Magnettomografi innenfor pediatrisk radiologisk diagnostikk

    ()

    sporsmal_grey_rgb
    Abstract

    Magnettomografi har store og veldokumenterte diagnostiske fordeler innenfor de fleste organsystemer hos barn. Metoden gir verdifull informasjon som andre metoder ikke er i stand til å frembringe, spesielt innenfor sentralnervesystemet, hjertet og de store kar, bløtdeler og ledd samt onkologi.

    Bruksområdet hos barn øker i takt med utviklingen av bedre detaljoppløsning, nye og raskere sekvenser og spoler som er bedre tilpasset barn. Relativt lang opptakstid er en begrensende faktor, og forringelse av kvaliteten på grunn av artefakter fra bevegelse er et spesielt problem hos de mindre barna. Det er en klar målsetting å holde antall sedasjoner og narkoser på et minimum. Teknikker som benyttes hos nyfødte og små barn inkluderer reiving, mating, bestikkelse og undersøkelse sammen med foreldre i magneten. De vanligste sedasjonsmetodene er bruk av midazolam og kloralhydrat.

    De viktigste indikasjonsområdene for MR av barn er kartlegging av sentralnervesystemet, hjertet, de store kar, bløtdeler, ledd samt onkologisk diagnostikk. MR har fordeler og begrensninger i forhold til CT.

    Artikkel

    Barn skiller seg på enkelte viktige områder fra voksne. De har raskere respirasjon og hjerteaktivitet, beveger seg lettere under undersøkelser og er vanskeligere å få til å ligge stille. De har også økt sensitivitet for ioniserende stråling og senfølgene av denne (1). MR som teknikk har vist seg overlegen når det gjelder kartlegging av sentralnervesystemet, hjertet og de store kar, bløtdeler og ledd hos barn. MR er også et uunnværlig hjelpemiddel i onkologisk diagnostikk. CT er fortsatt å foretrekke ved lungeutredning og akutt traumatologi. Der det er snakk om en ren anatomisk kartlegging, vil CT og MR ligge nær hverandre i diagnostisk utbytte. I praksis må man derfor velge mellom å gjøre en rask CT-undersøkelse med betydelig strålebelastning eller en MR-undersøkelse i narkose eller sedasjon.

    Forberedelser og gjennomføring

    Forberedelser og gjennomføring

    Det er helt avgjørende for en vellykket undersøkelse av små barn at de er immobilisert. I motsatt fall oppstår skjemmende artefakter og det blir dårlig teknisk bildekvalitet. Det er ikke vanlig med tiltak for å synkronisere signalopptak ved MR med pustebevegelsene. I praksis vil man hos barn gjøre MR-opptakene mens barnet puster rolig. Spedbarn vil kunne roe seg på morsmelk, og man forsøker ofte å undersøke dem rett etter mating, eventuelt kombinert med ekstern immobilisering. Det siste kan skje ved at barnet surres med elastiske bind til en polstret plate, med armene opp langs hodet. Barnet får ørepropper for å skjerme det mot støy. Etter at barnet er surret fast på platen, legges det inn i MR-maskinen og vil deretter ofte kunne falle i søvn under undersøkelsen. Man bør ha lett tilgjengelig intravenøs tilgang for injeksjon av kontrast og medikamenter. Behovet for en eller annen form for sedering er størst hos barn i alderen 1 – 5 år. Vi har med hell benyttet midazolam, enten peroralt, nasalt, rektalt eller intravenøst (2). Midlet er enkelt å dosere og effekten relativt forutsigelig. I internasjonal sammenheng er nok kloralhydrat mest brukt som sedasjonsmiddel. Medikamentet har imidlertid dårlig sedativ effekt hos 10 – 15 % av barna, spesielt hos dem som er eldre enn to år, og dette kan det være vanskelig å styre på grunn av upresist opptak og uforutsigbar induksjonstid (3).

