MR-undersøkelse av pasienter med pacemaker eller implantert hjertestarter

    ()

    sporsmal_grey_rgb
    Artikkel

    Oslo universitetssykehus har innført nye rutiner for undersøkelser i magnetisk resonans (MR) av pasienter med pacemaker eller implanterbar defibrillator (implantable cardioverter-defibrillator, ICD). Vi har prosedyre for både MR-tilpasset og ikke-MR-tilpasset utstyr. Innstillingene til pacemaker og implanterbar defibrillator må endres av pacemakerkyndig personell før og etter MR-undersøkelse. Individuell, tverrfaglig risikovurdering er nødvendig for ikke-MR-tilpassede enheter.

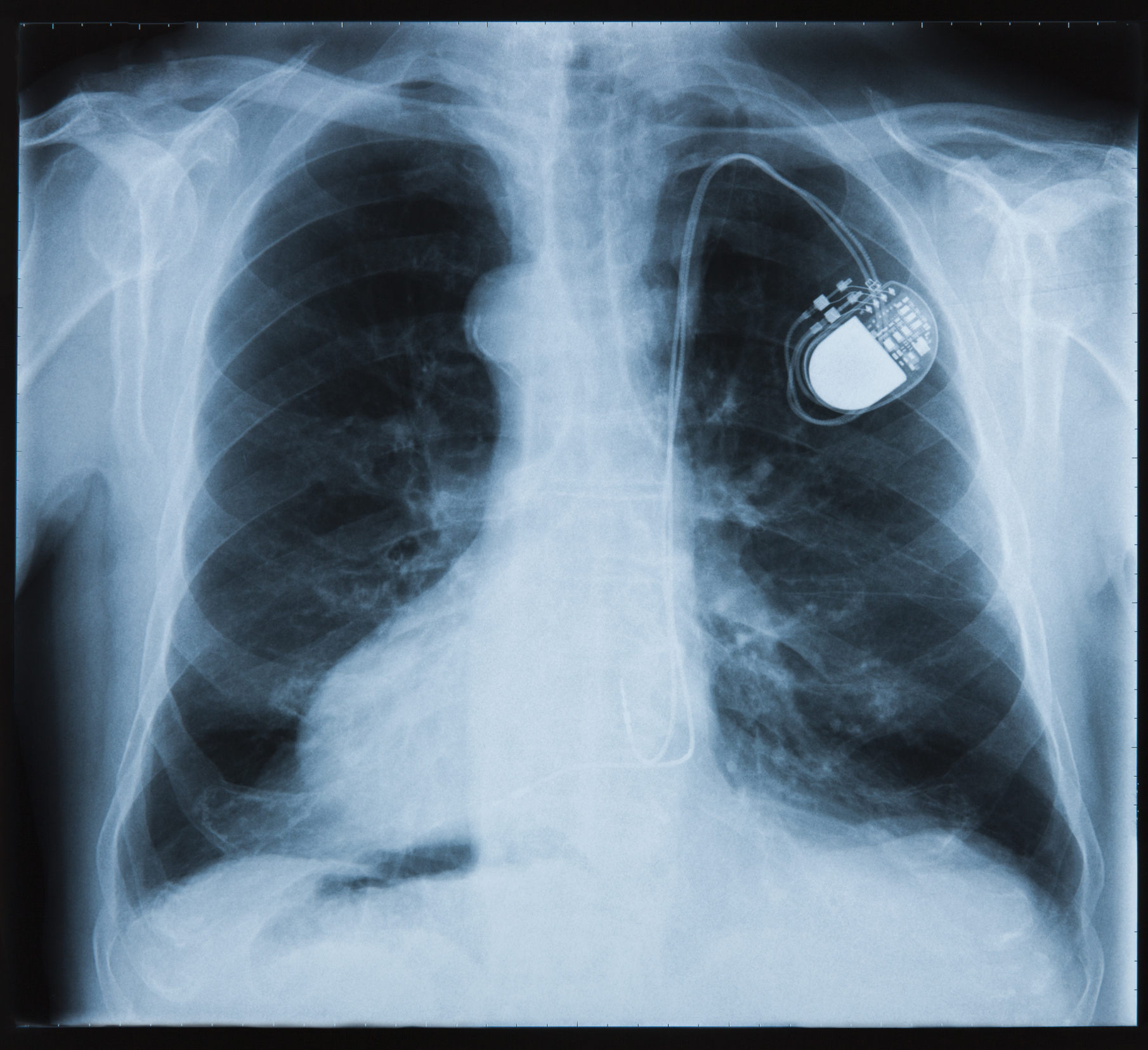
    Stadig flere får pacemaker eller implanterbar defibrillator, noe de som regel vil ha livet ut. Implantatene har vært regnet som absolutt kontraindikasjon mot magnetisk resonanstomografi (MR-undersøkelse). Likevel vil mange trenge MR-undersøkelse i løpet av livet. En studie estimerte at over halvparten av alle med slike anlegg vil få behov for MR-undersøkelse i løpet av ti år (1). Å utelate nødvendige MR-undersøkelser kan også innebære medisinsk risiko.

    Forfatterne av denne artikkelen har vært del av den tverrfaglige utredningsgruppen som utarbeidet de nye prosedyrene for pacemaker og implanterbar defibrillator ved MR ved Oslo universitetssykehus (2–4). Vi ble enige om tre forutsetninger for arbeidet: MR-undersøkelser skal gjennomføres trygt, indisert MR-undersøkelse skal ikke hindres unødig og organiseringen av MR-undersøkelse av disse pasientene skal være hensiktsmessig, sikker, effektiv og ensartet på sykehuset.

