Brystdiagnostikk med magnetisk resonanstomografi

    ()

    sporsmal_grey_rgb
    Abstract

    Magnetisk resonans (MR)-bildedanning kan anvendes for evaluering av brystimplantater og for diagnostikk av brystkreft. MR-bildedanning er anerkjent som den beste bildemetode for diagnostikk av komplikasjoner i forbindelse med bruk av brystimplantater. En av disse komplikasjonene er implantatruptur. Kunnskap om ulike typer brystimplantater og om normalvariasjoner i bildefremstillingen av implantater er nødvendig for å kunne differensiere mellom intakte og rupturerte silikonimplantater.

    MR-bildedanning i diagnostikk av brystkreft har vært emne for en omfattende forskningsaktivitet det siste tiåret. Ved bruk av intravenøse gadoliniumbaserte MR-kontrastmidler oppnår man i større kliniske materialer en diagnostisk sensitivitet på over 95 % for påvisning av brystkreft. Imidlertid bidrar en lav spesifisitet til at metodens rolle i klinisk diagnostikk er uavklart. Pasienter som tidligere har gjennomgått brystkirurgiske inngrep eller strålebehandling og pasienter med brystimplantater er eksempler på pasientgrupper hvor MR kan gi nyttig tilleggsinformasjon i forhold til konvensjonelle bildemetoder. Det er grunn til å tro at utviklingen av nye MR-bildeteknikker og nye behandlingsmetoder kan øke nytten av MR ved brystkreft.

    Abstract

    Magnetic resonance imaging (MRI) of the breast is currently used for evaluation of both parenchymal disease and silicone gel implants. MRI is widely recognised as the most accurate imaging method for evaluation of breast implant integrity. Knowledge of the MRI appearance of the different types of implants and the possible complications of their use is important for diagnosis in these patients. The use of contrast-enhanced MRI in breast cancer diagnosis has been investigated thoroughly during the last decade. It is a sensitive imaging method to detect breast pathology, and may have an important diagnostic impact in carefully selected patient groups. The development of new MR techniques may improve the utility of MR in breast cancer diagnosis, treatment and research.

    Artikkel

    De to anvendelsesområdene for MR-bildedanning av mamma er evaluering av silikonimplantater og diagnostikk av brystkreft. Begge områder er omtalt i Tidsskriftet i løpet av de siste årene (1, 2). I denne oversiktsartikkelen vil vi gjøre rede for indikasjoner, undersøkelsesteknikker, typiske funn og mulige fallgruver ved MR-diagnostikk av bryst. Det er behov for en kortfattet gjennomgang av disse problemstillingene, siden det for tiden er en betydelig økning i utbredelsen av MR-utstyr i Norge. Hittil har kun et fåtall institusjoner i Norge utført MR-undersøkelser av bryst i større skala, men med bedret MR-kapasitet og en stadig oppmerksomhet omkring brystdiagnostikk er det sannsynlig at metoden får økt anvendelse.

    MR i brystkreftdiagnostikk

    MR i brystkreftdiagnostikk

    En annen gruppe som kan gi diagnostiske problemer ved mammografi er pasienter med brystimplantater av silikon. Silikonimplantater er røntgentette og vil, selv med bruk av spesialprojeksjoner, skjule betydelige deler av brystvevet ved mammografi. Selv om mange diagnostiske problemer kan løses ved kombinasjon av mammografi, ultralydundersøkelse og aspirasjonscytologi eller sylinderbiopsi, vil man stå igjen med en liten gruppe pasienter hvor det er vanskelig å stille en korrekt diagnose. Dette er noe av bakgrunnen for at man de siste ti årene har sett en omfattende forskningsinteresse for bruk av MR-bildedanning som et supplement til konvensjonelle bildediagnostiske teknikker i brystkreftdiagnostikk. MR-bildedanningens plass i utredningen av brystsvulster er fortsatt omstridt (8), men metoden har oppnådd betydelig utbredelse i enkelte land, og flere sentre har nå erfaring fra flere tusen pasientundersøkelser.

    å skille fra en malign tumor.

