiske vektoren blitt stor når neste puls sendes, og det påfølgende induserte strømsignal blir kraftig. Er tidsrommet svært kortvarig, er den magnetiske vektoren fortsatt liten når neste puls sendes, og det påfølgende signalet blir svakt. Ved innstrømnings-MRA benyttes svært korte repetisjonstider, og signalene fra stasjonært vev blir derfor svake. For blod som beveger seg, er imidlertid situasjonen en annen. Det avmagnetiserte blodet flytter seg ut av vevsskiven i løpet av repetisjonstiden og blir erstattet av friskt, fullmagnetisert blod utenfra skiven (fig 1). Dette gir bilder med kraftig signal fra blod (hvitt blod) og svakt signal fra omgivende stasjonært vev. Selektiv fremstilling av arterier eller vener kan oppnås ved å ødelegge vevsmagnetismen på den ene siden av skiven (fig 1). Blod som strømmer inn i skiven fra denne siden er umagnetisk og kan derfor ikke avgi signal, mens blod som strømmer inn fra motsatt kant, har maksimal magnetisme og avgir kraftig signal.

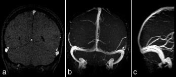
    Bildeopptaket kan gjøres med to- eller tredimensjonal teknikk (henholdsvis 2D- eller 3D-innstrømnings-MRA). Ved 2D-teknikken registreres de induserte strømsignalene fra en tynn skive om gangen, og i løpet av et bildeopptak dekkes den aktuelle anatomien av mange skiver kant i kant eller med en viss overlapping. Denne teknikken er sensitiv for langsom (venøs) blodstrøm fordi det i hvert snitt bare er en kort blodsøyle som behøver å erstattes av friskt blod utenfra (fig 2). Ved 3D-teknikken registreres signalene fra et større, avgrenset volum, og teknikken er derfor avhengig av høyere (arteriell) blodstrømshastighet for å fornye blodet i de dype deler av volumet. 3D-innstrømnings-MRA gir best romoppløsning og er mer egnet enn 2D-teknikken til å vise slyngede kar (fig 3).

    Fasekontrast-MRA

    Fasekontrast-MRA (2D eller 3D) gir i likhet med innstrømnings-MRA «hvite» blodårer fordi blodet beveger seg. De to teknikkene er likevel prinsipielt svært forskjellige. Ved innstrømnings-MRA er gråtonen i bildene bestemt av styrken til det induserte strømsignalet. Ved fasekontrast-MRA er gråtonen i hvert bildeelement (piksel) bestemt av signalenes fase (4). Det er mulig å gjøre bildeopptakene på en slik måte at signalene fra alt stasjonært vev får én felles fase, mens alt blod som beveger seg, får en avvikende fasevinkel. På den måten kan man selektivt fremstille blodårene, og bare dem. Stasjonært vev gis ingen gråtone og blir helt svart i bildet, mens blod som strømmer, får en gråtone eller hvithet bestemt av blodstrømshastigheten (fig 4). Avhengig av opptaksteknikken vil en viss blodstrømshastighet gi maksimal hvithet, mens både lavere og høyere blodstrømshastigheter vil fremstilles med svakere intensitet. For å få optimal fremstilling av blodårene med fasekontrast-MRA, må man derfor på forhånd kjenne til den omtrentlige blodstrømshastigheten i de aktuelle blodårene. Fasekontrastteknikken kan også benyttes til å måle blodstrømmens hastighet.

