Background
. Cerebral venous thrombosis (CVT) is a rare cause of stroke, and an important differential diagnosis for a number of neurological complaints. This review article concerns the aetiology, pathology, diagnostic work-up and treatment of the condition.
Material and methods.
This article is based on a review of relevant literature and on the authors’ personal experience.
Results and interpretation.
CVT is thought to be responsible for about 0.5 – 1.0 % of all strokes. Headache is the initial symptom in 70 – 90 % of the cases. Apart from this, symptoms vary considerably. CVT was previously assumed to be a rare condition with a high mortality, as the diagnosis could in effect only be made post mortem. Conditions with a benign course can now be diagnosed with modern neuroradiological examinations. All patients should be assessed carefully; particular attention should be given to possible congenital or acquired forms of thrombophilia. Scepsis about the use of anticoagulants in CVT has long prevailed, especially in connection with haemorrhagic infarcts. During the last 10 – 15 years, several studies indicate that anticoagulation with heparin, or low-molecular heparin, should be the initial treatment of choice. Catheter-based endovascular thrombolytic treatment should be considered in serious cases where anticoagulant treatment is unsuccessful. Mortality is about 10 %.
Den første detaljerte beskrivelsen av cerebral venetrombose, også kalt sinusvenetrombose, ble forfattet av Ribes i en artikkel fra 1825 (1). Siden fulgte en rekke kasuistikker basert på autopsimaterialer, som førte til den oppfatning at cerebral venetrombose representerte en sjelden, alvorlig sykdom karakterisert med hodepine, papillødem, epileptiske anfall, fokale utfall, progredierende koma og død (2, 3). Introduksjon av moderne nevroradiologisk utredning har gjort diagnostisering intra vitam mulig, dermed er det blitt klart at sykdomsutviklingen ved cerebral venetrombose heller sjelden er i overensstemmelse med den klassiske symptombeskrivelsen (3).
Epidemiologi
Insidensen av cerebral venetrombose i den vanlige befolkning er ukjent (4). Ehlers & Courville fant bare 16 tilfeller av sinus sagittalis superior-trombose i et materiale på 1 500 autopsier (5). Senere undersøkelser gir grunnlag for å anta at insidensen er høyere enn man tidligere har trodd (6). I dag antas cerebral venetrombose å utgjøre < 1 % av alle slagtilfeller (7). Ved vår avdeling har vi i løpet av de siste ti år årlig i gjennomsnitt behandlet 1,6 pasienter med cerebral venetrombose, noe som med en rekke forbehold skulle tilsi en insidens på 0,64 per 100 000. Sykdommen forekommer i alle aldre, men hyppigst hos personer under 40 år (8). Den ses hyppigere hos kvinner enn hos menn (9), trolig på grunn av hormonelle faktorer (kontraseptivbruk og svangerskap) (8).
Etiologi
Flere tilstander kan forårsake eller predisponere for cerebral venetrombose (ramme 1) (4, 10) – (15). Grunnet antibiotika er forekomsten av infeksiøse tromboser sterkt redusert. Ikke-infeksiøse cerebrale venetromboser er i dag dominerende og kan forekomme som komplikasjon til de samme kirurgiske, gynekologiske, obstetriske og medisinske lidelser som leilighetsvis fører til ekstrakranialt lokaliserte dype venetromboser (16).
