Et nyfødt barn med petekkier

    ()

    sporsmal_grey_rgb
    Artikkel

    Akutt sykdom hos nyfødte krever rask og korrekt behandling. Visse sykdommer i nyfødtperioden er forbundet med svært høy gjentakelsesrisiko ved kvinnens senere svangerskap og fødsler. I slike tilfeller må man vurdere målrettede forebyggende tiltak.

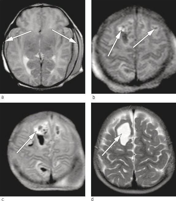
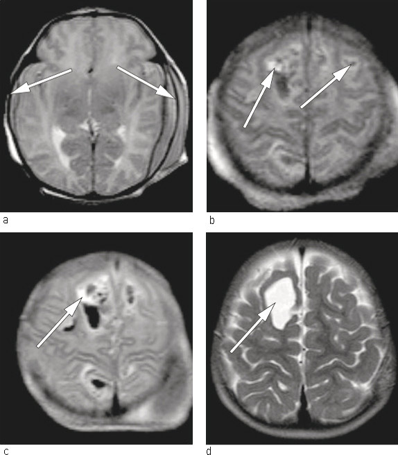
    To friske, ubeslektede foreldre fikk sitt første barn etter et ukomplisert svangerskap. Fødselen skjedde ved svangerskapslengde 39 uker og to dager. Barnet ble født etter akutt keisersnitt pga. occiput posterior, langtrukket fødselsforløp og risvekkelse. Barnet var slapt og blekt ved fødselen, veide 2 740 g og fikk apgarskår 2, 6, 7 etter henholdsvis ett, fem og ti minutter. På grunn av respiratorisk besvær ble hun ventilert ved hjelp av maske og bag de første tre minuttene, deretter med Neopuff (maske-CPAP) i 15 minutter. Det ble observert multiple petekkiale hudblødninger samt hematomforandringer over caput like etter fødselen. Hematologiske prøver viste alvorlig trombocytopeni – 9 · 109 celler/l (145 – 390 · 109 celler/l). Det ble gitt bestrålt trombocyttkonsentrat fra fire tilfeldige givere (15 ml/kg), intravenøs injeksjon av polyklonalt immunglobulin (IVIg) på 0,8 g/kg samt K-vitamin peroralt. Cerebral ultralyd viste parenkymatøs blødning medialt i parietalcortex bilateralt. For nærmere kartlegging ble det utført MR caput, som avdekket bilaterale kortikale og epidurale blødninger (fig 1). Disse ble tolket som ferske. Nevrokirurg anbefalte videre observasjon og konservativ behandling.

    Trombocytopeni påvises hos om lag 1  % av alle nyfødte (1) – (3). Det er vanlig å dele årsakene inn i hovedkategoriene redusert produksjon eller økt destruksjon. Årsaker til redusert produksjon kan være arvelig trombocytopeni, infeksjoner (bakterier, virus, sopp) og toksisk beinmargspåvirkning grunnet legemiddelbruk hos moren. Økt destruksjon kan skyldes immunologiske forhold (auto- eller alloantistoffer), perifert forbruk (hypersplenisme, Kasabach-Merritts syndrom, disseminert intravasal koagulasjon (DIC)) og iatrogene forhold (f.eks. utskiftningstransfusjon). Korrekt diagnose stilles ved hjelp av morens og barnets sykehistorie, grundig klinisk undersøkelse av barnet og laboratorieundersøkelser. Ved alvorlig trombocytopeni, definert som konsentrasjon lavere enn 50 · 109 celler/l, foreligger det som oftest alloantistoffmediert trombocytopeni (4).

