Progressive multifocal leukoencephalopathy

    ()

    sporsmal_grey_rgb
    Article

    Progressive multifocal leukoencephalopathy is a rare, opportunistic infection of the central nervous system caused by the John Cunningham virus (JCV). There is no effective antiviral treatment available, and restoring immunocompetence is essential for survival. If this occurs too quickly, however, the inflammatory response may prove fatal. This is an up-to-date review of the disorder, intended for clinicians responsible for immunomodulatory therapy.

    Progressive multifocal leukoencephalopathy (PML) is a demyelinating disease that was first reported in 1958 as a previously unknown complication of chronic lymphocytic leukaemia and Hodgkin's disease (1). In 1970, the virus causing the disease was isolated from the brain of a patient and was named after his initials (John Cunningham virus, JCV) (1).

    In the mid-1980s, when the HIV/AIDS pandemic escalated, the incidence of progressive multifocal leukoencephalopathy increased rapidly. The introduction of effective antiviral treatment for cases of HIV infection (highly active anti-retroviral therapy, HAART) in 1996 led to a large fall in the number of cases of progressive multifocal leukoencephalopathy and markedly improved survival in this patient population. In 1996, the incidence rate in patients with HIV was estimated to be about 10/1 000 person-years, compared to 1/1 000 person-years now (2). However, patients with HIV-associated disease still account for roughly 80 % of all reported cases of progressive multifocal leukoencephalopathy, and just over half die within two years of diagnosis (2).

    The next largest risk group, accounting for approximately 10 % of cases, are patients with haematological malignancies. The example below illustrates one such case of progressive multifocal leukoencephalopathy in a patient with chronic lymphocytic leukaemia.

    Patient 1. A man in his sixties with known chronic lymphocytic leukaemia was hospitalised owing to loss of strength in his left arm, cognitive difficulties and problems with everyday tasks. Upon clinical examination, he appeared to show psychomotor retardation and had difficulty cooperating with testing. A mild spastic left-sided hemiparesis was noted.

    CT and MRI scans were performed (Fig. 1). A PCR assay for JCV DNA revealed large amounts of the virus in the cerebrospinal fluid: 4.1 billion copies/ml. The cerebrospinal fluid was otherwise normal. Human immunoglobulin was administered intravenously (Octagam), but the patient gradually deteriorated and died in hospital a few weeks later.

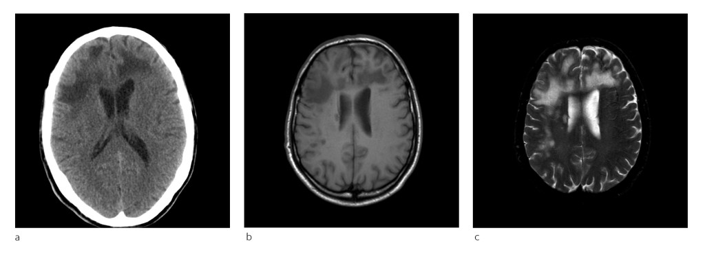
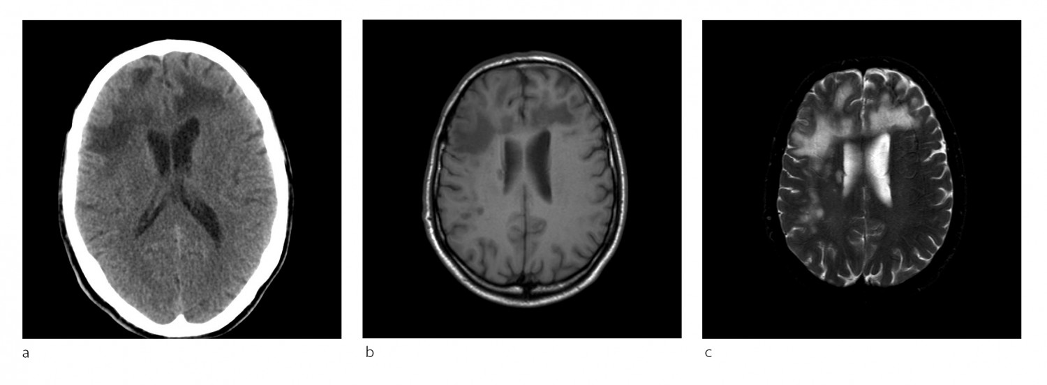
    Figure 1 a) In patient 1, CT of the head showed bilateral non-specific confluent hypointensities in frontal subcortical…
    Figure 1 a) In patient 1, CT of the head showed bilateral non-specific confluent hypointensities in frontal subcortical regions. B) T1-weighted MRI series revealed multiple areas with low signal, as in FLAIR series and c) T2-weighted series showed high signal. There was no sign of mass effect and the lesions were not contrast-enhancing.