    MR-undersøkelsen

    MR-undersøkelsen

    Bakgrunn

    Bakgrunn

    Allerede kort tid etter at MR ble utviklet som en bildediagnostisk metode fattet man interesse for brystdiagnostikk. Man benyttet seg av vanlige T1- og T2-vektede bildesekvenser, og selv om det var mulig å differensiere mellom cyster og solide svulster, kunne ikke disse bildesekvensene skille mellom benigne og maligne svulster (9). MR-bildedanning av brystsvulster ble diagnostisk nyttig først etter at gadoliniumholdige MR-kontrastmidler for intravenøs bruk ble introdusert i midten av 1980-årene. Disse MR-kontrastmidlene distribueres i ekstracellulærrommet, med unntak av sentralnervesystemet, hvor kontrastmidlet holder seg intravaskulært på grunn av blod-hjerne-barrieren. Kontrastmidlet lades opp i strukturer som har høy blodgjennomstrømning, høy kapillær permeabilitet og stort ekstracellulærrom. De første resultatene av kontrast-MR-undersøkelser av bryst ble publisert i 1986 (10). Man fant at praktisk talt alle invasive brystkreftsvulster ladet opp intravenøse gadoliniumkontrastmidler, og at disse kontrastoppladende svulstene ofte kunne differensieres fra benigne brystlesjoner (10 – 12).

    Pasientforberedelse

    Pasientforberedelse

    Hos premenopausale kvinner kan markert kontrastopptak sees i normalt kjertelvev i den del av menstruasjonssyklus hvor epitelproliferasjonen er mest uttalt. For å unngå dette problemet anbefales det at undersøkelsen blir lagt mellom dag 5 og dag 15 av menstruasjonssyklus. Av samme grunn bør postmenopausale kvinner som får østrogensubstitusjonsbehandling seponere behandlingen en tid før undersøkelsen hvis dette er mulig. MR-bildeundersøkelse av brystet har redusert verdi de første tre – seks månedene etter kirurgiske inngrep og de nærmeste seks måneder etter avsluttet strålebehandling, siden granulasjonsvev i denne perioden kan lade opp intravenøst kontrastmiddel. Ved tolking av MR-undersøkelsen bør tidligere bildeundersøkelser av brystet (mammografibilder, ultralydbilder) være tilgjengelige.

    Pasienten undersøkes i mageleie med brystene leiret i en brystspole. Brystspolen gir et godt signalstøyforhold og er vanligvis utformet som to skåler slik at begge bryster om ønskelig kan undersøkes samtidig. Samtlige MR-utstyrsleverandører som er representert i Norge, leverer brystspoler til sine maskiner. I motsetning til ved mammografi er det ikke nødvendig å komprimere brystene, men en stabilisering med tynne skumgummiputer reduserer bevegelsesartefaktene. Mageleie kan være belastende for enkelte eldre pasienter, og pasienter med uttalt klaustrofobi kan også ha problemer med å gjennomføre undersøkelsen.

    Bildesekvenser

    Bildesekvenser

    Undersøkelsen utføres vanligvis som en dynamisk T1-vektet kontrastundersøkelse hvor det gjøres bildeopptak av brystet før og gjentatte ganger etter en rask intravenøs injeksjon av gadoliniumkontrast (gadodiamide eller Gd-DTPA). Vanlig kontrastmiddeldosering er 0,1 mmol/kg kroppsvekt injisert i løpet av cirka fem sekunder, umiddelbart etterfulgt av 20 ml fysiologisk saltvann. Ved dynamiske kontrastundersøkelser av bryst anvender de fleste en tredimensjonal gradient ekkoteknikk som kombinerer høy bildeoppløsning og høy tidsoppløsning med god følsomhet for ulike konsentrasjoner av gadoliniumkontrastmidlet. For å oppnå en høy sensitivitet ved undersøkelsen bør bildesnittene ikke være tykkere enn 2 – 3 mm. Snittene kan plasseres i sagittal-, transversal- eller koronalplan. Det er fordeler og ulemper ved alle disse snittplanene, men er fremstilling av aksillen viktig, bør transversalplan ikke velges, siden bevegelseartefakter fra hjertet da lett forstyrrer oversikten i dette området.

    Dynamiske kontrastundersøkelser gir et stort antall bilder, typisk 400 eller flere ved en brystundersøkelse. For å kunne tolke bildeundersøkelsen med et rimelig tidsforbruk er man avhengig av å kunne gjennomgå bildeinformasjonen på en arbeidsstasjon. De fleste MR-maskinleverandører tilbyr arbeidsstasjoner med programvare tilpasset dynamiske kontrastundersøkelser.

