Introduction.
Subarachnoid haemorrhage (SAH) causes 3 % of all strokes and is caused by a ruptured cerebral aneurysm in four of five cases. This review article presents an update of knowledge on symptoms, diagnosis and management of SAH.
Material and methods
. This article is based on selected literature and the authors’ clinical experience.
Results and interpretation
. The mortality of SAH is approximately 50 % and one out of three survivors have permanent disabling neurological symptoms. Patients with suspected or diagnosed SAH need urgent examination and treatment. A large randomised multicentre study (International Subarachnoid Aneurysm Trial) suggests that endovascular repair with coiling may be less traumatic than microsurgery. Not all patients are suitable for endovascular treatment, despite new tools like balloon- and stent-assisted coiling. Centres that treat patients with SAH should have both methods available at all hours. The management of these patients involves advanced neuro-intensive care, and co-operation between neurosurgeons, neuroradiologists and neuroanestesiologists.
3 % av alle hjerneslag og opptil 5 % av slagrelaterte dødsfall skyldes subaraknoidalblødning. Insidensen er omkring 100/million/år (1). Nær to av tre rammede er kvinner. Befolkningsstudier viser at dødeligheten ligger på ca. 50 %. Av de overlevende blir en av tre varig avhengig av hjelp i det daglige (1, 2). Hos fire av fem med spontan subaraknoidalblødning er årsaken et intrakranielt aneurisme. Derfor trenger individer med mistenkt eller påvist subaraknoidalblødning rask behandling. Hensikten med denne oversiktsartikkelen er å oppdatere leger om symptomer, diagnostikk og behandling av tilstanden.
Materiale og metode
Artikkelen bygger på utvalgt litteratur samt egne kliniske erfaringer innen nevroradiologi og nevrokirurgi.
Etiologi
Intrakraniale aneurismer utvikler seg ved kardelinger langs hjernens basis. Prevalensen av slike aneurismer antas å være 2 % i Norge. Hvis det foreligger ett aneurisme, er det 20 % risiko for at pasienten har flere. Det er overhyppighet av aneurisme ved cerebral arteriovenøs malformasjon, autosomalt dominant cystisk nyresykdom, coarctatio aortae og visse sjeldne bindevevssykdommer (3). Familiær opphoping av aneurisme og subaraknoidalblødning er risikofaktor hos 5 – 20 %. Røyking, arteriell hypertensjon og stort alkoholforbruk er statistisk signifikante og modifiserbare risikofaktorer (3). Infeksjon kan gi såkalte mykotiske aneurismer, og posttraumatiske aneurismer forekommer. Den årlige risikoen for ruptur av aneurismer sett samlet er 1,5 – 2 % (4), men risikoen varierer med aneurismets størrelse og plassering.
Patofysiologi
Hjernen ligger i et rom med stive grenser – kraniehulen. Den har selv meget små energireserver og trenger adekvat gjennomblødning. Vanlig intrakranialt trykk er < 10 mm Hg. Ved subaraknoidalblødning fra et aneurisme er blødningen arteriell og hjernetrykket øker akutt opp mot arterietrykkets nivå. Plutselig død rammer 10 % av pasientene. Aneurismeblødning observert under angiografi kan vare kun i få sekunder, og det kan forklare hvorfor subaraknoidalblødning ikke innebærer 100 % mortalitet.
Hjernens perfusjonstrykk (CPP) kan beskrives som differansen mellom arterielt blodtrykk (ABP) og intrakranialt trykk (ICP): CPP = ABP ÷ ICP. Hvis hjernens perfusjonstrykk går mot null, inntrer global cerebral iskemi. Bevissthetstapet ved subaraknoidalblødning kan være et resultat av dette. Varigheten av bevissthetstapet er en uavhengig prediktor for prognosen. Iskemitiden er med på å avgjøre utviklingen av nevronskade og sekundært hjerneødem. Det ser ut til at premissene for det videre forløp og muligheten for rehabilitering etterpå blir lagt idet blødningen skjer.
