Ein 53 år gammal mann med hovudverk og konsentrasjonsvanskar

    ()

    sporsmal_grey_rgb
    Abstract

    Background.

    Polycythaemia vera is a chronic myeloproliferative disease with no single diagnostic marker. The Polycythaemia Vera Study Group used a combination of major and minor diagnostic criteria. In the presence of newer diagnostic tools, low serum erythropoietin level has been proposed as an important diagnostic criterion for polycythaemia vera, whereas an elevated erythropoietin value contradicts the diagnosis. We report a case of polycythaemia vera with extreme haemoconcentration in which the serum level of erythropoietin was above the upper reference limit.

    Material and methods.

    A 53-year-old man with erythrocytosis (packed cell volume 0.68, hemoglobin 23.6 g/dl), thrombocytosis, leukocytosis and no underlying disease had a serum level of erythropoietin of 29.0 U/l (normal range 1.3 – 21.5 U/l)

    Results and interpretation.

    The patient was treated with venesection. After one month the haemoglobin level had decreased to 15.7 g/dl and packed cell volume to 0.48. The symptoms of polycythaemia disappeared and the serum level of erythropoietin declined to low normal values (2.2 U/l after five weeks and 5.4 U/l after 1.5 year). We propose that local hypoxia in the kidneys might be responsible for the elevated erythropoietin value at the time of diagnosis. The present case shows that high erythropoietin values may not necessarily exclude the diagnosis of polycythaemia vera.

    Artikkel

    Ein 53 år gammal mann hadde dei siste to åra vore plaga av hovudverk, konsentrasjonsvanskar og redusert yteevne. Han klaga over irritasjon i augo og hadde også lagt merke til at augo periodevis var raude. Han tok difor kontakt med fastlegen sin.

    Hovudverk og konsentrasjonsvanskar er uspesifikke symptom som kan ha samanheng med alt frå stress i ulike former til alvorleg intracerebral sjukdom. Nyoppstått hovudverk må alltid føre til at ein tar opp ei grundig sjukehistorie og gjer ei klinisk undersøking. Kvalme, brekning og variasjon gjennom døgnet er viktig å få fram. Finn ein spenning i nakkemuskulatur eller nevrologiske utfall? Irritasjon og karinjeksjon i augo er også uspesifikke symptom der etiologien kan vera mangfaldig, frå lokal infeksjon til systemsjukdommar.

    Pasienten var tidlegare frisk. Han brukte ingen medisinar, og han var ikkje-røykjar. Siste tida før han gjekk til legen hadde han merka kløe i huda etter varme bad. Klinisk status var normal, bortsett frå at pasienten hadde ein tydeleg raud farge i ansiktet. Blodprøver viste eit hemoglobinnivå på 24 g/100 ml, og han vart sendt til medisinsk poliklinikk for vidare utgreiing. På medisinsk poliklinikk var klinisk status uendra. Blodprøver viste hemoglobin 23,6 g/100 ml og hematokrit 68 % (referanseområde 38 – 48 %)

    Pasienten har erytrocytose, dvs. auka tal erytrocyttar i blodet. Den høge hematokritverdien viser dette. Hos pasientar med jernmangel kan hematokritverdien vere høg, medan hemoglobinnivået er relativt sett lågare. Erytrocytose vert difor definert som hematokrit over øvre referansenivå.

    Ein skil mellom absolutte og tilsynelatande erytrocytosar. Denne inndelinga kan gjerast på bakgrunn av måling av erytrocyttcellemasse. Dei færraste sjukehus har tilbod om dette, men cellemassen reknast uansett som auka dersom hematokritnivået er over 60 % hos menn eller over 55 % hos kvinner (1). Pasienten har difor absolutt erytrocytose.

    Det er vanleg å dele dei absolutte erytrocytosane i primær, sekundær og idiopatisk form. Sekundære og idiopatiske former er vanlegast. Ved sekundær erytrocytose aukar erytropoesen som følgje av auka produksjon av erytropoietin. Produksjonen av erytropoietin skjer hovudsakleg i nyrene, men levra bidrar også. Lunge- og hjartesjukdom som gjev hypoksi er vanlegast, men nyresjukdom, leversjukdom og einskilde svulsttypar kan og føre til auka produksjon av erytropoietin. I tillegg kan sjeldne medfødde tilstandar, som autonom høg produksjon av erytropoietin, lågt nivå av 2,3 difosoglyserat og mutasjonar i genet til hemoglobin, føre til sekundær erytrocytose.

    Primære erytrocytosar er sjeldne. Det er skildra to former: polycythaemia vera og mutasjon i erytropoietinreseptoren som gjer at reseptoren blir konstitutivt aktiv. Dette fører til kontinuerleg stimulering av erytropoesen. Nokre pasientar med absolutt erytrocytose som ikkje kan klassifiserast som primær eller sekundær får diagnosen idiopatisk erytrocytose.

