A newborn with petechiae

    ()

    sporsmal_grey_rgb
    Article

    Acutely ill newborns require prompt and correct treatment. Certain neonatal diseases carry a very high risk of recurrence in the woman’s subsequent pregnancies and births. In such cases, targeted preventive measures must be considered.

    Two healthy, unrelated adults had their first baby after an uncomplicated pregnancy. The birth occurred at gestational age 39 weeks and two days. The child was delivered by acute caesarean section because of occiput posterior, protracted delivery and weak contractions. The baby was limp and pale at birth, weighed 2 740 g and had Apgar scores of 2, 6 and 7 after one, five and ten minutes, respectively. Because of respiratory problems she was ventilated with mask and bag for the first three minutes, then with Neopuff (mask CPAP) for 15 minutes. Multiple petechiae and haematomas on the head were observed immediately after birth. Haematological tests revealed severe thrombocytopenia – 9 · 109 cells/L (145 – 390 · 10⁹ cells/L). Irradiated platelet concentrate from four random donors (15 ml/kg), intravenous injection of 0.8 g/kg immunoglobulin (IVIg) and orally vitamin K were administered. Cerebral ultrasound revealed parenchymal haemorrhage medially in the parietal cortex bilaterally. Closer examination in the form of an MRI of the head revealed bilateral cortical and epidural haemorrhages (Fig. 1). These were interpreted as being fresh. The neurosurgeon recommended further observation and conservative treatment.

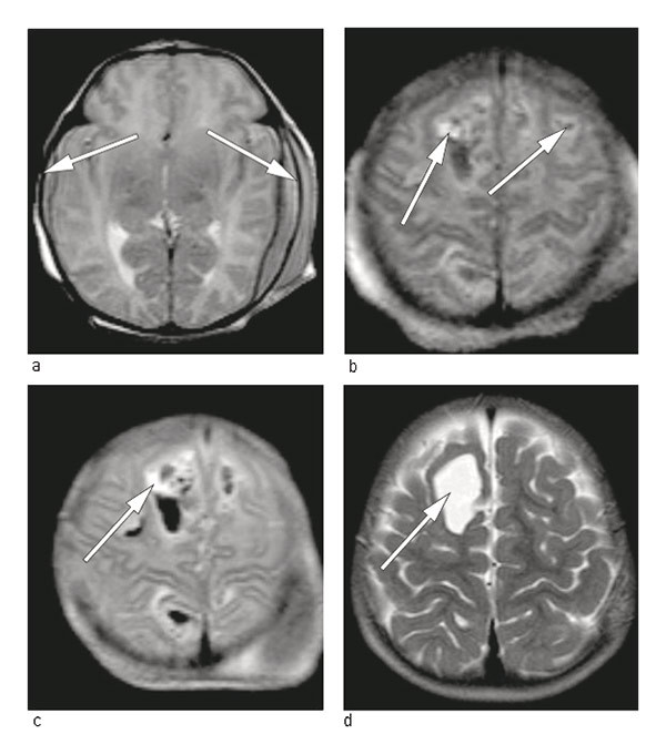
    Figure 1  MRI of head, T2 image with 1.5 Tesla scanner. The images during the first day of life show a) fresh subdural…
    Figure 1 MRI of head, T2 image with 1.5 Tesla scanner. The images during the first day of life show a) fresh subdural haematomas (arrows) and b) mixture of fresh and 3 – 4 day-old intracerebral haematomas (arrows). c) Control after 24 hours shows an increase in the size of one intracerebral haematoma (arrow). d) After 15 months a cavity remains frontally after the largest intracerebral haematoma (arrow)

    Thrombocytopenia is found in about 1  % of all newborns (1) – (3). The causes are usually divided into two main categories: reduced production and increased consumption/destruction. The cause of reduced production may be hereditary thrombocytopenia, infection (bacterial, viral, fungal) or toxic effect on bone marrow due to maternal medication. Increased destruction may be due to immunological conditions (auto- or alloantibodies), peripheral consumption (hypersplenism, Kasabach-Merritt syndrome, disseminated intravasal coagulation (DIC) or iatrogenic factors (e.g. replacement transfusion)). A correct diagnosis is made on the basis of the medical history of mother and child, a thorough clinical examination of the child and laboratory tests. Severe cases of thrombocytopenia, defined as a concentration of less than 50 · 10⁹ cells/l, are most frequently found to be alloantibody-mediated thrombocytopenia (4).

    Platelets have many different platelet-specific antigens (human platelet antigen, HPA) on their surfaces, and 13 biallelic HPA systems have been identified. The two alleles in each system are called a and b; a is common and b is rare (5, 6). HPA-1a immunisation is most often the cause of fetal/neonatal alloimmune thrombocytopenia (FNAIT). 98  % of all Caucasians carry the HPA-1a antigen in either double (homozygous) or single (heterozygous) dose; the remaining 2  % are homozygous for the HPA-1b antigen, i.e. their phenotype is HPA-1bb (4). Alloimmunisation with HPA antigens may occur in connection with incompatible pregnancies or, more rarely, with transfusions.