    Bildetolking

    Bildetolking

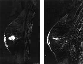
    Generelt lader maligne brystkreftsvulster opp intravenøst injiserte MR-kontrastmidler raskere og kraftigere enn godartede svulster og normalt kjertelvev (fig 1). Dette har sammenheng med høyere vaskularitet og økt kapillærpermeabilitet i kreftsvulster sammenliknet med andre typer vev. Tidlige studier rapporterte at brystkreft ble diagnostisert med sensitivitet og spesifisitet på ca. 97 % når en økning i svulstens signalintensitet på 90 % eller mer i løpet av det første minuttet etter kontrastinjeksjon ble brukt som diagnostisk kriterium (11). Med økende erfaringsmateriale er det klart at også mange godartede lesjoner kan lade opp kontrastmiddel raskt og kraftig, særlig gjelder dette enkelte fibroadenomer, fibrocystisk dysplasi og skleroserende adenose (12). Spesifisiteten i senere kliniske MR-studier hvor pasientene har vært utvalgt på bakgrunn av mammografiske og kliniske funn har, avhengig av undersøkelsesteknikk og diagnostiske kriterier, variert fra 37 % til 89 % (13 – 17). Selv om enkelttilfeller av ikke-kontrastoppladende maligne brystvulster er rapportert (18), er den negative prediktive verdien av en MR-undersøkelse som ikke viser kontrastoppladende strukturer i brystet nær 100 %.

    Som et resultat av den moderate spesifisitet som oppnås med dynamisk kontrastundersøkelse av brystet, er ulike diagnostiske tilleggskriterier blitt utviklet. Morfologiske egenskaper ved brystlesjonen synes å være vesentlig for å differensiere mellom benigne og maligne svulster. Som ved mammografi er benigne lesjoner ofte velavgrenset med glatte konturer, mens maligne svulster ofte har uskarp avgrensning mot omliggende strukturer og taggete konturer. For at man skal være i stand til å vurdere morfologiske karakteristika optimalt, må bildene ha høyest mulig oppløsning, men da vil bildeopptaket gjerne ta flere minutter, slik at informasjon fra den dynamiske kontrastoppladningen mistes (19). I de fleste studier er det valgt en mellomvei, hvor man ved å bruke en tidsoppløsning på 1 – 2 min og 2 – 3 mm tykke snitt får en akseptabel bildekvalitet for å vurdere morfologiske karakteristika og samtidig et inntrykk av det dynamiske kontrastopptaket i vevet.

    Det pågår en utstrakt forskningsaktivitet for å forbedre det diagnostiske potensialet til MR-undersøkelse av bryst. Ved MR-senteret i Trondheim har vi de siste årene særlig interessert oss for MR-teknikker som avspeiler kapillærgjennomblødningen i tumor, såkalt T2*-vektet førstepassasjebildedanning (fig 2). Bakgrunnen for å anvende denne teknikken er at kreftsvulster har flere og større kapillærer og dermed høyere kapillærperfusjon enn godartede svulster. Foreløpig synes det som om man ved denne teknikken kan påvise brystkreft med høy spesifisitet, men med en noe lavere sensitivitet enn den dynamiske T1-vektede teknikken (20). Siden T2*-vektet perfusjonsbildedanning avhenger av kapillærperfusjonen, kan metoden kanskje gi informasjon om tumorangiogenese (21) og dermed bli et hjelpemiddel både i vurderingen av kreftsvulstens metastaseringspotensial og i evalueringen av behandlingseffekten ved nye former for antitumorterapi som primært retter seg mot svulstens blodforsyning (antiangiogeneseterapi). MR-spektroskopi (MRS), hvor man benytter MR-teknikken til å få metabolsk informasjon fra svulsten, er en annen teknikk som i forskningssammenheng er brukt på brystsvulster. Metabolitten kolin, som inngår i cellemembranenes fosfolipidsyntese, er funnet i betydelige høyere konsentrasjoner i maligne enn i benigne brystsvulster, men det biokjemiske grunnlag for dette og den diagnostiske nytte av MRS i denne sammenheng trenger fortsatt evaluering (22, 23).