Etiologi ved ikke-infeksiøs cerebral venetrombose:
-
Postpartale: Hyppigst i ikke-vestlige land (10)
-
Kongenital trombofili: Hyppigst aktivert protein C-resistens (APC-resistens). Antitrombin III-, protein C- og protein S-mangel, protrombingenmutasjon (4, 11, 12)
-
Hyperkoagulabilitet: Assosiert med lupus erythematosus disseminatus, antifosfolipidsyndrom, maligne lidelser, Beçhets sykdom, sarkoidose, ulcerøs kolitt, Crohns sykdom, Wegeners granulomatose (11, 13)
-
Kontraseptiver: 16 ganger økt risiko (11, 14)
-
Hyperhomocysteinemi (15)
-
Ukjent: 20 – 35 %
Patofysiologi
Den cerebrale venøse drenering skjer supratentorielt gjennom to systemer: Det superfisielle system av ascenderende vener, som drenerer til sinus sagittalis superior, og det dype venesystem (vv. thalamostriatae, vv. cerebri internae, v. Galenii), som via sinus rectus drenerer til confluens sinuum (torcular herophili). Blod fra bakre skallegrop dreneres via cerebellære vener til sinus transversus og til det oksipitale venepleksus. Det cerebrale venøse system har ingen veneklaffer, og endring til retrograd rettet blodstrøm er derfor til enhver tid mulig. En lokal blodstrømsobstruksjon vil initialt som regel bli kompensert via omfattende kollateralmuligheter. Ved tiltakende venøs obstruksjon utvikler det seg først venøs stuvning og dermed en økning i intrakranialt blodvolum.
I fall dreneringen blir ytterligere forverret, øker det intrakraniale trykket, noe som klinisk gir seg uttrykk i hodepine, kvalme og brekninger, eventuelt stasepapiller og bevissthetsreduksjon (8). Hvis sinustrombosen propagerer retrograd inn i de tilstrømmende kortikale vener, resulterer dette i utvikling av venøse infarkter, som relativt ofte er hemoragiske. I motsetning til hemoragier ved arterielle blødninger dreier det seg ved venøse hemoragiske infarkter om diapedeseblødninger (blødning fra vener og kapillarer pga. forhøyet transmuralt trykk som følge av den venøse stuvningen). Ved dette stadium av tromboseutviklingen oppstår det gjerne fokale nevrologiske symptomer, som sentrale pareser eller epileptiske anfall (8). Utvikler trombosen seg primært i en kortikal vene, kan initialt fokale nevrologiske symptomer oppstå uten at det samtidig behøver å foreligge tegn til global intrakranial trykkstigning.
Ved venøse tromboser foregår det samtidig protrombotiske og kroppsegne trombolytiske prosesser, og dette forhold, i tillegg til omfattende kollateralmuligheter, er årsaken til de ofte fluktuerende kliniske symptomer. Ved arteriell cerebral iskemi er penumbrasonen, altså det området i hjernen som har redusert blodperfusjon, men som ennå ikke er irreversibelt skadet, vanligvis liten. Ved sinusvenetrombose er store deler av det affiserte hjernevev funksjonelt affisert, men ikke irreversibelt skadet. Med bakgrunn i dette forhold lar det seg forstå at prognosen ved cerebral venetrombose vanligvis er langt bedre enn ved arterielle infarkter.
Kliniske symptomer
Det kliniske bildet ved cerebral venetrombose avhenger av utbredelse, lokalisasjon og aktivitet av den trombotiske prosessen samt omfanget av venøse kollateraler i det enkelte tilfelle (7). Utbredt trombose i en større sinus medfører gjerne generaliserte nevrologiske symptomer som hodepine, intrakranial hypertensjon og påvirket bevissthet. Pasienter med isolert kortikal venetrombose utvikler derimot heller fokale nevrologiske symptomer. Trombose i dype cerebrale vener er sjeldent og manifesterer seg ofte klinisk med redusert bevissthet i kombinasjon med lateraliserte nevrologiske utfall (17). Trombose i disse venene fører gjerne til bilaterale talamiske hemoragiske infarkter. I de fleste tilfeller (65 – 70 %) er symptomdebuten subakutt eller protrahert (10). Ved cerebral venetrombose relatert til graviditet og puerperium er derimot symptomdebuten i så mye som 80 % av tilfellene mer akutt (11). Sjeldnere, i om lag 20 % av tilfellene, er debuten kronisk, med utvikling over mer enn en måned (12). I 70 – 90 % av tilfellene er hodepine debutsymptom (7, 11). For øvrig er det svært varierte symptomer, dog er det fire kliniske hovedvarianter, ifølge Bousser & Barnett (2). Den første og mest vanlige varianten er karakterisert av en kombinasjon av fokale symptomer og tegn som afasi, hemiplegi, hemianopsi og amnesi samt epileptiske anfall. Slike symptomer, spesielt sammen med endret bevissthet, bør gi mistanke om cerebral venetrombose. Den andre hovedvarianten er isolert intrakranial hypertensjon karakterisert av hodepine, papillødem, eventuelt abducensparese og normale CT-funn. I ett materiale (6) fant man denne presentasjonsformen hos 40 % av pasientene med cerebral venetrombose. Ved såkalt benign intrakranial hypertensjon bør således alle pasienter utredes med cerebral MR og venøs MR-angiografi (13).