Symptomer og klinisk diagnostikk
Akutt innsettende intens hodepine – «den verste noen gang» – er det klassiske debutsymptom ved subaraknoidalblødning. Men bare to av tre beskriver starten slik – hodepinen kan starte langsomt og bygge seg opp over (oftest få) minutter. En grundig sykehistorie er likevel ikke alltid nok til å skille subaraknoidalblødning fra andre akutte hodepinetilstander (5). 20 % av pasientene har tidligere hatt liknende hodepineanfall. Disse kan ha vært såkalte varselsblødninger (udiagnostisert liten blødning). Blødning forutgått av slike hodepineanfall har dårligere prognose.
Subaraknoidalblødning som skyldes hodeskade og spontan subaraknoidalblødning er stundom vanskelig å skille. Still spørsmålet: Er pasienten syk fordi hun falt, eller falt hun fordi hun ble syk? Ta rede på eventuelle misforhold mellom traume og symptomer, særlig ved påfallende hodepine eller nakkestivhet etter et lett traume.
Ledsagersymptomer
Ledsagersymptomer er vanlig ved subaraknoidalblødning, og disse kan være:
-
Bevissthetsforstyrrelser. Bevissthetstap > 1 t inntreffer hos en av to
-
Akutt forvirringstilstand ledsaget av hodepine, somnolens og irritabilitet
-
Kvalme og oppkast
-
Krampeanfall ses hos 10 – 50 %, og uvanlig sterk postiktal hodepine bør vekke mistanke
-
Fokale nevrologiske tegn ses hos en av tre. Hemiparese som ledsagersymptom tyder på intracerebralt hematom
-
Okulomotoriusparese med utvidet pupill ses ved aneurisme på a. communicans posterior
-
Preretinal blødning ved oftalmoskopi er mer vanlig ved aneurisme enn ved andre typer intrakranial blødning
-
Nakkestivhet er et vanlig tegn ved subaraknoidalblødning, men utviklingen kan ta timer. Manglende nakkestivhet kort etter sykdomsstart utelukker ikke tilstanden. Lett nakkestivhet kan være vanskelig å påvise
Sykehistorie og klinisk undersøkelse kan etterlate usikkerhet om det er subaraknoidalblødning. Det bør være lav terskel for å henvise akutt til CT. Ved negativt eller usikkert CT-resultat er spinalpunksjon indisert (6, 7). Når subaraknoidalt blod brytes ned, vil spinalvæsken være gul etter sentrifugering. Spektrofotometri er en mer følsom metode for å påvise nedbrytningsproduktene oksyhemoglobin og bilirubin. Det bør gå 6 – 12 timer fra debut til spinalpunksjon.
Det finnes ulike systemer for å gradere pasienter, men Hunt & Hess-skalaen er mye brukt (tab 1). Glasgow Coma Scale (GCS) brukes mye innen akuttmedisinen.
Bildediagnostikk
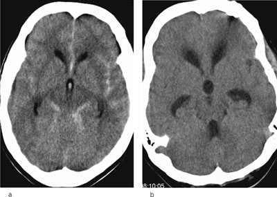
Cerebral CT er den raskeste og mest sensitive metoden for påvisning av subaraknoidalt blod (fig 1a). CT-angiografi med moderne spiral-CT og intravenøs kontrast er den for tiden beste undersøkelse for aneurismepåvisning (6). Cerebral angiografi blir fortsatt gjort der CT-angiografi ikke kan påvise aneurisme. Ved sikker subaraknoidalblødning uten påvist årsak gjøres det ny CT-angiografi etter en uke og, hvis denne er negativ, etter ytterligere 2 – 3 uker.
Subaraknoidalblødning uten aneurisme eller annen påviselig forklaring ses hos 10 – 15 %. Årsaken kan være blødning fra små vener langs de perimesenkefale cisterner. Prognosen er god ved denne typen subaraknoidalblødning, forutsatt at annen årsak er ekskludert angiografisk (7).
Faremomenter
Reblødning
Reblødning fra rumpert aneurisme innebærer en mortalitet på > 50 % og forverret prognose for dem som overlever. Prospektive undersøkelser har vist > 10 – 15 % reblødning det første døgnet, de fleste allerede fire til seks timer etter første blødning (8) – (10). I de følgende fire uker er risikoen i gjennomsnitt 1 – 2 % per dag. Først etter 3 – 12 måneder er faren for reblødning fra et rumpert usikret aneurisme på nivå med risikoen ved aneurismer som aldri har blødd (11).
