()

    sporsmal_grey_rgb
    Artikkel

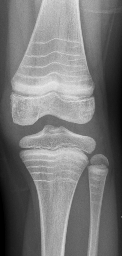
    Røntgenbiletet viser eit kne med multiple, tverrgåande, sklerotiske (kvite) linjer i metafysen både i femur og tibia hos ein gut i tenåra. Pasienten har også tilsvarande funn i fleire andre ledd. Han har diagnosen osteogenesis imperfecta type 1 og har i fem år fått intravenøs behandling med zoledronsyre (bisfosfonat). Kvar av dei tverrgåande linjene svarer til ein behandlingsrunde/injeksjon med bisfosfonat. Hyppigare injeksjonar gjev kortare avstand mellom linjene. Linjene er vanlegast i metafysane, men kan også finnast i epi- og apofysane. Desse sklerotiske linjene er resultat av auka beinmineralisering (1) og er ein indirekte respons på hemming av osteoklastaktivitet som følge av behandlinga. I 2007 kom eit forslag om å nemne desse forandringane for sebralinjer (zebra lines) (2).

    Osteogenesis imperfecta er ein medfødd kollagensjukdom som særleg påverkar skjelettet, men også bindevevsstrukturane i kroppen. Osteogenesis imperfecta vert klassifisert i fem grupper med ulik genetisk årsak og alvorsgrad. Type 1 er den vanlegaste og mildaste forma. Felles er at syntesen av kollagenfiber er unormal enten i høve til mengde fiber eller ved endringar av kollagenstrukturen. Dette gjer at m.a. skjelettet vert svakare overfor mekanisk belastning, og dermed aukar risikoen for beinbrot, skjelettsmerter og deformering av skjelettet (3). Det er inga kurativ behandling for sjukdommen. Behandlinga er tverrfagleg og målretta for å redusere brotrisiko og komplikasjonar ved brot og for å fremme ei så normal fungering som mogleg.

    Medikamentell behandling med intravenøs bisfosfonat vert vurdert ut frå brothistorikk og alvorsgrad. Bisfosfonatbehandling aukar mineraliseringa av beinvevet, men påverkar ikkje sjølve kollagenfeilen. Zoledronsyre vert gitt kvar sjette månad frå toårsalderen og vanlegvis fram til barnet er ferdig med å vekse, men behandlingslengda vert vurdert individuelt. Zoledronsyre er ikkje godkjent til bruk under to års alder, så før det nyttar ein difor månadlege infusjonar med pamidronat.

    Pasienten og dei føresette har samtykt til at artikkelen vert publisert.

    Kommentarer  ( 2 )
    PDF
    Skriv ut

    Anbefalte artikler