Subakutt encefalopati karakterisert av redusert bevissthet uten lateraliserte utfall og uten åpenbare tegn til økt interkranialt trykk er den tredje kliniske hovedvarianten. Denne presentasjonsformen er svært villedende, og aktuelle differensialdiagnoser vil ikke sjelden være encefalitt, disseminert intravaskulær koagulasjon, alvorlig endokarditt eller cerebral vaskulitt.
Den fjerde hovedvarianten er sinus cavernosus-trombose, med symptomer i form av protrusio bulbi, chemosis, eventuelt feber og utfall i hjernenervene III, IV, V og VI samt sterkt påvirket allmenntilstand. Mindre dramatiske varianter forekommer. Uvanlige presentasjoner ses, og de sterkt varierende symptomene ved cerebral venetrombose kan gi grunnlag for å overveie bl.a. arterielle slag, abscess, encefalitt, tumor cerebri m.m. Noen pasienter kan utvikle akutt isolert hodepine og nakkestivhet med CT-funn og spinalvæskefunn som gir mistanke om subaraknoidalblødning (6).
Utredning
Bildediagnostikk
Siden den kliniske presentasjon av cerebral venetrombose er svært variert, blir bildediagnostikk viktig for å kunne stille diagnosen tidlig. Computertomografi (CT) er de fleste steder den mest tilgjengelige bildemodalitet ved nevrologiske hastetilstander. CT har imidlertid begrenset sensitivitet ved denne tilstanden og er anslått å gi negativt resultat i opptil 20 % av tilfellene med sinusvenetrombose (14). Sensitiviteten kan bedres med CT-venografi, der venesystemet blir kartlagt med et volumopptak under kontrastinjeksjon (18).
Konvensjonell angiografi med digital subtraksjonsteknikk (DSA) har tidligere vært ansett som gullstandard for påvisning av sinusvenetrombose (19). Siden dette er en invasiv teknikk som ikke gir informasjon om forandringer i hjerneparenkymet, er den i dag lite brukt ved denne problemstillingen (14). MR er den mest brukte bildeteknikk ved klinisk mistanke om cerebral venetrombose (18). I motsetning til DSA-metoden er den ikke-invasiv, og den viser bedre enn CT både selve tromben og hjerneparenkymforandringer sekundært til tromben. Ved spørsmål om cerebral venetrombose vil man i tillegg til standard bildeserier også gjøre venøs MR-angiografi. Diffusjonsvektede sekvenser vil være nyttig for å påvise utvikling av venøse infarkter. Såkalte hemosekvenser (gradientekko) er følsomme for blodprodukter og er velegnet for å påvise hemoragiske områder i venøse infarkter.
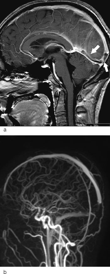
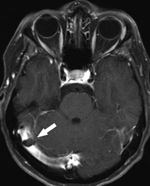
Et typisk bildediagnostisk tegn ved cerebral venetrombose er en fyllingsdefekt i venesinus (fig 1). Disse fyllingsdefektene er hypertette på CT. I sinus sagittalis superior vil fyllingsdefekten ofte ha en trekantet form. På MR vil signalet i tromben variere med alderen (fig 2). Trombene kan også strekke seg retrograd fra venesinus og inn i de kortikale venene. Sekundære forandringer til sinusvenetrombose er hjerneødem og venøse infarkter, typisk beliggende subkortikalt og kortikalt (fig 3). I motsetning til arterielle infarkter vil de venøse ikke følge forsyningsområdene for de store cerebrale arteriene, en annen forskjell er større ødem ved venøse infarkter (18). Venøse infarkter vil ofte være hemoragiske, og på såkalte hemosekvensbilder vil man se blodproduktene som områder med lavt signal.
