Orbitafrakturer

    ()

    sporsmal_grey_rgb
    Artikkel

    Orbitafrakturer kan oppstå ved direkte traume mot øyeregionen eller omkringliggende ansiktsknokler. Frakturene kan føre til betydelig funksjonsnedsettelse og kosmetiske endringer. Operativ behandling av orbitafrakturer tar sikte på å rekonstruere skjelettanatomien og gjenskape opprinnelig volum i øyehulen. Denne kliniske oversiktsartikkelen gjennomgår de viktigste momentene ved orbitafrakturer.

    Orbitafrakturer er frakturer i skjelettet som omgir øyehulen (orbita), og den tredje hyppigst forekommende frakturtypen i ansiktet hos voksne og barn (1, 2). Frakturene deles vanligvis inn etter anatomisk lokalisasjon, som i gulv-, tak-, lateralveggs- og medialveggsfrakturer. Skademekanismen er vanligvis stumpt traume mot øyeregionen som fører til frakturering av det tynne benet i orbita, som oftest i gulvet og medialveggen (3, 4). Frakturer i lateralveggen er ofte kombinerte frakturer hvor kinnbenet er affisert. Orbitafrakturer oppstår enten på grunn av spredning av kinetisk energi fra øyets omkringliggende ben eller på grunn av økt trykk når øyeeplet (bulbus oculi, heretter kalt bulbus) presses inn i orbita (5). Fordi frakturene som regel dislokerer vekk fra orbita, kalles de også blowout-frakturer.

    Artikkelen gir en oversikt over anatomi, klinisk presentasjon, undersøkelse, radiologiske funn og behandling ved orbitafrakturer. Kunnskapsgrunnlaget er basert på ikke-systematiske søk i PubMed samt forfatternes kliniske erfaring.

    Anatomi

    Anatomi

    Orbitas anatomi er kompleks og avgrenset av syv ulike ben. Innholdet i orbita består av bulbus, fett, ekstraokulære muskler, nerver, blodkar, tåresekk og tårekjertel. Lateralveggen er dannet av den store kilebensvingen (os sphenoidale, ala major) og kinnbenet (os zygomaticum), mens medialveggen dannes av tårebenet (os lacrimale), silbenet (os ethmoidale), overkjevebenet (maxilla) og den lille kilebensvingen (os sphenoidale, ala minor) (figur 1). Gulvet i orbita dannes av overkjevebenet, kinnbenet og ganebenet (os palatinum). Taket dannes av pannebenet (os frontale) og den lille kilebensvingen, og kommuniserer anteriort med pannebihulen og posteriort med fremre skallegrop.

    To sentrale landemerker i orbita er fissura orbitalis inferior og fissura orbitalis superior (figur 1). Førstnevnte ligger i gulvet og inneholder n. infraorbitalis, a. infraorbitalis og v. infraorbitalis, som anteriort dukker inn i overkjevebenet for så å gå ut gjennom foramen infraorbitale. I tillegg går v. ophthalmica inferior, n. zygomaticus og parasympatiske fibre fra ganglion pterygopalatinum gjennom fissura orbitalis inferior. N. infraorbitalis deler gulvet i sagittal retning og bidrar til at det tynne gulvet medialt oftest frakturerer først. Fissura orbitalis superior fortsetter i kraniolateral retning fra fissura orbitalis inferior og inneholder tredje hjernenerve (n. oculomotorius), fjerde hjernenerve (n. trochlearis), deler av femte hjernenerve (n. trigeminus), sjette hjernenerve (n. abducens), sympatiske fibre fra plexus cavernosus og v. ophthalmica superior og v. ophthalmica inferior. Canalis opticus ligger medialt mot apeks av orbita, hvor andre hjernenerve (n. opticus) og a. ophthalmica forløper.