    Arbeidet støttet seg på et utvalg av relevant litteratur, eksisterende retningslinjer fra universitetssykehusene i Norge og innspill fra brukerrepresentanten i Kardiologiutvalget i Helse Sør-Øst.

    Risiko

    Risiko

    Bekymringen for mulige komplikasjoner har dreid seg om oppvarming og direkte induserte alvorlige arytmier, at MR-enheten kunne påvirke elektrodefeste, batteri, generatorens programmering og minne, eller utstyret kunne bli forflyttet, at pasienten kunne miste arytmibeskyttelse på grunn av manglende pacing eller at det kunne oppstå uhensiktsmessig sjokk. Enkeltstående alvorlige komplikasjoner er rapportert. Dødsfall skal ha skjedd, uten at detaljene er godt kjent (5).

    Alle leverandører tilbyr nå pacemaker eller implanterbar defibrillator med godkjenning for MR under gitte betingelser («MRI conditional» på engelsk). Disse innebærer lav risiko for komplikasjoner når retningslinjene følges.

    Mange studier omtaler MR-undersøkelse med pacemaker eller implanterbar defibrillator som ikke er MR-tilpasset. MagnaSafe-studien inkluderte 1 000 undersøkelser med pacemaker og 500 med implanterbar defibrillator (6). Det var ingen alvorlige komplikasjoner. Én implanterbar defibrillator måtte skiftes akutt, den var feilaktig ikke omprogrammert. Det ble registrert redusert batterispenning i 7 % av ICD-generatorene, endringer i impedans i 3 % av pacemakerelektrodene og 16 % av ICD-elektrodene, og endring av paceterskler i 0,5–4 % av de ulike elektrodene. Dette var oftest uten klinisk betydning, bortsett fra at det kunne kreve omprogrammering og ekstra kontroll.

    I vår samlede litteraturgjennomgang er det dokumentert MR-undersøkelse uten alvorlige komplikasjoner hos over 3 000 pasienter med ikke-tilpasset utstyr. Alle kroppsområder er inkludert (det er færre undersøkelser over thorax). Vi anbefaler derfor at pasienter med pacemaker og implanterbar defibrillator som ikke er MR-tilpasset, skal kunne få MR-undersøkelse.

    Sikkerheten ved MR-undersøkelse hos pasienter som har eldre utstyr (før 2001), epikardiale elektroder eller der det foreligger etterlatte elektroder, mangler dokumentasjon. Disse tre scenarioene er regnet som tungtveiende kontraindikasjoner mot MR (7). Det er heller ikke dokumentert at ICD-generator som ikke er MR-tilpasset, kan gi pålitelig pacing i MR-maskinen. Det er derfor høy terskel for MR-undersøkelse av pacemakeravhengige pasienter med ikke-MR-tilpasset ICD-generator. Inntil nå har det også vært tilfellet for MR-tilpasset implanterbar defibrillator fra én leverandør (Boston Scientific).

    Forberedelse og gjennomføring

    Forberedelse og gjennomføring

    Figur 1 illustrerer arbeidsflyten vår når en pasient med pacemaker eller implanterbar defibrillator er henvist til MR-undersøkelse. Egen sjekkliste fylles ut, der henvisende lege skal gi tilstrekkelig informasjon til å vurdere om utstyret er MR-tilpasset. Leverandørenes nettsider gir oppdatert informasjon om gjeldende tekniske betingelser for at undersøkelsen skal tilfredsstille en MR-tilpasset situasjon, spesifikt for hvert anlegg. Noen fellesnevnere for gjennomføring er MR-undersøkelse tidligst seks uker etter implantasjon, god batterispenning i generator, omprogrammering til MR-modus før undersøkelsen (tilbake etterpå) og overvåkning av pasient i MR-maskinen. Sensing vil ikke fungere, så pacingen må enten slås av eller settes på fast, jevn rytme (asynkron pacing) på minst 20 slag over pasientens aktuelle egenrytme. Sjokkfunksjonen i implanterbar defibrillator må slås av. Pasienten er dermed ikke beskyttet mot takyarytmi. Laveste overvåkningsnivå er med pulsoksymetri og med fortløpende verbal kontakt mellom personale og pasient. Hjertestarter må være i nærheten. Undersøkelsen må ofte designes med lav energi, så sekvenser kan måtte endres og undersøkelsen forkortes.

    For ikke-MR-tilpasset utstyr må situasjonen vurderes individuelt, og for å gjennomføre undersøkelsen må indikasjonen veie tyngre enn risikoen. Denne vurderingen må gjøres tverrfaglig og inkludere pasientens ønske. Teknisk gjennomføring vil i hovedsak være som for MR-tilpasset utstyr, men individuelt tilpasset overvåkning må gjennomføres. Vi har pacemakersykepleier eller lege til stede under undersøkelsen.

    Oppsummering

    Oppsummering

    MR-undersøkelser av pasienter med MR-tilpasset pacemaker eller implanterbar defibrillator kan gjennomføres etter protokoll uten at risikoen er vesentlig økt. Både MR-tilpasset og ikke-tilpasset utstyr må omprogrammeres før og etter undersøkelsen, og MR-undersøkelsen må kanskje modifiseres.

    De fleste pasienter med pacemaker eller implanterbar defibrillator som ikke er MR-tilpasset, kan gjennomgå MR-undersøkelse etter kyndig vurdering. Risikoen er oftest lav, men varierer. Vi mener at man kan åpne for dette forutsatt en god, lokalt forankret protokoll for tverrfaglig risikovurdering, tilgang på pacemakerkyndig personell og tilstrekkelig beredskap. Det kan være galt å frata pasienten muligheten til viktig diagnostikk.

    Kommentarer  ( 2 )
    PDF
    Skriv ut

    Anbefalte artikler