    Ettersom det er avgjørende for den tekniske gjennomføringen og kvaliteten å få kontrollert spontane bevegelser og uro hos barnet, må MR-undersøkelsen ofte gjøres i narkose. Fordelen er at man har full kontroll over respirasjon og pasientbevegelse. Ulemper er at prosedyren er ressurs- og tidkrevende, og dessuten oppstår atelektaser i lungene hos en majoritet av pasientene (4).

    Hos barn i aldersgruppen 2 – 5 år kan man forbausende ofte slippe sedasjon eller anestesi ved å benytte seg av to andre teknikker. Den mest velprøvde er bestikkelse. Barnet vises en kasse med små leker og loves en premie dersom det ligger stille. De mer usikre og tvilende kan få tilbud om å ta med mor eller far inn i magneten og kan greie undersøkelsen ved hjelp av beroligende småprat og motivering. Musikk på høretelefoner og videospiller som er spesielt tilpasset magnetfeltet er ofte en god hjelp ved langvarige undersøkelser.

    Det er selvsagt nødvendig med pasientmonitorering når pasientene er sedert eller i narkose. For å få optimal bildekvalitet bør små coiler som slutter tett rundt pasienten velges, slik at forholdet mellom signalstyrke og støy i bildet blir best mulig. De minste barna kan gjerne helkropps- eller hjerteundersøkes i en hodespole. Det er ingen alvorlige innvendinger mot å gi intravenøs MR-kontrast til barn etter de første par leveuker, forutsatt at nyrefunksjonen ikke er nedsatt (5). Man må påse at spedbarn er godt hydrert før undersøkelsen.

    Indikasjonsområder

    Indikasjonsområder

    Sentralnervesystemet

    Sentralnervesystemet

    Selv i forhold til moderne spiral-CT er MR-undersøkelse helt overlegen, spesielt ved diagnostikk relatert til bakre skallegrop og spinalkanal. Ved siden av vanlige spinnekkosekvenser, som gir god anatomisk kartlegging og vevskarakteristikk, benyttes for barn inntil 18 måneder spesielle sekvenser med lang repetisjonstid for å øke kontrasten mellom normalt og unormalt hjernevev (6). Fremstillingen av myeliniseringsprosessen og små fokale lesjoner forbedres med inversjonsgjenvinningssekvens (inversion recovery). Myeliniseringen begynner in utero og fortsetter etter fødselen. Ved to års alder har hjernen oppnådd nærmest voksent myeliniseringsmønster. Deponeringen av myelin, som er et hydrofobt glukoprotein, kan følges med MR. Forsinket eller unormal myelinisering er et viktig funn, da det kan avspeile enten svikt i myelindanningen, nedbrytning av normalt myelin (demyelinisering) eller produksjon av defekt myelin (dysmyelinisering). Andre sekvenser kan benyttes for å få frem differensieringen mellom grå og hvit substans, komplekse malformasjoner, tumorer og kar.

    Medfødte misdannelser opptrer hyppig i sentralnervesystemet. Enhver sykdomsepisode som skader hjernen i vekst (iskemisk, metabolsk, toksisk eller infeksiøs), kan forårsake misdannelser. En forstyrrelse av de migrerende nevroblastene tidlig i svangerskapet resulterer i anomalier av ulik alvorlighetsgrad som agyri, pakygyri, schizencefali, polymikrogyri og heterotopisk grå substans (7). Klinisk kan disse anomaliene føre til for eksempel psykomotorisk retardasjon, epilepsi og cerebral parese. Agenesi av corpus callosum, Arnold-Chiaris malformasjoner og Dandy-Walkers kompleks er andre eksempler på alvorlige utviklingsforstyrrelser. En fullstendig utredning av barn med alvorlige nevrologiske symptomer forutsetter kartlegging med MR.