Ved bildediagnostikk av cerebral venetrombose er det viktig å være oppmerksom på noen fallgruber. Det er en betydelig grad av anatomiske variasjoner i de durale venesinuser, dette gjelder særlig i sinus transversus. Hos vel to tredeler av alle mennesker er høyre sinus transversus større enn venstre. Sinus transversus er hypoplastisk eller manglende på den ene siden hos nær en tredel, vanligvis på venstre side. En manglende fremstilling av sinus transversus må derfor ikke uten videre tolkes som en okklusjon fremkalt av trombe (fig 4). Pacchioni-granulasjoner i venesinuser er en normalvariant (19). Disse granulasjonene kan bli opptil et par centimeter og delvis okkludere venesinus (fig 4). De kan skilles fra tromber ved at de har en typisk lokalisasjon ved innmunningen av Labbes vene i sinus transversus og ved at signalmønsteret er annerledes.
Andre undersøkelser
Spinalvæskeundersøkelse er påkrevd hos febrile pasienter med tanke på bakteriell meningitt, eventuelt encefalitt, likeledes hos pasienter med symptomer forenlig med idiopatisk intrakranial hypertensjon for måling og reduksjon av cerebrospinalvæsketrykket, ikke minst når visus er truet (7). Mistanke om cerebral venetrombose gir grunnlag for omfattende laboratoriemessig utredning, inklusive bestemmelse av antinukleære antistoffer (ANA, revmatoid faktor, serum-proteinelektroforese, antifosfolipidantistoffer) og utredning med tanke på tilstander med kongenital trombofili.
Det eksisterer intet konsistent laboratoriemessig avvik som antyder tilstedeværelsen av cerebral venetrombose, med unntak av en signifikant økning av D-dimer. Normal D-dimer utelukker imidlertid ikke tilstanden. En D-dimerverdi under 0,5 mg/l gjør imidlertid diagnosen lite sannsynlig (20). D-dimer synes uansett å ha størst nytte hos pasienter med symptomvarighet < 2 uker.
Prognose
Før introduksjonen av angiografi ble cerebral venetrombose hovedsakelig diagnostisert ved autopsi, og tilstanden ble gjennomgående oppfattet som letal. I tidlige angiografiserier ble det angitt en dødelighet på 30 – 50 % (21). Årsaken til fortsatt høy dødelighet i de tidlige angiografiseriene var sannsynligvis for det første at de lette tilfellene forble udiagnostiserte så lenge kun diagnostisk angiografi var tilgjengelig, for det andre muligvis mangelfull behandling (22). I senere pasientserier er dødeligheten lavere, den varierer fra 6 % til 38 % (11, 23, 24). I The International Study of Cerebral Vein Thromboses (ISCVT) lå den hos de 624 inkluderte pasientene på rundt 8 % (25). Forhold relatert til dårlig prognose var affeksjon av dype cerebrale sinuser, koma, hemiparese, store intracerebrale hemoragiske infarkter, pasientens alder (barn og eldre) samt underliggende årsak (kreft eller andre nevrologiske lidelser).
Prognosen er vanligvis god for pasienter som overlever med full restitusjon i vel 80 % av tilfellene i én serie (26). Residivraten var også lav (11,7 %), og de fleste residivene utviklet seg i løpet av det første året. Residivraten hva gjelder svangerskapsrelaterte cerebrale venetromboser er i retrospektive studier (26, 27) også lav. Disse data gir derfor ikke grunnlag for å fraråde fremtidig graviditet hos kvinner som har gjennomgått cerebral venetrombose i svangerskapet.