    Kontrastforsterket MRA

    Denne MRA-metoden baserer seg helt og holdent på bruk av kontrastmiddel. Det gis en rask bolusinjeksjon av kontrastmidlet intravenøst, og når kontrastmidlet er fremme i de aktuelle blodårene første gang, gjøres et raskt 3D-bildeopptak av den aktuelle regionen (5, 6). Kontrastmidlet er paramagnetisk (hvilket betyr at det blir magnetisk når det bringes inn i et magnetfelt), og den høye konsentrasjonen av kontrastmidlet i blod fører til en meget kraftig forkorting av T1 i blod (1). Kort T1 betyr at magnetismen gjenvinnes raskt. Til tross for svært kort repetisjonstid gjenvinnes magnetismen i blod fullstendig mellom hver radiobølgepuls. Som ved innstrømnings-MRA, er gråtonene i bildet bestemt av de induserte strømsignalenes styrke. Kontrastholdig blod blir derfor hvitt, mens bakgrunnen blir relativt mørk (fig 5). Dette er den nyeste MRA-teknikken, og den krever moderne og rask apparatur. Ikke minst for MRA av kar i thorax og abdomen er det viktig at bildeopptaket er så hurtig at pasienten kan holde pusten under hele opptaket (15 – 25 sekunder). Hurtige opptak gjør det også mulig å avbilde kontrastmidlet både i arteriell og venøs fase. Kvaliteten på opptaket er helt avhengig av at det gjøres på riktig tidspunkt i forhold til kontrastinjeksjonen. Man pleier derfor å sette en liten prøvedose på forhånd for å finne ut hvor lang tid kontrastmidlet bruker fra injeksjonsstedet og frem til de aktuelle blodårene.

    MRA versus alternative teknikker

    MRA versus alternative teknikker

    Kateterangiografi er fortsatt «gullstandard» for fremstilling av arterier. I dag er den nesten enerådende metoden intraarteriell digital subtraksjonsangiografi (DSA). Metoden er invasiv, og selv med dagens teknikk og tynne katetre medfører den en viss morbiditet og mortalitet (7). CT-angiografi er en teknikk som minner mye om kontrastforsterket MRA. Også her gjøres et raskt volumopptak på det tidspunkt kontrastmiddelkonsentrasjonen er maksimal i de aktuelle blodårene. Resultatet kan sees som projeksjonsbilder ved hjelp av maksimal intensitetsprojeksjon og andre rekonstruksjonsteknikker. Både kateterangiografi og CT er i motsetning til MRA basert på bruk av ioniserende stråler. Man må dessuten benytte seg av kontrastmidler som er nefrotoksiske, og som derfor representerer en viss fare for nyreskade, spesielt hos pasienter med redusert nyrefunksjon og diabetes (8). Kontrastmidlene som brukes ved kontrastforsterket MRA (gadoliniumkelater), påvirker ikke nyrefunksjonen, og kan derfor anbefales brukt også til pasienter med nedsatt nyrefunksjon (9). MRA har her en betydelig fordel fremfor kateterangiografi og kontrastforsterket CT.

    MRA og ultralydundersøkelse er begge ikke-invasive metoder uten bruk av ioniserende stråler og nefrotoksiske kontrastmidler. Ultralydundersøkelsens fortrinn er særlig pris og tilgjengelighet, mens dens største svakheter i forhold til MRA er stor operatøravhengighet, dårlig anatomisk fremstilling av karanatomi (kun snittbilder) og manglende anvendelighet i områder som er dekket av luft eller kompakt bein.

    Intrakraniale kar

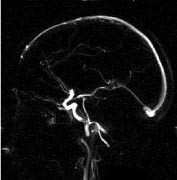
    Kontrastforsterket MRA har foreløpig for dårlig romoppløsning for intrakranialt bruk. Den MRA-metoden som er best egnet for fremstilling av intrakraniale arterier, er 3D-innstrømnings-MRA (fig 3). Ved hjelp av denne metoden kan man påvise stenoser og okklusjoner av de større arteriene. Både MRA og CT-angiografi kan fremstille intrakraniale aneurismer med diameter på 5 mm eller mer med stor nøyaktighet (10, 11), for mindre aneurismer synes CT-angiografi å være noe bedre enn MRA. De ikke-invasive metodene kan bidra ved planlegging av behandling av aneurismer (kirurgisk eller radiologisk intervensjon), men metodene har ennå ikke kunnet erstatte kateterangiografi (12). Ved intrakraniale arteriovenøse malformasjoner er MR-snittbilder den metoden som best viser den anatomiske lokaliseringen av nidus (13). MRA kan gi en bedre anatomisk oversikt over hele malformasjonen, særlig om man benytter fasekontrast-MRA, som gir best fremstilling av både arterie- og venesiden. Både kirurgi og endovaskulær embolisering krever imidlertid en detaljfremstilling som bare kan gis av kateterangiografi.

