En pasient med rundskygge på lungen

    ()

    sporsmal_grey_rgb
    Abstract

    Background.

    Phyllodes tumours are rare neoplasms of the female breast. Tumours range from the benign to the highly malignant. Based on histological growth pattern, number of mitoses, pleomorphism and stroma characteristics, tumours are classified as malignant, borderline, or benign. After surgical treatment of malignant phyllodes tumours, ten-year survival of 42 % is reported. Metastatic tumours have a poor prognosis with no long-term survival.

    Material and methods.

    We present the case history of a 59-year-old woman with a pulmonary metastasis from a malignant phyllodes tumour of the breast.

    Results.

    The patient presented with a rapidly growing tumour of the right lung. Because of suspected malignancy, bilobectomy of the right lung was performed. Microscopic examination of the resected specimen showed a metastasis from a malignant sarcomatous tumour. Review of the specimen from a mastectomy 14 months earlier, for what was then considered a benign phyllodes tumour, confirmed a diagnosis of a primary malignant phyllodes tumour with pulmonary metastases.

    Interpretation.

    Diagnosis and treatment of phyllodes tumours require close cooperation between the radiologist, the pathologist and the clinician.

    Artikkel

    En 59 år gammel kvinne ble i mars 2002 innlagt i lokalsykehuset etter synkope. Røntgen thorax tatt ved innkomst viste en skarpt avgrenset rundskygge med diameter 25 mm i høyre lunges overlapp. Tilsvarende røntgenundersøkelse fire måneder tidligere var den gang oppfattet som normal. Ny gransking av de gamle bildene viste imidlertid en forandring med diameter 10 mm med samme lokalisasjon.

    I likhet med de fleste pasienter som innlegges i medisinske avdelinger, ble det også hos denne pasienten utført rutinemessig røntgenundersøkelse av thorax. Den påviste forandringen må oppfattes som et bifunn i forhold til innleggelsesårsaken. Likevel er funnet av en slik art at videre undersøkelse er nødvendig for avklaring av diagnose og videre behandling. Mange tilstander kan gi skygge på lungen. Infeksjoner og neoplasmer er blant de vanligste årsakene. Infeksjon synes lite sannsynlig på bakgrunn av rask vekst og den skarpe begrensningen. I tillegg til videre undersøkelse med CT av thorax er det av interesse med ytterligere anamnese og klinisk-kjemiske undersøkelser.

    CT thorax utført ved lokalsykehuset medio april viste en pleuranær rund tumor som hadde vokst til 35 mm. Anamesen gav ingen mistanke om infeksjonssykdom. Hun hadde røykt 10 – 20 sigaretter daglig fra 20 års alder. Videre hadde hun fått utført høyresidig ablatio mammae 14 måneder tidligere. Histologisk undersøkelse av operasjonspreparatet viste den gang benign fyllodetumor med osteokondroid metaplasi og fri reseksjonskant. For øvrig hadde hun vært frisk og ikke innlagt i sykehus. Laboratorieprøvene var innenfor referanseområdet.

    Lungeforandringens raske vekst, sykehistorien og de klinisk-kjemiske undersøkelsene gjør at rask malignitetsutredning er nødvendig. Den store veksthastigheten øker sannsynligheten for malignitet. Utredning med bronkoskopi, supplert med biopsier, børstecytologiprøver eller cytologisk undersøkelse av bronkialskyllevæske, er indisert. Når en tumor ligger helt perifert i lungen, vil røntgen- eller ultralydveiledet perkutan biopsi være mest hensiktsmessig som første undersøkelse i den videre utredningen.

    På grunn av mistanke om malign lungetumor ble hun henvist til videre utredning ved vår avdeling. Ved innleggelsen i mai 2002 var hun i god allmenntilstand. Bortsett fra status etter ablatio mammae med aksillært lymfeknutetoalett, var vanlig organstatus normal. Laboratorieprøver ved innkomst viste: Hb 15,0 g/100 ml, trombocytter 248 · 10⁹/l, SR 9 mm, CRP 7 mg/l. Verdiene for arteriell blodgass, elektrolytter og leverenzymer i serum var normale. Bronkoskopi var også normal, og cytologisk undersøkelse av bronkialskyllevæske avslørte ingen atypiske celler. Utvidet CT-undersøkelse av thorax, øvre abdomen og caput for stadieinndeling viste en pleuranær, nokså skarpt avgrenset tumor med diameter 50 mm i høyre lunges midtfelt. For øvrig var det ikke tegn til metastaser eller andre patologiske forhold. Histologisk undersøkelse av CT-veiledet biopsi ble besvart som «benign brusk, vel forenlig med hamartom». Tumors størrelse, veksthastighet og opplysninger om tidligere utført ablatio mammae, var ikke påført remissen.