Aneurismereparasjon forhindrer reblødning. Reparasjonen bør gjøres så raskt som mulig, enten mikrokirurgisk eller endovaskulært, og pasienten bør overflyttes til nevrokirurgisk avdeling så snart vedkommende er respiratorisk og sirkulatorisk stabil.
Intracerebralt hematom og hjerneødem
Hematomer kan være livstruende og kreve kirurgisk avlastning. Samtidig kan det gjøres mikrokirurgisk reparasjon. Hjerneødem gir økt hjernetrykk og er ofte en følge av akutt iskemi.
Hydrocephalus
Hydrocephalus betegner tilstander hvor det er et misforhold mellom produksjon og eliminasjon av cerebrospinalvæske. Subaraknoidalt og/eller intraventrikulært blod blokkerer spinalvæskens passasje mot de steder den kan bli resorbert. Hjerneventriklene vil bli utvidet. Slik akutt hydrocephalus kort tid etter subaraknoidalblødning ses hos 50 % (fig 1b), den kan være livstruende og behandles på kort sikt med ekstern ventrikkeldrenasje. Pasienter som blir verre når drenet stenges kan trenge shuntoperasjon, som er en varig spinalvæskedrenering til for eksempel peritonealhulen.
Hydrocephalus kan også komme mindre akutt – med symptomer på langsom kognitiv restitusjon. Hodepine er ikke noen spesifikk markør for tilstanden, som lett kan overses eller tillegges andre forklaringer. Cerebral CT kan gi mistanke om at hydrocephalus er under utvikling og bør være rutine en og to måneder etter subaraknoidalblødning. Indikasjon for shuntoperasjon er basert på målinger av hjernetrykket (11). Omtrent en av fem individer med subaraknoidalblødning får varig shunttrengende hydrocephalus.
Cerebral perfusjon og vasospasme
Vasospasme betegner i denne sammenheng angiografisk påvist forsnevrede arterier. Patogenesen er fortsatt ikke klarlagt. Nedbrytning av subaraknoidalt blod kan utløse inflammatorisk fortykkelse av selve arterieveggen, samtidig som glatte muskelceller i karveggen blir mindre følsomme for tonusregulerende endoteliner. Hemodynamisk virker vasospasme som en stenose og reduserer det regionale perfusjonstrykket, og når den rammer flere store arterier, øker risikoen for hjerneinfarkt.
Systemiske komplikasjoner
Ved akutt subaraknoidalblødning skjer det en intens aktivering av det sympatiske nervesystem, med akutt perifer vasokonstriksjon og akutt arteriell hypertensjon. Dette kan føre til hjertesvikt (forward failure), EKG-forandringer, rytmeforstyrrelser og asystoli. Myokardinfarkt er derimot ikke vanlig, selv om det kan være fellestrekk ved EKG-forandringene.
Særlig aspirasjonspneumoni er en komplikasjon til bevissthetstapet. Forandringer i koagulasjonsmekanismene med hyperkoagulabilitet disponerer for dyp venetrombose, lungeembolisme og trombose som komplikasjon til kateterprosedyrer. Forstyrrelser i væske-og-elektrolytt-balansen fører til redusert sirkulerende volum og, trolig via forstyrret natriumhusholdning, til økt utskilling av natrium. I forløpet får 15 – 30 % hyponatremi.
Behandling
Behandlingen består av to komponenter: Å ta hånd om de umiddelbare konsekvenser av blødningen og å forhindre ny blødning. Vi har valgt «reparasjon» som generisk betegnelse for inngrep som gir pasienten mekanisk sikring mot reblødning (fig 2). Fra subaraknoidalblødning er påvist til et aneurisme er reparert gis traneksamsyre 1 g intravenøst hver 6. time de første døgnene (8). De fleste aneurismer behandles innen 24 timer, og traneksamsyretilførselen skal avsluttes før behandling.
Mikrokirurgisk reparasjon
Kraniotomien tilpasses aneurismets lokalisasjon. Subaraknoidalt etableres det en kirurgisk korridor. Aneurismet kan være skjørt og innleiret i hinner og hjernevev. Målet er å avskjære aneurismet fra blodsirkulasjonen, rekonstruere naturlig karvegg, endotel mot endotel, samt å unngå at klemmen(e) obstruerer friske arterier (12).