    Klinisk presentasjon og undersøkelse

    Klinisk presentasjon og undersøkelse

    Orbitafrakturer kan gi flere symptomer. Vanligst er periorbital hevelse, smerte ved bevegelse av øyet og subkonjunktival blødning. Man kan også få dobbeltsyn og nummenhet i kinnet på den affiserte siden. Sistnevnte oppstår ved gulvfrakturer med affeksjon av n. infraorbitalis med endret sensorikk i nervens forsyningsområde infraorbitalt. I akuttforløpet av en orbitaskade vil dobbeltsyn kunne oppstå midlertidig på grunn av hevelse eller blødning med påfølgende dislosering av bulbus, slik at synsaksen forandres. Frakturer som gir økt volum i orbita, kan føre til at øyet synker innover i orbita (enoftalmus) eller forflyttes i kaudal retning (hypoglobus). Dette skjer spesielt ved kombinerte frakturer i gulv og medialvegg (6). Dobbeltsyn kan også oppstå hvis frakturen direkte hindrer øyets bevegelse, enten ved at ekstraokulær muskulatur eller annet periorbitalt vev hektes fast eller kommer i klem. Dette gir en restriksjon av øyets bevegelighet som kan oppdages ved H-test (figur 2).

    Barn og unge har elastisk skjelett, og traume mot orbita kan i noen tilfeller føre til såkalte greenstick-frakturer med intraorbitalt vev i frakturspalten, noe som kan påvirke ekstraokulær muskulatur. Dette vil kunne gi iskemi i muskulaturen med fare for nekrose, fibrose og permanent dobbeltsyn. Det er derfor viktig med rask kirurgisk intervensjon og frigjøring av muskelen, helst innen 24 timer (7). Tilstanden går under navnet fallemfraktur (eng. trapdoor fracture) eller hvitøyesyndrom (white eye syndrome), sistnevnte fordi det som regel ikke foreligger periorbitalt hematom eller annet ytre tegn til skade. Hvitøyesyndrom kan også gi kvalme og generelt ubehag som kan mistolkes som hjernerystelse (8). Nøye undersøkelse av øyets bevegelighet er dermed viktig ved traume mot øyets omgivelser hos barn og unge. Avklemming av ekstraokulær muskulatur kan også utløse den okulokardiale refleksen med påfølgende bradykardi og synkope (9, 10).

    Ved akutte traumer mot orbita er det viktig å undersøke visus, pupiller og eventuelt fargesyn for å utelukke skade mot n. opticus eller intraokulære strukturer. Visus undersøkes med fingertelling eller nærsynstavle, og pasienten henvises ikke rutinemessig til øyeundersøkelse. Studier har derimot vist at en betydelig andel av pasienter med orbitafrakturer har samtidig øyeskade (11). Man må dermed ha lav terskel for å henvise pasienten til øyelege i akuttforløpet, spesielt ved tegn til traumatisk netthinneløsning eller bulbusruptur. Ved mistanke om øyeskade er det hensiktsmessig at pasienten tilses av øyelege før eventuell frakturbehandling. Videre gjøres palpasjon av orbitakanten, digital palpasjon av bulbus ved mistanke om økt intraorbitalt trykk og sensibilitetstest av mellomansiktet.

    Redusert visus kan skyldes både skade av øyet i seg selv og økt intraorbitalt trykk. Sistnevnte oppstår ved blødning dypt i orbita og gir nedsatt visus på grunn av redusert blodforsyning til netthinne eller synsnerve (12). Hvis nedsatt visus skyldes forhøyet intraorbitalt trykk, bør pasienten henvises øyeblikkelig til maxillofacial kirurg eller annen kompetent avdeling for kirurgisk avlastning av trykket.

