Immunmodulerende behandling
Immunmodulerende medikamenter har ofte en mer målrettet effekt på én eller få komponenter i immunsystemet enn immunsuppressive medikamenter, som har en bredere og mer uspesifikk immundempende virkning. Likevel kan spesifikk hemming av enkeltkomponenter gi uventede følger.
Natalizumab er et monoklonalt antistoff mot α4β1-integrin, et adhesjonsmolekyl på overflaten av hvite blodceller (unntatt nøytrofile granulocytter), som har vært brukt som annenlinjebehandling ved multippel sklerose. I 2005 ble det trukket fra markedet på grunn av tre tilfeller av natalizumabassosiert progredierende multifokal leukoencefalopati, men ble året etter reintrodusert. Pasienthistorien under er et eksempel på progredierende multifokal leukoencefalopati under natalizumabbehandling ved multippel sklerose.
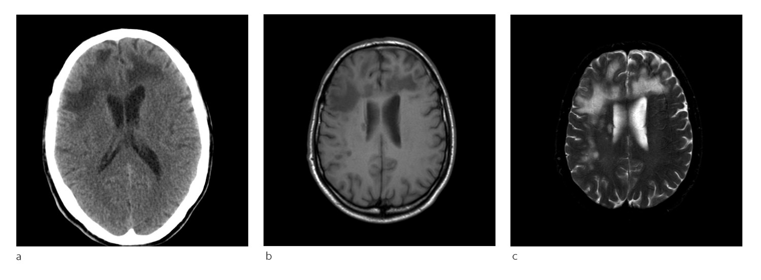
Pasient 2. En kvinne i 50-årene med attakkpreget multippel sklerose var blitt behandlet med natalizumab (Tysabri) over flere år da hun fikk påvist diskrete forandringer på en MR-undersøkelse. Hun hadde da ikke hatt tegn til sykdomsaktivitet på flere år. JCV-antistoff var blitt påvist i serum to år tidligere, men indeks var ikke tilgjengelig på dette tidspunktet. Natalizumab ble seponert, men pasienten utviklet etter hvert likevel ustøhet og dobbeltsyn, og MR-undersøkelse to måneder senere viste betydelig økning av forandringer (fig 2a). Det var en inhomogen høyattenuerende forandring i høyre lillehjernestilk som ikke er lett å skille fra en forandringer ved multippel sklerose. PCR-undersøkelse av JCV-DNA avdekket 1 173 kopier/ml i spinalvæske.
Plasmaferesebehandling ble gitt, men symptomene progredierte. Ny MR-undersøkelse tre uker senere viste kontrastladende lesjoner, forenlig med immunrekonstitusjonsinflammasjonssyndrom (fig 2b). Pasienten fikk høydose metylprednisolon (Solu-medrol), med påfølgende remisjon. Hun ble frisk fra progredierende multifokal leukoencefalopati, men fikk sekvele.
Per mars 2017 hadde produsenten rapportert 711 natalizumabassosierte tilfeller av progredierende multifokal leukoencefalopati – 708 av disse pasientene var blitt behandlet for multippel sklerose og tre for Crohns sykdom (7).
Autoreaktive CD4-positive (8) og CD8-positive T-lymfocytter (9) antas å ha nøkkelroller i patogenesen ved multippel sklerose. Når natalizumab binder seg til α4β1-integrin, blokkerer medikamentet for interaksjon med liganden VCAM-1 (vascular cell adhesion protein) på endotelceller og hindrer autoreaktive T-lymfocytter fra å krysse blod-hjerne-barrieren. Andre «normale» lymfocytter stenges også ute fra hjernen, og resultatet blir derfor redusert immunovervåkning av sentralnervesystemet, med ledsagende risiko for potensielle opportunistiske infeksjoner.
Multippel sklerose i seg selv synes ikke å være noen risikofaktor for progredierende multifokal leukoencefalopati, men behandling krever særlig oppmerksomhet, siden samtlige av de nyeste midlene mot sykdommen, som alle direkte eller indirekte påvirker T-celleforsvaret (8), har potensial til å forårsake progredierende multifokal leukoencefalopati (10). Natalizumab står imidlertid i en særstilling og er derfor underlagt særlig overvåkning, og det er utarbeidet en algoritme for risikostratifisering for progredierende multifokal leukoencefalopati før oppstart og under behandling (11).
