Digital volumtomografi av ansiktsskjelettet

    ()

    sporsmal_grey_rgb
    Artikkel

    Digital volumtomografi er en radiologisk teknikk for tredimensjonal fremstilling av anatomiske strukturer og patologiske forandringer i kjeve- og ansiktsområdet. Vi mener den har mange fordeler sammenliknet med konvensjonell computertomografi.

    Høyoppløsnings computertomografi av typen «cone beam computer tomography» (CBCT) er en teknikk som er basert på røntgen transmisjonsprojeksjon av bestemte todimensjonale absorpsjoner. Teknikken kalles også digital volumtomografi (DVT) og ble opprinnelig utviklet for diagnostikk innen dental og maxillofacial radiologi. Metoden kan blant annet gi en presis 3D-avbildning av beinete strukturer i ansiktet uten metallartefakter. På grunn av kompakt størrelse av apparatet, enkel teknisk håndtering og rask undersøkelse er digital volumtomografi et godt diagnostisk redskap innen ansiktstraumatologi og i øre-nese-hals-området. Det er omdiskutert hvorvidt denne CT-metoden har høyere eller lavere stråledose sammenliknet med konvensjonell CT. Roberts og medarbeidere målte en stråledose for fulldose skanning av hodet til å være 92,8 µSv til 206,2 µSv og dermed mindre enn for tilsvarende konvensjonelle CT-undersøkelser (1).

    Figur 1 viser avbildning med digital volumtomografi av en pasient med skuddskader etter innsetting av en stor mengde osteosyntesemateriale. Denne metoden ga en fremstilling uten artefakter, mens tradisjonell CT hadde begrenset nytteverdi pga. metallartefakter og utilfredsstillende 3D-modellering (fig 2).

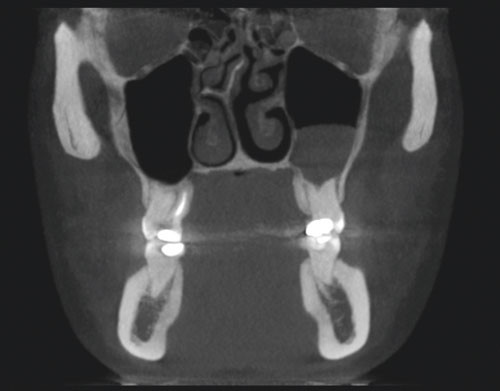
    E-figur 3 og 4 viser CBCT-bilder av anatomiske strukturer i nese, maksille, strupehode og svelg. Det todimensjonale bildet viser retensjonspolypp i venstre maxillarsinus (e-fig 3), men det ble ikke funnet luftveispatologiske forandringer i strupehodet eller svelget (e-fig 4).

    e-fig 3 og e-fig 4 finnes kun i Tidsskriftets nettutgave.

    Kommentarer  ( 0 )
    PDF
    Skriv ut

    Anbefalte artikler