Background
. Neurological symptoms rapidly resolve after a transitory ischemic attack (TIA). Diffusion-weighted MRI and new clinical studies have greatly increased our understanding of the pathophysiology and clinical impact of TIA. This review presents an update on patophysiology, symptoms, diagnosis and treatment of TIA.
Material and methods
. This article is based on our clinical experience, European guidelines for acute cerebrovascular disease and recent medical literature found by searching Medline.
Results and interpretation
. TIA is a warning of a potential cerebrovascular disaster. About 10 – 13 % of TIA patients will have a stroke within a few months, half of them within a few days. A more urgent approach to TIA diagnosis and treatment should prevent many strokes and deaths. All TIA patients should therefore be referred as an emergency to a stroke unit.
Et transitorisk iskemisk anfall (TIA) er det kliniske uttrykk for en akutt, men (antatt) forbigående sirkulasjonsforstyrrelse i hjernen. Anslagsvis 15 – 26 % av dem som rammes av hjerneinfarkt har hatt TIA på forhånd (1) – (3), og dette svarer til 2 000 – 3 400 tilfeller av slike anfall årlig. Et enda større antall TIA som ikke etterfølges av hjerneinfarkt, vil komme i tillegg.
Mange leger, både i primær- og spesialisthelsetjenesten, oppfatter nok fortsatt et TIA som en «godartet hendelse» med dertil lite preg av hast. En slik oppfatning står imidlertid i sterk kontrast til nyere undersøkelser som viser at 10 – 13 % av pasienter med TIA vil få hjerneslag innen tre til seks måneder, hvorav nær halvparten de første dagene (4, 5). Formålet med denne oversiktsartikkelen er å gi en oppdatert oversikt over patofysiologi, symptomer, diagnostikk og behandling ved TIA.
Materiale og metode
Artikkelen er basert på egne kliniske erfaringer, europeiske terapiretningslinjer for akutt cerebrovaskulær sykdom, og medisinsk litteratur identifisert ved søk i Medline.
Patofysiologi
TIA er tradisjonelt definert som en klinisk hendelse med iskemisk betingede fokalnevrologiske utfall som oppstår brått, men som går helt tilbake innen 24 timer. Et TIA skal per definisjon ikke etterlate noen «spor». Dette i motsetning til et hjerneinfarkt, som alltid etterlater ett eller flere iskemisk skadede områder i hjernen, samt (nesten) alltid permanente nevrologiske utfall.
MR-studier
En stadig utvidet bruk av diffusjonsvektet MR har imidlertid vist at grensen mellom TIA og hjerneinfarkt patofysiologisk sett er flytende (6). Kidwell og medarbeidere fant, ved cerebral diffusjonsvektet MR undersøkelse utført i gjennomsnitt 17 timer etter debut av TIA, at 48 % av pasientene hadde en eller flere nye fokale lesjoner i hjernen (7). Det var høyest frekvens av lesjoner i de tilfellene der TIA hadde vart i over en time, og der pasienten hadde hatt pareser eller dysfasi. De aller fleste iskemiske lesjoner påvist ved diffusjonsvektet MR samsvarer med et infarktområde (8). Også etter invasive kardiovaskulære prosedyrer som hjertekateterisering finner man relativt ofte cerebrale lesjoner ved diffusjonsvektet MR, uansett om pasienten rapporterer TIA-symptomer eller ikke (9).
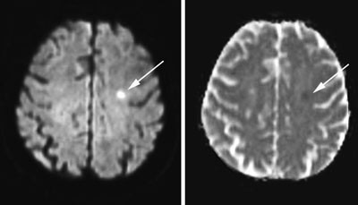
Diffusjonsvektet MR sannsynliggjør at de aller fleste TIA skyldes embolisme fordi de cerebrale lesjonene er små og velavgrensede (fig 1), og i mange tilfeller multifokale. MR kan også gi informasjon om etiologien ved det enkelte TIA. Dersom man ser akutte lesjoner i begge hemisfærer, eller i både det fremre (carotis) og det bakre (vertebrobasilaris) cerebrale kretsløp, er det meget sannsynlig at TIA skyldes kardioembolisme eller embolisme fra aortabuen. Emboluser fra et arteriosklerotisk plakk i a. carotis (arterie-til-arterie-embolisme) vil gi en eller flere lesjoner i samsidig hemisfære.
