En 71 år gammel mann i dyp koma med Cushings refleks

    ()

    sporsmal_grey_rgb
    Abstract

    Background.

    The Cushing reflex in comatose intensive care patients usually indicates that intracranial perfusion is about to be abolished.

    Material and methods.

    A 71-year-old man suffered an attack during which he became comatose. After 14 hours he developed polyuria, dilated fixed pupils and Cushing reflex. The cause was believed to be a global anoxic brain oedema. Coma, apnoea and absent brain stem reflexes suggested brain death.

    Results.

    Angiography with contrast injected into the aortic arch showed preserved circulation in both internal carotid, middle and anterior cerebral arteries, but absence of basilar artery circulation. A cerebral CT scan was initially normal, but 14 hours later a new scan demonstrated infarction of the brain stem, cerebellum and occipital lobes. The Norwegian criteria for organ donation were not fulfilled as these require stop of all intracranial circulation. The respirator was disconnected and the patient died.

    Interpretation.

    The Cushing reflex can be seen after profound ischaemia in the posterior cerebral circulation with preserved circulation to the forebrain. Ischaemia of the brain stem alone may be sufficient to elicit the Cushing reflex.

    Artikkel

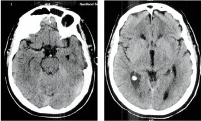
    En 71 år gammel mann falt om på et offentlig sted. Han var behandlet for hypertensjon de siste fem år, den senere tid med kalsiumantagonist og angiotensin II-hemmer. Anestesilege fra sykehuset kjørte i møte med ambulansen og møtte denne etter 30 minutter. Pasienten hadde da gispende agonal respirasjon, men godt palpabelt blodtrykk og normal puls. Han ble straks intubert i pentotal-/suksametoniumnarkose og ventilert med store minuttvolum fra Lærdalsbag tilkoblet oksygen. Ved ankomst i sykehuset en time etter hendelsen var pCO₂(a) forhøyet til 10,1 kPa mens pH var 7,23 og pO₂(a) normalt. Cerebral CT tatt umiddelbart ble oppfattet som normal (fig 1). Resultatene etter undersøkelse av EKG, troponin T og CK-MB var normale. Pasienten forble dypt komatøs og ble tilkoblet respirator. Om natten, ca. 14 timer etter hendelsen, oppstod det bilateralt dilaterte og lysstive pupiller og polyuri. Pulsen falt til 30 og systolisk blodtrykk økte kortvarig fra 100 til 180 mm Hg.

    Anestesilegene på vakt oppfattet den plutselige endringen i kliniske funn som en typisk Cushings refleks og sa at pasienten «hadde herniert». Neste morgen ble det derfor gjort apnétest, som ikke viste tegn til egenrespirasjon. Rikshospitalets transplantasjonsteam ble rutinemessig orientert, og blodprøver for vevsforlikelighet sendt. Nevrologisk undersøkelse viste ingen respons på smertestimulering over neglesenger, arefleksi i alle ekstremiteter, indifferente plantarreflekser og dilaterte, lysstive pupiller. Cornearefleksene var opphevet. Okulocefale reflekser var også opphevet, og innsprøyting av isvann i øreganger dokumenterte opphevede okulovestibulære reflekser. Disse funnene indikerte total ødeleggelse av hjernestammen. Vi antok at pasienten hadde fått en global anoksiskade og deretter cerebellar herniering gjennom foramen magnum pga. hjerneødem. Vi antok at intrakranial sirkulasjon nå var opphørt.

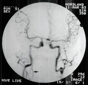
    Det ble så, 24 timer etter hendelsen, utført arkografi som viste god sirkulasjon gjennom begge carotisarterier og i begge arteriae cerebri media og anterior (fig 2).

    Vår antakelse om et globalt hjerneødem som årsak til Cushings refleks viste seg å være feil.

    Ny cerebral CT ca. 25 timer etter hendelsen viste utbredt infarsering av hjernestamme, cerebellum og begge oksipitallapper samt begynnende hydrocephalus (fig 3). Gransking av arkografiundersøkelsen viste ingen fylling av venstre a. vertebralis og bare en meget langsom fylling av sentrale deler av en tynn høyre a. vertebralis. Det var ingen kontrastfylling av a. basilaris (fig 2).

    Vi oppfattet nå tilstanden som en komplett basilarisokklusjon med ødeleggelse av hjernestamme, cerebellum og oksipitallapper, mens størstedelen av storhjernen hadde intakt sirkulasjon. Ved et sammenfall av en rekke uheldige omstendigheter forelå verken direkte observasjoner av hendelsen eller ambulanserapporten før arkografien ble utført 24 timer senere. Vi manglet altså nærmere opplysninger om pasientens anfall. Senere eksaminasjon av komparenter avdekket at pasienten antakelig ikke hadde hatt komplett respirasjons- eller sirkulasjonsstans på stedet der han falt om, og dermed var et globalt anoksisk ødem lite sannsynlig.

