Intrakranial arteriedisseksjon

    ()

    sporsmal_grey_rgb
    Artikkel

    En tidligere frisk kvinne i 20-årene fikk intens hodepine etterfulgt av akutt høyresidig hemiparese og afasi under en joggetur. Hun hadde ingen vaskulære risikofaktorer og brukte ingen medisiner, bortsett fra et østrogenfritt antikonsepsjonspreparat. Hennes mor og mormor har hemiplegisk migrene.

    Ved innkomst i akuttmottak halvannen time etter symptomdebut hadde hun vedvarende høyresidig hemiparese, dominerende i beinet. Akutt cerebral CT med CT-angiografi viste ikke blødning eller annet patologisk. Man forventer ikke at eventuelle iskemiske forandringer vil være synlige på CT så kort tid etter ictus, men på grunn av klinisk mistanke om akutt hjerneinfarkt fikk hun trombolytisk behandling intravenøst knappe to timer etter symptomdebut.

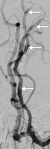
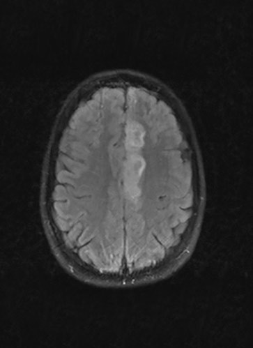
    Cerebral MR dagen etter innkomst (bildet til venstre) viste infarktforandringer i mediale deler av venstre frontallapp, svarende til forsyningsområdet til venstre a. cerebri anterior, og MR-TOF-angiografi viste noe trombosering i A2-segmentet av arterien. Pasienten gjennomgikk omfattende utredning uten at man fant noen bakenforliggende årsak til infarktet. Etter to uker ble hun undersøkt med konvensjonell cerebral angiografi, som avdekket en disseksjon i A2-segmentet av venstre a. cerebri anterior (bildet til høyre). En måned senere var hun tilbake i full jobb, da var NIHSS-skår 0 (National Institute of Health Stoke Scale) og modified Rankin Scale (mRS) også 0.

    Fordi intrakranial arteriedisseksjon forekommer sjelden er prevalens, risikofaktorer og optimal behandling ikke systematisk undersøkt, men en relativ overhyppighet blant unge slagpasienter og i den etnisk asiatiske befolkning taler for at det er en genetisk komponent (1). Intrakranial arteriedisseksjon er hyppigere bakenforliggende årsak til hjerneinfarkter i forsyningsområdet til a. cerebri anterior enn til hjerneinfarkter i andre kargebeter (2) og bør derfor spesielt overveies ved cerebrale iskemiske forandringer i mediale deler av hemisfæren som forsynes av a. cerebri anterior.

    Pasienten har gitt samtykke til at artikkelen blir publisert.

    Kommentarer  ( 0 )
    PDF
    Skriv ut

    Anbefalte artikler