Endovaskulær reparasjon
Man benytter tilgang gjennom arteriesystemet. Tynne katetre fører coilene frem til aneurismet (fig 2a, 2b). Coiler legges inn til man ikke lenger ser sirkulasjon i aneurismet. Metoden ble tatt i bruk i USA i 1991 (13) og i 1992 ved Rikshospitalet, som det første sted i Norden (14). Siden da er over 1 000 aneurismer reparert endovaskulært ved Rikshospitalet, og for tiden blir dette gjort med 60 % av alle aneurismer. Metoden utvikles stadig. Ballongstøtte ved bred aneurismehals ble introdusert av Moret og medarbeidere (15). Intrakraniale stenter har utvidet mulighetene, stenten danner en permanent forskaling for coilene.
Aneurismeruptur og uønsket obstruksjon av frisk arterie kan komplisere så vel mikrokirurgisk som endovaskulær reparasjon. Ved endovaskulær reparasjon ses kateterrelaterte tromboemboliske komplikasjoner, indusert vasospasme og blødning fra innstikket i a. femoralis. Spesifikt ved mikrokirurgi er mulig mekanisk skade på hjernen, postoperativt hematom, lekkasje av hjernevæske og sårinfeksjon, meningitt og osteomyelitt.
Nevrointensiv behandling og monitorering
Høyteknologiske reparasjonsprosedyrer får ofte mye oppmerksomhet, men er likevel en relativt liten del av et ressurskrevende regime. Selve reparasjonen svarer for 30 % av de totale kostnader ved behandling av pasienter med subaraknoidalblødning, mens intensivbehandling og intermediær behandling utgjør > 50 % (16). Behandling av subaraknoidalblødning stiller store krav til nevrointensivavdelingen og til samarbeidet mellom nevrokirurger, nevroradiologer og anestesileger.
Nedsatt bevissthet er vanlig etter subaraknoidalblødning, også etter at aneurismet er reparert. Pasienten kan være forvirret, urolig, ha dårlig oksygenering, økt hjernetrykk og hydrocephalus. Det trengs sedasjon og overtrykksventilasjon i respirator, det utelukker konvensjonell klinisk undersøkelse. Langvarig respiratorbehandling kan kreve trakeostomi.
Teknisk overvåking og behandling er basert på monitorering av intrakranialt trykk, med kontinuerlig drenasje av hjernevæsken fra sideventrikkelen eller det lumbale subaraknoidalrom.
Via gjentatt CT-undersøkelse kan man holde oppsyn med de intrakraniale morfologiske forhold. Transportable CT-apparater er nå innkjøpt flere steder i utlandet for at kritisk syke pasienter ikke skal trenge tidrøvende og potensielt risikabel transport til og fra røntgenavdelingen (17).
Cerebral vasospasme og hypoperfusjon 5 – 20 døgn etter subaraknoidalblødning kan gi sekundære utfall og hjerneinfarkt. Forebyggende gis kalsiumblokker, nimodipin. Pasientene følges med transkranial doppler. Endovaskulær ballongdilatasjon og nimodipin eller papaverin intraarterielt brukes ved symptomgivende vasospasme.
Hyperdynamisk behandling er også en mulighet. For å optimalisere systemisk blodtrykk og cerebral perfusjon gis klare væsker og kolloider, eventuelt også pressorstoffer. Brukt aggressivt kalles dette regimet «3-H» (hemodilusjon, hypervolemi og hypertensjon). En randomisert studie viste at 3-H-behandling ikke bør gis rutinemessig etter subaraknoidalblødning (18).
Komplikasjoner til intensivbehandling kan være vanskelig å skille fra komplikasjoner til subaraknoidalblødning og operative inngrep. Aggressivt 3-H-regime kan utløse hjertesvikt og lungeødem (18). Pseudomembranøs kolitt er en komplikasjon til langvarig behandling med bredspektret antibiotika.