    Mulige indikasjoner for brystsvulstdiagnostikk med MR

    Mulige indikasjoner for brystsvulstdiagnostikk med MR

    Absolutte indikasjoner for MR-bildedanning i brystdiagnostikk eksisterer ikke, men metoden har gitt oppløftende resultater ved flere diagnostiske problemstillinger.

    Postoperativ status

    Postoperativ status

    Brystbevarende kirurgi, hvor kreftsvulsten med de nærmeste omgivelser blir fjernet og den gjenværende del av brystet mottar postoperativ strålebehandling, er en stadig mer utbredt form for brystkreftbehandling. Imidlertid sees lokalt tumorresidiv hos ca. 1 % av pasientene per år i lengre tid etter behandlingen (24). I et operert og bestrålt bryst kan det være store arrforandringer, noe som gjør det vanskelig å oppdage tumorresidiv på et tidlig tidspunkt med mammografi. Arrvev som er eldre enn seks måneder, vil som regel ikke ta opp MR-kontrastmiddel i signifikant grad (25). Dette gjør kontrast-MR-bildedanning av brystet velegnet til å differensiere mellom arrvev og residivtumor. Hos pasienter hvor annen diagnostikk ikke gir avklaring, kan MR være en aktuell tilleggsundersøkelse.

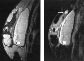
    Tumordiagnostikk hos pasienter som har silikonimplantater som ledd i en brystrekonstruksjon eller av kosmetiske grunner, er vanskelig med mammografi. Dersom heller ikke ultralydundersøkelse, eventuelt med ultralydveiledet aspirasjonscytologi, gir avklaring, kan det hos denne pasientgruppen være indikasjon for MR-undersøkelse ved tumormistanke. Ved vevsprøvetaking fra tumorsuspekte områder nær implantatet kan det være en risiko for å punktere silikonprotesen. Våre egne erfaringer viser at MR-veiledet biopsi eller finnålsaspirasjon av tumorsuspekte områder er et alternativ i slike tilfeller (fig 3).

    Preoperativ status

    Preoperativ status

    I to MR-studier av brystkreftpasienter ble tilleggssvulster som ikke var påvist ved mammografi funnet hos henholdsvis 37 % (15) og 28 % (26) av pasientene. Dette er tall som samsvarer med store patologimaterialer hvor det ved mikroskopiundersøkelse blir funnet satellittsvulster i andre deler av brystet hos over 40 % av pasientene som mammografisk har en solitær tumor (27, 28). Påvisning av multifokalitet er av betydning for pasienter som er kandidater for brystbevarende kirurgi, siden dette kan være en kontraindikasjon for slik behandling. For å unngå reoperasjon som følge av manglende radikalitet ved brystbevarende kirurgi er det også viktig at brystsvulstens utbredelse er godt kartlagt. I en nylig publisert studie var det samsvar mellom MR-bildedanning og histopatologisk undersøkelse av svulstens anatomiske utbredelse hos 98 % av pasientene, mens mammografi viste samsvar hos bare 55 % av pasientene (29). I den samme studien forsøkte man å beregne den økonomiske gevinsten som følger av at færre pasienter må reopereres på grunn av manglende radikalitet etter brystbevarende kirurgi, og fant at MR var kostnadseffektivt med en pris på opptil 2 000 amerikanske dollar per undersøkelse (29).

    Aksillære lymfeknutemetastaser uten kjent utgangspunkt

    Aksillære lymfeknutemetastaser uten kjent utgangspunkt

    Ved funn av karsinommetastaser i aksillen og hvor primærtumor ikke påvises, verken ved klinisk undersøkelse eller konvensjonell bildediagnostikk, er det grunnlag for å utføre MR-bildeundersøkelse av brystet. I et materiale på 12 pasienter med denne problemstillingen ble det hos ni funnet tumorsuspekte forandringer i brystet ved MR. Åtte av disse lesjonene ble verifisert som brystkreft etter kirurgi (30).

    Høyrisikopasienter

    Høyrisikopasienter

    I aldersgruppen 35 – 50 år har bærere av genmutasjonene BRCA1 eller BRCA2 ca. 30 ganger høyere risiko for å utvikle brystkreft enn normalbefolkningen. Mammografiscreening har begrenset sensitivitet i denne aldersgruppen fordi kvinnene gjerne har tett brystkjertelvev. Foreløpige resultater fra en MR-screeningundersøkelse av denne pasientgruppen er nylig presentert (31). Hos 256 asymptomatiske kvinner ble det påvist brystkreft i ni tilfeller. MR-bildedanning påviste alle ni, mens man ved kombinasjonen mammografi og ultralydundersøkelse påviste fire. Det er mulig at MR kan være et godt alternativ eller et supplement til mammografi i denne pasientgruppen. Det pågår for tiden studier i flere land som på sikt kan gi et svar på dette.

