Serious adverse effects
In the last decade, many researchers have examined a possible association between atypical fractures of the femoral shaft and use of alendronic acid and other bisphosphonates. Feldstein (1) believes that the association is uncertain or small, with a relative risk of 2, whereas Schilcher reports a relative risk of 47 (2).
Based on knowledge of biological changes in bone tissue under the influence of bisphosphonates, for example with reduced osteoclast activity and thereby reduced bone remodelling, it may be assumed that the fractures occur as a result of deficiency in the bone’s process of continuous repair. Microfissures gradually form larger fissures and end as fractures, termed atypical fractures. Although the radiographic criteria for atypical fractures and stress fractures are similar, they are pathogenically quite different. Stress fractures occur when there is heavy strain on healthy bones over time, as in the case of athletes and military personnel.
It is widely agreed that the optimal treatment for periprosthetic femoral fractures following hip arthroplasty is internal fixation (3). The Swedish Hip Arthroplasty Register reports a 34 % failure rate of osteosynthesis for this type of fracture. When, in addition, the fractures are atypical, the rate of complications may conceivably be even higher. Atypical femoral fracture that occurs periprosthetically has, to our knowledge, not been discussed previously. This further increases the uncertainty with regard to prognostic assessment and choice of treatment.
Specially designed plates that provide dynamic compression and permit angle-stable placement of the screws at different angles on the plate ensure structural stability and prevent the implant from coming into conflict with prosthetic components or the cement mantle. Alternatively, cerclage cable can replace one or more of the screws. In the last decade, a plate system has also been developed that makes it possible to connect small end plates to the main plate, proximally and/or distally, to cover the entire length of the femur. Adequate fixation of the fracture can be achieved using these implants combined with structural, cortical transplants shaped like plates, and use of cancellous bone transplants (bone chips).
This treatment strategy was first implemented in its entirety when the surgical revisions were performed on our patient, and eventually resulted in healing of the fractures.
Osteonecrosis of the jaw in patients using bisphosphonates was first described in 2003 (4, 5). There appears to be a clear association between long-term use of bisphosphonates and osteonecrosis of the jaw, particularly in cancer patients who have received bisphosphonates intravenously. Evidence for this association is complicated by the fact that these patients usually have another comorbidity and take a number of other drugs such as analgesics, steroids and cytostatics. However, many cases of osteonecrosis of the jaw have also been reported in osteoporosis patients who have relied solely on peroral bisphosphonates (6). We have found no reports dealing with temporomandibular joint destruction combined with long-term use of bisphosphonates. Since bisphosphonates interfere with the metabolic mechanisms of bone, such as inhibition of osteoclast function and angioneogenesis (7), this association is not improbable.
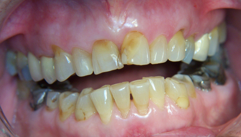
Treatment of the bite problems in our patient appears to represent a significant challenge, in that the bite opening is too large to be corrected by dental contouring and prosthetic crown therapy. Since this appears to be an ongoing process of destruction, there is also a high probability of recurrence after this type of treatment. The most appropriate treatment would presumably be surgical reconstruction of the temporomandibular joint with rib transplants, possibly with total prosthetic replacement of the joint.
Degenerative disorders of the temporomandibular joint with changes in bite as described in our patient are very rare in otherwise healthy patients. The patient has not been exposed to injury or received medication that could conceivably be of pathogenic significance, such as corticosteroids, other hormone treatment, radiotherapy or cytostatics. We therefore consider long-term medication with bisphosphonates to be a very probable cause of her jaw and femur problems.
Warnings of the adverse effects of bisphosphonate use in the form of osteonecrosis of the jaw and atypical femoral fractures were included in the Norwegian National Drug Catalogue for the first time in the 2008 and 2010 editions, respectively. Our patient received no information about these rare, but very serious conditions.
This case history serves as a warning and a reminder that when drugs are prescribed that interfere with fundamental biological mechanisms, the patient must be monitored over time. It is not sufficient to reiterate prescriptions.
Her beskriver Skoglund og Hjortdal alvorlige bivirkninger etter langvarig bruk av bisfosfonater (1). Den tyske anatomen Julius Wolff fra Berlin har gitt navn til «Wolff's lov», som uttaler at beinvevet tilpasser seg den belastning det utsettes for ved strukturelle forandringer (2). Slik er skjelettet i en stadig ombygging som forutsetter intakte biologiske prosesser (bl.a osteoklastaktivitet).