    Pasienten hadde leukocyttar på 13,0 · 10⁹/l, blodplater på 412 · 10⁹/l (150 – 450 · 10⁹/l), MCV 64 fl (76 – 97 fl), MCH 20 pg (27 – 34 pg) og vitamin B12 339 pmol/l (150 – 580 pmol/l). Leverprøver, elektrolytt-, albumin- og kreatininnivåa var alle i normalområdet.

    Ultralydundersøking av buken og røntgen thorax viste normale funn, og lungefunksjonen var også normal. Blodutstryk viste anisocytose, lett venstreforskyvning av nøytrofile granulocyttar med 11 % stavforma og 61 % segmentforma, 22 % lymfocyttar, 2 % monocyttar, 4 % eosinofile granulocyttar. Sternalmargsutstryk viste hypercellulær marg – rikeleg med megakaryocyttar, 60 % myelopoese med normal utmodning, 25 % normoblastisk erytropoese, 13 % lymfocyttar og 2 % plasmaceller.

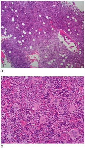
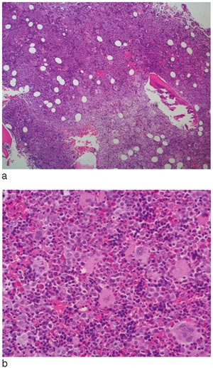
    Beinmargsbiopsi viste hypercellulær marg med trilineær hyperplasi (fig 1), og margen var tom for jern. Cytogenetisk undersøkelse av beinmargsaspirat viste ingen klonale kromosomavvik.

    Det var ingen haldepunkt for å tru at pasienten hadde ein sekundær erytrocytose, men hadde han primær erytrocytose? Diagnosekriteria for polycythaemia vera er vist i ramme 1 (2). Eit sett av hovudkriterium og underkriterium må oppfyllast for å kunne stille diagnosen. Pasienten vår oppfylte to hovudkriterium (erytrocyttcellemasse og fråvær av årsaker til sekundær erytrocytose) og to underkriterium (leukocytose og trombocytose) for diagnosen.

    Foreslåtte diagnostiske kriterium for polycythaemia vera

    • A1 Auka erytrocyttcellemasse (> 25 % over gjennomsnittleg predikert verdi, eller hematokrit ≥ 60 % hos menn eller 56 % hos kvinner)

    • A2 Ingen årsaker til sekundær erytrocytose

    • A3 Palpabel splenomegali

    • A4 Klonal markør, dvs. erverva unormal karyotype

    • B1 Trombocytose (> 400 · 10⁹/l)

    • B2 Nøytrofil leukocytose (> 10 · 10⁹/l, > 12,5 · 10⁹/l hos røykarar)

    • B3 Splenomegali påvist ved ultralydundersøking

    • B4 Redusert serum-erythropoietin eller karakteristisk BFU-E vekst

    • Diagnosen polycythaemia vera stillast på grunnlag av ein av desse kombinasjonane:

      1. A1 + A2 + A3 eller A4

      2. A1 + A2 + to av B-kriteria

    Oksygenmetning under 92 % kan indikere ein kausal samanheng med absolutt erytrocytose. Hos røykjarar må karboksyhemoglobin målast og trekkjast frå for å gje korrekt oksygenmetning. Det er viktig å spørje pasienten om symptom som kan tyde på søvnapnésyndrom, då fall i oksygenmetning nattetid kan føre til erytrocytose. Vert dette ikkje fanga opp, kan pasienten feilaktig bli plassert i gruppa idiopatisk erytrocytose.

    Beinmargsaspirasjon/-biopsi bør gjerast hos alle med absolutt erytrocytose der etiologien er uklar. Funnet hos pasienten vår er typisk for polycythaemia vera. Cytogenetisk undersøking med påvising av avvik kan ha prognostisk verdi og er foreslått som eit kriterium for diagnosen (ramme 1).

    Diagnosen polycythaemia vera vart stilt. Pasienten vart sett på Albyl E 160 mg dagleg, og det vart starta med venesectio, i starten 450 ml to gonger i veka. I løpet av ein månad fall hemoglobinnivået til 15,7 g/100 ml og hematokritverdien til 48 %. Symptoma forsvann, med unntak av hudkløen.