    Monitorering av behandlingseffekt

    Monitorering av behandlingseffekt

    Brystkreftsvulster som er større enn 5 cm eller som vokser inn i hud eller brystvegg, behandles vanligvis med kjemoterapi eller anti-hormonbehandling før kirurgi. På grunn av problemer med å differensiere ødem og arrvev fra vitalt tumorvev er responsen på denne behandlingen vanskelig å vurdere, både klinisk og med konvensjonelle bildemetoder. Flere studier tyder på at kontrastopptak ved MR samsvarer godt med vitalt tumorvev (32, 33). Ved å registrere endringer både i kontrastopptaksmønster og tumorstørrelse er trolig MR den beste bildediagnostiske metoden for å evaluere behandlingseffekten (fig 4).

    Problemstillinger hvor det ikke er indikasjon for MR

    Problemstillinger hvor det ikke er indikasjon for MR

    Tilnærmet alle tilfeller av palpabel brysttumor og screeningoppdagede funn kan avklares ved kombinasjonen mammografi, ultralydundersøkelse og aspirasjonscytologi eller sylinderbiopsi. MR har en begrenset sensitivitet for påvisning av carcinoma in situ, og er derfor ikke egnet for utredning av mikrokalk. Pasienter med kliniske tegn til inflammasjon er heller ikke egnet for MR-bildeundersøkelse, siden betennelsesforandringer i brystet kan ta opp kontrastmiddel på samme måte som kreftsvulster.

    MR-veiledet biopsi

    MR-veiledet biopsi

    Ved MR-bildeundersøkelser av bryst vil man regelmessig finne lesjoner som ikke er påvist ved mammografi eller ultralydundersøkelse og som det er behov for å avklare med cytologisk eller histologisk undersøkelse. Ofte vil man ved fornyet ultralydundersøkelse eller mammografi med rettledning fra MR-bildene kunne påvise lesjonen og utføre vevsprøvetaking styrt av disse konvensjonelle bildemetodene. Ikke sjelden vil man likevel stå overfor MR-funn som ikke lar seg fremstille på annen måte. Det er i slike tilfeller behov for vevsprøvetaking under MR-veiledning. I løpet av de siste årene er det utviklet kommersielt tilgjengelig ikke-magnetisk biopsiutstyr for bruk i et MR-miljø. De fleste systemene benytter seg av en perforert kompresjonsplate med MR-synlige markører som immobiliserer brystet. Vanligvis tar man vevsprøven med pasienten i ryggleie. På første bildeserie bestemmes posisjon og dybde av lesjonen i forhold til kompresjonsplaten, og hvis nødvendig injiseres MR-kontrastmiddel intravenøst for å gjenfinne lesjonen. Uten at pasienten endrer stilling tas pasientbordet ut av MR-maskinen og biopsinålen føres inn i brystet. Korrekt plassering av nålen verifiseres ved et nytt bildeopptak før biopsien utføres. Et stort antall nåler med ulik tykkelse for sylinderbiopsi og finnålsaspirasjon i tillegg til utstyr for merkebiopsi (markering av lesjonen med en metalltråd før kirurgisk biopsi) er i dag tilgjengelig for MR-bruk. Planlegger man å utføre MR-undersøkelser av bryst i større omfang, er det en fordel hvis institusjonen også kan utføre biopsier under MR-veiledning i de tilfeller hvor dette er nødvendig.