    Når det gjelder postnatale infeksjoner i sentralnervesystemet, er disse vanligvis forårsaket av hematogen spredning. MR avslører hjerneødem og eventuelle iskemiske eller hemoragiske infarkter som følge av karokklusjon. Etter kontrastinjeksjon sees intens oppladning i ependym og meninger ved ventrikulitt eller meningitt, ofte fulgt av hydrocephalus. Hos nyfødte er abscess nokså sjeldent. Hos eldre barn kan MR-funn være relativt sparsomme i akuttstadiet av infeksjoner. Senere i forløpet er det vanligere med subdurale effusjoner, utvidet subaraknoidalrom og forstørrede ventrikler, i tillegg til kontrastoppladning i meningene.

    I nyfødtperioden utføres MR som supplement til ultralydundersøkelse ved hydrocephalus, større hjerneblødninger, infarkter og gjennomgått intrauterin asfyksi. Sinustrombose er ikke helt sjeldent og kan sees hos premature ved dehydrering eller etter germinalmatriksblødning. Hjerneskade oppstått ved mishandling med risting gir hyppig forekomst av subdurale blødninger interhemisfærisk og tentorielt, i tillegg til diffuse dype parenkymskader. MR gir mulighet for en presis kartlegging av skadene og tidsangivelse av blødningene, noe som er viktig både prognostisk og juridisk for å klargjøre skademekanismen og sannsynligheten for at traumet har vært gjentatt.

    Utredning av spinalkanalen gjøres vanligvis med sagittale og transversale snitt. Ved dysrafi, tumor, infeksjon og betennelse gis kontrast. Utviklingsanomalier er knyttet til danningen av nevralrøret og separasjonen av de forskjellige embryonale lagene. Spinal dysrafi, myelo-, meningo- og myelomeningocele, syringomyeli, intraspinalt lipom og diastematomyeli er eksempler på slike anomalier. MR gir mulighet for en nøyaktig og detaljert fremstilling av de anatomiske forholdene (fig 1), noe som selvfølgelig er av avgjørende betydning før kirurgisk korreksjon. MR spiller en helt avgjørende rolle innen pediatrisk nevroradiologi.

    Hjerte og kar

    Hjerte og kar

    Utredning av medfødte hjertefeil med MR har tidligere vært omtalt i Tidsskriftet (8). Hovedindikasjonene for å undersøke pasienter med medfødte hjertefeil med MR er morfologisk fremstilling av hjertet og de store kar. Eksempler er måling av størrelse av sentrale lungekar ved Fallots tetrade, kontroll av koarktasjonsopererte med tanke på rekoarktasjon eller aneurismeutvikling og kontroll etter shuntoperasjoner. Måling av ejeksjonsfraksjon og karakterisering av ventrikkel- og klaffefunksjon ved kardiomyopatier og etter korreksjon av transposisjon av de store kar med Mustard- og Senning-teknikker er et annet eksempel. Klaffeinsuffisiens kan vurderes uten forstyrrende påvirkning av kateter som er ført gjennom klaffeapparatet, og uten rytmeforstyrrelser, som forekommer i forbindelse med kontrastmiddelinjeksjon. En fremstilling av sjeldne kardiale tumorer (fig 2) kombinert med MR-opptak gjennom både systole og diastole i samme snittplan og avspilt i sløyfe (cine-MR) for å vurdere eventuell klaffeaffeksjon og innvekst i myokard kan være av verdi preoperativt.

    MR av hjertet har i løpet av 1990-årene utviklet seg fra å være et hjelpemiddel for anatomisk kartlegging av så vel store kar som intrakardial anatomi til å bli et sofistikert verktøy som kan måle en rekke fysiologiske parametere (9, 10). Global og regional myokardkontraktilitet i ventriklene kan måles, og tallrike artikler har beskrevet hvordan MR med sin tredimensjonale kvalitet kan brukes til nøyaktige volumbestemmelser av hele hjertet, de enkelte ventrikler og forholdet mellom ventriklene pre- og postoperativt. Nyere sekvenser har åpnet for nøyaktig kvantifisering av blodstrømmen i de store kar, beregning av shuntvolumer, utregning av gradienter over stenotiske kar eller klaffer, for å nevne noen muligheter.