Livet etter subaraknoidalblødningen
Hos mellom 60 % og 75 % av dem som overlever aneurismeruptur og reparasjon er det et gunstig resultat etter restitusjon. «Gunstig» henspiller her på fysisk funksjon – kognitiv funksjon og livskvalitet er blitt viet mindre oppmerksomhet. Ett år etter subaraknoidalblødningen rapporterte mange godt restituerte individer fortsatt om hodepine, nedsatt konsentrasjon samt symptomer på depresjon og apati (19). Problemene kan være mer uttalt hos kvinner (19). Bak et «gunstig» resultat kan det skjule seg omfattende nevropsykologiske symptomer (20). Når det gjelder høyere kognitive funksjoner, tar restitusjon sannsynligvis minst et år.
En studie ved Rikshospitalet viste at av dem som var i inntektsgivende arbeid før subaraknoidalblødningen, kom 52 % tilbake i jobb. Median sykmeldingslengde var 11 måneder, og mange var først friskmeldt etter to år. Det var ikke noen signifikant forskjell på menn og kvinner. Ingen over 60 år kom tilbake i jobb. Prognosen var dårligere med dårligere klinisk grad, men 35 % av dem med Hunt & Hess-grad 4 – 5 (tab 1) kom tilbake i jobb. Subaraknoidalblødning fra et aneurisme på a. cerebri media innebar dårligere prognose, det kan avspeile overhyppigheten av intracerebralt hematom i gruppen (21).
Kontroll, oppfølging og forebygging
Reparerte aneurismer bør kontrolleres – etter mikrokirurgi med CT-angiografi, i utvalgte tilfeller med konvensjonell angiografi. Gjenværende aneurisme etter kirurgi kan forsøkes coilet. For tiden brukes MR og MR-angiografi ved oppfølging etter endovaskulær reparasjon (22). Blodstrømmen kan etter endovaskulær behandling komprimere coilene (compaction), med residivert sirkulasjon basalt i aneurismet. Gjentatt endovaskulær reparasjon, et kompromiss mellom nytte og risiko, er indisert hos 10 %. Hva komprimering av coilene betyr er likevel uvisst – det mangler kontrollerte studier.
Modifiserbare risikofaktorer inkluderer høyt blodtrykk, røyking og stort alkoholkonsum. Blodtrykket kan behandles og pasienten motiveres til endret livsstil. Risikofaktorer som ikke lar seg modifisere omfatter autosomal cystisk nyresykdom, Ehlers-Danlos’ syndrom type IV og coarctatio aorta (23, 24) samt familiær disposisjon for aneurisme og subaraknoidalblødning. De tre første er relativt entydige diagnoser, og å screene utvalgte individer for aneurisme kan være indisert (3).
Undersøkelser, eksempelvis i forbindelse med traumer, kan avsløre aneurismer som ikke har blødd. Skal et slikt aneurisme bli reparert må gevinsten i form av økte leveår veies mot ulempene: Risiko for varige sekveler etter elektiv reparasjon (25), engstelse ved funn av et lite aneurisme som bare skal følges videre, hva et funn kan bety for forsikringer og sertifikater samt emosjonelle omkostninger ved å kjenne til økt sykdomsrisiko. Blødningsrisikoen er svært lav ved aneurismer < 7 mm, men den varierer noe i forhold til lokalisasjon. Randomiserte studier pågår. Funn av aneurisme krever tid til kommunikasjon med pasient og pårørende, og rådgiving er muligens et ansvarsområde for leger med erfaring i å behandle aneurismer.
Diskusjon
Aneurismets anatomi vist med CT-angiografi danner utgangspunkt når nevrokirurg, nevroradiolog og pasient eller pårørende drøfter metodevalget. Hvis coiling foretrekkes, blir pasienten vanligvis ført rett fra CT-angiografi til intervensjonslaboratoriet og gitt narkose. Intraarteriell angiografi er ikke lenger diagnostisk gullstandard (6).