    Cervikobrakiale kar

    Intratorakale kar

    Kontrastforsterket MRA er de andre MRA-metodene helt overlegen for fremstilling av de store intratorakale arterier. Ved riktig tidsberegning av opptaket i forhold til kontrastinjeksjonen kan man få angiografisk fremstilling enten av lungearteriene eller av aorta med sidegrener. (To av de viktigste sidegrenene, koronararteriene, lar seg imidlertid ikke fremstille adekvat med MRA.) Den største ikke-invasive konkurrenten til MRA er kontrastforsterket CT, ev. supplert med CT-angiografi. CT er fortsatt den foretrukne metoden ved spørsmål om lungeemboli, ikke minst pga. tilgjengelighet, men MRA har utvilsomt et stort potensial, og vil kanskje etter hvert bli førstevalg, ikke minst pga. mindre risiko for pasienten.

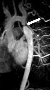
    Ved medfødte aortabueanomalier inkludert coarctatio aortae vil MR med MRA kunne gi all nødvendig informasjon og erstatte kateterangiografi. Ikke minst ved mistanke om koarktasjon burde MR være førstevalg. MRA gir en fullgod anatomisk oversikt over hele torakalaorta (fig 6), og måling av blodstrømshastighet i det stenotiske området kan brukes til å beregne trykkgradienten over stenosen.

    Ved aortadisseksjon er CT og MR likeverdige når det gjelder å påvise disseksjonen, men MR med kontrastforsterket MRA gir en bedre angiografisk oversikt og kan lettere fremstille det falske lumens kommunikasjon med det ekte lumen. Kontrastforsterket MRA kan med fordel utføres som to opptak med et kort tidsintervall. Det første opptaket vil kunne fremstille tidlig kontrastfylling av det ekte lumen, mens det forsinkede opptaket vil kunne vise forsinket kontrastfylling av det falske lumen.

    Aortaaneurismer fremstilles som regel adekvat med både CT og MR. Kontrastforsterket MRA har den svakhet (i likhet med kateterangiografi) i forhold til CT at bare karlumen og ikke trombemassene vises. Konvensjonell MR kan imidlertid vise trombene (fig 7).

    Intraabdominale kar

    Kontrastforsterket MRA representerer et betydelig fremskritt for MR-diagnostikken av intraabdominal karanatomi. Metoden har potensial til å overta mye av kateterangiografiens diagnostiske rolle i dette kargebetet. I diagnostikk av signifikant nyrearteriestenose har metoden sensitivitet og spesifisitet på godt over 90 % ved sammenlikning med kateterangiografi (16 – 18). MRA vil kunne utelukke signifikant stenose i de største nyrearteriene, men metoden gir fortsatt for dårlig fremstilling av de intrarenale grener. Ved hypertensjon hos yngre personer der man kan mistenke fibromuskulær dysplasi, bør det derfor fortsatt gjøres kateterangiografi. Kontrastforsterket MRA har ikke minst vist seg nyttig hos nyre- og levertransplanterte pasienter (19). Ved mistanke om arteriestenose vil metoden kunne selektere de pasienter som bør utredes videre med kateterangiografi før ev. ballongdilatasjon av stenosen (fig 8). Ved å gjøre flere MRA-opptak etter samme kontrastmiddelbolus kan både arteriefase og venefase fremstilles separat, noe som er særlig nyttig ved utredning av levertransplantater (fig 9). Den gode fremstillingen av sentrale arterier og vener gjør metoden også egnet ved vurdering av tumoroperabilitet i lever og pancreas.

