Nevroradiologisk magnetisk resonanstomografi – indikasjoner og bruksområder

    ()

    sporsmal_grey_rgb
    Abstract

    Magnetisk resonanstomografi (MR) har gjennom de siste år utviklet seg til et svært viktig diagnostisk redskap. Kjennskap til MR har betydning for alle leger som må utrede pasienter med symptomer fra sentralnervesystemet, ikke minst for de mange som henviser pasientene til poliklinisk MR-undersøkelse. Artikkelen gir en oversikt over de fleste områder hvor magnetisk resonanstomografi (MR) har avgjørende betydning for det diagnostiske resultat. Artikkelen vil derfor tjene som en oversiktsartikkel uten at alle tenkelige sykdommer er omtalt, men artikkelen gir referanser som kan brukes til videre fordypning. Det er også vår intensjon å vise hvordan man innen moderne organspesialisering i nevroradiologi er avhengig av å beherske den til enhver tid mest effektive og skånsomme apparatur.

    Abstract

    Magnetic resonance tomography is considered the most important technique in modern neuroradiology. This article demonstrates the importance of MR imaging in the diagnosis of diseases of the central nervous system. Modern neuroradiology is completely dependent upon this modality, and sections and departments of neuroradiology should have great responsibility for both diagnostic MR imaging and the day-to-day operation MR laboratories.

    Artikkel

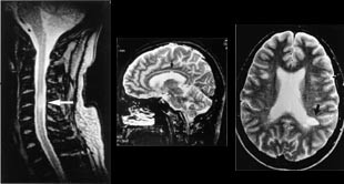
    Da magnetisk resonanstomografi (MR) ble innført ved Rikshospitalet (1) i 1987 visste vi allerede at dette nye apparatet ville få stor betydning for pasienter med sykdommer i sentralnervesystemet (2). Største delen av den tidlige kliniske MR-forskningen, internasjonalt så vel som i Norge, dreide seg om sentralnervesystemet (3 – 9). Dette har selvsagt endret seg etter at MR-teknikken er blitt ytterligere forbedret og bildeopptakstiden er så kort at den til og med tillater fremstilling av organer i bevegelse (10). Likevel gjøres fortsatt flest MR-undersøkelser av sentralnervesystemet. Av 8 300 MR-undersøkelser ved Rikshospitalet i 1999 utgjorde 80 % undersøkelser av sentralnervesystemet. MR er således utvilsomt etablert som det viktigste av nevroradiologiens instrumenter. MR er også helt vesentlig ved utredning og oppfølging i forbindelse med nevroradiologisk intervensjon (11). Det vil være umulig å gi en fullstendig dokumentasjon av de mange områder hvor nevroradiologisk MR anvendes i dag. Intensjonen med denne artikkelen er derfor først og fremst å informere de henvisende praktiserende leger om de viktigste bruksområder innen nevroradiologi.

    Bruksområder for nevroradiologisk MR

    Bruksområder for nevroradiologisk MR

    Cerebrale svulster

    Cerebrale svulster

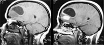
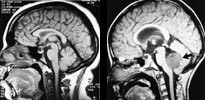
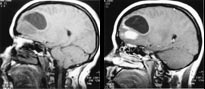
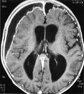
    Svulster kan opptre i alle aldre og med høyst forskjellig intrakranial lokalisasjon. Ved bruk av flere ulike pulssekvenser og snittplan kan MR fremstille en svulst bedre enn andre tilgjengelige metoder. MR er således bedre enn CT til å identifisere og nøyaktig lokalisere svulsten. Samtidig forbedres fremstillingen av tumormorfologien, effekten på omkringliggende hjernevev og store intrakraniale blodkar. MR identifiserer solide og cystiske tumorkomponenter så vel som kontrastmiddeloppladende eller ikke-oppladende svulstvev (fig 1, 2 ). Ofte finner vi ved MR hjernemetastaser som ikke er synlige selv med en god CT-undersøkelse. Disse egenskapene ved MR har derfor kunnet gi vesentlig informasjon med henblikk på valg av terapi.

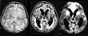
    I tillegg til å gi bildemorfologisk og anatomisk informasjon kan moderne MR-teknologi også definere funksjonell aktivitet både i sykt og friskt hjernevev. Såkalt funksjonell MR (fMR) er en fellesbenevnelse på en rekke teknikker som kan gi bilder av cerebral fysiologi og patofysiologi sammen med anatomi, f.eks. BOLD (Blood Oxygen Level Dependant)-teknikken (fig 3).

    Cerebrovaskulære sykdommer

    Cerebrovaskulære sykdommer

    Nevrokirurgisk og nevroradiologisk behandling (11, 12) av cerebrovaskulære sykdommer har økt kravene til nevroradiologisk diagnostikk i betydelig grad de senere år. Cerebral angiografi og computertomografi er fortsatt teknikker i en viss utvikling, men det er særlig MR-teknikken som nå er forbedret.