Årsaksforhold
TIA har den samme patofysiologien, og er begrunnet i de samme bakenforliggende risikofaktorer, som annen iskemisk cerebrovaskulær sykdom. Høy alder, hypertensjon, diabetes mellitus, hyperlipidemi og røyking fremmer utviklingen av arteriosklerose. Atrieflimmer og annen hjertesykdom har høyere prevalens med økende alder. De aller fleste TIA skyldes at emboluser fra ekstrakraniale «donorfokus» sendes inn i hjernen og forårsaker en (forbigående) okklusjon av en større eller mindre cerebral arterie. Transkranial ultralydundersøkelse like etter TIA kan vise cerebrale mikroembolier som uttrykk for vedvarende subklinisk cerebral embolisme (10).
Både etiologisk og behandlingsmessig er det viktig å skille mellom arterie-til-arterie-embolisme og kardioembolisme. En arterie-til-arterie-embolisme kan stamme fra et arteriosklerotisk plakk i aortabuen eller fra et plakk i en precerebral eller cerebral arterie. Det er sammenheng mellom graden av arteriosklerose i aortabuen og sannsynligheten for iskemisk hjerneskade (11). For a. carotis spiller både graden av arteriosklerotiske forandringer samt selve plakkmorfologien en viktig rolle når det gjelder risikoen for cerebral iskemisk skade (12). I de fleste tilfeller av arterie-til-arterie-embolisme dannes emboluser etter spontanruptur av plakk.
Ved kardioembolisme dannes emboluser i selve hjertet, eventuelt kan emboluser oppstå på venøs side og krysse til venstre hjertehalvdel via en defekt i hjerteseptum. Atrieflimmer gir betydelig økt risiko for cerebral embolisk skade, og pasienter med mekanisk hjerteventil har en årlig risiko på 1 – 4 % for hjerneinfarkt og TIA til tross for antikoagulasjonsbehandling.
TIA kan også være hemodynamisk betinget. Hvis det foreligger en eller flere høygradige stenoser i en (pre)cerebral arterie, kan det regionale arterietrykket bli så lavt at det oppstår lokal iskemi med nevronal funksjonssvikt, og dermed TIA- symptomer (13). Hemodynamiske TIA ses særlig hvis pasienten har dårlig cerebral kollateralsirkulasjon. Hvis diffusjonsvektet MR etter et TIA viser konfluerende iskemiske lesjoner eller ødem lokalisert til et av hjernens «vannskilleområder», det vil si i en grensesone mellom de store cerebrale arteriers forsyningsområder, er den sannsynlige etiologien cerebral hypoperfusjon grunnet lavt arterietrykk, eller kombinasjonen hypoperfusjon og embolisme (14).
Et varsel
Et TIA er uttrykk for en ustabil cerebral sirkulasjon. Johnston og medarbeidere fant at 10,5 % av innlagte TIA-pasienter fikk hjerneslag innen 90 dager, hvorav halvparten de første to døgn (4). Daffertshofer og medarbeidere viste i en prospektiv tysk multisenterundersøkelse at 8 % av de innlagte TIA-pasientene fikk hjerneslag under sykehusoppholdet, og ytterligere 5 % det første halve året (5). 5 % av alle TIA-pasientene var døde innen seks måneder. Rothwell & Warlow analyserte data fra to populasjonsbaserte og to randomiserte cerebrovaskulære studier, og fant at 15 – 26 % av hjerneinfarktpasientene hadde opplevd ett eller flere TIA før selve hjerneinfarktet (3). Tidsmessig var det en betydelig nærhet mellom hendelsene, idet 9 % hadde TIA dagen før, 17 % samme dag og 43 % samme uke som hjerneinfarktet. Patofysiologisk sett kan man anta at et rumpert plakk vil ha en meget trombogen overflate i dagene etter rupturen, hvilket kan forklare den høye risikoen for embolisk hjerneinfarkt like etter et TIA.
Symptomer
Et TIA debuterer i løpet av sekunder til minutter med nye nevrologiske symptomer og utfall som enten er hemisfæriske (carotiskretsløpet) eller fra bakre skallegrop (vertebrobasilariskretsløpet) (ramme 1). Ved et «retinalt TIA» (amaurosis fugax) kommer embolus(er) inn til retina via a. ophthalmica og gir akutt ensidig synstap.
Symptomer ved transitorisk iskemisk anfall (TIA)
-
Hemiparese
-
Facialisparese
-
Hemisensorisk forstyrrelse
-
Hemianopsi
-
Dysfasi
-
Dysartri
-
Diplopi
-
Vertigo
-
Ataksi
-
Bevissthetsendring (sjeldent)
-
Amaurosis fugax
De aller fleste TIA er kortvarige. Den gjennomsnittlige TIA-pasienten vil klinisk bedømt være restituert innen 30 minutter (15). En rask normalisering av en ekstremitetsparese eller en taleforstyrrelse skyldes oftest spontan rekanalisering av en okkludert cerebral arterie. Ved hjelp av transkranial ultralyd er det mulig å følge en rekanaliseringsprosess fra minutt til minutt. Jo tidligere og mer fullstendig rekanalisering ved akutt cerebral iskemi, desto bedre klinisk prognose (16).