    The child’s severe congenital thrombocytopenia aroused suspicion of antibody-mediated destruction of platelets. Blood samples were therefore taken of parents and child for platelet-typing and antibody testing. After transfusion of platelets from random donors, there was a modest rise in platelet count to 22 – 24 · 10⁹ cells/L. Two more platelet transfusions were followed by a weak rise in the platelet count. HPA-1a-negative platelet concentrate was sent from the blood bank at Oslo University Hospital, Ullevål and transfused to the child on the third day of life. The platelet count then rose to 124 · 10⁹ cells/L. This rise was significantly more pronounced than the previous transfusions from randomly selected donors, strengthening suspicion of fetal/neonatal alloimmune thrombocytopenia. However, the platelet count gradually fell over the next 2 – 3 days. The child therefore received two further transfusions of HPA-1a-negative platelet concentrate and a further dose of immunoglobulin intravenously in the course of the fourth to sixth days of life.

    The results of the platelet typing arrived on the fifth day, and revealed that the mother had platelet type HPA-1bb, the child HPA-1ab and the father HPA-1ab. Antibodies with anti-HPA-1a specificity were found in maternal plasma. The diagnosis fetal/neonatal alloimmune thrombocytopenia was accordingly confirmed. Despite transfusions of compatible platelets, no permanent platelet count normalisation was observed during the first few days. The fourth dose of compatible platelets was transfused to the child when she was seven days old. A rise in the platelet count was then observed from 72 · 10⁹ cells/L to 216 · 10⁹ cells/L. However, the platelet count was again observed to fall gradually from 216 · 10⁹ cells/L to 63 · 10⁹ cells/L over the next four days.

    Women with platelet phenotype HPA-1bb may produce alloantibodies against HPA-1a in the course of their pregnancy if the fetus has inherited the HPA-1a antigen from its father. The maternal alloantibodies are of type IgG and can cross the placenta and bind to the surface of fetal platelets, which are then destroyed. The woman will have a normal platelet count and may be immunised during her first pregnancy (25  %) or in connection with delivery (75  %). Thus the fetus may be affected in the first pregnancy (7). This is in contrast to antibody-mediated haemolytic disease in neonates, where the problem seldom arises during the first pregnancy, but most often in subsequent incompatible pregnancies after immunisation.

    In fetal/neonatal alloimmune thrombocytopenia the fetus may develop serious thrombocytopenia and haemorrhage already in utero (5, 6). In the literature, the incidence of FNAIT is reported to be one in 1 000 – 2 000 newborns (8, 9). This means that 30 – 60 neonates are affected each year in Norway. In most cases, the condition is not associated with serious haemorrhagic complications, but intracranial haemorrhage occurs in 7 – 26  % of cases, with neonatal mortality in about one third (8).

    In order to inhibit further antibody-mediated platelet destruction, a replacement transfusion was carried out when the child was ten days old. HPA-1bb platelet concentrate and immunoglobulin were administered intravenously immediately after the replacement transfusion. The first platelet count after completion of the procedure was 249 · 10⁹ cells/L. During the next five days the platelet count again fell gradually to 98 · 10⁹ cells/L, and the remainder of compatible platelets was administered. The platelet count then rose to 136 · 10⁹ cells/L and subsequently remained stable at over 100 · 10⁹ cells/L.

    After discharge the child was monitored by means of blood tests, first monthly and then every second month for six months. The platelet count remained consistently within the normal range (326 – 402 · 10⁹ cells/L). A cerebral MRI was repeated at the ages of one and 15 months (Fig. 1). The child has later shown normal psychomotoric development and is now a healthy five year-old.

    Up to the present, no country has introduced screening of pregnant women to identify HPA-1a-negative women or detection of HPA-1bb women with anti-HPA-1a antibodies. As a rule, the diagnosis of fetal/neonatal alloimmune thrombocytopenia has been made after the birth of a baby with severe thrombocytopenia and haemorrhage. This means that the possibility of taking preventive steps is limited to pregnancies where the woman has previously given birth to a child with this diagnosis.

    After more than four years the woman became pregnant with the couple’s second child. She was monitored closely throughout her pregnancy with regular ultrasounds and quantitation of the anti-HPA-1a antibody level. She had a high antibody level in the first test taken in her 20th week of pregnancy. Two weeks before delivery, her anti-HPA-1a-antibody level was more than 5 000 arbitrary units/mL. (It has been shown that a maternal antibody level of > 300 arbitrary units/mL means a high probability of thrombocytopenia in the neonate (7).)