    Etter initial kartlegging og operativ behandling kan videre kontroll i de aller fleste tilfeller skje ved hjelp av en kombinasjon av MR og ekkokardiografi. Bare unntaksvis, som for eksempel ved vurdering av Fontan-operasjon, vil kateterisering være nødvendig. MR-angiografi på barn kan med fordel brukes til fremstilling av store kar intratorakalt (anomalier), store abdominalkar eller bekkenkar ved mistanke om okklusjon etter kateterisering. Oppløseligheten ved MR er fortsatt noe dårligere enn ved CT og angiografi, og andre begrensende faktorer er behov for sedasjon, manglende evne til samarbeid samt tilgjengelighet av undersøkelsen.

    Onkologi

    Onkologi

    Kartlegging av solide tumorer er en viktig indikasjon for MR hos barn. Forståelsen av tumors utbredelse bedres ved at like god fremstilling oppnås i de tre ortogonale plan samt at volumopptak og kartlegging av relasjon til kar og luftveier kan skje i samme undersøkelse. CT er imidlertid bedre til å vise kortikal beinet affeksjon, og foretrekkes også til kartlegging av lungemetastaser.

    Svulster i sentralnervesystemet er hos barn den nest hyppigste kreftformen etter leukemi. Hos nyfødte er infra- og supratentorielle tumorer omtrent like hyppig forekommende. Hos litt eldre barn dominerer svulster i bakre skallegrop. Flere av de maligne svulstene har tendens til å fjernmetastasere til meningene i spinalkanalen. Disse sees i praksis kun ved hjelp av MR. Tumor bør fremstilles i minst to plan, før og etter kontrast både pre- og postoperativt. For å avsløre eventuell resttumor er det viktig at den postoperative kontrollen gjøres innen 72 timer for å skille kontrastoppladning i tumorvev fra forandringer som skyldes selve inngrepet. Postoperativ kontrastoppladning vil kunne persistere i opptil ett år, selv om signalforandringene i operasjonsflaten blir svakere etter ca. seks uker (6).

    Tumorer med innvekst til sentralnervesystemet, for eksempel fra øre-nese-hals-området, kan nøyaktig kartlegges med MR, og operabilitet kan vurderes enklere og sikrere enn ved CT med aksiale snitt (fig 3). Ved å kombinere MR med ultralydveiledet biopsi og beinmargsprøver, samt ev. CT i samme seanse, spares barnet for flere narkoser. En slik integrering av MR-undersøkelse i utredningsrekken blir stadig oftere etterspurt hos barn.

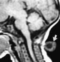
    Nevroblastom er et meget godt eksempel på en tumorform som med fordel kan utredes og følges med MR (fig 4). Ved paravertebral lokalisasjon av tumor skal kartleggingen utføres med MR på grunn av tendensen til innvekst i spinalkanalen gjennom foramen intervertebrale. Intraspinal utbredelse er ikke alltid forbundet med nevrologiske funn, men det kan være avgjørende for valg av behandling å vite om tumors primære utbredning, og MR vil på den enkleste og beste måten gi denne informasjonen. Forkalkninger i tumor sees imidlertid bedre med CT enn med MR.

    Wilms’ tumor fremstilles omtrent like bra med CT og MR, og begge metoder gir bedre oversikt enn ultralyd. Både CT og MR egner seg godt til å kartlegge primær utbredelse av et torakalt lymfom hos barn. Et spesielt problem er en synlig rest i fremre mediastinum etter behandling av et torakalt non-Hodgkins lymfom. Signalmønsteret ved ulike sekvenser på MR gjør det langt på vei mulig å skille mellom fett, fibrose og mulig tumor. Er det sterkt signal på både T1- og T2-sekvenser, tolkes forandringene som fett, mens svake signaler på begge sekvenser finnes ved fibrose. Ved svakt signal på T1 og høyt på T2 foreligger det en mulig tumor, som må følges.

