Danseløven som ikke lenger kunne svinge seg

    ()

    sporsmal_grey_rgb
    Abstract

    We describe a man aged 87 with a subdural haemorrhage which needed to be evacuated three times over an eight-week period. After the third operation the patient’s physical and cognitive performance increased markedly, even though his performance had been assessed as «normal for his age» during his illness. The case illustrates the impressive regenerative capacity of the aged brain, the challenge in differentiating between disease symptoms and age-associated functional decline, the difficulties in deciding when to operate on an old patient, and the importance of functional assessments in health care for the elderly.

    Artikkel

    En 87 år gammel mann ble innlagt i Medisinsk klinikk med mistanke om hjerneslag. I ti dager hadde han følt seg svimmel og ustø. Han merket styringsvansker i høyre hånd, men kunne ikke angi noe helt eksakt debuttidspunkt. Han bemerket at han hadde falt på badet og slått hodet omtrent to måneder før symptomene meldte seg, og han hadde vært en del plaget med hodepine etter dette. Det fremgikk videre at han hadde gjennomgått ett enkeltstående generalisert krampeanfall 13 år tidligere og to hjerteinfarkter henholdsvis sju og ni år tidligere. Han brukte acetylsalisylsyre 75 mg daglig og fenobarbital 100 mg daglig. Ved generell organundersøkelse ble det ikke gjort funn av betydning. Ved orienterende nevrologisk undersøkelse var det normal kraft og sensibilitet i alle ekstremiteter, men gangen ble beskrevet som «noe ustø». Mottakende leges tentative diagnose var hjerneslag.

    Hjerneslag (hjerneinfarkt eller intracerebral blødning) er den vanligste årsaken til plutselig oppståtte halvsidige nevrologiske symptomer hos eldre. Vår pasient hadde manifest koronar hjertesykdom som markør for generalisert aterosklerose, og dermed økt risiko for manifestasjoner også i hjernekarene. Det er likevel en rekke differensialdiagnostiske muligheter, og det er viktig ikke å stille en cerebrovaskulær diagnose uten å ha vurdert andre forklaringer. Pasienter med hjerneslag kan som oftest angi at symptomene startet plutselig, men vår pasient gav inntrykk av en mer snikende utvikling som kunne gi mistanke om en ekspansiv intrakranial prosess som tumor, abscess eller kronisk subduralt hematom. Den siste muligheten var særlig aktuell, siden pasienten hadde gjennomgått et hodetraume noen tid før symptomene oppstod. Vakthavende lege gjorde ingen fokale nevrologiske funn, men hadde ikke undersøkt tempo eller finmotorikk. Dette var en mangel ved undersøkelsen, siden lette sentrale pareser oftere gir seg til kjenne som temporeduksjon og klossethet enn som kraftsvikt. Dersom det var riktig at pasienten ikke hadde fokalnevrologiske symptomer, måtte man primært vurdert ekstrakraniale årsaker til hans subjektive følelse av svimmelhet, f.eks. bivirkninger av fenobarbital.

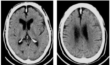
    Standard blodprøver var normale, men cerebral CT viste en ca. 2 cm bred homogen subdural effusjon som strakte seg over størstedelen av venstre hemisfære. Det var kompresjon av sideventriklene og overskyting av midtlinjestrukturene mot høyre (fig 1).

    Når det anbefales å foreta en cerebral CT-undersøkelse av alle pasienter med mistenkt hjerneslag (1), er det først og fremst av differensialdiagnostiske grunner, noe vår pasient viser betydningen av. Et normalt funn på cerebral CT kan derimot ikke benyttes til å avkrefte diagnosen hjerneslag dersom de kliniske symptomene er typiske. Symptomene hos vår pasient ble oppfattet som forholdsvis beskjedne, noe som står i kontrast til hematomets størrelse radiologisk bedømt. Dette kan illustrere at rommelige intrakraniale plassforhold hos eldre gjør at ekspansive prosesser i mange tilfeller må nå en betydelig størrelse innen de gir symptomer. Men det kan også skyldes at pasientens premorbide fysiske funksjonsnivå, og dermed det aktuelle funksjonstapet, ble underestimert. Vi fikk etter hvert vite at han hadde vært en ivrig danser helt frem til det aktuelle, noe som stod i åpenbar motsetning til funksjonsnivået ved innleggelsen.