Behandling
Antikoagulasjonsbehandling med heparin for pasienter med cerebral venetrombose ble første gang anbefalt for ca. 50 år siden. I flere tiår etter dette har det imidlertid hersket skepsis til bruk av antikoagulanter ved denne lidelsen, og da spesielt i de tilfeller der det påvises hemoragiske lesjoner. I løpet av de siste to decennier har det imidlertid vært en stadig økende anvendelse av heparin ved cerebral venetrombose. Optimismen vedrørende denne behandlingen baserte seg initialt på dramatisk bedring i enkelttilfeller umiddelbart i tilslutning til påbegynt heparinbehandling, men også på den gode prognosen hos heparinbehandlede som ble observert i større retrospektive studier (28).
Resultatene i retrospektive studier ble bekreftet i den første randomiserte prospektive studien (23), der man sammenliknet dosejustert intravenøs heparin og placebo. Studien ble stoppet etter 20 inkluderte pasienter på grunn av dramatisk forskjell mellom de to gruppene. Åtte pasienter i heparingruppen, mot bare én i placebogruppen, ble fullstendig restituert. Ingen i heparingruppen døde, det gjorde tre i placebogruppen. Resultatene av denne studien var oppsiktsvekkende og dannet utgangspunkt for en ny studie (24), hvor pasienter ble randomisert til behandling med lavmolekylært heparin eller placebo. Resultatene viste at det hyppigere var godt sluttresultat hos pasienter som fikk antikoagulasjonsbehandling, men forskjellen var ikke statistisk signifikant.
Et viktig poeng var at antikoagulasjonsbehandling viste seg å være sikkert selv hos pasienter med hemoragiske infarkter (ingen nye symptomatiske cerebrale blødninger, ett tilfelle av gastrointestinal blødning i behandlingsgruppen). Resultatene i denne studien nådde riktignok ikke statistisk signifikans, ikke desto mindre viste en metaanalyse (29) av disse to studiene at resultatene klinisk i aller høyeste grad er meningsfulle. Sammenholdt med heparinbehandlingens sikkerhet og lidelsens uforutsigbare prognose støtter de anvendelse av heparin som førstehåndsbehandling ved cerebral venetrombose (16).
I de fleste behandlingsstudier har antikoagulasjonsbehandling med ufraksjonert heparin vært anvendt. Noen anvender lavmolekylært heparin (i standard behandlingsdoser), både fordi det er en enklere behandling, men også på grunn av stoffets bedre farmakokinetiske egenskaper samt at det sjelden er assosiert med trombocytopeni. I de tilfellene der man kan frykte nødvendigheten av kirurgisk behandling, vil ufraksjonert heparin være fordelaktig, fordi effekten av stoffet forsvinner raskt. Man etterstreber da en cefotestverdi på 2 – 2,5 ganger utgangsverdien (30). Optimal varighet av heparinbehandling er ikke bestemt, men vanligvis går man over til peroral antikoagulasjonsbehandling etter få dagers heparinbruk, ikke minst for å redusere risikoen for heparinindusert trombocytopeni. Warfarinbehandlingen doseres med sikte på en INR-verdi på 2,0 – 3,0. Det foreligger ikke kontrollerte data hva gjelder varigheten av peroral antikoagulasjonsbehandling, men seks måneder er vanligvis anbefalt (31). Hos pasienter hvor det påvises en spesifikk underliggende årsak til trombosen, vil det være naturlig med langvarig, eventuelt livslang behandling.
Rasjonalet for trombolytisk behandling er rask rekanalisering av det tromboserte karet for slik å stoppe klinisk forverring. I flere kliniske serier er det rapportert om meget god effekt ved direkte endovaskulær trombolytisk behandling (32). I disse seriene har både urokinase og vevsplasminogenaktivator vært anvendt som trombolytikum. I en metanalyse av 72 artikler konkluderes det med at det ikke er sikker kunnskap om positiv effekt av rutinemessig bruk av trombolytisk behandling hos pasienter med cerebral venetrombose (33). Forfatterne poengterer at det er et sterkt behov for randomiserte, kontrollerte studier. Ikke desto mindre er mange av den oppfatning at kateterbasert, endovaskulær trombolytisk behandling bør vurderes i alvorlige tilfeller der det blir forverring av tilstanden på tross av antikoagulasjonsbehandling (34).