    Hjerneskadene var så store at pasienten ikke ville kunne leve videre, og bare respiratorbehandling og blodtrykksøkende medisin holdt ham i live. Siden forskriftene i Norge krever at all blodforsyning til hjernen er opphevet, var organdonasjon ikke aktuelt. Dette ble formidlet til de pårørende. Respiratoren ble slått av med de pårørende til stede og pasienten døde, 30 timer etter å ha falt om. Det ble ikke utført obduksjon.

    Diskusjon

    Diskusjon

    Vår pasient hadde sannsynligvis fått en stor embolus til toppen av basilarisarterien. Det kliniske bildet ved blodpropp i a. basilaris kan være mangefasettert, og spenner over et stort spekter fra akutt svimmelhet som eneste symptom til plutselig død. Hjernestammeinfarkt som involverer den paramediane retikulærsubstans i pons, mesencephalon og diencephalon på begge sider kan gi akutt innsettende bevisstløshet (1).

    Blodforsyningen til hjernen i bakre skallegrop er spesiell på den måten at de to vertebralisarteriene løper sammen til den større a. basilaris. Basilarisarterien er koblet sammen med carotiskretsløpet via en ring av anastomoser (circulus Willisi), slik at det ved basilarisstenose er stor mulighet for utvikling av kollateralsirkulasjon som kan redusere skadeomfanget ved okklusjon. Det kliniske bildet ved okklusjon vil derfor variere betydelig fra person til person.

    En embolus fra hjertet eller ekstrakraniale blodkar som har passert en vertebralisarterie, vil oftest passere uhindret gjennom den større a. basilaris også. Den kan så feste seg i toppen av a. basilaris eller fragmentere og fortsette inn i en bakre hjernearterie. Ved okklusjon av toppen av basilarisarterien tapes bevisstheten oftest umiddelbart. Komplett eller partiell okulomotoriusparese, eventuelt unilateral som hos vår pasient, er karakteristisk for en slik okklusjon. Ved intakt bevissthet ses oftest også supranukleær vertikal blikkparese, kortikal blindhet, amnesi og hallusinasjoner (2). Okklusjon av proksimale deler av a. basilaris oppstår oftest som et resultat av lokal trombose nær en stenose. Symptomene utvikler seg derfor vanligvis gradvis over 1 – 2 døgn, ofte i form av en trinnvis forverring eller et fluktuerende forløp. Forutgående TIA, eventuelt multiple, er vanlig i slike tilfeller (3). I en retrospektiv undersøkelse av 88 pasienter med iskemi forårsaket av stenose eller okklusjon av a. basilaris, ble det vist at over halvparten av pasientene ble alvorlig invalide eller døde (4).

    Vår første antakelse var at den plutselige blodtrykksstigningen parallelt med bradykardi (Cushings refleks) skyldtes globalt hjerneødem med derav følgende tamponade (sirkulasjonsstans). EKG-undersøkelser gav imidlertid ingen god forklaring på en eventuell sirkulasjonsstans, og et anoksisk globalt hjerneødem som er så stort at det gir typisk Cushings refleks allerede etter ca. 14 timer, er trolig svært sjeldent hos voksne. Likevel var anestesilegene på vakt ikke i tvil om at pasienten «hadde herniert». Det er uvanlig at en okklusjon av a. basilaris fører til utbredt infarsering av alle strukturer som forsynes fra det bakre kretsløp og gir herniering av cerebellare tonsiller gjennom foramen magnum i løpet av bare 14 timer. Imidlertid kan hjernestammekompresjon gi Cushings refleks uten herniering gjennom foramen magnum (5). Dyreforsøk kan tyde på at det er iskemi i vasomotorisk senter i medulla oblongata som utløser de hemodynamiske forandringene som er typiske for Cushings refleks (6). Det er derfor sannsynlig at en primær iskemi av hjernestammen også kan gi symptomer som likner denne refleksen (7).

    Sykehistorien illustrerer hvor viktig det er med nøye eksaminasjon av komparenter om initiale symptomer og funn når en pasient faller om, og med en nøyaktig nevrologisk undersøkelse i akuttmottaket. CT-angiografi bør utføres. Hvis diagnosen hadde vært stilt tidligere, kunne trombolytisk behandling ha vært vurdert (8).