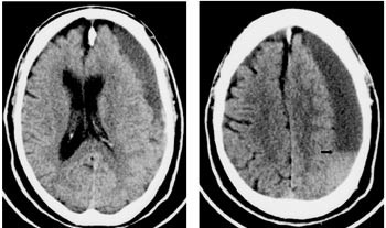
    Pasienten ble overflyttet til regionsykehus, der det neste dag ble foretatt evakuering av kronisk subduralt hematom. Det ble anlagt to borehull, og i begge tømte det seg væske under høyt trykk. Forløpet var ukomplisert, pasienten var oppegående og kjekk og ble utskrevet til hjemmet fem døgn postoperativt med beskjed om ikke å ta acetylsalisylsyre de neste to ukene. Ti døgn senere (15 døgn postoperativt) ble han reinnlagt. Han klaget igjen over at høyre hånd ikke lystret ham, og fastlegen mente dessuten at han var mentalt tregere enn vanlig. Komparentopplysninger fra hans samboer indikerte at han hadde vært betydelig bedre kort etter operasjonen, men så var blitt dårligere. Ved undersøkelsen kunne man få inntrykk av en noe redusert nærhukommelse. Han lette etter ordene, og det var tydelig temporeduksjon i høyre sides arm og bein samt klossethet for finere fingerbevegelser på høyre side. Videre ble det bemerket lett redusert sensibilitet og noe livligere dype senereflekser på høyre side. Ny cerebral CT-undersøkelse (fig 2) viste en venstresidig subdural effusjon av nærmest uendret størrelse, men det var nå oppstått ulik røntgentetthet (sjiktning) i væsken som uttrykk for mulig reblødning.

    Ved denne innleggelsen var det ikke godt å vite om de påviste symptomene var nye, eller var sekveler etter den første blødningen. Pasienten selv var ikke i stand til å redegjøre for forløpet. Komparentopplysninger er da helt avgjørende, og gjorde at det i dette tilfellet raskt ble utført adekvate tilleggsundersøkelser.

    Han ble på nytt overflyttet til regionsykehus. Der ble det gjort ny evakuering av subduralt hematom, så ble han tilbakeflyttet til vår avdeling for videre rehabilitering. Ved tilbakeflyttingen lette han fremdeles litt etter ordene, og det var temporeduksjon i høyre arm og bein samt aksentuerte dype senereflekser på samme side. Han ble overført til dagavdeling for videre rehabilitering, og viste god fremgang.

    Om lag to uker etter den andre operasjonen fortalte imidlertid samboeren om økende nattlig uro og forvirring. Han stod opp flere ganger om natten og falt. Han ble derfor reinnlagt i døgnpost, og hadde nå klart mer uttalte pareser i høyre bein, som han ikke klarte å løfte mot tyngdekraften. Han ble dessuten beskrevet som tydelig hukommelsessvekket. Ny cerebral CT-undersøkelse viste et venstresidig subduralt hematom av nærmest uendret størrelse med forskyvning av midtlinjen mot høyre. Det ble på ny tatt kontakt med regionsykehusets nevrokirurgiske avdeling, men man mente der at det ikke var aktuelt å operere ham igjen.

    I løpet av de neste dagene falt han flere ganger, var tung å få opp, og var periodevis tydelig forvirret. Det ble gjort ytterligere en CT-undersøkelse 24 døgn etter den andre operasjonen. Bildet var nærmest identisk med det som var tatt før den andre operasjonen (fig 2), og viste fremdeles et stort subduralt hematom med sjiktning og overskyting av midtlinjestrukturer. Det ble igjen tatt kontakt med nevrokirurgisk avdeling, som opprettholdt vurderingen av at ny operasjon ikke var indisert. Etter ytterligere fire døgn kom det imidlertid kontrabeskjed. For tredje gang ble det utført evakuering av kronisk subduralt hematom, sju uker etter den første operasjonen og fire uker etter den andre.