    Perifere kar

    En av de vanligste indikasjonene for kateterangiografi er arteriosklerotisk sykdom i underekstremitetsarteriene. Stenoser vil kunne behandles i samme seanse med perkutan transluminal angioplastikk (PTA). MRA gir ikke mulighet for behandling, men metoden har et stort diagnostisk potensial. Hittil har man mest benyttet 2D-innstrømnings-MRA for fremstilling av arteriene i underekstremitetene. Metoden er tidkrevende (ca. 40 minutter for å dekke området fra distale aorta til ankler med tynne tverrsnitt) og gir ofte overestimering av stenosegrad og lengden av okklusjoner. Metoden er et særlig godt supplement når kateterangiografi er umulig eller inadekvat pga. utbredte karokklusjoner. 2D-innstrømnings-MRA er svært sensitiv for langsom blodstrøm, og vil f.eks. kunne påvise åpne perifere arterier ved uttalte proksimale okklusjoner. Den beste MRA-metoden er likevel kontrastforsterket MRA, forutsatt ny og rask MR-apparatur med mulighet for å flytte pasientbordet under bildeopptaket. Denne metoden gjør det mulig å undersøke bekken- og underekstremiteter i løpet av én kontrastbolusinjeksjon, og kvaliteten på disse opptakene er nesten identisk med den som oppnås med kateterangiografi (20). Utviklingen går mot at man velger MRA til den diagnostiske angiografiske utredningen, mens kateterangiografi reserveres de tilfellene der intervensjonsbehandling er aktuelt.

    Arteriosklerotisk sykdom i halsarteriene er en av de vanligste indikasjonene for MRA. Ultralydundersøkelse (med fargedoppler og spektraldoppler) er et godt ikke-invasivt alternativ, og for stenoser i carotisbifurkaturen synes denne metoden å være nokså likeverdig med MRA (14). Ultralydundersøkelsens svakhet i forhold til MRA er begrenset anatomisk dekning, verken den intrakraniale del av halsarteriene eller avgangen fra aortabuen kan fremstilles adekvat. Fremstillingen av vertebralisarteriene blir også ufullstendig. Inntil nylig har innstrømnings-MRA vært den foretrukne MRA-metoden for fremstilling av carotis- og vertebralisarteriene, men den er i ferd med å bli erstattet av kontrastforsterket MRA. Sistnevnte metode er mindre ømfintlig enn innstrømnings-MRA for ulike artefakter, som bl.a. kan føre til overestimering av stenosegrad, og den kontrastforsterkede varianten gir også en mye bedre fremstilling av arterieavgangene fra aorta (fig 5). MR med innstrømnings-MRA kan erstatte kateterangiografi ved mistanke om carotisdisseksjon (15), det er foreløpig liten erfaring med kontrastforsterket MRA ved denne indikasjonen. Kontrastforsterket MRA gir en god fremstilling av a. subclavia og er et godt alternativ ved spørsmål om stenose i skalenusporten. To kontrastinjeksjoner med redusert dose gjør det mulig å undersøke arterien med både løftet og senket arm i samme seanse. Halsvenene kan fremstilles med 2D-innstrømnings-MRA eller med kontrastforsterket MRA, men der det er spørsmål om trombosering eller venens relasjon til en tumor, vil ofte ultralydundersøkelse være tilstrekkelig. MRA gir imidlertid en bedre anatomisk oversikt og er også mer reproduserbar. 2D-innstrømnings-MRA er også

    Konklusjon

    Konklusjon

    MRA er en metode i rivende utvikling. Den kan fremstille arterier og vener i de fleste anatomiske områder uten smerter eller risiko for pasienten. Ved undersøkelse av de større kar har metoden sensitivitet og spesifisitet som nærmer seg «gullstandarden», kateterangiografi. Det er grunn til å tro at MRA vil bli den foretrukne metoden ved de fleste diagnostiske angiografier, mens kateterangiografien langt på vei reserveres intervensjonsprosedyrer.

    Kommentarer  ( 0 )

    Anbefalte artikler