Digital volume tomography of the facial skeleton

    ()

    sporsmal_grey_rgb
    Article

    Digital volume tomography is a radiological technique for three-dimensional imaging of anatomical structures and pathological changes in the maxillofacial area. We believe it has many advantages over conventional computed tomography.

    High resolution computed tomography of the type cone beam computed tomography (CBCT) is a technique based on X-ray transmission projection of specific two-dimensional absorption images. The technique is also called digital volume tomography (DVT) and was originally developed for diagnostics in dental and maxillofacial radiology. The method can be used to produce an accurate 3D image of osseous structures of the face without metal artefacts. Because of the compact size of the equipment, simple technical handling and the rapid examination it offers, digital volume tomography is a good diagnostics tool in facial traumatology and in the ear, nose and throat field. The question of whether the CT method entails a higher or lower radiation dose than conventional CT is a matter of controversy. Roberts et al. measured a radiation dose for full-dose scanning of the head as being 92.8 µSv to 206.2 µSv, and hence less than that used in corresponding conventional CT scanning (1).

    Fig. 1 shows a DVT image of a patient with bullet wounds after the implantation of a large amount of osteosynthetic material. This method resulted in an image without artefacts, whereas traditional CT was of limited use because of metal artefacts and unsatisfactory 3D modelling (Fig. 2).

    Figure 1  CBCT 3D midface reconstruction
    Figure 1 CBCT 3D midface reconstruction
    Figure 2  CT 3D midface reconstruction
    Figure 2 CT 3D midface reconstruction

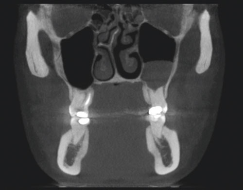
    Figs 3 and 4 show CBCT images of anatomical structures in the nose, maxilla, larynx and throat. The two-dimensional image shows retention polyps in the left maxillary sinus (fig. 3), but no pathological airway changes were found in the larynx or throat (fig. 4).

    Figure 3  Coronal CBCT sections of the skull with fluid in the sinus maxillaris
    Figure 3 Coronal CBCT sections of the skull with fluid in the sinus maxillaris
    Figure 4  CBCT 3D reconstruction of larynx and throat
    Figure 4 CBCT 3D reconstruction of larynx and throat
    Comments  ( 0 )
    PDF
    Print

    Recent Articles