    Ved arteriovenøse misdannelser kan MR bidra med kartlegging av relasjonene mellom misdannelsen og hjernens strukturer (fig 4). Dette vil ofte være helt avgjørende for valg av terapi. Hvis såkalt funksjonell MR også benyttes kan vi oftest forutsi hvilke strukturer og funksjoner som vil kunne bli skadelidende ved et inngrep.

    I forbindelse med behandling av cerebrale aneurismer er vi stadig mest avhengig av cerebral angiografi, men MR-angiografi kan gi vesentlig informasjon mht. trombemasser i aneurismet og i enkelte tilfeller supplere med anatomiske forhold av betydning i strukturer inntil aneurismet. I dag er imidlertid CT-angiografi fortsatt av større betydning enn MR-angiografi ved akutte subaraknoidale blødninger.

    Mange cerebrale aneurismer behandles i dag med nevroradiologisk teknikk ved at aneurismelumen okkluderes med platinumspiraler (11, 13). Hvis den kliniske tilstand tillater at pasienten kan ligge i MR-maskinen, vil alle pasienter få utført MR før såkalt embolisering (okklusjon) av aneurismet. I den postoperative fasen øker betydningen av MR ved at MR ikke-invasivt kan demonstrere lukningsgrad og ev. reåpning av aneurismet.

    I forbindelse med hjerneslag kan CT vise blødninger og større infarkter på en rask måte selv hos urolige pasienter. MR krever lengre undersøkelsestider enn CT og derved pasienter som er i stand til å samarbeide over noe tid. MR-metoder som kan vise væskeflyt i hjernevevet, såkalt diffusjonsvektet MR med opptakstid på vel 20 sekunder er etablert (14) og har gitt forbedret utredning av slagpasienter.

    Degenerative cerebrale sykdommer

    Degenerative cerebrale sykdommer

    Iskemiske hjerneforandringer avdekkes hos et stort antall pasienter i de høyere aldersgrupper, ofte uten at de relativt iøynefallende MR-funn gir symptomer. Demyelinisering er også ganske lett å fremstille ved en rekke MR-sekvenser, og MR har etter hvert utviklet seg til å bli uunnværlig i diagnostikken av multippel sklerose (15, 16) (fig 5).

    Demyelinisering av annen årsak vil også lett kunne demonstreres ved MR , men differensialdiagnostikken mellom sykdommene er ofte vanskelig (16).

    Epilepsi

    Epilepsi

    Utredning av svulster er selvsagt viktig hos pasienter med epilepsi. Når det gjelder epilepsi av andre årsaker vil MR kunne bidra atskillig selv om vi i ganske mange tilfeller står uten bildemessig demonstrasjon av sykelige forandringer. Epilepsi med såkalt mesial sklerose er et unntak, men det krever spesielle sekvenser for å fremstille disse forandringene. Fullstendig epilepsiutredning er i dag utenkelig uten ved hjelp av MR.

    Traumer

    Traumer

    Ved cerebrale og spinale traumer er fortsatt CT førstevalget ved radiologisk utredning. Likevel er det ofte nyttig med MR for total og lettfattelig fremstilling av subdurale og epidurale ekstracerebrale hematomer. Også ved intracerebrale hematomer gir MR en bra fremstiling (17) men gir neppe særlig mer enn CT. Når det gjelder spinale epidurale hematomer er imidlertid MR-teknikken uovertruffen, f.eks. ved hematomer oppstått etter epidural anestesi (18). Det finnes ingen annen radiologisk metode i dag som kan vise skade i medulla. Ved traumatiske større spinale dislokasjoner og prolapser vil også MR gi den beste oversikten.

    Spinale sykdommer

    Spinale sykdommer

    MR gir verdifull informasjon hos pasienter med degenerative lidelser i columna. En av de store fordelene ved MR er at bein og bløtdeler kan demonstreres i samme bilde, men atskilles pga. forskjellige signaler. Foreløpig kan det være et problem at oppløsningen i bildene ikke er så god som i konvensjonelle røntgenbilder. Enkelte detaljer kan derfor fremstilles bedre ved konvensjonelle radiologiske metoder, f.eks. rotskjeder ved myelografi. Prolaps kan som oftest fremstilles tilfredsstillende med CT (19), men i de fleste tilfeller er MR-bildene lettere å tolke (fig 6) (5).

