30.03.2000:
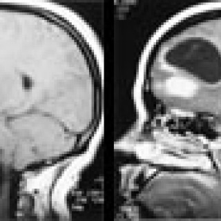
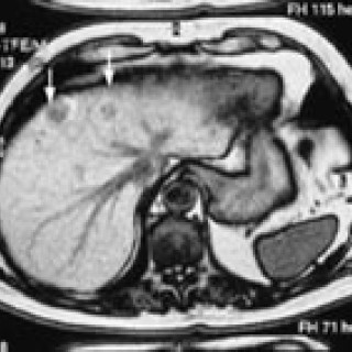
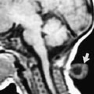
Magnetisk resonanstomografi, eller bare MR, er en teknikk som kan gi snittbilder av en hvilken som helst del av kroppen i en hvilken som helst retning. Teknikken benytter ingen ioniserende stråler, men baserer seg bl.a. på bruk av magnetfelter og radiobølger (1). Snittbilder kan gi god fremstilling av blodårer, men er utilstrekkelige for visualisering av tredimensjonal karanatomi. MR-angiografi (MRA) er en gruppe MR-teknikker som kan gi angiografiliknende, todimensjonale projeksjonsbilder av karanatomien. Det tredimensjonale kartreet kan betraktes fra valgfrie synsvinkler, hvilket gir et...