    Osteogent sarkom kartlegges bedre med MR enn med CT, spesielt gjelder dette utbredelsen av tumor i marghule og gjennombrudd ut i bløtdeler, mens kortikalt bein fremstilles best med CT.

    Abdomen

    Abdomen

    På grunn av utviklingen av raske sekvenser er det mulig å få skarpe bilder på tross av respirasjons- og tarmbevegelser. Instillering av vann, blåbærsaft (inneholder magnesium) eller MR-kontrast kan forbedre fremstillingen av tarm. I tillegg til de vanlige spinnekkosekvensene kan man ha nytte av hurtige sekvenser med ekstremt lang repetisjons- og ekkotid, som gir signaler kun fra væskeholdige kaviteter.

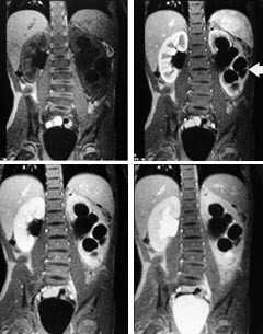
    MR-urografi har potensial til å kunne erstatte tradisjonelle røntgenologiske metoder som urografi, CT-urografi og kanskje også scintigrafi hos barn. Strålehygienisk sett er dette viktig (11). Anomalier som agenesi, hypoplasi og dysplasi, dobbeltanlegg, ektopi og hesteskonyre lar seg enkelt fremstille. Solitære og multilokulære cyster, eventuelt komplisert med blødning, multicystisk nyre, infarkt, infeksjon eller abscess, arrforandringer og tumor diagnostiseres med stor sikkerhet. Ved å gjøre dynamisk kontrastundersøkelse med bilder hvert 2. – 3. sekund i tillegg til den morfologiske utredningen vil man kunne få et visuelt inntrykk av nyrefunksjonen (fig 5). Oppladningsmønsteret kan visualiseres i bark og marg. Obstruksjoner i samlesystemet kan studeres ved å måle signalintensiteten over tid i nyrebekkenet etter furosemidbelastning (12). CT gir imidlertid bedre fremstilling av forkalkninger og også ofte bedre fremstilling av nyrevenen enn MR.

    Choledochuscyster diagnostiseres primært med ultralyd. Galletreet kan fremstilles elegant med MR og bekrefte diagnosen. Hos nyfødte der det er mistanke om gallegangsatresi, er MR fortsatt ikke brukt som rutinediagnostikk, men med bedre oppløsning vil metoden kunne erstatte perkutan galleblærepunksjon og ev. endoskopisk kontrastfremstilling av gallegangene.

    Både mesenterialcyster, duplikasjonscyster, ovarialcyster og lymfatiske misdannelser kan diagnostiseres med MR.

    Overflatespoler kan være egnet for detaljdiagnostikk i perineum og det lille bekken, f.eks. ved utredninger av anorektale eller urogenitale skader og misdannelser. Anorektale anomalier inkluderer ektopisk anus og høy eller lav analatresi og -stenose. MR er først og fremst nyttig for kartlegging av atresinivå i forhold til levatormuskulaturen, og intakt sfinkterapparat kan verifiseres med MR før en eventuell gjennomtrekningsoperasjon. Det er også mulig å kontrollere at operasjonen er korrekt utført med MR, og skille ut de sjeldne tilfeller der asymmetrisk plassering av analkanalen i forhold til muskulatur eller interposisjon av fettvev er årsak til postoperativ inkontinens. En rekke arbeider har påvist nytten av MR ved kartlegging av fistler i ulike lokalisasjoner, spesielt der det er sparsomt med sekresjon (13).

    Skjelett, ledd og bløtdeler

    Skjelett, ledd og bløtdeler

    Barn i ulike aldre vil ha vekslende fordeling av rød og gul beinmarg, og kjennskap til mønstre og variasjoner samt endringer som tilkommer etter stråleterapi er nødvendig for å kunne differensiere mot patologiske forandringer som leukemiske infiltrater (14).