    Trombocyttene har mange ulike trombocyttspesifikke antigener (human platelet antigen, HPA) på overflaten, og det er identifisert 13 biallele HPA-systemer. De to allelene i hvert system benevnes a og ba er hyppig og b sjeldent forekommende (5, 6). HPA-1a-antigenet er det viktigste i forbindelse med føtal/neonatal alloimmun trombocytopeni (FNAIT). 98  % av alle kaukasiere har HPA-1a-antigenet i enten dobbel (homozygot) eller enkel (heterozygot) utgave, de resterende 2  % er homozygote for HPA-1b-antigenet – fenotypen er altså HPA-1bb (4). Alloimmunisering med HPA-antigenene kan skje ved uforlikelige svangerskap og, sjeldnere, i forbindelse med transfusjoner.

    Barnets alvorlige medfødte trombocytopeni ga mistanke om antistoffmediert nedbrytning av trombocytter. Det ble derfor tatt blodprøver av foreldre og barn til trombocyttyping og antistoffundersøkelse. Etter transfusjon med trombocytter fra tilfeldig valgte givere var det en beskjeden stigning i trombocyttallet til 22 – 24 · 109 celler/l. Det ble gitt ytterligere to trombocyttransfusjoner, med påfølgende sparsom stigning i trombocyttallet. HPA-1a-negativt trombocyttkonsentrat ble oversendt fra blodbanken ved Oslo universitetssykehus, Ullevål, og transfundert til barnet i løpet av tredje levedøgn. Trombocyttverdien steg da til 124 · 109 celler/l. Trombocyttstigningen var nå klart tydeligere enn ved de foregående transfusjonene fra tilfeldig valgte givere. Dette styrket mistanken om at det forelå føtal/neonatal alloimmun trombocytopeni. Imidlertid falt trombocyttallet gradvis i løpet av de neste 2 – 3 dagene. Barnet fikk derfor ytterligere to transfusjoner med trombocytter av HPA-1a-negativt trombocyttkonsentrat og ytterligere én dose immunglobulin intravenøst i løpet av 4. – 6. levedøgn.

    Da barnet var i sitt 5. levedøgn, forelå det svar på trombocyttypingen. Den viste at moren hadde blodplatetypen HPA-1bb, barnet HPA-1ab og faren HPA-1ab. I morens plasma ble det påvist antistoff med spesifisiteten anti-HPA-1a. Diagnosen føtal/neonatal alloimmun trombocytopeni ble dermed bekreftet. Til tross for transfusjoner med forlikelige trombocytter ble det ikke noen varig normalisering av trombocyttallet de første dagene. Den fjerde dosen med forlikelige trombocytter ble transfundert til barnet da det var sju dager gammelt. Det ble da observert en stigning i trombocyttallet fra 72 · 109 celler/l til 216 · 109 celler/l. Imidlertid så man igjen gradvis fallende trombocyttverdier – fra 216 · 109 celler/l til 63 · 109 celler/l i løpet av de neste fire dagene.

    Kvinner med trombocyttfenotype HPA-1bb kan danne alloantistoff mot HPA-1a i løpet av graviditeten dersom fosteret har arvet HPA-1a-antigenet fra faren. De maternelle alloantistoffene er av IgG-type, kan passere placenta og feste seg til overflaten av fosterets blodplater, som deretter destrueres. Kvinnen vil ha normalt trombocyttall og kan immuniseres i første svangerskap (25  %) eller i forbindelse med forløsningen (75  %). Dermed kan fosteret være affisert i første svangerskap (7). Dette står i kontrast til antistoffmediert hemolytisk sykdom hos nyfødte, der problemet sjelden oppstår i første svangerskap, men oftest i påfølgende uforlikelige svangerskap etter immunisering.

    Ved føtal/neonatal alloimmun trombocytopeni kan fosteret få alvorlig trombocytopeni og blødninger allerede in utero (5,  6). I litteraturen angis insidensen til én per 1 000 – 2 000 (8, 9). Dette innebærer at i Norge blir 30 – 60 nyfødte rammet hvert år. I de fleste tilfeller er ikke tilstanden forbundet med alvorlige blødningskomplikasjoner, men intrakranial blødning opptrer i 7 – 26  % av tilfellene, med neonatal død som følge hos omtrent en tredel av disse (8).