    Survival in this group is very poor, with about 90 % mortality within two months of diagnosis. The incidence of progressive multifocal leukoencephalopathy is probably underestimated, as it is often not diagnosed because of severe primary disease and anticipated complications of chemotherapy.

    A third risk group discussed in this review comprises patients receiving immunomodulatory treatment for immune-mediated diseases.

    As the use of such drugs increases, more cases of progressive multifocal leukoencephalopathy are to be expected. This is an up-to-date review based on the authors' own experience and a discretionary review of recent literature.

    Commonly occurring virus

    Commonly occurring virus

    The JCV virus is one of 13 human polyomaviruses identified. There are seven different genotypes, with genotype 1 and genotype 4 the most common in Europe (1). The viruses are small (42 nm in diameter) and consist only of a circular double-stranded DNA molecule of approximately 5 100 base pairs wrapped around cellular histones and enclosed by a capsid. The outer part of the capsid consists of 360 molecules of viral capsid protein 1 (VP1).

    The JCV virus lacks a lipid outer membrane and is therefore considered a naked or non-enveloped virus. This makes it resistant to disinfectants, dehydration and low pH. The virus also lacks the classic targets of specific antiviral therapies, as it encodes neither a viral protease nor a DNA polymerase.

    Antibodies against the virus are possessed by 30–70 % of healthy adults (3). Estimates suggest that 1–2 % of the population becomes infected each year, and the seroprevalence, measured as the presence of antibodies (IgG) against VP1, therefore increases with age. The route of transmission of the virus is still unknown, but oral or respiratory routes are likely.

    After the primary infection, which usually goes unnoticed, the JCV virus is probably transported via the blood to epithelial cells in the kidneys and urinary tract, where it establishes a latent infection in these and probably other organs or cells. The virus can be reactivated and resume replication, causing it to be excreted in the urine, often in large quantities, without causing symptoms.

    The first step in the viral life cycle is for viral capsid protein 1 to bind to a receptor on a host cell. The identity of this receptor is still unknown, but it probably has a bound sugar molecule (sialic acid). The virus also appears to bind to serotonin receptor 5HT2AR (4).

    After the virus has entered the cell, the capsid opens and the genome enters the cell nucleus. Here, viral genes are transcribed, the DNA of the viral genome is replicated, and eventually several thousand new virus particles are assembled per infected cell. It is unclear whether virus particles are actively transported out of the cell or whether all virus is released when the host cell dies.

    Complex pathophysiology

    Complex pathophysiology

    When and how the JCV virus reaches the brain is unknown. Three different scenarios are proposed (1).

    • It reaches the brain during the primary infection, but is kept under control by T cells

    • It persists inside lymphocytes or stem cells, and reactivation and occult secondary viraemia lead to infection of cells in the brain

    • It persists inside other cells, such as lymphocytes, in addition to those of the renal epithelium, and gains access to the central nervous system via these cells

    Viral replication inside oligodendrocytes destroys the cells, leading to demyelination. Sequencing of viral DNA from cerebrospinal fluid or brain biopsy typically yields two characteristic findings.

