Alvorlige bivirkninger
Det siste tiåret har mange sett på en mulig sammenheng mellom atypiske frakturer i femurskaftet og bruk av alendronsyre og andre bisfosfonater. Feldstein (1) mener at det er en usikker eller liten sammenheng, med en relativ risiko på 2, mens Schilcher finner en relativ risiko på 47 (2).
Ut ifra kunnskap om biologiske endringer i beinvev under påvirkning av bisfosfonater, bl.a. med nedsatt osteoklastaktivitet og dermed nedsatt remodellering, kan man regne med at frakturene oppstår som følge av at beinets kontinuerlige reparasjonsprosess er mangelfull. Mikrofissurer danner etter hvert større fissurer og ender som fraktur, under betegnelsen atypisk fraktur. Selv om de radiografiske kriteriene for atypisk fraktur og stressfraktur er like, er de patogenetisk helt forskjellige. Stressfrakturer oppstår ved sterk belastning av friske knokler over tid, slik man ser hos idrettsutøvere og militært personale.
Det er bred enighet om at periprotetiske femurfrakturer etter hofteartroplastikk helst behandles med intern fiksasjon (3). Det svenske hofteregisteret rapporterer 34 % svikt av osteosyntesene ved denne frakturtypen. Når frakturene dessuten er atypiske, vil komplikasjonsraten kunne tenkes å bli enda høyere. Atypisk femurfraktur som oppstår periprotetisk, er ikke omtalt tidligere, så vidt vi kan se. Det gir ytterligere økt usikkerhet rundt prognosevurdering og behandlingsvalg.
Spesielt designede plater som gir en dynamisk kompresjon og som tillater at skruene settes vinkelstabilt og med ulik vinkel på platen, sikrer stabiliteten i konstruksjonen, samtidig som implantatet ikke kommer i konflikt med protesekomponenter eller sementmantel. Alternativt kan kabelcerclage erstatte en eller flere skruer. I løpet av det siste tiåret er det også utviklet platesystem som gjør det mulig å koble små endeplater til hovedplaten, proksimalt og/eller distalt, for å dekke hele femurs lengde. Adekvat fiksasjon av frakturen kan oppnås med bruk av disse implantatene, kombinert med strukturelle, kortikale transplantat formet som plater, og dessuten bruk av spongiøse beintransplantat (chips).
Denne behandlingsstrategien ble først implementert i sin helhet ved de kirurgiske revisjonene hos vår pasient og førte til at frakturene omsider helet.
Osteonekrose i kjevene hos pasienter som bruker bisfosfonater ble første gang beskrevet i 2003 (4, 5). Det synes å være en klar sammenheng mellom langvarig bruk av bisfosfonater og kjeveosteonekrose, særlig hos kreftpasienter som har fått bisfosfonater ved infusjon. Bevisene for en slik sammenheng vanskeliggjøres ved at disse pasientene vanligvis har en annen komorbiditet og tar en rekke andre medikamenter som analgetika, steroider og cytostatika. Men det er også rapportert om mange tilfeller med kjeveosteonekrose hos osteoporosepasienter som kun har stått på perorale bisfosfonater (6). Vi har ikke funnet litteratur som omhandler kjeveleddsdestruksjon og langvarig bruk av bisfosfonater. Ettersom bisfosfonatene griper inn i beinets utskiftningsmekanismer bl.a. ved å hemme osteoklastfunksjonen og angioneogenesen (7) er en slik sammenheng ikke usannsynlig.
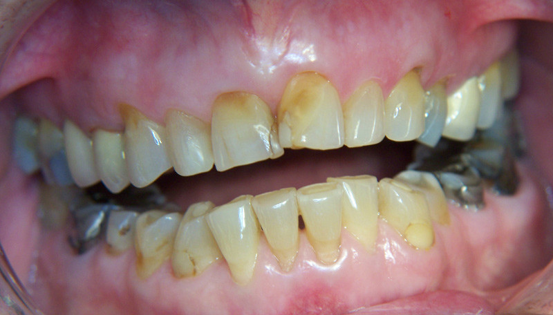
Behandling av bittproblemene hos vår pasient synes å være en stor utfordring, idet bittåpningen er for stor til å la seg korrigere ved bittsliping og protetisk kroneterapi. Ettersom dette synes å være en pågående destruksjonsprosess, er dessuten residiv overveiende sannsynlig etter en slik behandling. Den mest aktuelle behandlingen ville trolig være kirurgisk rekonstruksjon av kjeveleddene med ribbeintransplantat, ev. innsettelse av totalproteser i kjeveledd.
Degenerative kjeveleddslidelser med bittforandringer som beskrevet hos vår pasient, er meget sjeldne hos ellers friske pasienter. Pasienten har ikke vært utsatt for skade eller fått medisinering som kunne tenkes å ha patogenetisk betydning, f.eks. kortikosteroider, annen hormonbehandling, strålebehandling eller cytostatika. Vi anser derfor den langvarige medikasjonen med bisfosfonater som en svært sannsynlig årsak til kjeve- og femurproblemene.