    Uro og forvirring hos gamle pasienter blir ofte tolket som uttrykk for aldersdemens eller feiltolket som normale aldersforandringer. Symptomene hos vår pasient var imidlertid oppstått i løpet av kort tid, og de fluktuerte i løpet av døgnet. Dette er ikke typisk for demens, men derimot for delirium (tidligere ofte kalt akutt forvirring) (2, 3). Delirium har nesten alltid en underliggende somatisk årsak som kan behandles. De vanligste årsakene er infeksiøse, kardiovaskulære og cerebrovaskulære sykdommer samt legemiddelbivirkninger (4), men nær sagt alle akutte somatiske tilstander, også subduralt hematom, kan forårsake delirium. Hos vår pasient var det en dramatisk forverring av symptomene, mens endringene i CT-bildene var marginale. Det er et problem at valg av terapi i mange tilfeller baseres på radiologiske og andre supplerende undersøkelser, mens pasientens kliniske og funksjonelle tilstand vektlegges for lite. Retrospektivt kan vi se at tredje gangs evakuering av subduralt hematom trolig burde vært foretatt om lag to uker tidligere. Det kan ha medvirket til forsinkelsen at pasientens mentale og motoriske funksjonstap ikke ble kommunisert tydelig nok til regionsykehuset.

    Etter tredje inngrep bedret pasientens tilstand seg raskt. Til å begynne med hadde han noe ordfinningsvansker, rom-retnings-vansker og styringsproblemer i høyre bein. Men symptomene avtok og han fortsatte som dagpasient ved rehabiliteringsavdelingen. På grunn av søvnighet på dagtid ble dosen av fenobarbital halvert til 50 mg daglig uten problemer. Han hadde brukt én krykke siden den første innleggelsen, men nå kastet han den og deltok i dansen på fysioterapien. Han viste seg å være en mester i tango og sjarmerte kvinnelige medpasienter og ansatte med forførende blikk og kroppsholdning. Ved neste anledning deltok han derimot ikke i dansen, og han virket svært nedtrykt.

    På bakgrunn av hans sykehistorie måtte man selvsagt vurdere om det subdurale hematomet kunne ha residivert enda en gang. En annen mulighet kunne være at pasienten hadde utviklet en depresjon, noe som er svært alminnelig i forløpet av hjerneslag, også i de tilfellene der det funksjonelle resultatet er godt (5).

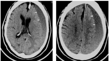
    Pasienten kunne imidlertid fortelle at samboeren var sjalu og hadde gjemt danseskoene hans. Neste uke fortalte han triumferende at nå hadde han funnet danseskoene igjen og hadde gjemt dem i garderobeskapet på dagavdelingen, så nå ville han gjerne delta i dansen. Ved poliklinisk undersøkelse etter et halvt år viste CT-undersøkelsen av hjernen nærmest normale forhold (fig 3).

    Diskusjon

    Diskusjon

    Vår pasient illustrerer flere viktige poenger. Det første er at også gamle hjerner viser betydelig evne til reparasjon, både etter cerebrovaskulær sykdom og traumatisk hjerneskade. Den funksjonelle bedringen skyldes dels at nevroner kan være satt midlertidig ut av funksjon på grunn av trykk eller iskemi uten å være gått permanent til grunne, dels at gjenværende nevroner overtar funksjoner fra slike som er blitt ødelagt, og dels at nevronene danner nye synaptiske forbindelser (6). Enkelte undersøkelser tyder på at eldre pasienter er mer avhengig av cerebral stimulering for at slike reparative prosesser skal komme i gang, mens yngre viser større tendens til spontan bedring (7). Det er derfor avgjørende at eldre pasienter med raskt innsettende cerebrale funksjonsforstyrrelser tilbys aktiv og intensiv rehabilitering.

    Det andre poenget er at det kan være vanskelig å skille mellom sykdom og fysiologiske aldersforandringer. Funksjonsnivået hos vår pasient ble flere ganger beskrevet som «adekvat for alderen» på tidspunkter da han retrospektivt bedømt åpenbart var forbigående svekket av sykdom. Ikke sjelden blir klare sykdomstegn hos gamle avskrevet på aldringens konto og derfor ikke gjenstand for adekvat diagnostikk og behandling. Komparentopplysninger om symptomenes forløp og pasientens normale funksjonsnivå er avgjørende for å unngå dette.