    Evaluering av brystimplantater med MR

    Evaluering av brystimplantater med MR

    Brystimplantater fylt med silikongel ble introdusert i 1962 og ble ansett som et betydelig fremskritt i forhold til tidligere metoder for kosmetisk og rekonstruktiv brystkirurgi. I Norge regner man med at over 20 000 kvinner har implantert silikonproteser (34). Cirka 10 % av disse er implantert som ledd i rekonstruksjon etter brystkreftkirurgi eller på grunn av medfødte misdannelser, mens de øvrige er implantert av kosmetiske grunner. På grunn av flere uavklarte forhold vedrørende silikonprotesenes levetid, rupturfrekvens og en mulig økt risiko for autoimmune sykdommer avgjorde Food and Drug Administration i USA i 1992 at silikonimplantater bare skulle være tillatt brukt i forbindelse med kliniske studier eller for rekonstruksjon etter mastektomi (35). I Norge ble slike restriksjoner ikke innført. Senere er det utført flere store epidemiologiske studier som ikke har vist økt risiko for autoimmune sykdommer hos kvinner med brystimplantater (36).

    Den hyppigste komplikasjon ved bruk av silikonproteser er implantatruptur. Implantatrupturer inndeles i to grupper: intrakapsulære og ekstrakapsulære. 80 – 90 % av rupturene er intrakapsulære, det vil si at silikonskallet som omgir den flytende silikongelen er rupturert, mens den fibrøse bindevevskapselen som hos praktisk talt alle pasienter dannes rundt protesen i løpet av kort tid etter implantasjonen, er intakt og hindrer silikongelen i å migrere ut i bløtdelene. Ved ekstrakapsulære rupturer er også bindevevskapselen rumpert, og silikongelen kan lekke ut i omgivende vev. Det antas at intrakapsulære rupturer kan utvikle seg til en ekstrakapsulær ruptur. Av og til kan små mengder silikongel også sive ut gjennom et tilsynelatende intakt silikonskall.

    Implantatruptur er rapportert i forbindelse med direkte traume, som trafikkskader og kompresjon ved mammografiundersøkelser, men de aller fleste rupturer har ingen åpenbar traumatisk årsak (37). Man regner med at silikonskallet svekkes gradvis med tiden slik at risikoen for ruptur øker med alderen på protesen. Ulike generasjoner av silikonproteser har hatt ulik tykkelse og oppbygging av silikonskallet, noe som igjen synes å ha gitt en varierende rupturtendens. Det er ikke utført større populasjonsbaserte studier som kan gi informasjon om hyppigheten av implantatruptur. Mens industrien oppgir en rupturfrekvens på 0,2 – 1,1 %, viser andre materialer hvor kvinner med og uten symptomer har fått fjernet sine implantater (eksplantasjon) at opptil to tredeler er rupturert etter opptil 17 år (38).

    Ekstrakapsulære rupturer hvor fritt silikongel migrerer ut i bløtdelene, kan gi opphav til fremmedlegemereaksjoner, med danning av silikongranulomer som kan være ømme eller smertefulle. Fritt silikongel kan migrere over betydelige avstander, og silikongranulomer er funnet for eksempel i albueområdet og i pleura. Ekstrakapsulære rupturer følges også hyppig av formendringer i brystet. Intrakapsulære rupturer er ofte symptomfrie, men kan trolig gi opphav til ømhet i brystet. De ekstrakapsulære rupturene kan påvises ved konvensjonelle bildeteknikker som mammografi og ultralydundersøkelse. Imidlertid er det bare MR som kan gi detaljert informasjon om implantatets interne struktur, og sammenliknende studier har vist signifikant bedre resultater med MR-bildedanning enn med andre bildeteknikker. Studier hvor eksplantasjon har vært fasit, viser at MR-bildedanning har sensitivitet og spesifisitet på ca. 95 % for påvisning av implantatrupturer (38).

    Implantattyper

    Implantattyper

    Det er produsert over 700 ulike varianter av silikonproteser, men fire hovedtyper dominerer. Den absolutt vanligste typen er enkeltlumenprotesen, som består av et ytre skall av gummiliknende silikon fylt av en flytende silikongel. Denne protesetypen blir hyppig brukt ved kosmetisk brystkirurgi og plasseres vanligvis mellom brystkjertelvevet og m. pectoralis major. Dobbeltlumenproteser, hvor det indre lumen er fylt med saltvann og det ytre lumen med silikongel, blir brukt ved rekonstruktiv kirurgi og plasseres mellom m. pectoralis major og brystveggen. Saltvannslumen kan fylles gradvis via en slange til hudoverflaten. Overliggende bløtdeler og hud kan dermed ekspanderes gradvis, og det er lettere å oppnå symmetri med det kontralaterale bryst. Når ønsket størrelse av implantatet er oppnådd, fjernes slangen. Det ytre silikonlumen fører til at implantatet føles mykere enn en ren saltvannsprotese. Enkeltlumen saltvannsproteser og dobbeltlumenproteser hvor det ytre lumen er fylt med saltvann og det indre med silikon, er mer sjelden brukt i vårt land.