Repeterte embolier fra en arteriosklerotisk a. carotis vil kunne gi gjentatte TIA fra samsidig hemisfære eller øye. Emboluser fra en intrakranial stenose kan gi meget stereotypt utformede TIA. Gjentatte hemodynamiske TIA vil også ha lik klinisk utforming. Ved symptomer fra flere cerebrale karområder er det derimot sannsynlig at embolikilden finnes proksimalt, det vil si i hjertet eller aortabuen.
Det er mange differensialdiagnoser ved TIA, de viktigste er vist i ramme 2. Sykehistorien, klinisk og nevroradiologisk undersøkelse, blodprøver, ultralydundersøkelse, EKG og eventuelt EEG, vil som regel ganske greit kunne skille disse tilstandene (17).
Viktigste differensialdiagnoser ved transitorisk iskemisk anfall (TIA)
-
Synkope (kardial eller ortostatisk)
-
Migreneaura
-
Fokalt epileptisk anfall
-
Perifer nevropati (parestesier)
-
Intoksikasjon
-
Transitorisk global amnesi
-
Intrakranial blødning
-
Angstanfall
Diagnostikk og behandling
Et TIA bør håndteres som en øyeblikkelig hjelp-situasjon og føre til direkte henvisning til sykehusets slagenhet (18, 19). Den initiale kliniske undersøkelsen i sykehuset må vektlegge nevrologisk og kardiovaskulær status. Eventuell hypoksi, hypertermi, hypo- eller hyperglykemi må korrigeres. Det er nyttig å anvende en «slagskår», som National Institute of Health Stroke Scale (NIHSS) (20), for å fange opp endringer i nevrologisk status over et kort tidsrom. CT- eller MR- undersøkelse av hjernen vil skille mellom cerebral iskemi og intrakranial blødning, og spesialsekvenser kan gi informasjon om cerebral karanatomi, utbredelsen av iskemi samt om regionale perfusjonsforhold. Ultralydundersøkelse av precerebrale halskar vil avdekke eventuelle stenoser og okklusjoner, og vise grad og type av arteriosklerose i hjernens tilførende arterier. Transkranial ultralyd er velegnet til raskt å vurdere intrakraniale sirkulasjonsforhold. EKG dokumenterer eventuell atrieflimmer, og i kombinasjon med biokjemiske markører også akutt myokardskade. Ekkokardiografi bør utføres hos alle yngre TIA-pasienter, og ellers i de tilfeller der det er mistanke om kardial embolikilde.
Ved TIA skal sekundærprofylakse settes i gang parallelt med den medisinske utredningen. Ved antatt arterie-til-arterie-embolisme gis acetylsalisylsyre eller clopidogrel monoterapi (21), eller som en følge av ESPRIT-studien kanskje helst kombinasjonen acetylsalisylsyre og dipyridamol (22). Hvis TIA- pasienten har arteriosklerotisk karsykdom. bør man, uansett lipidverdier, forskrive statin (23). Ved kardioembolisk TIA skal man som hovedregel starte antikoagulasjonsbehandling (24). Det er uavklart om man bør gi antihypertensiver i den akutte fasen ved TIA, men det må uansett lages en plan for sekundærprofylaktisk blodtrykkskontroll. TIA-pasienten bør motiveres for eventuell omlegging av kostholdet, samt røykestopp.
Ved TIA med sannsynlig årsak i arterie-til-arterie-embolisme fra en ≥ 60 % diameterstenose i samsidig a. carotis skal pasienten henvises til endarterektomi, såfremt det ikke er betydelige kontraindikasjoner mot kirurgi (25). Høyst trolig vil tidlig carotiskirurgi, det vil si kirurgi utført mindre enn to uker etter TIA, ha best nytteeffekt (26). Endovaskulær stentbehandling av symptomgivende ekstra- og intrakraniale stenoser vil sannsynligvis i økende grad bli tatt i bruk som profylaktisk behandlingsopsjon etter TIA.
Mange TIA-pasienter har generelisert arteriosklerose og økt risiko for iskemisk hjertesykdom. En god sekundærprofylakse vil følgelig ikke bare redusere risikoen for etterfølgende hjerneslag, men også for hjerteinfarkt og tidlig vaskulær død.