    Det norske lovverket for organdonasjon krever som dødskriterium at en røntgenundersøkelse med kontrast, som regel arkografi, viser at all sirkulasjon til hjernen er opphørt. For å unngå «unødige» røntgenundersøkelser vil noen leger spørre de pårørende om organdonasjon når de kliniske dødskriterier er oppfylt, og kun gjøre arkografi dersom de pårørende er positive til organdonasjon. Vi har tidligere beskrevet at tilstedeværelse av reflekser hos pasienter med opphevet intrakranial sirkulasjon, etter at de pårørende er spurt om organdonasjon, kan gi en ubehagelig usikkerhet om diagnosen er riktig (9). Vi har derfor funnet det formålstjenlig å støtte oss til en arkografi før pårørende bes om å ta stilling til organdonasjon. Denne rekkefølgen ble fulgt også i dette tilfelle, og vi unngikk derfor å spørre pårørende om en organdonasjon som likevel ikke kunne foretas.

    Det er for øvrig interessant å merke seg at i England ville denne pasienten ha vært erklært død og ansett som potensiell organdonor. Der, og i flere andre land, brukes total ødeleggelse av hjernestammen som dødskriterium (10).

    Herniering eller hjernetamponade?

    Kasuistikken av Waage Nielsen og medarbeidere (1) er lærerik på flere måter. For det første illustrerer den overbevisende det nevrologiske substrat bak Cushings refleks. Denne refleksen, som består i at det systemiske blodtrykk øker ved økt intrakranialt trykk, er oppkalt etter den amerikanske nevrokirurgen Harvey Cushing (1869 –  1939), men var beskrevet av Ernst von Bergmann allerede i en lærebok fra 1880 (2). Antakelig hørte Cushing om fenomenet under et studieopphold i Europa (1900 – 01) og lanserte ideen senere som sin egen.

    Når Cushings refleks utløses, stiger det systemiske blodtrykket. Nesten bestandig er det økt intrakranialt trykk som utløser reaksjonen, men som Waage Nielsen og medarbeidere fremhever: Cushings refleks er ikke uttrykk for annet enn en kompromittert blodforsyning til de vasomotorisk aktive områder i hjernestammen. Når nervecellene i disse områdene lider, forsøker de å «skru opp» blodtrykket for å redde seg selv. Derved kan refleksen også redde resten av hjernen ved at perfusjonstrykket bedres. Alle former for kompromittert blodtilførsel til hjernestammen kan utløse refleksen, f.eks. lokalt økt trykk i bakre skallegrop som ved cerebellare svulster eller blødninger, også uten at det intrakraniale trykk for øvrig er særlig økt.

    Artikkelen fra Bodø antyder en uheldig og svært vanlig begrepsforvirring, den mellom «herniering» og «hjernetamponade». Hjernetamponade inntreffer når det intrakraniale trykket er like stort eller større enn det systemiske blodtrykket. Da opphører hjernens sirkulasjon, og personen er død. Da først er organdonasjon aktuelt etter norsk lov. Hjernetamponade er altså et irreversibelt faktum. Man antok at pasienten fra Bodø «hadde herniert», og derfor ble det gjort apnétest som forberedelse til organdonasjon. Det er ikke uvanlig å høre kolleger omtale en pasient på denne måten som «herniert» i betydningen av at den intrakraniale sirkulasjonen er opphørt.

    Herniering er imidlertid en i prinsippet reversibel prosess som ikke innebærer at pasienten er død eller døende. Observasjoner i den kliniske hverdag (3, 4) viser at man kan overleve ganske bra selv om det har foreligget klare hernieringssymptomer. Vilkåret er at man raskt får hevet hernieringen ved et dekompressivt inngrep, som for eksempel at et epiduralt hematom fjernes.

    Vanligst er den øvre, «transtentorielle» herniering, hvor mediale deler av temporallappen presses ned i bakre skallegrop gjennom tentoriumsåpningen ved siden av hjernestammen. Trykket mot hjernestammen kan gi Cushings refleks, nedsatt bevissthet og patologiske strekkebevegelser på motsatt side av kroppen, og trykk og drag på nervus oculomotorius gir pupilledilatasjon. Langt sjeldnere (og mye farligere) er den nedre herniering, hvor cerebellartonsillene presses ut av foramen magnum, slik at blodforsyningen til vitale sentre i de kaudale deler av hjernestammen kompromitteres.

    Er ikke dette bare filologisk flisespikkeri? Jeg tror ikke det. Hernieringssymptomer som pupilledilatasjon og økende blodtrykk bør oppfattes som det de er: varsler om at det foreligger en faretruende tilstand og at det haster med trykkavlastende tiltak, men ikke nødvendigvis som at pasienten er døende og at alt håp er ute, selv om det meget vel kan vise seg å bli den endelige utgangen.

    Oppgitte interessekonflikter: Ingen

    Kommentarer  ( 0 )

    Anbefalte artikler