Avslutning
Cerebral venetrombose forekommer hyppigere enn tidligere antatt. De kliniske symptomene kan variere mye, men subakutt hodepine, gjerne kombinert med fokale nevrologiske symptomer, er hyppigste manifestasjonsform. Cerebral MR kombinert med venøs MR-angiografi bør gjennomføres ved mistanke om cerebral venetrombose. Tilstanden krever omfattende utredning, blant annet med tanke på kongenitale og akkvirerte former for trombofili.
Antikoagulasjonsbehandling med heparin/lavmolekylært heparin er i dag den foretrukne terapi, også hos pasienter med hemoragiske infarkter. Ved forverring av tilstanden på tross av adekvat antikoagulasjonsbehandling bør kateterbasert endovaskulær trombolyse vurderes i alvorlige tilfeller. Ved tidlig diagnose og adekvat behandling er prognosen vanligvis god.
Oppgitte interessekonflikter: Ingen
Hovedbudskap
-
Det er svært varierte symptomer ved cerebral venetrombose. Subakutt hodepine er vanligste debutsymptom
-
Cerebral MR kombinert med venøs MR-angiografi er viktigste bildediagnostiske utredning
-
Antikoagulasjon med heparin/lavmolekylært heparin anses i dag som førstehåndsbehandling
- 1.
Ribes MF. Des recherches faites sur la phlébite. Revue Médicale Française et Étrangère et Journal de Clinique de L"Hôtel-Dieu et de la Charité de Paris 1825; 3: 118.
- 2.
Bousser M-G, Barnett HJM. Cerebral venous thrombosis. I: Barnett HJM, Mohr JP, Stein BM et al, red. Stroke: pathophysiology, diagnosis, and management. 3. utg. Philadelphia: Churchill Livingstone, 1998: 623 – 44.
- 3.
Broderick JP. Cerebral venous thrombosis. I: Feldman E, red. Current diagnosis in neurology. St. Louis: Mosby, 1994: 74 – 9.
- 4.
Kasner SE, Morales X, Broderick JP. Clinical summary: cerebral venous thrombosis. I: Gilman S, red. MedLink Neurology. San Diego: MedLink, 2006.
- 5.
Ehlers H, Courville CB. Thrombosis of internal cerebral veins in infancy and childhood. Review of literature and report of five cases. J Pediatr 1936; 8: 600 – 23.
- 6.
Ameri A, Bousser MG. Cerebral venous thrombosis. Neurol Clin 1992; 10: 87 – 111.
- 7.
Masuhr F, Mehraein S, Einhäupl K. Cerebral venous and sinus thrombosis. J Neurol 2004; 251: 11 – 23.
- 8.
Einhäupl KM, Mehraein S. Sinus und Hirnvenenthrombose. I: Hopf HC, Deuschl G, Diener HC et al, red. Neurologie in Praxis und Klinik. Stuttgart: Georg Thieme Verlag, 1999: 399 – 402.
- 9.
Bousser MG, Chiras J, Bories J et al. Cerebral venous thrombosis – a review of 38 cases. Stroke 1985; 16: 199 – 213.
- 10.
Villringer A, Mehraein S, Einhäupl KM. Pathophysiological aspects of cerebral sinus venous thrombosis (SVT). J Neuroradiol 1994; 21: 72 – 80.
- 11.
Cantú C, Barinagarrementeria F. Cerebral venous thrombosis associated with pregnancy and puerperium. Review of 67 cases. Stroke 1993; 24: 1880 – 4.
- 12.
Bousser M-G. Cerebral venous thrombosis. I: Fisher M, Bogousslavsky J, red. Cerebrovascular disease. 3. utg. Philadelphia: Butterworth-Heinemann, 1999: 130 – 5.
- 13.
Farb RI, Vanek I, Scott JN et al. Idiopathic intracranial hypertension: the prevalence and morphology of sinovenous stenosis. Neurology 2003; 60: 1418 – 24.
- 14.
Renowden S. Cerebral venous sinus thrombosis. Eur Radiol 2004; 14: 215 – 26.
- 15.
Makris M. Hyperhomocysteinemia and thrombosis. Clin Lab Haematol 2000; 22: 133 – 43.
- 16.
