()

    sporsmal_grey_rgb
    Article

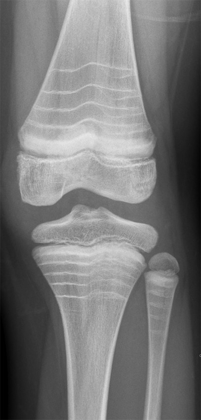
    This X-ray shows the knee of a teenage boy with multiple, transverse, sclerotic (white) bands in the tibial and femoral metaphyses. The patient has similar bands in several other joints. He has been diagnosed with osteogenesis imperfecta type 1 and has been receiving treatment with intravenous zoledronic acid (bisphosphonate) for five years. Each of the transverse bands corresponds to a treatment cycle/injection of bisphosphonate. More frequent injections result in shorter band intervals. The bands are most common in the metaphyses, but can also occur in the epiphyses and apophyses. The sclerotic bands are the result of increased bone mineralisation (1) and are an indirect response to inhibition of osteoclast activity as a result of treatment. In 2007, it was proposed that the bands should be called 'zebra lines' (2).

    Osteogenesis imperfecta (OI) is a congenital disease of collagen fibres that affects the skeleton in particular, but also the connective tissues. There are five subtypes of osteogenesis imperfecta, with different genetic causes and severities. Type 1 is the mildest and most common form. All types are characterised by abnormal collagen fibre synthesis, with changes either to the structure of collagen or to the number of fibres produced. This results in weakening of the skeleton, reducing its ability to withstand mechanical stress and thereby increasing the risk of bone pain/fractures and skeletal deformity (3). There is no curative treatment available for the disorder. However, multidisciplinary treatment aims to reduce the risk of fractures and complications of fractures, and to help patients function as well as possible.

    The need for drug treatment with intravenous bisphosphonate is assessed on the basis of fracture history and severity. Bisphosphonate increases the mineralisation of bone tissue, but does not affect the collagen abnormalities per se. Zoledronic acid is administered every six months from the age of two and usually until the child is fully grown, but treatment duration is decided on an individual basis. Zoledronic acid is not approved for use below the age of two years, and younger children are usually treated with monthly pamidronate infusions.

    The patient and his parents have consented to the publication of this article.

    Comments  ( 2 )
    PDF
    Print

    Recent Articles