    The mother was delivered by caesarean section in week 37. Compatible platelets were prepared in case of severe thrombocytopenia or haemorrhage in the child. The platelet count in the umbilical blood from the newborn revealed severe thrombocytopenia, with a platelet count of 2 · 10⁹ cells/L. HPA-1a-negative platelet concentrate was therefore immediately transfused to the child via an umbilical vein catheter, whereupon the concentration rose to 57 · 10⁹ cells/L. 0.8 g/kg immunoglobulin was also administered intravenously. Immediately after birth, multiple tiny petechiae were observed on the abdomen and extremities. Cerebral ultrasound showed no signs of cerebral haemorrhage, and the baby's general condition was good. Over the next six days, a further two doses of immunoglobulin were administered and two transfusions of HPA-1a-negative thrombocyte concentrate. The platelet count never fell below 45 · 10⁹ cells/L and remained stable at over 100 · 10⁹ cells/L after the first week of life.

    Discussion

    Discussion

    We have described the neonatal medical histories of two siblings with fetal/neonatal alloimmune thrombocytopenia. The condition was neither known nor suspected in the first child before birth. Unusually intensive and prolonged treatment was required, and cerebral haemorrhage was detected. In the next pregnancy, the condition was expected, and mother and child were closely monitored before, during and after the birth. The course and outcome were different in this case. Child number two also had severe thrombocytopenia at birth, and the maternal antibody level during pregnancy was very high. This child needed several transfusions of HPA-1bb (compatible) platelets. We believe it is likely that early delivery and rapid intravenous administration of HPA-1bb platelets and immunoglobulin to the second child prevented organ haemorrhage and inhibited platelet destruction, and the course was less serious.

    The birth of the first child up until surgical delivery took place was protracted. The intracranial haemorrhage was fresh at the time of birth (Fig. 1). One may wonder whether this could have been avoided if the maternal platelet type and antibody level during pregnancy had been known, and a caesarean section had been performed 2 – 3 weeks before term, with compatible platelets available for the child.

    The clinical course of fetal/neonatal alloimmune thrombocytopenia is variable, and ranges from a slightly decreased thrombocyte count with spontaneous normalisation, to severe thrombocytopenia with intracranial haemorrhage and neonatal death. A correlation between the maternal antibody level and infant platelet count has been demonstrated in several studies (7, 9). It has also been shown that antenatal treatment of the mother with intravenous injection of IVIg and steroids can reduce the incidence of cerebral haemorrhage (9, 10).

    Approaches in the event of known risk of fetal/neonatal alloimmune thrombocytopenia vary from country to country. In the past, fetal blood testing (platelet counts) and platelet transfusions were performed, but as a general rule this is not done today because the procedure entails a high risk of haemorrhagic complications (11). In Norway, mothers are rarely treated with IVIg during pregnancy, but we believe this is likely to be recommended in the future as the standard treatment for women who have previously given birth to babies with cerebral haemorrhage induced by fetal/neonatal alloimmune thrombocytopenia. Special monitoring in the later stages of pregnancy should be offered under any circumstances if a woman has given birth to a child with this condition. In our view this follow-up should consist of repeated analyses and quantification of anti-HPA-1a platelet antibodies and a recommendation for an elective caesarian section 2 – 3 weeks before term, with HPA-1bb platelets available (fig 2). Alternatively, platelets from random donors can be combined with intravenous injection of IVIg until HPA-1bb platelets can be procured.

    Figure 2  Our proposal for diagnosis, treat-ment and further follow-up in con-nec-tion with fetal/neo-natal alloimmune…
    Figure 2 Our proposal for diagnosis, treat-ment and further follow-up in con-nec-tion with fetal/neo-natal alloimmune thrombo-cyto-penia

    There is debate in Norway and internationally on screening and prevention and treatment procedures of FNAIT(12) – (15). In 2008 the Norwegian Directorate of Health appointed a working committee to consider screening for FNAIT. The committee was not in favour of introducing the screening, but recommended further research (16). There are now plans for testing prophylaxis against immunisation (17, 18). The introduction of this prophylaxis will require HPA-1 typing of all pregnant women to identify candidates for treatment. There is also research in progress to neutralise antibodies in mothers who are already immunised (19).

    The two cases illustrate that FNAIT is a serious condition that can occur in the first pregnancy, but planning of delivery and neonatal treatment makes no provision for firstborns. Correct neonatal treatment requires knowledge of the diagnosis to prevent or limit complications. Ongoing Norwegian and international studies may lead to a change in the current strategy for detection, follow-up and treatment of FNAIT.

    The patient’s family have consented to the publication of the article.

    Comments  ( 1 )
    PDF
    Print

    Recent Articles