    For å hemme videre antistoffmediert trombocyttnedbrytning ble det utført utskiftningstransfusjon da barnet var ti dager gammelt. Det ble gitt HPA-1bb-trombocyttkonsentrat og immunglobulin intravenøst umiddelbart etter utskiftningstranfusjonen. Første trombocyttverdi etter fullført prosedyre var 249 · 109 celler/l. I løpet av de neste fem dagene falt trombocyttallet igjen gradvis til 98 · 109 celler/l, og siste rest av forlikelige trombocytter ble gitt. Trombocyttverdien steg da til 136 · 109 celler/l og lå etter dette stabilt over 100 · 109 celler/l.

    Etter utskrivning ble barnet fulgt med blodprøver, først hver måned og deretter annenhver måned i et halvt år. Trombocyttverdiene lå hele tiden innenfor normalområdet (326 – 402 · 109 celler/l). MR caput ble gjentatt ved én og 15 måneders alder (fig 1). Barnet har senere vist normal psykomotorisk utvikling og er i dag en frisk femåring.

    Så langt er det ikke i noe land innført screening av gravide med henblikk på identifisering av HPA-1a-negative eller påvisning av anti-HPA-1a-antistoff. Diagnosen føtal/neonatal alloimmun trombocytopeni blir som regel stilt etter utredning av alvorlig trombocytopeni og blødning hos et nyfødt barn. Det innebærer at muligheten for forebyggende tiltak er begrenset til svangerskap der kvinnen tidligere har født et barn med denne diagnosen.

    Etter vel fire år ble kvinnen gravid med parets barn nummer to. Hun ble da fulgt tett gjennom svangerskapet med jevnlige ultralydkontroller og målinger av anti-HPA-1a-antistoffnivå. Hun hadde høye antistoffverdier i første prøve tatt ved 20 ukers graviditet. To uker før forløsningen var anti-HPA-1a-antistoffnivået på over 5 000 arbitrære enheter/ml. (Det er vist at et antistoffnivå hos mor på > 300 enheter/ml gir stor sannsynlighet for trombocytopeni hos barnet (7).)

    Moren ble forløst med keisersnitt i uke 37. Forlikelige trombocytter var i beredskap i tilfelle alvorlig trombocytopeni eller blødning hos barnet. Trombocyttelling i navlestrengsblod fra den nyfødte viste alvorlig trombocytopeni, med et tromobocyttall på 2 · 109 celler/l. HPA-1a-negativt trombocyttkonsentrat ble derfor umiddelbart transfundert til barnet via navlevenekateter, hvorpå konsentrasjonen steg til 57 · 109 celler/l. Videre ble det gitt 0,8 g/kg immunglobulin intravenøst. Umiddelbart etter fødselen ble det observert multiple, ørsmå petekkiale hudblødninger på abdomen og ekstremitetene. Cerebral ultralyd viste ingen tegn til hjerneblødning, og allmenntilstanden var god. I løpet av de neste seks dagene ble det gitt ytterligere to doser med immunglobulin og to transfusjoner med HPA-1a-negativt trombocyttkonsentrat. Nivået av trombocytter sank aldri under 45 · 109 celler/l og lå stabilt over 100 · 109 celler/l etter første leveuke.

    Diskusjon

    Diskusjon

    Vi beskriver her de neonatale sykehistoriene til to søsken med diagnosen føtal/neonatal alloimmun trombocytopeni. Hos det første barnet var diagnosen ikke kjent eller mistenkt før fødselen. Det ble behov for uvanlig intensiv og langvarig behandling, og barnet fikk påvist hjerneblødning. I det neste svangerskapet var diagnosen forventet, og mor og barn fikk tett oppfølging før, under og etter fødselen. Her ble forløpet og utfallet et annet. Barn nummer to hadde også alvorlig trombocytopeni ved fødselen, og morens antistoffnivå under svangerskapet var svært høyt. Dette barnet hadde behov for flere transfusjoner med HPA-1bb (forlikelige) trombocytter. Vi mener det er sannsynlig at tidlig forløsning og rask tilførsel av HPA-1bb-trombocytter og immunglobulin intravenøst hos barn nummer to forhindret organblødning og bremset trombocyttdestruksjonen, slik at forløpet ble mindre alvorlig.