Generelt er risikoen for sykdommen ved bruk av natalizumab estimert til i overkant av 4/1 000 behandlede pasienter (7). Risikoen øker imidlertid med behandlingsvarigheten, spesielt hvis den går utover to år, ved tidligere immunsuppressiv behandling og med økende nivå av anti-JCV-antistoff. Tidligere immunsuppressiv behandling i denne sammenheng betyr i praksis (i Norge) mitoksantron, en behandling som nå er mer eller mindre forlatt.
Imidlertid bør man etter vår mening være oppmerksom på at ethvert medikament som gir langvarig lymfocytopeni, medfører økt risiko for progredierende multifokal leukoencefalopati – lenge etter seponering. Risikoen ved bruk av natalizumab i to år, uten tidligere immunsuppressiv behandling med mitoksantron og med JCV-indeks i området 0,9–1,5, er ca. 6/1 000 behandlede pasienter. Dersom JCV-indeksen er > 1,5, er risikoen estimert til 17/1 000 behandlede pasienter (12).
Andre medikamenter som brukes ved multippel sklerose har også gitt progredierende multifokal leukoencefalopati. Det er blant annet rapportert flere tilfeller under behandling med fingolimod og dimetylfumarat (13). Begge kan gi langvarig lymfocytopeni. Teriflunomid, som er en aktiv metabolitt av leflunomid, er til nå ikke assosiert med sykdommen, men flere tilfeller er knyttet til leflunomidbehandling ved revmatologisk sykdom (14).
Daklizumab er nylig godkjent for bruk ved attakkpreget multippel sklerose. Antistoffet blokkerer IL-2-reseptor på aktiverte T-celler. Det er så langt ikke rapportert om tilfeller av progredierende multifokal leukoencefalopati assosiert med dette medikamentet (15). Kladribin er et medikament mot hårcelleleukemi som også har vist seg effektivt ved multippel sklerose (16). Dessverre er bruk av kladribin også nylig blitt assosiert med progredierende multifokal leukoencefalopati (10).
Av de revmatiske sykdommene predisponerer systemisk lupus erythematosus for progredierende multifokal leukoencefalopati, trolig uavhengig av immunterapi (17). Sykdommen kan ramme sentralnervesystemet og gi både fokale og diffuse symptomer samt funn ved MR-undersøkelse som kan ligne på funnene ved progredierende multifokal leukoencefalopati, noe som potensielt kan føre til at tilfeller av sistnevnte sykdom blir underdiagnostisert.
I en amerikansk studie identifiserte man vel å merke kun fire tilfeller av progredierende multifokal leukoencefalopati per 100 000 utskrevne pasienter med systemisk lupus erythematosis (17). Det var imidlertid ti ganger flere enn ved revmatoid artritt og 20 ganger flere enn i normalbefolkningen. I 2006 ble det rapportert om to tilfeller av progredierende multifokal leukoencefalopati hos pasienter med systemisk lupus erythematosis som ble behandlet med det monoklonale antistoffet rituximab.
Rituximab er rettet mot B-cellemarkøren CD20 og fører til redusert antall B-celler i blodet. Det har vist seg effektivt ved leukemi og en rekke autoimmune tilstander. Flere tilfeller av progredierende multifokal leukoencefalopati er blitt assosiert med dette medikamentet, men så langt ikke ved multippel sklerose.
Det er heller ikke rapportert om tilfeller assosiert med ocrelizumab, et nytt monoklonalt antistoff mot B-cellemarkøren CD20, som også har vist god effekt ved multippel sklerose (18). Et annet monoklonalt antistoff som inhiberer T-celleadhesjon og diapedese fra sirkulasjonen, efalizumab, ble trukket fra markedet i 2009 etter tre tilfeller av progredierende multifokal leukoencefalopati hos pasienter behandlet for psoriasis (19).