Diskusjon
Helsevesenets praktiske håndtering av TIA varierer nok betydelig mellom ulike regioner og sykehus, både i Norge og i den vestlige verden for øvrig. Det må være et entydig mål at pasienter med akutt cerebral iskemi, i henhold til europeiske anbefalinger, virkelig håndteres som øyeblikkelig hjelp-pasienter (19). Et viktig argument for å hospitalisere TIA pasienten er det at man kan gi trombolytisk eller annen rekanaliserende behandling umiddelbart ved et eventuelt hjerneinfarkt de første døgn etter TIA.
Den tradisjonelle TIA-definisjonen er utdatert. Den tidsmessige avgrensningen på 24 timer er vilkårlig; ved varighet av nevrologiske symptomer over en time vil kun et mindretall av pasientene bli helt restituert innen 24 timer (15). Dessuten vil spesielt ikke-motoriske nevrologiske symptomer og utfall kunne vedvare over timer og dager uten å bli erkjent. Det er vesentlig enklere å påvise en parese eller en motorisk taleforstyrrelse enn å avdekke kognitive og atferdsmessige endringer. Albers og medarbeidere har foreslått å endre definisjonen til: «Et TIA er en kortvarig hendelse, typisk under en time, med nevrologisk dysfunksjon forårsaket av retinal eller fokal cerebral iskemi, uten holdepunkt for infarktbetinget morfologisk skade» (27). Denne definisjonen skiller klarere mellom TIA og hjerneinfarkt, men krever i praksis meget god tilgang til MR-undersøkelser.
Et TIA er en potensiell anledning til å forhindre varig hjerneskade (28). Dette forutsetter imidlertid at pasienten selv, eller dennes omgivelser, umiddelbart tar kontakt med helsevesenet som igjen formidler pasienten direkte til en slagenhet. Dessverre er kunnskapen om TIA dårlig i befolkningen. I en telefonbasert intervjuundersøkelse i USA kunne bare 8,2 % angi en korrekt definisjon av TIA, og kun 8,6 % kjente til et typisk TIA-symptom (29). Selv om den intervjuede i det virkelige liv selv hadde opplevd og gjenkjent sitt eget TIA, hadde de fleste av disse også ventet med å kontakte helsevesenet (30). I Norge har nevrologisk avdeling ved Sykehuset Østfold, Fredrikstad, vist at gjentatt informasjon om hjerneslag på lokal-TV raskt endret befolkningens atferd ved akutt cerebral iskemi.
Tiden er den avgjørende faktoren ved akutt cerebral iskemi. Bedre kunnskap om og raskere handling ved TIA vil forhindre mange dødsfall, og ikke minst redusere antallet individer som må fullføre sine liv med slagsekvele.
Oppgitte interessekonflikter:
Christian Lund har mottatt honorar eller reisetilskudd fra Boehringer Ingelheim, Sanofi Pharma Bristol-Meyers Squibb, og Nycomed Pharma. David Russell og Arve Dahl har mottatt honorar eller reisetilskudd fra Boehringer Ingelheim, Sanofi Pharma Bristol-Meyers Squibb, og Pfizer.
Oppgitte interessekonflikter: Se til slutt i artikkelen
Hovedbudskap
-
Et transitorisk iskemisk anfall (TIA) er et varsel om et truende cerebrovaskulær katastrofe
-
TIA-pasienter bør henvises som øyeblikkelig hjelp til slagenhet
-
Rask og riktig behandling forebygger hjerneslag og annen vaskulær sykdom
- 1.
Brainin M, McShane LM, Steiner M et al. Silent brain infarcts and transient ischemic attacks. Stroke 1995; 26: 1348 – 52.
- 2.
Petty GW, Brown RD jr., Whisnant JP et al. Ischemic stroke subtypes. A population-based study of incidence and risk factors. Stroke 1999; 30: 2513 – 6.
- 3.
Rothwell PM, Warlow CP. Timing of TIAs preceding stroke. Neurology 2005; 64: 817 – 20.
- 4.
Johnston SC, Gress DR, Browner WS et al. Short-term prognosis after emergency department diagnosis of TIA. JAMA 2000; 284: 2901 – 6.
- 5.
Daffertshofer M, Mielke O, Pullwitt A et al. Transient ischemic attacks are more than «ministrokes». Stroke 2004; 35: 2453 – 8.
- 6.
Gass A, Ay H, Szabo K et al. Diffusion-weighted MRI for the «small stuff»: the details of acute cerebral ischemia. Lancet Neurol 2004; 3: 39 – 45.
- 7.