I en stor international randomisert multisentestudie, ISAT (26), sammenliknet man endovaskulær og mikrokirurgisk reparasjon. I studien var 2 143 pasienter inkludert. De hadde blødning fra aneurismer som var like godt egnet for begge metodene. ISAT-studien ble stoppet da man fant statistisk signifikant forskjell mellom behandlingsgruppene: Ett år etter randomiseringen var 23,7 % av dem som fikk endovaskulær reparasjon døde eller pleietrengende, mot 30,6 % av dem som fikk mikrokirurgi (26, 27). ISAT ble skjellsettende for praksis, særlig i Europa (28). Konsekvensen ved Rikshospitalet er at endovaskulær metode betraktes som første opsjon ved intrakranialt aneurisme. Unntak er brede aneurismer på a. cerebri media samt subaraknoidalblødning med livstruende intracerebralt hematom. Dersom endovaskulær metode ikke fører frem, blir pasienten ført til operasjonsstuen for kraniotomi og mikrokirurgi. En slik strategi for å ta hånd om pasienter med subaraknoidalblødning forutsetter vaktordning for både vaskulær nevrokirurgi og nevrointervensjon, noe Rikshospitalet hatt siden 1998.
I sykehusserier har andelen overlevende som restitueres til et «gunstig» resultat likevel endret seg lite siden 1970-årene (12, 21). Det betyr ikke manglende utvikling på feltet siden da eller at insidensen av subaraknoidalblødning har endret seg, men avspeiler en radikalisering i behandlingen av individer i meget dårlig klinisk tilstand. Siden 1970-årene er antallet pasienter per år ved Rikshospitalet nær fordoblet, og andelen pasienter i meget dårlig tilstand (grad 4 – 5) har økt fra 8 % til 33 %.
Konklusjon
Subaraknoidalblødning krever hurtige og adekvate diagnostiske og terapeutiske tiltak. Kun hurtig reparasjon av et rumpert aneurisme sikrer pasienten mot reblødning. Endovaskulær reparasjon har gitt bedre resultater for pasienter med vanskelig tilgjengelige aneurismer. Prognosen er i stor grad betinget av patofysiologiske forhold i forbindelse med blødningen og tiden kort etter denne.
Oppgitte interessekonflikter: Ingen
Hovedbudskap
-
I fire av fem tilfeller skyldes akutt subaraknoidalblødning aneurisme, og bare 50 % av pasientene har typisk sykehistorie med akutt innsettende hodepine
-
Cerebral CT gir som oftest diagnosen, men spinalpunksjon kan fortsatt være nødvendig
-
10 – 15 % av aneurismer blør på nytt i løpet av de første 24 timer, og kun hurtig reparasjon av rumpert aneurisme sikrer pasienter mot reblødning
-
Ved påvist spontan subaraknoidalblødning gis straks traneksamsyre 1 g intravenøst. Dette gjentas hver 6. time de første døgnene inntil et eventuelt aneurisme er sikret
- 1.
Kloster R. Subaraknoidalblødning i Vestfold. Forekomst og prognose. Tidsskr Nor Lægeforen 1997; 117: 1879 – 82.
- 2.
Ljunggren B, Säveland H, Brandt L et al. Aneurysmal subarachnoid hemorrhage. Total annual outcome in a 1.46 million population. Surg Neurol 1984; 22: 435 – 8.
- 3.
Rinkel GJ. Intracranial aneurysm screening: indications and advice for practice. Lancet Neurol 2005; 4: 122 – 8.
- 4.
Rinkel GJ, Djibuti M, Algra A et al. Prevalence and risk of rupture of intracranial aneurysms: a systematic review. Stroke 1998; 29: 251 – 6.
- 5.
Landtblom AM, Fridriksson S, Boivie J et al. Sudden onset headache: a prospective study of features, incidence and causes. Cephalalgia 2002; 22: 354 – 60.
- 6.
Pedersen HK, Bakke SJ, Hald JK et al. CTA in patients with subarachnoid haemorrhage. Acta Radiologica 2001; 42: 43 – 9.
- 7.
Hynås IA, Kerty E, Nyberg-Hansen R et al. Perimesenkefal subaraknoidalblødning. Tidsskr Nor Lægeforen 1997; 117: 1883 – 4.
- 8.
Hillman J, Fridriksson S, Nilsson O et al. Immediate administration of tranexamic acid and reduced incidence of early rebleeding after aneurysmal subarachoid hemorrhage: a prospective randomized trial. J Neurosurg 2002; 97: 771 – 8.
- 9.
Ohkuma H, Tsurutani H, Suzuki S. Incidence and significance of early aneurysmal rebleeding before neurosurgical or neurological management. Stroke 2001; 32: 1176 – 80.
- 10.