    Histologisk diagnose, eller i det minste skille mellom benign og malign diagnose, kan vanligvis stilles med stor grad av sikkerhet i representativt biopsimateriale tatt på denne måten. Det var overraskende å få til svar at tumor var benign. Remissen var imidlertid ikke påført svulstens veksthastighet og størrelse. Dersom patologen hadde visst dette, ville neppe diagnosen hamartom kommet med i konklusjonen. I stedet ville sarkom vært en aktuell diagnose. Fordi pasienten har hatt en fyllodetumor i høyre bryst, er det naturlig å avklare muligheten for metastatisk sykdom. En raskt voksende svulst med stor mistanke om malignitet, bør behandles snarlig dersom det skal være håp om helbredelse. Dersom dette er en primær, malign lungesvulst, vil preoperativ TNM-stadieinndeling være Ib, noe som tilsier forventet femårsoverlevelse på 20 – 30 %. Videre tiltak vil derfor være kirurgisk, enten ved torakoskopisk tilgang eller som en eksplorativ torakotomi der videre behandling avgjøres ut fra histologisk diagnose i frysesnitt.

    Røntgenbilder, histologisvar og sykehistorie ble diskutert i møte med kirurger, radiologer og lungemedisinere. På grunn av svulstens raske vekst var man usikker på riktigheten av biopsisvaret og fant indikasjon for kirurgisk behandling. Det ble utført torakotomi. Diagnosen etter undersøkelse av peroperativt frysesnitt var: «Cellerik, malign tumor. Sarkom sannsynlig.» Man gikk derfor videre med bilobektomi av høyre over- og midtlapp.

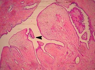
    Det peroperative histologisvaret var overraskende og medførte ny gjennomgang av tidligere journalopplysninger. Pasienten hadde ved mammografi i 1998 fått påvist en velavgrenset tumor på 1,7 · 2,5 cm i høyre mamma. Tumor var vurdert som forenlig med fibroadenom. To år senere ble det påvist en stor lobulert tumor ved siden av den tidligere påviste tumoren. Svulstene hadde til sammen en diameter på 5,6 cm. Biopsier fra begge tumorer viste fyllodetumor, men det var usikkert om den var benign eller malign. Klinisk ble det beskrevet infiltrasjon av hud med rubor og forstørrede aksillære lymfeknuter. Det ble derfor gjort ablatio mammae med aksillært lymfeknutetoalett. Histologisk undersøkelse av operasjonspreparatet konkluderte med benign fyllodetumor, fri reseksjonskant og samtidig påvist osteokondroid metaplasi (fig 1). Ingen malignitet var påvist i aksillære lymfeknuter. På grunn av lavt mitosetall og skarp avgrensning ble tumoren oppfattet som benign.

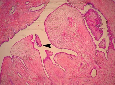
    Endelig histologisvar fra lungeresektatet var: «Lungevev med metastase fra høygradig malign fyllodetumor med utbredt kondroid differensiering (primærtumor i høyre bryst). Vekst ut i bronkie og inn i pleura viscerale» (fig 2). Ved utskrivningen fra medisinsk avdeling ble pasienten henvist til Radiumhospitalet for videre oppfølging. Det ble der senere påvist ytterligere metastaser til lunge og columna, og hun fikk palliativ strålebehandling. Hun døde ca. seks måneder etter lungeoperasjonen.

    Diskusjon

    Diskusjon

    Pasienten hadde lungemetastase fra fyllodetumor i mamma. I sykehistorien var det histologiske bildet på ulike tidspunkter beskrevet som benignt eller malignt. Dette illustrerer at tilstanden er uvanlig og vanskelig å tolke selv i et operasjonspreparat. Til tross for at hun var antatt radikaloperert, døde hun av disseminert sykdom fire år etter at det ble oppdaget en kul i brystet.