Advarsler om bivirkninger ved bruk av bisfosfonater i form av kjeveosteonekrose og atypiske femurfrakturer ble tatt med i Felleskatalogen først i henholdsvis 2008- og 2010-utgaven. Vår pasient fikk ingen orientering om disse sjeldne, men meget alvorlige tilstandene.
Denne sykehistorien er et varsku og en påminnelse om at når det forskrives medikamenter som har innvirkning på fundamentale biologiske mekanismer, må pasienten følges opp over tid. Det er ikke nok å reiterere resepter.
Her beskriver Skoglund og Hjortdal alvorlige bivirkninger etter langvarig bruk av bisfosfonater (1). Den tyske anatomen Julius Wolff fra Berlin har gitt navn til «Wolff's lov», som uttaler at beinvevet tilpasser seg den belastning det utsettes for ved strukturelle forandringer (2). Slik er skjelettet i en stadig ombygging som forutsetter intakte biologiske prosesser (bl.a osteoklastaktivitet).
Osteoporose med tap av beinmasse er et ledd i aldringen hos de fleste. Således har vi her vanligvis med en fysiologisk prosess å gjøre og ikke noen «sykdom» i utgangspunktet (3). Osteoporosen gjør at knokkelen blir fragil og utsatt for brudd ved lavere kraftpåvirkning enn normalt. Osteoporosen gir også problemer i behandlingen av brudd ved at frakturfiksasjonen er vanskeligere å gjennomføre ved operativ behandling, særlig ved brudd i de vektbelastende knoklene i underekstremitetene (4). Osteoporose kan også være forårsaket av sykelige tilstander, vanligvis av hormonell karakter, eller oppstå iatrogent ved behandling med forskjellige medikamenter.
Den postmenopausale osteoporosen hos kvinner forsterkes av den senile osteoporosen i alderdommen, som forekommer hos begge kjønn, i varierende grad. En av hovedårsakene til osteoporosen, både i menopausen og i alderdommen, er tap av muskelmasse og manglende belastning. Dette forstyrrer knokkeltransformasjonen.
Det at man, for å øke kalkinnholdet i beinvevet (særlig spongiøst beinvev), i tiltagende grad anbefaler bruk av såkalte «osteoklasthemmere» synes jeg er betenkelig. Tiltagende ukritisk bruk av «osteoklasthemmere» i form av bisfosfonater gir grunn til bekymring. Ved at man hemmer osteoklastene, fratar man naturen mulighetene til å tilpasse seg forskjellige belastninger gjennom strukturelle forandringer. Man øker det målbare kalkinnholdet, men reduserer kvaliteten i beinvevet (særlig styrken i de lange rørknoklene) (5).
Gjennom de siste 15 årene er det kommet betydelig kunnskap om de negative følgene av langvarig behandling av osteoporose, uten at dette er blitt ofret særlig oppmerksomhet i Helse-Norge (6). Bisfosfonater må benyttes med stor forsiktighet, og foreskrivningen av slike medikamenter bør forbeholdes spesialisthelsetjenesten.
Bare i årene mellom 1998 og 2009 behandlet vi ved ortopedisk avdeling på tidligere Aker universitetssykehus (nå Oslo universitetssykehus) mer enn 10 pasienter for atypiske proksimale lårbeinsbrudd. Alle var blitt behandlet med bisfosfonater pga målt redusert kalkinnhold. Noen hadde bruddhistorikk ved lavenergitraume, men det var også yngre pasienter som hadde fått slik behandling på grunn av opplysninger om osteoporose (med og uten bruddhistorikk) i familieanamnese. Ukritisk bruk av bisfosfonater vil øke forekomsten av slike brudd. Jeg mener Felleskatalogen bør være klarere på dette området.
Litteratur
1. Skoglund K, Hjortdal O. Femurfraktur og kjeveleddsdestruksjon etter bruk av bisfosfonater. Tidsskr Nor Legeforen - Publisert først på nett 16. januar 2015 doi: 10.4045/tidsskr.14.1108
2. Wolff J. Das Gesetz der Tranformation der Knochen. Verlag von August Hirschwald. Berlin 1892
3. Strømsøe K, Høiseth A. «Osteoporose» og fysiologisk variasjon. Tidsskr Nor Lægeforen 2006; 126:483
4. Strømøse K. Fracture Fixation Problems in Osteoporis. Injury 2004 Feb;35(2):107-13.
5. Ettinger B. Burr DD, Ritchie RO. Proposed pathogenesis for atypical femoral fractures: Lessons from material research. Bone 2013;55(2)495-500.
6. Jørg Schiller. Epidemiology, radiology and histolog of atypical femroal fractures. Acta Orthop Scand. Suppl no 352, Vol 84, Dec.2013
I Tidsskriftet nr. 2 2015 rapporterer Skoglund og Hjortdal en pasient med atypisk femurfraktur og kjeveleddsdestruksjon, og antyder kausal sammenheng mellom bisfosfonatbruk og sistnevnte bivirkning (1). Jeg er ikke enig i konklusjonene i denne artikkelen.