    MR har vist seg som en uovertruffen metode for å oppdage forandringer i beinmarg forårsaket av traume, tumor, iskemi og infeksjon. I tillegg vil detaljoppløsningen med store kontrastforskjeller gjengitt mellom de ulike bløtvevskomponentene og muligheten for å legge tynne snitt i ethvert plan tillate diskriminering av patologiske forandringer i muskler, ligamenter, sener og kutane strukturer. En ulempe er imidlertid fortsatt at mange av de funn som gjøres er uspesifikke, og tolkingen må derfor koordineres med kliniske opplysninger og funn ved andre radiologiske metoder, spesielt vanlig skjelettrøntgen (15).

    Osteomyelitt kan være vanskelig å skille fra en malign tumor med destruksjon, og noen ganger er det bare vevsprøver som kan gi et sikkert svar. Utbredelsen av prosessen i marghule og bløtdeler kartlegges best med MR (fig 6). Særlig fordelaktig er MR i tidlig stadium av sykdommen, med tydelige kliniske funn, men med negativ skjelettradiologi og til og med negativ scintigrafi.

    Aseptiske nekroser som Calvé-Legg-Perthes sykdom bør nå henvises til MR, som kan gi oversikt over så vel nekrosen som formforandringer, bruskaffeksjon, grad av caputdekning, økt mengde leddvæske samt synovial fortykkelse. Metoden er mer følsom og presis enn konvensjonell røntgenundersøkelse og scintigrafi når det gjelder å fastslå utbredelsen av caputnekrose (16).

    Infarkter kan oppstå i beinsubstans som følge av kortisonbehandling hos barn. Disse vil fremtre tydelig med MR, men kan være umulige å se ved konvensjonell røntgenundersøkelse.

    Okkulte frakturer kan også sees på MR, men det er her viktig å differensiere mot ”normalt” forekommende veksthemmingslinjer hos barn.

    Hemangiomer og vaskulære malformasjoner

    Hemangiomer og vaskulære malformasjoner

    Denne pasientgruppen bør utredes og behandles av bredt sammensatte tverrfaglige grupper (17). Ofte vil det være nødvendig med kombinerte utredninger med ultralyd og doppler, CT, MR og angiografi. En fordel med MR er at metoden presist viser utbredelsen i områder der andre metoder gir utilstrekkelig informasjon. Karmønsteret i arteriovenøse misdannelser avtegnes til en viss grad, og større karstrukturer som dilaterte vener vil kunne følges over store områder. Hemangiomer i bløtdeler og på ekstremiteter er vanligvis karakterisert godt nok med T2-vektede sekvenser, og kontrastmiddel vil ikke gi ekstra informasjon. Angiografi vil i større grad kunne reserveres for barn som er aktuelle for intervensjon, eventuelt som preoperativ behandling. Store lymfatiske misdannelser vil kunne behandles med direkte punksjon med installasjon av skleroserende middel på bakgrunn av MR-funn alene.

    Konklusjon

    Konklusjon

    MR har i løpet av et drøyt tiår vist seg meget nyttig og til dels uunnværlig ved diagnostikk av sykdom i samtlige organsystemer hos barn. Metoden har potensial til delvis å erstatte metoder som er smertefulle eller risikable, for eksempel hjertekateterisering med mulighet for stikkomplikasjoner, kontrastmiddelreaksjon, rytmeforstyrrelser og strålebelastning. Metodens bidrag til tidlig og presis diagnostikk forkorter liggetiden i sykehus og bedrer behandlingsresultatene hos barn. Det er fortsatt en ulempe at MR innebærer et behov for anestesi og sedasjon. Derfor vil reduserte opptakstider få ekstra stor betydning for bruksområdet og det diagnostiske utbyttet av MR hos barn, og sammen med bedre detaljoppløsning vil dette øke indikasjonsområdet.

    Kommentarer  ( 0 )

    Anbefalte artikler