    Undersøkelsesteknikk

    Undersøkelsesteknikk

    Som ved MR-undersøkelse av brystsvulster undersøkes pasienten i mageleie. Bruk av brystspole anbefales. Ved evaluering av silikonimplantater er det som regel ikke nødvendig å bruke intravenøse MR-kontrastmidler.

    T2-vektede bilder i aksial- og sagittalplan gir god informasjon om silikonskallets integritet og differensierer godt mellom silikongel (høyt signal) og brystkjertelvev (lavt signal) (fig 5a ). Imidlertid vil subkutant fettvev og silikongel ofte ha relativt lik signalintensitet. Finner man tegn til implantatruptur på T2-vektede bilder, bør man derfor supplere med bildesekvenser som skiller godt mellom fettvev og silikon for å kunne påvise mulige silikonlokulamenter i fettvevet. Et eksempel på en slik sekvens er en ”inversion recovery” med kort T1 (STIR)-sekvens (fig 5b).

    MR-funn

    MR-funn

    En intakt enkeltlumen silikonprotese er oftest oval med jevn overflate. Silikonskallet er signalfattig på alle typer bildesekvenser. Skallet er som regel vanskelig å skille fra den fibrøse bindevevskapselen som dannes rundt implantatet. Radiære innfoldinger av proteseskallet sees hyppig og må ikke forveksles med ruptur (fig 6). Innfoldingene kan være markerte, men kan alltid følges ut til protesens overflate. Reaktiv væske rundt implantatet sees ofte og er ikke et tegn på ruptur. Er væskemengden uttalt, kan et enkeltlumen silikonimplantat feiltolkes som et dobbeltlumenimplantat med et ytre saltvannslumen. I dobbeltlumenimplantater (fig 7a) vil ofte det indre skallet som skiller de to lumen vise uttalte innfoldinger, uten at dette er tegn på ruptur. Noen ganger kan implantatet herniere ut gjennom små defekter i den fibrøse kapselen som omgir protesen (fig 7b). Dette kan gi palpable resistenser og oppfattes klinisk som en brysttumor.

    Ved ruptur av silikonskallet vil silikongel lekke ut mellom skallet og den omgivende fibrøse kapsel. Skallet vil fremstå som signalfattige streker inne silikongelen. Ved en liten ruptur vil skallet ligge parallelt med den fibrøse kapselen (fig 8a), men ved mer uttalte rupturer folder skallet seg sammen og ligger som slyngede tråder (fig 8b). Ved ruptur av saltvannsimplantater skjer en rask reduksjon i implantatets størrelse fordi saltvannet absorberes lett. Ved ekstrakapsulære rupturer er det en defekt både i silikonskallet og i omgivende fibrøs kapsel. I tillegg til funn som ved intrakapsulær ruptur sees større eller mindre silikonlokulamenter utenfor kapselen.

    Konsekvenser av implantatruptur

    Konsekvenser av implantatruptur

    Det er utbredt enighet om at implantatrupturer som gir lokale komplikasjoner i form av brystdeformitet, silikongranulomer eller smerte, skal behandles med eksplantasjon (37). Om en intrakapsulær implantatruptur uten kliniske symptomer skal føre til at implantatet fjernes eller ikke, eksisterer det foreløpig ikke enighet om.

    Konklusjon

    Konklusjon

    Ved vurdering av silikonimplantater er MR-bildeundersøkelse andre bildeteknikker overlegen og fremstiller intrakapsulære og ekstrakapsulære rupturer med stor nøyaktighet. MR-bildeundersøkelse med bruk av intravenøst MR-kontrastmiddel har i kliniske pasientmaterialer vist seg som en sensitiv metode for deteksjon av brystkreft, men spesifisiteten av undersøkelsen er dårligere og metodens rolle i klinisk diagnostikk er fortsatt ikke fastlagt. Metoden har imidlertid et spennende potensial og kan gi verdifull informasjon i nøye utvalgte pasientgrupper.

    Kommentarer  ( 0 )

    Anbefalte artikler