Osteoporose med tap av beinmasse er et ledd i aldringen hos de fleste. Således har vi her vanligvis med en fysiologisk prosess å gjøre og ikke noen «sykdom» i utgangspunktet (3). Osteoporosen gjør at knokkelen blir fragil og utsatt for brudd ved lavere kraftpåvirkning enn normalt. Osteoporosen gir også problemer i behandlingen av brudd ved at frakturfiksasjonen er vanskeligere å gjennomføre ved operativ behandling, særlig ved brudd i de vektbelastende knoklene i underekstremitetene (4). Osteoporose kan også være forårsaket av sykelige tilstander, vanligvis av hormonell karakter, eller oppstå iatrogent ved behandling med forskjellige medikamenter.
Den postmenopausale osteoporosen hos kvinner forsterkes av den senile osteoporosen i alderdommen, som forekommer hos begge kjønn, i varierende grad. En av hovedårsakene til osteoporosen, både i menopausen og i alderdommen, er tap av muskelmasse og manglende belastning. Dette forstyrrer knokkeltransformasjonen.
Det at man, for å øke kalkinnholdet i beinvevet (særlig spongiøst beinvev), i tiltagende grad anbefaler bruk av såkalte «osteoklasthemmere» synes jeg er betenkelig. Tiltagende ukritisk bruk av «osteoklasthemmere» i form av bisfosfonater gir grunn til bekymring. Ved at man hemmer osteoklastene, fratar man naturen mulighetene til å tilpasse seg forskjellige belastninger gjennom strukturelle forandringer. Man øker det målbare kalkinnholdet, men reduserer kvaliteten i beinvevet (særlig styrken i de lange rørknoklene) (5).
Gjennom de siste 15 årene er det kommet betydelig kunnskap om de negative følgene av langvarig behandling av osteoporose, uten at dette er blitt ofret særlig oppmerksomhet i Helse-Norge (6). Bisfosfonater må benyttes med stor forsiktighet, og foreskrivningen av slike medikamenter bør forbeholdes spesialisthelsetjenesten.
Bare i årene mellom 1998 og 2009 behandlet vi ved ortopedisk avdeling på tidligere Aker universitetssykehus (nå Oslo universitetssykehus) mer enn 10 pasienter for atypiske proksimale lårbeinsbrudd. Alle var blitt behandlet med bisfosfonater pga målt redusert kalkinnhold. Noen hadde bruddhistorikk ved lavenergitraume, men det var også yngre pasienter som hadde fått slik behandling på grunn av opplysninger om osteoporose (med og uten bruddhistorikk) i familieanamnese. Ukritisk bruk av bisfosfonater vil øke forekomsten av slike brudd. Jeg mener Felleskatalogen bør være klarere på dette området.
Litteratur
1. Skoglund K, Hjortdal O. Femurfraktur og kjeveleddsdestruksjon etter bruk av bisfosfonater. Tidsskr Nor Legeforen - Publisert først på nett 16. januar 2015 doi: 10.4045/tidsskr.14.1108
2. Wolff J. Das Gesetz der Tranformation der Knochen. Verlag von August Hirschwald. Berlin 1892
3. Strømsøe K, Høiseth A. «Osteoporose» og fysiologisk variasjon. Tidsskr Nor Lægeforen 2006; 126:483
4. Strømøse K. Fracture Fixation Problems in Osteoporis. Injury 2004 Feb;35(2):107-13.
5. Ettinger B. Burr DD, Ritchie RO. Proposed pathogenesis for atypical femoral fractures: Lessons from material research. Bone 2013;55(2)495-500.
6. Jørg Schiller. Epidemiology, radiology and histolog of atypical femroal fractures. Acta Orthop Scand. Suppl no 352, Vol 84, Dec.2013
I Tidsskriftet nr. 2 2015 rapporterer Skoglund og Hjortdal en pasient med atypisk femurfraktur og kjeveleddsdestruksjon, og antyder kausal sammenheng mellom bisfosfonatbruk og sistnevnte bivirkning (1). Jeg er ikke enig i konklusjonene i denne artikkelen.
Frakturlinjen ved atypiske frakturer er oftest helt horisontal eller viser en vinkling på maksimalt 30 grader (2). Figur 1 i artikkelen viser imidlertid en frakturlinje som har en vinkel som er over 30 grader, slik at jeg ikke mener den kan klassifiseres som atypisk. Jeg mangler også i den forbindelse opplysninger om skjelettstatus hos denne pasienten med multiple brudd. Hadde den langvarige bisfosfonatbehandling hatt effekt eller var pasienten fortsatt osteoporotisk? Hvis sistnevnte var tilfellet, burde man ha overveiet osteoanabol terapi med PTH, som pasienten kunne få på blå resept.