Kidwell CS, Alger JR, Di Salle F et al. Diffusion MRI in patients with transient ischemic attacks. Stroke 1999; 30: 1174 – 80.
- 8.
Schaefer PW, Copen WA, Lev MH et al. Diffusion-weighted imaging in acute stroke. Magn Reson Imaging Clin North Am 2006; 14: 141 – 68.
- 9.
Lund C, Nes RB, Ugelstad TP et al. Cerebral emboli during left heart catheterization may cause acute brain injury. Eur Heart J 2005; 26: 1269 – 75.
- 10.
Lund C, Rygh J, Stensrød B et al. Cerebral microembolus detection in an unselected acute ischemic stroke population. Cerebrovasc Dis 2000; 10: 403 – 8.
- 11.
Kronzon I, Tunick PA. Aortic atherosclerotic disease and stroke. Circulation 2006; 114: 63 – 75.
- 12.
Mathiesen EB, Bønaa KH, Joakimsen O. Echolucent plaques are associated with high risk of ischemic cerebrovascular events in carotid stenosis. Circulation 2001; 103: 2171 – 5.
- 13.
Rønning OM. Akutte cerebrale symptomer hos eldre kvinne Tidsskr Nor Lægeforen 2006; 126: 2528 – 9.
- 14.
Caplan LR, Wong KS, Gao S et al. Is hypoperfusion an important cause of strokes? If so, how? Cerebrovasc Dis 2006; 21: 145 – 53.
- 15.
Levy DE. How transient are transient ischemic attacks? Neurology 1988; 38: 674 – 7.
- 16.
Thomassen L, Waje-Andreassen U, Naess H et al. Doppler ultrasound and clinical findings in patients with acute ischemic stroke treated with intravenous thrombolysis. Eur J Neurol 2005; 12: 462 – 5.
- 17.
Rønning OM, Thommessen B. Når hjerneslagdiagnosen er feil Tidsskr Nor Lægeforen 2005; 125: 1655 – 7.
- 18.
Rothwell PM, Buchan A, Johnston SC. Recent advances in management of transient ischaemic attacks and minor ischaemic stroke. Lancet Neurol 2006; 5: 323 – 31.
- 19.
Toni D, Chamorro A, Kaste M et al for the EUSI executive committee and the EUSI writing committee. Acute treatment of ischaemic stroke. Cerebrovasc Dis 2004; 17 (suppl 2): 30 – 46.
- 20.
Meyer BC, Hemmen TM, Jackson CM et al. Modified national institutes of health stroke scale for use in stroke clinical trials: prospective reliability and validity. Stroke 2002; 33: 1261 – 6.
- 21.
CAPRIE steering committee. A randomised, blinded, trial of clopidogrel versus aspirin in patients at risk of ischaemic events (CAPRIE). Lancet 1996; 348: 1329 – 39.
- 22.
The ESPRIT study group. Aspirin plus dipyridamole versus aspirin alone after cerebral ischaemia of arterial origin (ESPRIT): randomised controlled trial. Lancet 2006; 367: 1665 – 73.
- 23.
Amarenco P, Bogousslavsky J, Callahan A 3rd et al. High-dose atorvastatin after stroke or transient ischemic attack. N Engl J Med 2006; 355: 549 – 59.
- 24.
EAFT study group. Secondary prevention in non-rheumatic atrial fibrillation after transient ischaemic attack or minor stroke. Lancet 1993; 342: 1255 – 62.
- 25.
Cina CS, Clase CM, Haynes RB. Carotid endarterektomi for symptomatic carotid stenosis. Cochrane Database Syst Rev 2000; CD001081.
- 26.
Rothwell PM, Eliasziw M, Gutnikov SA et al. Carotid endarterectomy trialists collaboration. Endarterectomy for symptomatic carotid stenosis in relation to clinical subgroups and timing of surgery. Lancet 2004; 363: 915 – 24.
- 27.
Albers GW, Caplan LR, Easton JD et al. Transient ischemic attack – proposal for a new definition. N Engl J Med 2002; 347: 1713 – 6.
- 28.
Johnston SC. Transient ischemic attack: a dangerous harbinger and an opportunity to intervene. Semin Neurol 2005; 25: 362 – 70.
- 29.
Johnston SC, Fayad PB, Gorelick PB et al. Prevalence and knowledge of transient ischemic attack among US adults. Neurology 2003; 60: 1429 – 34.
- 30.
Giles MF, Flossman E, Rothwell PM. Patient behavior immediately after transient ischemic attack according to clinical characteristics, perception of the event, and predicted risk of stroke. Stroke 2006; 37: 1254 – 60.