    Det tredje poenget er at indikasjonsstillingen for kirurgisk intervensjon sjelden bygger på objektive og allmenngyldige kriterier. I vårt tilfelle fikk vi i første omgang beskjed fra regionsykehuset om at man på bakgrunn av god kjennskap til pasienten fra tidligere opphold anså et tredje nevrokirurgisk inngrep som åpenbart ikke indisert. Senere ble denne vurderingen omgjort. Dersom leger i ikke-kirurgiske spesialiteter mener det er gode argumenter for å gjennomføre et kirurgisk inngrep, bør man i mange tilfeller be om en fornyet vurdering av pasienter der kirurgi i første omgang avslås. Bildedannende modaliteter er avgjørende for å kartlegge de preoperative forholdene. Men vårt tilfelle illustrerer at subtile funn ved slike supplerende undersøkelser lett kan bli tillagt for stor vekt i forhold til informasjon om pasientens kliniske status.

    Det fjerde poenget er at opplysninger om pasientens daglige funksjonsnivå er et mer følsomt mål på den nevrologiske status enn konvensjonell klinisk nevrologisk undersøkelse. Dette gjelder i alle fall i de tilfellene der den nevrologiske undersøkelsen foretas av lege uten spesialkompetanse eller -interesse i nevrologi, og kanskje i en travel vaktsituasjon. I journalen til vår pasient ser vi tydelig hvordan beskrivelsene av nevrologisk undersøkelse varierer tilsynelatende vilkårlig fra dag til dag, mens beskrivelsene av hans fysiske og kognitive funksjonsnivå slik de pårørende opplevde det, samsvarer langt bedre med alvorlighetsgraden av tilstanden. God kommunikasjon med pasient og pårørende er viktig, ikke bare for at de skal føle at de blir tatt på alvor, men like mye for å bedre den diagnostiske presisjonen og dermed behandlingstilbudet.

    Atypisk sykdomspresentasjon hos eldre

    Selv om sykdom hos eldre ofte debuterer med klassiske symptomer og funn, er det ikke sjelden at «læreboken ikke passer».

    Atypisk sykdomspresentasjon kan hos eldre betraktes som markør på skrøpelighet (frailty). Med Barthels indeksskåre som målstokk er det vist at hyppigheten av atypisk sykdomspresentasjon mer enn dobles hos skrøpelige eldre sammenliknet med funksjonsfriske på samme alder. I en studie var vanligste atypiske symptom hos de skrøpeligste delirium (61 %), mens fall var vanligst hos funksjonsfriske (37 %) (1). Atypisk sykdomspresentasjon er assosiert med dårlig prognose.

    Danseløven på 87 år hadde kronisk subduralt hematom, og liknende sykehistorier er slett ikke uvanlig. De vanligste kjennetegn hos eldre med kronisk subduralt hematom er delirium og motoriske utfall. Hos yngre er derimot hodepine og oppkast vanligst, dernest kommer motoriske utfall (2). Også andre tilstander har ofte atypisk sykdomspresentasjon hos eldre. Pneumoni karakteriseres gjerne av snikende start med uspesifikke symptomer og tegn, gjerne som delirium, falltendens, tretthet og slapphet eller økende anoreksi. Ikke sjelden kan pneumoni forverre annen komorbiditet som diabetes mellitus eller hjertesvikt. Dette vanskeliggjør den initiale diagnostikken ytterligere. Atypisk sykdomspresentasjon kan foreligge hos 25 % ved pneumoni (3). Symptomer og funn av patologiske forhold i abdomen avviker ofte hos eldre i forhold til omtalen i lærebøker (4). Hjerteinfarkt uten subjektive symptomer (stille hjerteinfarkt) er vanlig og har alvorlige prognostiske implikasjoner (5). Eldre med hjerteinfarkt har oftere debutsymptomer som dyspné, synkope, delirium eller hjerneslag enn yngre og er mindre tilbøyelig til å ha brystsmerter (6).

    I arbeid med eldre bør enhver kliniker ha oppmerksomheten rettet mot fem geriatriske i-er: intellektuell svikt, instabilitet/fall, immobilitet, iatrogenisitet og inkontinens. Akutt funksjonssvikt av uklar årsak må skjerpe vårt kliniske tenkesett. Svært ofte påvises tilstander som vi kan og skal gjøre noe med.

    Oppgitte interessekonflikter: Ingen

    Kommentarer  ( 0 )

    Anbefalte artikler