    Denne pasientgruppa er utsett for både arteriell og venøs trombose i alle delar av karsystemet, men mest utsett er perifere arteriolar og cerebrale og abdominale kar. Det har lenge vore kjent at mikrovaskulære komplikasjonar som erytromelalgi (brennande smerte og erytem i hender og føtter) og okulær migrene kan førebyggjast med acetylsalisylsyre. Bruk av acetylsalisylsyre til pasientar med polycythaemia vera for å førebyggje trombose i større kar har vore omdiskutert. Ein tidlegare studie kor ein nytta ein svært høg dose av acetylsalisylsyre (900 mg) gav høg frekvens av gastrointestinal blødning (3). Det er nyleg publisert ein studie som viser at det er trygt å gje låg dose acetylsalisylsyre (100 mg/døgn) som primærprofylakse mot trombose (4).

    Serumnivå av erytropoietin ved første konsultasjon på medisinsk poliklinikk var 29,0 IE/l (1,3 – 21,5 IE/l).

    Diagnosekriteria for polycythaemia vera er vist i ramme 1 (2), og redusert serum-erytropoietin er oppført som eit b-kriterium. Diagnosen polycythaemia vera er etter det som blir hevda i fleire artiklar berre aktuell hos pasientar med låg eller normal serumkonsentrasjon av erytropoietin (5) – (7).

    Det høge serumnivået av erytropoietin fekk vi svar på etter nokre veker, og det førte til at vi byrja å tvile på om diagnosen var rett. Kunne pasienten i tillegg ha ein sekundær årsak til erytrocytose som vi hadde oversett?

    Kontroll av erytropoietin fem veker etter oppstart med venesectio viste at konsentrasjonen hadde falle til 2,2 IE/l (fig 2). Pasienten fekk utført venesectio ved behov, og målet var ein hematokritverdi på under 45 %. Så lenge hematokrit låg på dette nivået hadde pasienten lite plager. Plasma-jern var 2 µmol/l (11 – 30 µmol/l), ferritin 5 µg/l (14 – 400 µg/l), MCV 58 fl (76 – 97 fl) og TIBC 75 µmol/l (48 – 83 µmol/l). Urinsyre og leverprøver var i normalområdet. Ny måling av erytropoietin etter 1,5 år viste også ein verdi i nedre del av normalområdet (5,4 IE/l).

    Venesectio er hovedpilaren i behandlinga av polycythaemia vera. Hematokritverdien bør vere under 45 % hos menn og under 42 % hos kvinner. Pasienten har jernmangel, som bidrar til å redusere serumnivået av hemoglobin. På grunn av auka cellenedbryting er pasientane utsette for urinsyregikt. Myelosuppressiv behandling i tillegg er aktuelt for pasientar med særskilt høg risiko for trombose eller som utviklar progredierande splenomegali, hepatomegali eller trombocytose. Bakgrunnen for organomegalien er ekstramedullær hematopoese. Pasienten vår har ikkje fått anna behandling enn venesectio og acetylsalisylsyre. Trombose er den hyppigaste livstrugande komplikasjonen ved denne sjukdommen, men ein del av pasientane vil utvikle akutt myelogen leukemi (ca. 10 %) eller sekundær myelofibrose med beinmargssvikt (ca. 20 %). Akvagen kløe er eit plagsomt symptom hos nokre pasientar. Bruk av relativt kaldt vatn og frottering ved tørking kan dempe problemet. Antihistamin kan ha effekt, og ved indikasjon for myelosuppresiv behandling er det rapportert at interferon kan vere eit godt val ved samtidig intraktabel kløe (2).

    Diskusjon

    Diskusjon

    Det uvanlege hos pasienten vår var svært høg hemoglobinkonsentrasjon kombinert med det høge serumnivået av erytropoietin på diagnosetidspunktet. Kunne hemoglobinkonsentrasjonen i seg sjølv føre til hypoksi og stimulere produksjonen av erytropoietin? Det er vist at oksygentransporten varierer med viskositeten i blodet. Transporten er mest effektiv ved eit hematokritnivå på rundt 40 %, medan oksygentransporten fell både ved høge og låge hematokritverdiar (8). Ved polycytaemia vera er det totale blodvolumet auka, og den totale oksygentransporten er difor høg (8). Pasientar med polycythaemia vera og trombocytose er utsette for trombosering i mikrosirkulasjonen, og aterosklerose kan gje risiko for vevshypoksi (9).

    Sannsynleg mekanisme for den høge serumkonsentrasjonen av erytropoietin er vevshypoksi i nyrene. Høg hematokritverdi med høg viskositet har truleg gitt redusert oksygentilførsel til nyrene, då serumkonsentrasjonen av erytropoietin fall etter kvart som hematokritverdien vart seinka.