    First: The part of the viral genome that does not encode viral proteins, but which controls viral transcription and DNA replication (the non-coding control region, NCCR), has almost always undergone deletions and duplications, and will differ from the variant typically found in urine. The mechanisms that underlie these rearrangements are unknown, but cell culture experiments show that viruses with a rearranged NCCR usually replicate more effectively than those with an unchanged NCCR.

    Second: Mutations in the viral capsid protein 1 gene usually lead to one or more amino acid changes in those parts of the capsid protein that bind to the receptor (5). It has been speculated that these mutated variants are favoured in progressive multifocal leukoencephalopathy because they do not bind to the sialic acid molecules present on many cell types, but can still infect oligodendrocytes.

    Always immunodeficiency – many potential causes

    Always immunodeficiency – many potential causes

    We now know that progressive multifocal leukoencephalopathy affects individuals who lack JCV-specific T cells (CD4- and CD8-positive) in the brain, despite possessing antibodies against the virus (1). Occasionally the disease may be seen in individuals with apparently normal immune function; it is important to ensure that idiopathic CD4-positive T-lymphocytopenia (ICL) is not overlooked in such cases (5).

    A number of conditions, such as congenital immunodeficiencies, solid tumours, systemic diseases, and bone marrow or organ transplantation, have been associated with progressive multifocal leukoencephalopathy, but these account for only a small proportion of the total cases. The estimated incidence in cases of bone marrow transplantation is 35 per 100 000 person-years (6). The extensive use of immunosuppressive drugs, often in multi-drug combinations, and cases of progressive multifocal leukoencephalopathy associated with newer immunomodulatory drugs have led to increased vigilance in recent years.

    Immunomodulatory therapy

    Immunomodulatory therapy

    Immunomodulatory drugs tend to have more precisely targeted effects on one or a few components of the immune system compared to immunosuppressive drugs, which produce a broader and less specific suppression of the immune response. Nevertheless, specific inhibition of single components may have unanticipated consequences.

    Natalizumab is a monoclonal antibody against α4β1-integrin, an adhesion molecule on the surface of white blood cells (except neutrophil granulocytes), which has been used as second-line treatment in multiple sclerosis. In 2005, it was withdrawn from the market because of three cases of natalizumab-associated progressive multifocal leukoencephalopathy, but was reintroduced the following year. The case history below is an example of progressive multifocal leukoencephalopathy during natalizumab treatment in multiple sclerosis.

    Patient 2. A woman in her fifties with relapsing-remitting multiple sclerosis had been on natalizumab (Tysabri) for several years when discrete changes were seen on MRI. She had had no signs of disease activity for several years. JCV antibodies had been detected in her serum two years previously, but the index was not available at this time. Natalizumab was discontinued, but the patient slowly developed unsteadiness and double vision, and an MRI scan two months later showed a marked increase in pathology (Fig. 2a). This included an inhomogeneous hyperintense lesion in the right cerebellar peduncle that was difficult to distinguish from multiple sclerosis-associated pathology. A PCR assay for JCV DNA revealed 1 173 copies/ml in the cerebrospinal fluid.

    Figure 2 a) The T2-weighted image shows an inhomogeneous hyperintense lesion in the right cerebellar peduncle that cannot…
    Figure 2 a) The T2-weighted image shows an inhomogeneous hyperintense lesion in the right cerebellar peduncle that cannot easily be distinguished from a multiple sclerosis-associated lesion. b) An MRI scan three weeks later showed contrast-enhancing lesions consistent with progressive multifocal leukoencephalopathy with a strong immune response (IRIS)

    Plasmapheresis was performed, but the symptoms progressed. An MRI scan three weeks later showed contrast-enhancing lesions consistent with immune reconstitution inflammatory syndrome (Fig. 2b). The patient received high-dose methylprednisolone (Solu-medrol), with subsequent remission. She recovered from the progressive multifocal leukoencephalopathy, but developed sequelae.