Frakturlinjen ved atypiske frakturer er oftest helt horisontal eller viser en vinkling på maksimalt 30 grader (2). Figur 1 i artikkelen viser imidlertid en frakturlinje som har en vinkel som er over 30 grader, slik at jeg ikke mener den kan klassifiseres som atypisk. Jeg mangler også i den forbindelse opplysninger om skjelettstatus hos denne pasienten med multiple brudd. Hadde den langvarige bisfosfonatbehandling hatt effekt eller var pasienten fortsatt osteoporotisk? Hvis sistnevnte var tilfellet, burde man ha overveiet osteoanabol terapi med PTH, som pasienten kunne få på blå resept.
Forfatterne beskriver også degenerative forandringer i kjeveleddet og drar en parallell til kjeveosteonekrose. Sistnevnte tilstand er imidlertid primært assosiert med manglende tilheling av mucosalesjoner etter invasive inngrep i munnhulen, slik at patogenesen er helt forskjellig fra leddassosierte degenerative lidelser, hvor leddbrusken er involvert.
Ved flere høringsrunder i både U.S. Food and Drug Administration (FDA) og European Medicines Agency (EMEA) har man vurdert sikkerheten for bisfosfonatbehandling og funnet at risk/benefit ratio fortsatt er positiv (3, 4). Risikoen for kjeveosteonekrose og atypiske femurfrakturer hos pasienter som bruker bisfosfonater for osteoporose er mindre enn 1/10 000 (5, 6).
Ved ensidig å fokusere på sjeldne bivirkninger uten å sette dem i relasjon til de positive virkninger av bisfosfonater (f.eks. 70% reduksjon i ryggbrudd, 41% reduksjon av hoftebrudd og 28% reduksjon i mortalitet etter hoftebrudd) (7, 8), forvirrer man både kolleger og pasienter. Her har man ytterligere definert en ny bivirkning som jeg ikke mener man har belegg for. Pasienter i bisfosfonatbehandling skal selvfølgelig kontrolleres regelmessig, og en bør pausere med bisfosfonater når T-score i rygg og hofte er over -2,5, hvilket synes å redusere risiko for bivirkninger (9, 10).
Litteratur
1. Skoglund K, Hjortdal O. Femoral fracture and temporomandibular joint destruction following the use of bisphosphonates. Tidsskrift for den Norske laegeforening : tidsskrift for praktisk medicin, ny raekke. 2015;135(2):116-7.
2. Schilcher J, Koeppen V, Ranstam J, Skripitz R, Michaelsson K, Aspenberg P. Atypical femoral fractures are a separate entity, characterized by highly specific radiographic features. A comparison of 59 cases and 218 controls. Bone. 2013;52(1):389-92.
3. FDA. FDA Drug Safety Podcast for Healthcare Professionals: Safety update for osteoporosis drugs, bisphosphonates, and atypical fractures 2013. Available from: http://www.fda.gov/Drugs/DrugSafety/DrugSafetyPodcasts/ucm229800.htm.
4. CHMP. Assessment report on bisphosphonates and osteonecrosis of the jaw 2009. Available from: http://www.ema.europa.eu/docs/en_GB/document_library/Report/2010/01/WC500051428.pdf.
5. Shane E, Burr D, Ebeling PR, Abrahamsen B, Adler RA, Brown TD, et al. Atypical subtrochanteric and diaphyseal femoral fractures: report of a task force of the American Society for Bone and Mineral Research. Journal of bone and mineral research : the official journal of the American Society for Bone and Mineral Research. 2010;25(11):2267-94.
6. Khosla S, Burr D, Cauley J, Dempster DW, Ebeling PR, Felsenberg D, et al. Bisphosphonate-associated osteonecrosis of the jaw: report of a task force of the American Society for Bone and Mineral Research. JBone MinerRes. 2007;22(10):1479-91.
7. Black DM, Delmas PD, Eastell R, Reid IR, Boonen S, Cauley JA, et al. Once-yearly zoledronic acid for treatment of postmenopausal osteoporosis. NEnglJMed. 2007;356(18):1809-22.
8. Lyles KW, Colon-Emeric CS, Magaziner JS, Adachi JD, Pieper CF, Mautalen C, et al. Zoledronic Acid in Reducing Clinical Fracture and Mortality after Hip Fracture. NEnglJMed. 2007;357:nihpa40967.
9. Schilcher J, Michaelsson K, Aspenberg P. Bisphosphonate use and atypical fractures of the femoral shaft. NEnglJMed. 2011;364(18):1728-37.
10. Cosman F, Cauley JA, Eastell R, Boonen S, Palermo L, Reid IR, et al. Reassessment of fracture risk in women after 3 years of treatment with zoledronic acid: when is it reasonable to discontinue treatment? The Journal of clinical endocrinology and metabolism. 2014;99(12):4546-54.
Forfatternes svar til Erik Fink Eriksen kan leses her: http://tidsskriftet.no/article/3353532