    MR har også forenklet diagnostikken av en rekke tilstander slik som medfødte spinale misdannelser, svulster og infeksjoner. Dette har for lengst medført en sterk reduksjon i bruken av myelografi (8). Før kirurgisk behandling vil det være viktig å avgjøre om en tumor ligger ekstraduralt eller intraduralt, foran eller baktil i spinalkanalen og dens relasjoner til medulla. Rutine-MR gir svar på dette i løpet av få minutter. Med unntak av hemangiomer forekommer primære beinsvulster i columna sjelden.

    Symptomgivende metastaser til columna opptrer imidlertid i ca. 5 % hos pasienter med maligne svulster. MR er svært følsom for metastaser (20) og det er viktig å huske at normalt utseende konvensjonelle røntgenbilder ikke kan utelukke selv uttalte destruktive skjelettforandringer (fig 7).

    Barnesykdommer

    Barnesykdommer

    MR-teknikken har hatt stor betydning for barn med medfødte misdannelser (21). Spesielt gjelder det barn med myelomeningocele og migrasjonforstyrrelser i hjernen. I moderne behandling av hydrocephalus er de nye MR-teknikkene av stor betydning både før og etter nevrokirurgiske inngrep. Det er gunstig at det ved MR-diagnostikken ikke brukes ioniserende røntgenstråler. Disse barna ville ellers måtte utsettes for relativt store stråledoser gjennom et langt liv med CT-kontroller (22).

    Infeksjonssykdommer

    Infeksjonssykdommer

    Diagnostikken ved både spinale og intracerebrale infeksjonssykdommer er betydelig bedret med MR i forhold til CT (23). Når det gjelder infeksjoner i hjernehinner kan MR gi bilder som det tidligere ikke var mulig å fremstille (fig 8). Særlig ved infeksjoner i hjernevevet kan det være nyttig å bruke flere forskjellige sekvenser. Diffusjonsvektet sekvens kan for eksempel vise iskemiske forandringer som ikke trer frem ved de mest vanlige sekvenser (fig 9).

    Diskusjon

    Diskusjon

    Denne artikkelen og de referanser vi har vist til illusterer at MR-teknologien er en meget vesentlig del av nevroradiologien og at det er naturlig at nevroradiologene har styring med nevroradiologisk diagnostikk og administrasjon av egen MR-virksomhet (24). Nevroradiologer har helt siden introduksjonen av MR-apparatet vært aktive i utviklingen av metoden. De diagnostiske muligheter og de tekniske løsninger er nå så kompliserte at en viss grad av spesialisering er nødvendig.

    Nevroradiologisk diagnostikk ved større sentralsykehus bør etter vår mening ivaretas av spesielt interesserte kolleger som nesten utelukkende konsentrerer seg om dette. Ved regionsykehusene er dette selvsagt. I tillegg kommer et økende behov for radiografer og annet hjelpepersonell som utelukkende driver med nevroradiologi. Det vil også være behov for nærmere samarbeid mellom radiologer og fysikere. Fysikere vil kunne utvikle sekvenser og metoder i samarbeid med klinisk arbeidende radiologer, kanskje først og fremst innenfor feltene funksjonell MR og spektroskopi (25). De største universitetsklinikkene i Norge bør ha egne MR-apparater slik at denne forskningen kan ivaretas uten at apparater og personell belastes med rutineoppgaver. Når det gjelder MR-angiografi, forventer vi også en betydelig utvikling, ikke minst med nye teknikker knyttet til bruk av kontrastmidler. Det er med stor spenning vi imøteser de enorme utfordringer som også ligger i sambruk mellom MR-teknikk og moderne PC-programmer. Tredimensjonal rekonstruksjon av MR-undersøkelser kan bli av stor nytte i behandlingen av pasienter (26, 27). MR-diagnostikk har revolusjonert nevroradiologien. Fordelene for pasientene er betydelige ved at metoden er ikke-invasiv og at ioniserende røntgenstråler ikke er nødvendige. Rent diagnostisk er det særdeles nyttig at man uten problemer kan avfotografere i flere plan mens pasienten ligger på ryggen. Henvisende leger kan uten frykt for å skade pasientene henvise til MR; bare med unntak for klaustrofobiske pasienter og for pasienter som har fått implantert paramagnetiske gjenstander i kroppen.

    I forbindelse med angiografiske utredninger er det ofte svært nyttig med MR-angiografi, f.eks. slik som vist i figur 4c, men ved en del problemstillinger er fortsatt deltaljfremstillingen ved MR-angiografi for dårlig. Digital subtraksjonsangiografi er foreløpig best når det gjelder å fremstille små detaljer og er et helt nødvendig hjelpemiddel ved intervensjonell nevroradiologi (28). Siden digital subtraksjonsangiografi er en invasiv metode og er potensielt farligere enn MR, vil det imidlertid ofte være naturlig å forsøke MR-angiografi først og deretter ev. supplere med digital subtraksjonsangiografi.

    Kommentarer  ( 0 )

    Anbefalte artikler