Bousser MG. Cerebral venous thrombosis: diagnosis and management. J Neurol 2000; 247: 252 – 8.
- 17.
Erbguth F, Brenner P, Schuierer G et al. Diagnosis and treatment of deep cerebral vein thrombosis. Neurosurg Rev 1991; 14: 145 – 8.
- 18.
Connor SE, Jarosz JM. Magnetic resonance imaging of cerebral venous sinus thrombosis. Clin Radiol 2002; 57: 449 – 61.
- 19.
Liang L, Korogi Y, Sugahara T et al. Normal structures in the intracranial dural sinuses: delineation with 3D contrast-enhanced magnetization prepared rapid acquisition gradient-echo imaging sequence. AJNR Am J Neuroradiol 2002; 23: 1739 – 46.
- 20.
Lalive PH, de Moerloose P, Lovblad K et al. Is measurement of D-dimer useful in the diagnosis of cerebral venous thrombosis? Neurology 2003; 61: 1057 – 60.
- 21.
Bousser M-G, Barnett HJM. Cerebral venous thrombosis. I: Mohr JP, Choi DW, Grotta JC et al, red. Stroke: pathophysiology, diagnosis, and management. Philadelphia: Churchill Livingstone, 1994: 301 – 25.
- 22.
von Strupp M, Bähr M. Sinus- und Hirnvenenthrombosen. I: Brandt T, Dichgans J, Diener HC, red. Therapie und Verlauf neurologischer Erkrankungen, 3. utg. Stuttgart: W. Kohlhammer, 1998: 318 – 28.
- 23.
Einhäupl KM, Villringer A, Meister W et al. Heparin treatment in sinus venous thrombosis. Lancet 1991; 338: 597 – 600.
- 24.
de Bruijn SF, Stam J. Randomized, placebo-controlled trial of anticoagulant treatment with low-molecular-weight heparin for cerebral sinus thrombosis. Stroke 1999; 30: 484 – 8.
- 25.
Ferro JM, Canhão P, Stam J et al. Prognosis of cerebral vein and dural sinus thrombosis: results of the International Study on Cerebral Vein and Dural Sinus Thrombosis (ISCVT). Stroke 2004; 35: 664 – 70.
- 26.
Preter M, Tzourio C, Ameri A et al. Long-term prognosis in cerebral venous thrombosis. Follow-up of 77 patients. Stroke 1996; 27: 243 – 6.
- 27.
Mehraein S, Ortwein H, Busch M et al. Risk of recurrence of cerebral venous and sinus thrombosis during subsequent pregnancy and puerperium. J Neurol Neurosurg Psychiatry 2003; 74: 814 – 6.
- 28.
Diaz JM, Schiffman JS, Urban ES et al. Superior sagittal sinus thrombosis and pulmonary embolism: a syndrome rediscovered. Acta Neurol Scand 1992; 86: 390 – 6.
- 29.
Stam J, De Bruijn SF, DeVeber G. Anticoagulation for cerebral sinus thrombosis. Cochrane Database Syst Rev 2002: CD002005.
- 30.
Villringer A, Bousser M-G, Einhäupl KM. Cerebral sinus venous thrombosis. I: Hacke W, Hanley DF, Einhäupl KM et al, red. Neurocritical care. Berlin: Springer-Verlag, 1994: 654 – 60.
- 31.
Bousser M-G, Russel RR. Cerebral venous thrombosis. I: Warlow CP, van Gijn J red. Major problems in neurology. London: Saunders, 1997: 47 – 87.
- 32.
Yamini B, Loch Macdonald R, Rosenblum J. Treatment of deep cerebral venous thrombosis by local infusion of tissue plasminogen activator. Surg Neurol 2001; 55: 340 – 6.
- 33.
Ciccone A, Canhão P, Falcão F et al. Thrombolysis for cerebral vein and dural sinus thrombosis. Cochrane Database Syst Rev 2004: CD003693.
- 34.
Canhão P, Falcão F, Ferro JM. Thrombolytics for cerebral sinus thrombosis: a systematic review. Cerebrovasc Dis 2003; 15: 159 – 66.