    As per March 2017, the manufacturer had reported 711 natalizumab-associated cases of progressive multifocal leukoencephalopathy – 708 patients were being treated for multiple sclerosis and three for Crohn's disease (7).

    Autoreactive CD4-positive (8) and CD8-positive T lymphocytes (9) are thought to have key roles in the pathogenesis of multiple sclerosis. Binding of natalizumab to α4β1-integrin blocks interaction of α4β1-integrin with its ligand VCAM-1 (vascular cell adhesion protein) on endothelial cells, and prevents autoreactive T lymphocytes from crossing the blood-brain barrier. Other 'normal' lymphocytes are also excluded from the brain, resulting in reduced immunosurveillance of the central nervous system, with an accompanying risk of opportunistic infections.

    Multiple sclerosis per se does not seem to be a risk factor for progressive multifocal leukoencephalopathy, but vigilance is required during treatment because all of the latest disease-modifying agents directly or indirectly affect T cell-associated immune responses (8), and have the potential to cause progressive multifocal leukoencephalopathy (10). Natalizumab, however, is a special case and is therefore subject to specific monitoring; an algorithm has also been developed for stratifying the risk of progressive multifocal leukoencephalopathy prior to and during natalizumab treatment (11).

    The overall disease risk upon use of natalizumab is estimated to be just over 4/1 000 treated patients (7). However, the risk increases with treatment duration, especially if this extends beyond two years, and also in cases of previous immunosuppressive therapy, and with increasing levels of anti-JCV antibodies. In this context, prior immunosuppressive therapy means in practice (in Norway) mitoxantrone, a treatment that has now more or less been abandoned.

    However, we believe it is important to be aware that any drug that causes prolonged lymphocytopenia also increases the risk of progressive multifocal leukoencephalopathy – including long after discontinuation. For patients with two years of natalizumab use, no prior immunosuppressive therapy with mitoxantrone, and a JCV index in the range 0.9–1.5, the risk is approximately 6/1 000 treated patients. If the JCV index is > 1.5, the estimated risk is 17/1 000 treated patients (12).

    Other drugs used in multiple sclerosis have also given rise to progressive multifocal leukoencephalopathy. Several cases have been reported during treatment with fingolimod and dimethyl fumarate (13), both of which may give rise to prolonged lymphocytopenia. Teriflunomide, an active metabolite of leflunomide, has not been associated with the disease to date, but several cases have been linked to leflunomide treatment of rheumatological disease (14).

    Daclizumab has recently been approved for use in relapsing-remitting multiple sclerosis. The antibody blocks the IL-2 receptor on activated T cells. There have been no reports to date of progressive multifocal leukoencephalopathy in association with this drug (15). Cladribine is used to treat hairy cell leukaemia, and has proven effective in multiple sclerosis (16). Unfortunately, use of cladribine has also recently been associated with progressive multifocal leukoencephalopathy (10).

    Of the rheumatic diseases, systemic lupus erythematosus predisposes to progressive multifocal leukoencephalopathy, probably independently of immunotherapy (17). The disease can affect the central nervous system, giving rise to both focal and diffuse symptoms, as well as MRI findings that may resemble those of progressive multifocal leukoencephalopathy, potentially leading to underdiagnosis of the latter.

    In an American study, only four cases of progressive multifocal leukoencephalopathy were identified per 100 000 discharged patients with systemic lupus erythematosus (17). However, this was ten times the number of cases seen in patients with rheumatoid arthritis and 20 times the number in the general population. In 2006, two cases of progressive multifocal leukoencephalopathy were reported in patients with systemic lupus erythematosus who were treated with the monoclonal antibody rituximab.