    Fyllodetumorer er sjeldne fibroepiteliale svulster. Forekomsten er derfor usikker. Det angis at de utgjør mindre enn 1 % av alle neoplasmer i mamma, og aldersjustert årlig insidensrate er ca. to per million kvinner (1, 2). Tumor kan debutere i alle aldre, med median debutalder 45 år (2). Den vokser vanligvis raskt, noe som er enda mer uttalt for de maligne svulstene. Malignitet defineres etter tumors vekstmåte, antall mitoser, pleomorfisme og cellularitet i stromaet (1, 3). Diagnosekriteriene er lite spesifikke, fordi det er glidende overganger mellom benigne og maligne tumorer. Det er påvist opptil 25 % diskordans mellom patologer (4). Aksillære lymfeknutemetastaser opptrer sjelden (5, 6). Metastasering foregår hovedsakelig hematogent (3, 5). Det er ingen generelle retningslinjer for behandling, bortsett fra at den primært skal være kirurgisk, med fri reseksjonskant. Rutinemessig aksillært lymfeknutetoalett er ikke indisert (2). Retningslinjer for adjuvant behandling foreligger ikke.

    Ingen pålitelige prognostiske faktorer er funnet (7). Etter kirurgisk behandling, er femårs sykdomsfri overlevelse på 96 %, 74 % og 66 % rapportert for henholdsvis benigne tumorer, borderlinetumorer og maligne tumorer (5). Femårsoverlevelse på 79 % og tiårs overlevelse på 42 % er rapportert etter kirurgisk behandling av maligne fyllodetumorer (8).

    De fleste metastaser utvikles uten at det kan påvises lokalt residiv. Oftest metastaserer tumor til lunge, skjelett eller abdominale viscera (9). Histologisk inneholder de bare stromaelementet av tumor. Prognosen ved metastatisk sykdom er dårlig, nærmest ingen langtidsoverlevelse er rapportert (10).

    I Norge ble det rapportert 17 tilfeller av malign fyllodetumor i perioden 1993 – 99. Etter fem år var 15 i live, mens én var i live etter ni år (Kreftregisteret, personlig meddelelse).

    Akershus universitetssykehus betjener en populasjon på ca. 300 000 innbyggere. Ved søk i arkivet ved patologisk avdeling for perioden 1.1. 1988 – 1.1. 2003 hadde ti pasienter fått histologisk diagnose fyllodetumor i mamma. Av disse pasientene har vi funnet oppfølgingsdata for åtte, mens to ikke kan etterspores fordi biopsi var tilsendt fra annet sykehus. Av de åtte pasientene fikk fire diagnosen malign fyllodetumor, mens hos fire ble tumorene beskrevet som benigne. Pasientenes alder ved diagnosetidspunkt for de maligne svulstene var henholdsvis 13, 38, 57 og 64 år. To av de fire pasientene med malign sykdom var i live henholdsvis fem og åtte år etter at de fikk diagnosen, mens én døde av annen sykdom etter fire år. Den fjerde pasienten er referert ovenfor. Det foreligger ikke opplysninger om at en i utgangspunktet benign diagnose er blitt revurdert i noen av de andre tilfellene.

    Fyllodetumorer i mamma er sjeldne neoplasmer med et varierende histologisk bilde og en variabel prognose. Diagnostisk kan det være vanskelig, å skille mellom benign og malign histologi og dette krever nært samarbeid mellom kliniker, radiolog og patolog. Denne sykehistorien illustrerer noen av de utfordringer og fallgruver utredning av lungeforandringer gir. Sjeldne tilstander kan i seg selv forsinke diagnostikken. En tidligere godartet diagnose må raskt revurderes når sykdomsforløpet endrer seg. Fullstendig utfylte henvisninger og remisser er nødvendig for at radiolog og patolog skal kunne stille riktig diagnose ut fra de funn som gjøres. Svulstens veksthastighet gav sterk mistanke om malignitet. Snarlig kirurgisk inngrep ble prioritert fordi dette kunne gi mulighet for sikker histologisk diagnose og i beste fall helbredelse. Påvisning av en metastase i lungen på et tidligere tidspunkt ville medført at lungereseksjon ikke ville blitt ansett som indisert. I ettertid er det klart at pasienten kunne vært spart for et kirurgisk inngrep, men forløpet for øvrig ville ikke kunne påvirkes. Ved fjernmetastaser, som hos vår pasient, er det bare palliativ behandling som er aktuelt.