    For barn nummer én var fødselsforløpet frem til operativ forløsning langtrukkent. Den intrakraniale blødningen var fersk på fødselstidspunktet (fig 1). Man kan stille spørsmålet om hvorvidt dette kunne ha vært unngått dersom man hadde kjent til morens trombocyttype og antistoffnivå i svangerskapet og utført keisersnitt 2 – 3 uker før termin med forlikelige trombocytter i beredskap til barnet.

    Det kliniske forløpet ved føtal/neonatal alloimmun trombocytopeni er svært varierende og spenner fra lett redusert trombocyttall med spontan normalisering til alvorlig trombocytopeni med intrakranial blødning og neonatal død. I flere studier er det vist sammenheng mellom antistoffnivået hos moren og trombocyttallet hos barnet (7, 9). I tillegg er det vist at behandling av moren før fødselen med intravenøs injeksjon av polyklonalt immunglobulin og steroider reduserer forekomsten av hjerneblødninger (9, 10).

    Internasjonalt praktiseres ulike tilnærminger ved kjent risiko for føtal/neonatal alloimmun trombocytopeni. Tidligere ble føtal blodprøvekontroll (trombocyttelling) og føtale trombocyttransfusjoner utført, men dette gjøres som hovedregel ikke i dag fordi prosedyren gir stor risiko for blødningskomplikasjoner (11). I Norge er det per i dag sjelden at moren behandles med intravenøs injeksjon av polyklonalt immunglobulin før fødselen, men vi mener det er sannsynlig at dette i fremtiden vil bli anbefalt som standardbehandling hos kvinner som tidligere har født barn med hjerneblødning indusert av føtal/neonatal alloimmun trombocytopeni. Det bør uansett tilbys spesiell oppfølging i senere svangerskap dersom en kvinne har født et barn med denne tilstanden. Slik oppfølging bør etter vår oppfatning bestå av gjentatte analyser og kvantifisering av anti-HPA-1a-trombocyttantistoff samt anbefaling om elektivt keisersnitt 2 – 3 uker før termin, med HPA-1bb-trombocytter i beredskap (fig 2). Alternativt kan man gi trombocytter fra tilfeldige givere kombinert med intravenøs injeksjon av polyklonalt immunglobulin inntil HPA-1bb-trombocytter kan skaffes til veie.

    Det pågår en nasjonal og internasjonal debatt om screening og rutiner for forebygging/behandling (12) – (15). Helsedirektoratet satte i 2008 ned en arbeidsgruppe som skulle vurdere screening for føtal/neonatal alloimmun trombocytopeni. Gruppen gikk ikke inn for innføring av dette, men anbefalte at forskning omkring temaet ble videreført (16). Det foreligger nå planer for å prøve ut profylakse mot immunisering (17, 18). Innføring av slik profylakse vil kreve HPA-1-typing av alle gravide for å identifisere behandlingskandidatene. I tillegg pågår forskning med tanke på å ufarliggjøre antistoffer hos allerede immuniserte mødre (19).

    De to sykehistoriene illustrerer at føtal/neonatal alloimmun trombocytopeni er en alvorlig tilstand som kan opptre i første svangerskap, men hvor muligheten for planlegging av forløsning og neonatal behandling ikke omfatter førstefødte. Korrekt neonatal behandling krever kjennskap til diagnosen for å forhindre komplikasjoner eller begrense dem. Pågående nasjonale og internasjonale studier vil kunne føre til endring i dagens strategi for påvisning, oppfølging og behandling ved føtal/neonatal alloimmun trombocytopeni.

    Pasientenes foresatte har gitt samtykke til at artikkelen blir publisert.

    Kommentarer  ( 1 )
    PDF
    Skriv ut

    Anbefalte artikler