Forfatterne beskriver også degenerative forandringer i kjeveleddet og drar en parallell til kjeveosteonekrose. Sistnevnte tilstand er imidlertid primært assosiert med manglende tilheling av mucosalesjoner etter invasive inngrep i munnhulen, slik at patogenesen er helt forskjellig fra leddassosierte degenerative lidelser, hvor leddbrusken er involvert.
Ved flere høringsrunder i både U.S. Food and Drug Administration (FDA) og European Medicines Agency (EMEA) har man vurdert sikkerheten for bisfosfonatbehandling og funnet at risk/benefit ratio fortsatt er positiv (3, 4). Risikoen for kjeveosteonekrose og atypiske femurfrakturer hos pasienter som bruker bisfosfonater for osteoporose er mindre enn 1/10 000 (5, 6).
Ved ensidig å fokusere på sjeldne bivirkninger uten å sette dem i relasjon til de positive virkninger av bisfosfonater (f.eks. 70% reduksjon i ryggbrudd, 41% reduksjon av hoftebrudd og 28% reduksjon i mortalitet etter hoftebrudd) (7, 8), forvirrer man både kolleger og pasienter. Her har man ytterligere definert en ny bivirkning som jeg ikke mener man har belegg for. Pasienter i bisfosfonatbehandling skal selvfølgelig kontrolleres regelmessig, og en bør pausere med bisfosfonater når T-score i rygg og hofte er over -2,5, hvilket synes å redusere risiko for bivirkninger (9, 10).
Litteratur
1. Skoglund K, Hjortdal O. Femoral fracture and temporomandibular joint destruction following the use of bisphosphonates. Tidsskrift for den Norske laegeforening : tidsskrift for praktisk medicin, ny raekke. 2015;135(2):116-7.
2. Schilcher J, Koeppen V, Ranstam J, Skripitz R, Michaelsson K, Aspenberg P. Atypical femoral fractures are a separate entity, characterized by highly specific radiographic features. A comparison of 59 cases and 218 controls. Bone. 2013;52(1):389-92.
3. FDA. FDA Drug Safety Podcast for Healthcare Professionals: Safety update for osteoporosis drugs, bisphosphonates, and atypical fractures 2013. Available from: http://www.fda.gov/Drugs/DrugSafety/DrugSafetyPodcasts/ucm229800.htm.
4. CHMP. Assessment report on bisphosphonates and osteonecrosis of the jaw 2009. Available from: http://www.ema.europa.eu/docs/en_GB/document_library/Report/2010/01/WC500051428.pdf.
5. Shane E, Burr D, Ebeling PR, Abrahamsen B, Adler RA, Brown TD, et al. Atypical subtrochanteric and diaphyseal femoral fractures: report of a task force of the American Society for Bone and Mineral Research. Journal of bone and mineral research : the official journal of the American Society for Bone and Mineral Research. 2010;25(11):2267-94.
6. Khosla S, Burr D, Cauley J, Dempster DW, Ebeling PR, Felsenberg D, et al. Bisphosphonate-associated osteonecrosis of the jaw: report of a task force of the American Society for Bone and Mineral Research. JBone MinerRes. 2007;22(10):1479-91.
7. Black DM, Delmas PD, Eastell R, Reid IR, Boonen S, Cauley JA, et al. Once-yearly zoledronic acid for treatment of postmenopausal osteoporosis. NEnglJMed. 2007;356(18):1809-22.
8. Lyles KW, Colon-Emeric CS, Magaziner JS, Adachi JD, Pieper CF, Mautalen C, et al. Zoledronic Acid in Reducing Clinical Fracture and Mortality after Hip Fracture. NEnglJMed. 2007;357:nihpa40967.
9. Schilcher J, Michaelsson K, Aspenberg P. Bisphosphonate use and atypical fractures of the femoral shaft. NEnglJMed. 2011;364(18):1728-37.
10. Cosman F, Cauley JA, Eastell R, Boonen S, Palermo L, Reid IR, et al. Reassessment of fracture risk in women after 3 years of treatment with zoledronic acid: when is it reasonable to discontinue treatment? The Journal of clinical endocrinology and metabolism. 2014;99(12):4546-54.
Forfatternes svar til Erik Fink Eriksen kan leses her: http://tidsskriftet.no/article/3353532