    Utredning ved mistenkt lungesvulst

    Pasienter med rundskygge på en lunge forekommer ikke så sjelden. Det kan være flere årsaker til et slikt røntgenfunn, men primær lungecancer er en viktig differensialdiagnose. Slike funn bør derfor utredes systematisk og raskt.

    Man gjør seg noen tanker om tidsperspektivet i utredningen av den aktuelle pasienten. Hun hadde røykt 10 – 20 sigaretter om dagen i nesten 40 år, og tilhørte dermed høyrisikogruppen for utvikling av lungekreft. I tillegg var hun operert for en tumor i brystet for en tid tilbake – riktignok med «benign» histologi.

    I mars 2002 ble det påvist en rundskygge på røntgen thorax. Ved regranskning av thoraxbildet tatt fire måneder tidligere, så man at lesjonen var til stede allerede da – og at den hadde vokst. Det ble gjort CT thorax medio april og hun ble innlagt for videre utredning. Fordi man ikke slo seg til ro med svar på den biopsien som da ble tatt, ble tumoren fjernet kirurgisk.

    Det er naturlig nok ikke gjort prospektive undersøkelser av hvor raskt man bør utrede pasienter med lungesvulster. Det er heller ikke vist overlevelsesgevinst ved systematisk screening. Men sjansen for å overleve har klar sammenheng med tumors størrelse og utbredelse ved diagnosetidspunktet. Kirurgi er den behandlingen som kurerer de aller fleste pasienter som overlever lungekreft, men det gjelder kun når kreftsykdommen er i et tidlig stadium. Det er ikke optimalt at det går flere måneder fra man finner en rundskygge på røntgen thorax til man har fastsatt endelig diagnose.

    Et godt anamneseopptak er alltid viktig, særlig når man står overfor en pasient med en sjelden tilstand. Det kan være krevende å få tak i alle relevante opplysninger – ikke minst pga. manglende samordning av journalsystemer mellom de forskjellige ledd i helsevesenet. Men det kan ikke understrekes sterkt nok hvor viktig dette «detektivarbeidet» er.

    Samspillet mellom klinikere, radiologer, patologer og andre spesialister er ofte avgjørende for å stille riktig diagnose. Dette krever bl.a. at histologiremisser inneholder alle relevante opplysninger – patologen må ikke bli «overlatt til seg selv». Likeledes må man som kliniker kritisk vurdere svaret man får tilbake. Det kan være vanskelig for en patolog å vurdere om en lesjon er benign eller malign, det kliniske bildet vil da være avgjørende.

    Uansett hvor mye arbeid man legger i å fylle ut remisser, er det viktig at en muntlig dialog mellom spesialistene finner sted. Mange sykehus har derfor regelmessige møter mellom klinikere og patologer hvor man i felleskap diskuterer spesielle tilfeller.

    I et mer og mer sammensatt og utredningsintensivt spesialisthelsevesen blir det viktig at én lege har hovedansvaret for pasienten i alle faser av sykdommen, fra primærdiagnostikk til den palliative fasen. Derfor må man klart definere hvem som er pasientansvarlig lege til enhver tid. Denne legen har totalansvaret for pasienten, sammenfatter all klinisk informasjon, inklusive bildediagnostikk, patologiske funn osv., og meddeler dette til pasient og pårørende. Det vil kunne variere over tid hvem som er pasientansvarlig, men det må alltid være klart internt i avdelingen og overfor pasienten hvem som innehar dette ansvaret.

    Den aktuelle pasienthistorien illustrerer kompleksiteten rundt utredning og vurdering av pasienter med lungetumorer spesielt, og pasienter med flere sykdommer generelt.

    Manuskriptet ble godkjent 2.2. 2005.

    Oppgitte interessekonflikter: Ingen

    Se kommentar side 2958

    Kommentarer  ( 0 )

    Anbefalte artikler