Eide PK. The relationship between intracranial pressure and size of cerebral ventricles assessed by computed tomography. Acta Neurochir (Wien) 2003; 145: 171 – 9.
- 11.
Winn HR, Richardson AE, Jane JA. The long-term prognosis in untreated cerebral aneurysms I. The incidence of late hemorrhage in cerebral aneurysm: a 10-year evaluation of 364 patients. Ann Neurol 1977; 1: 358 – 70.
- 12.
Nornes H, Wikeby P. Results of microsurgical management of intracranial aneurysms. J Neurosurg 1979; 51: 608 – 14.
- 13.
Guglielmi G, Viñuela F, Sepetka I et al. Electrothrombosis of saccular aneurysms via endovascular approach. Part 2: Preliminary clinical experience. J Neurosurg 1991; 75: 8 – 14.
- 14.
Nakstad PH, Bakke SJ, Ormåsen E et al. Nevroradiologisk embolisering. Tidsskr Nor Lægeforen 1994; 114: 2956 – 9.
- 15.
Moret J, Cognard C, Weill A et al. Reconstruction technique in the treatment of wide-neck intracranial aneurysms. Long term angiographic and clinical results. Apropos of 56 cases. J Neuroradiol 1997; 24: 30 – 44.
- 16.
Lindegaard K-F, Bakke SJ, Pedersen HK et al. Impact of Guglielmi detachable coils on economic outcome of treating intracranial aneurysms. Rivista Neuroradiol 2003; 16: 1195 – 200.
- 17.
Gunnarsson T, Theodorsson A, Karlsson P et al. Mobile computerized tomography scanning in the neurosurgery intensive care unit: increase in patient safety and reduction of staff workload. J Neurosurg 2000; 93: 432 – 6.
- 18.
Egge A, Waterloo K, Sjøholm H et al. Prophylactic hyperdynamic postoperative fluid therapy after aneurysmal subarachnoid hemorrhage: a clinical, prospective, randomized, controlled study. Neurosurgery 2001; 49: 593 – 605.
- 19.
Wik KE, Lindegaard K-F, Brunborg B et al. Livet etter akutt subaraknoidalblødning Tidsskr Nor Lægeforen 2005; 125: 152 – 4.
- 20.
Egge A, Waterloo K, Sjøholm H et al. Outcome 1 year after aneurysmal subarachnoid hemorrhage: relation between cognitive performance and neuroimaging. Acta Neurol Scand 2005; 112: 76 – 80.
- 21.
Lindegaard K-F. Er nye metoder for dyre? Mastergradsoppgave. Oslo: Institutt for helseledelse og helseøkonomi, Universitetet i Oslo, 2004.
- 22.
Nome T, Bakke SJ, Nakstad PH. MR angiography in the follow-up of coiled cerebral aneurysms treated with Guglielmi detachable coils. Acta Radiol 2002; 43: 10 – 4.
- 23.
Berg-Johnsen J. Corarctatio aortae og intrakranialt aneurisme. Tidsskr Nor Lægeforen 1984; 104: 2329 – 30.
- 24.
Connolly HM, Huston J, Brown RD jr. et al. Intracranial aneurysms in patients with coarctation of the aorta: a prospective magnetic resonance angiographic study of 100 patients. Mayo Clin Proc 2003; 78: 1491 – 9.
- 25.
Wiebers DO, Whisnant JP, Huston J et al. Unruptured intracranial aneurysms: natural history, clinical outcome, and risks of surgical and endovascular treatment. Lancet 2003; 362: 103 – 10.
- 26.
Molyneux AJ, Kerr RCS, Stratton I et al. International Subarachnoid Aneurysm Trial (ISAT) of neurosurgical clipping versus endovascular coiling in 2143 patients with rupturedintracranial aneurysms: a randomized trial. Lancet 2002; 360: 1267 – 74.
- 27.
Molyneux AJ, Kerr RS, Ly-Mee Y et al. International subarachnoid aneurysm trial (ISAT) of neurosurgical clipping versus endovascular coiling in 2143 patients with ruptured intracranial aneurysm. Lancet 2005; 366: 809 – 17.
- 28.
Kuhn TS. The structure of scientific revolutions. 2. utg.. Chicago: Chicago University Press, 1970: 24 – 26.