    Rituximab targets the B-cell marker CD20 and leads to a reduction in the number of B cells in the blood. It has proved to be effective in leukaemia and in a range of autoimmune diseases. Several cases of progressive multifocal leukoencephalopathy have been associated with this drug, but none so far in patients with multiple sclerosis.

    There have been no cases either in association with ocrelizumab, a new monoclonal antibody against the B-cell marker CD20, which has also shown robust efficacy in multiple sclerosis (18). Efalizumab, another monoclonal antibody that inhibits T-cell adhesion and diapedesis from the circulation, was withdrawn in 2009 after three cases of progressive multifocal leukoencephalopathy in patients treated for psoriasis (19).

    Diagnosis of progressive multifocal leukoencephalopathy

    Diagnosis of progressive multifocal leukoencephalopathy

    Progressive multifocal leukoencephalopathy does not cause fever or other constitutional symptoms, but these may occur as part of the primary disease. Common signs and symptoms include – in addition to cognitive impairments – pareses, visual field defects, language disorders, ataxia and brainstem-related deficits. Sometimes only subtle changes in cognition and personality occur, which may delay the diagnosis.

    Subacute neurological symptoms in a patient at increased risk of progressive multifocal leukoencephalopathy, along with typical MRI findings and detection of JCV DNA in the cerebrospinal fluid, are sufficient for diagnosis. Occasionally, a brain biopsy must be performed to detect the virus. Screening of immune status is recommended, and in our opinion should also include counting of CD4- and CD8-positive T lymphocytes.

    Detection of JCV-antibodies

    Detection of JCV-antibodies

    JCV-ELISA (enzyme-linked immunosorbent assay) can be used to detect and quantify antibodies against the virus, but is not yet commercially available. The StratifyJCV assay, developed and financed by Biogen, is used only in patients with multiple sclerosis and is performed in Copenhagen.

    The assay measures JCV-IgG in serum and provides an anti-JCV index, which is an optical density measure of antibody levels. If the index is above 0.4, the patient has antibodies against the JCV virus; if it is below 0.2, the patient lacks antibodies, and if it is in the range 0.2–0.4, the result is unclear. Those who test negative have a very low risk of progressive multifocal leukoencephalopathy, but false negative results do occur. Moreover, it is not possible to rule out new-onset infections.

    PCR, immunohistochemistry and in situ hybridisation

    PCR, immunohistochemistry and in situ hybridisation

    The amount of virus in the cerebrospinal fluid may be very small and it is important to obtain a sufficient volume of specimen (minimum 1 ml) to allow concentration of the DNA. High-sensitivity polymerase chain reaction (PCR) must be used. A negative JCV PCR result in cerebrospinal fluid never rules out progressive multifocal leukoencephalopathy.

    The gold standard for diagnosis is brain biopsy with detection of JCV proteins by immunohistochemistry and/or JCV DNA by in situ hybridisation or PCR assay. Although this is an invasive method of sampling, it may be necessary if cerebrospinal fluid tests are negative but there is clear suspicion of the disease on clinical and radiological grounds (5). Plasma and urine cannot be used to diagnose the condition, although some patients with progressive multifocal leukoencephalopathy may have JCV DNA in plasma.

    Magnetic resonance tomography

    Magnetic resonance tomography

    MRI must be performed upon suspicion of progressive multifocal leukoencephalopathy. Changes may be observed in the cerebral white matter in the form of multiple small lesions and/or larger confluent areas anywhere in the cerebrum, most often subcortically (Fig. 1), as well as in the cerebellum and brainstem (Fig. 3). Signal intensity changes in the spinal cord should raise suspicion of an alternative diagnosis; these have been reported in progressive multifocal leukoencephalopathy, but only very rarely (20). Normal MR images usually rule out the condition, but MRI should be repeated in the event of ongoing clinical suspicion.

