Intracranial artery dissection

    ()

    sporsmal_grey_rgb
    Article

    A previously healthy woman in her 20s developed an intense headache, followed by acute right-sided hemiparesis and aphasia, while out jogging. She had no vascular risk factors and used no medications other than an oestrogen-free contraceptive. Her mother and maternal grandmother have a history of hemiplegic migraine.

    Upon arrival at Acute Admissions ninety minutes after symptom onset, the patient had persistent right-sided hemiparesis, which was more pronounced in the leg. Acute cerebral CT with CT angiography did not reveal haemorrhage or other pathology. Ischaemic changes would not typically be visible on CT so soon after ictus. However, owing to suspicion of an acute cerebral infarction, intravenous thrombolytic therapy was administered approximately two hours after symptom onset.

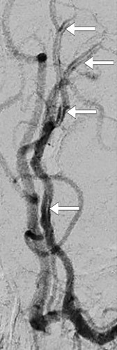
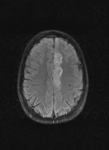
    Cerebral MRI the day after admission (pictured left) revealed infarction of the left medial frontal lobe, corresponding to the area supplied by the left anterior cerebral artery, and time-of-flight MR angiography showed thrombosis in the A2 segment of the artery. The patient underwent extensive investigation, but the underlying cause of the infarct could not be determined. After two weeks, conventional cerebral angiography revealed a dissection in the A2 segment of the left anterior cerebral artery (pictured right). A month later she was back in full-time employment, and her NIHSS (National Institute of Health Stroke Scale) and modified Rankin Scale (mRS) scores were both 0.

    Because intracranial artery dissection is rare, its prevalence, risk factors and optimal treatment have not been systematically studied, but a relative overrepresentation of young stroke patients and the ethnic Asian population among those affected suggests a genetic component (1). Intracranial artery dissection is a more frequent underlying cause of cerebral infarcts in the supply area of the anterior cerebral artery than of cerebral infarcts in other vascular territories (2); it should therefore be considered particularly in the event of ischaemic lesions in medial regions of the cerebral hemispheres supplied by the anterior cerebral artery.

    The patient has consented to the publication of this article.

    Comments  ( 0 )
    PDF
    Print

    Recent Articles