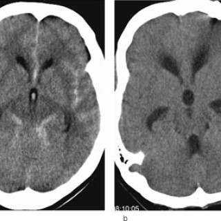
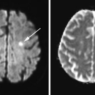
Tema: Hjerneslag