    Figure 3 a) T2-weighted MRI showing crescent-shaped hyperintensity in the right cerebellar hemisphere and in the upper…
    Figure 3 a) T2-weighted MRI showing crescent-shaped hyperintensity in the right cerebellar hemisphere and in the upper cerebellar peduncle of a patient with progressive multifocal leukoencephalopathy. b) The same finding in another patient with the same disease

    Diagnosis can be challenging in patients with multiple sclerosis, as the primary disease also gives rise to varying neurological deficits and multiple white matter lesions, and cannot easily be distinguished radiologically from progressive multifocal leukoencephalopathy. It is therefore important to perform an MRI scan prior to initiating immunomodulatory therapy to allow subsequent comparisons. Minimal or no mass effect is seen, and contrast enhancement is usually absent or modest.

    Contrast enhancement in a lesion in progressive multifocal leukoencephalopathy is highly suggestive of immune reconstitution inflammatory syndrome (IRIS) (Fig. 2). This is seen relatively frequently in cases of both natalizumab- and HIV-associated infection. Crescent-shaped cerebellar lesions are found almost exclusively in progressive multifocal leukoencephalopathy (Fig. 3) (20). The most important differential diagnoses include multiple sclerosis, HIV encephalitis or possibly other forms of encephalitis (herpes simplex virus, cytomegalovirus), gliomatosis cerebri, central nervous system lymphoma, acute disseminated encephalomyelitis (ADEM), vasculitides/cerebral infarcts and mitochondrial cytopathies (20).

    Treatment and prognosis

    Treatment and prognosis

    Only re-establishing an effective immune defence can prevent exacerbation of the disease and death in cases of progressive multifocal leukoencephalopathy. Paradoxically, however, rapidly re-establishing the immune defence may lead to clinical deterioration and, in the worst-case scenario, sudden death if an overly strong immune response occurs: so-called immune reconstitution inflammatory syndrome.

    The consensus treatment in severe cases of immune reconstitution inflammatory syndrome is high-dose methylprednisolone (11). HAART therapy has lowered the mortality associated with JCV virus infection in cases of AIDS, and the prognosis is largely dependent on CD4-positive T lymphocyte levels. In natalizumab-associated disease, mortality is just over 20 % (7); i.e. far lower than for other causes of the disease. Rapid diagnosis and discontinuation of natalizumab, possibly with plasmapheresis to remove the drug from the circulation, plus steroid therapy in cases of immune reconstitution inflammatory syndrome, are probably the main reasons for this.

    Youth, low viral load in the cerebrospinal fluid and limited spread of cerebral disease are factors associated with increased survival. Various antiviral agents that have been shown to reduce JCV replication in vitro – cidofovir, brincidofovir, cytarabine and topotecan – have been described as effective in case reports, but none has shown efficacy in clinical trials (21). Ganciclovir was shown to suppress the JCV virus in cell culture and was described as clinically effective in a case report (21). Mefloquine, an antimalarial agent that also inhibits JCV virus replication in vitro, had no effect in a clinical trial (22).

    In 2004, Elphick et al. showed that the JCV virus uses serotonin receptor 5HT2AR to infect astroglial cells in culture, and that the antidepressant mirtazapine effectively blocks this process (4). A number of reports have since suggested that mirtazapine may have therapeutic potential, but its efficacy is still highly uncertain (23). Nevertheless, the treatment must still be recommended at present (23).

    Preclinical studies have not shown immunomodulatory therapy to be effective, but an adequate T cell response has been reestablished using interleukin 2 (IL-2) or interleukin 7 (IL-7) in individual patients (5). The prospect of treatment with recombinant human IL-7 (CYT107, not yet approved) is particularly exciting, as it may be able to enhance JCV-specific T cell responses (5). Positive results have also been reported in two patients immunised with JCV-VP1 vaccine (capsid protein) and IL-7 (24).

    The patients/relatives have consented to the publication of this article.

    Comments  ( 0 )
    PDF
    Print

    Recent Articles