    Konsentrasjon av serum-erytropoietin var ikkje med i dei første kriteria for diagnosen polycythaemia vera på grunn av måletekniske vanskar (10). Erytropoietin vert nå målt med spesifikke immunologiske metodar. Hos pasienten vår blei erytropoietin målt med ein metode der erytropoietin bind seg til to ulike spesifikke erytropoietinantistoff (Immulite 2000). Verken medikament eller stoff som strukturelt liknar på erytropoietin interfererer med analysen. Ved hemolyse eller icterus blir serumkonsentrasjonen for låg. Målemetoden er difor i dag like sikker som andre hormonmålingar.

    Det totale blodvolumet er auka ved polycythaemia vera, men ofte er plasmavolumet litt redusert (8). Albuminnivået var på diagnosetidspunktet 41 g/l, kreatininnivået var 73 µmol/l. Då hematokritverdien var redusert til 48 % ein månad seinare, var kreatininnivået 83 µmol/l medan albuminnivå var 44 g/l, dvs. ingen større endring. Ein eventuell reduksjon av plasmavolumet kan ikkje forklare den høge konsentrasjonen av serum-erytropoietin hos pasienten vår samanlikna med nivået ved normal hematokrit.

    Kasuistikken viser at samtidig høgt nivå av erytropoietin og hemoglobin ikkje alltid utelukkar diagnosen polycythaemia vera.

    Polycythaemia vera

    Polycythaemia vera har tradisjonelt vært rubrisert i diagnosegruppen kroniske myeloproliferative sykdommer sammen med essensiell trombocytose, primær myelofibrose og kronisk myelogen leukemi (1). Den siste står i en særstilling fordi den er definert ved en klonal markør; t(9;22)(q34;q11).

    Vi mangler en klinisk anvendelig klonal markør for å identifisere og skille polycythaemia vera, essensiell trombocytose og primær myelofibrose fra hverandre. De kliniske manifestasjonene ved disse sykdommene er heterogene, og fenotypene overlapper i stor grad. Å fastsette diagnosen ved kronisk myeloproliferativ sykdom er derfor ofte vanskelig. Samtidig er en diagnostisk avklaring viktig for valg av behandling. Som et hjelpemiddel i diagnostikken av de ulike kroniske myeloproliferative sykdommene har Polycythaemia Vera Study Group utarbeidet diagnostiske kriterier for hver av dem (2). Kriteriene for polycythaemia vera er gjengitt i ramme 1 i Vik og medarbeideres artikkel. En modifisert versjon er nylig publisert av WHO (3).

    Vik og medarbeidere beskriver en pasient som ifølge de diagnostiske kriteriene hadde polycythaemia vera. Etter hvert begynte de å tvile på diagnosen pga. overraskende funn av høyt serum-erytropoietinnivå ved diagnosetidspunktet. Dessverre ble ikke funnet verifisert i en ny prøve før behandling, og senere ble lavt nivå av serum-erytropoietin, som forventet, funnet i to prøver.

    Serum-erytropoietin har nylig vært validert i en studie av 241 pasienter med polycythaemia vera, sekundær erytrocytose og idiopatisk erytrocytose (4). Lavt serum-erytropoietin (under nedre normalgrense) hadde høy spesifisitet for polycythaemia vera (97,8 %), men sensitiviteten var lav (65,6 %). Dette arbeidet viste også at erytropoietin er normalt regulert ved polycythaemia vera. Man fant lavest erytropoietinnivå hos dem med mest uttalt erytrocytose, og erytropoietinnivået tenderte til å stige etter at effektiv behandling var i iverksatt, helt i tråd med Vik og medarbeideres observasjon. Normal regulering av erytropoietinproduksjonen ved polycythaemia vera er en forutsetning for at Vik og medarbeideres forklaring på pasientens høye erytropoietinkonsentrasjon ved diagnosetidspunktet skal være plausibel.

    Andre moderne diagnostiske hjelpemidler, som klonogene cellekulturprøver, påvisning av c-mpl-dysfunksjon eller overekspresjon av mRNA for PRV-1 (polycythaemia rubra vera-1) synes også å ha høy diagnostisk spesifisitet for kronisk myeloproliferativ sykdom, men i likhet med serum-erytropoietin er dessverre ikke sensitiviteten like god, og metodene skiller heller ikke mellom polycythaemia vera, essensiell trombocytose og primær myelofibrose.

    Felles for disse nye diagnostiske hjelpemidlene er at et «positivt» funn er til stor diagnostisk hjelp, men at et «negativt» funn ikke utelukker kronisk myeloproliferativ sykdom. Kasuistikken viser dette til fulle.

    Manuskriptet ble godkjent 14.10. 2004. Manuskriptet ble godkjent 2.3. 2005.

    Oppgitte interessekonflikter: Ingen

    Se kommentar side 2649

    Oppgitte interessekonflikter: Ingen

    Kommentarer  ( 0 )

    Anbefalte artikler