    Radiologiske funn

    Radiologiske funn

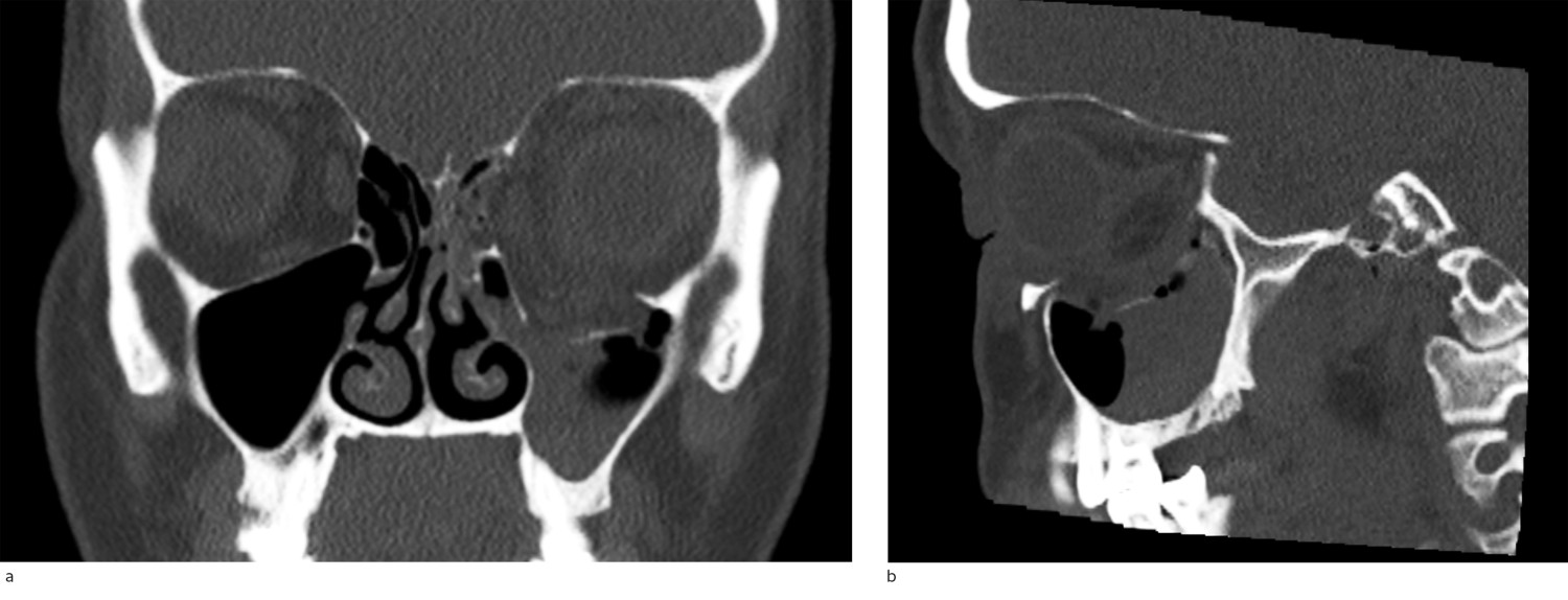
    CT er foretrukket bildediagnostisk undersøkelse for å avdekke orbitafrakturer. Ved mistenkt fraktur bør det rekvireres CT av ansiktskjelett med tynne snitt (1 mm). Denne kan avdekke frakturens lokalisasjon, størrelse og eventuell påvirkning på ekstraokulær muskulatur (figur 3a og 3b). I tillegg kan man se om det foreligger mulig trykkgivende hematom i relasjon til frakturen. Man kan også vurdere bulbus' posisjon og om det foreligger proptose (eksoftalmus, utstående øye) på de aksiale snittene. Dette kan i noen tilfeller være vanskelig å vurdere klinisk ved uttalt periorbital hevelse.

    MR er bedre egnet til å fremstille bløtvevet i orbita sammenlignet med CT, og kan være indisert ved sekveler fra orbitafrakturer med spørsmål om påvirkning av periorbitalt vev. MR er også indisert ved mistanke om skade på n.opticus.

    Behandling

    Behandling

    Indikasjon for operativ behandling av orbitafrakturer er frakturer som 1) hindrer normal bevegelse av bulbus, 2) har gitt volumendring i orbita og som umiddelbart har ført til enoftalmus eller hypoglobus (13), eller 3) initialt ikke har gitt dobbeltsyn eller endret posisjon av bulbus, men som forventes å gi dette når hevelsen avtar.

    Mindre orbitafrakturer som ikke oppfyller ovennevnte kriterier, behandles oftest konservativt. Ved alle tilfeller bør pasientene unngå å snyte seg i nesen i to–tre uker for å unngå at luft samler seg i orbita eller subkutant. Ved frakturer i orbitataket som involverer skallebasis, er dette viktig for å hindre intrakraniell luft.

    Optimalt tidspunkt for operativ behandling av orbitafrakturer er omdiskutert, men en nylig metastudie viste at behandling innen to uker gir mindre sekveler (5). Dersom det er usikkert om det foreligger indikasjon for akutt operativ behandling, kan det derimot være fornuftig å kontrollere pasienten ti–tolv dager etter skadetidspunktet. Hvis det da har tilkommet dobbeltsyn eller estetisk skjemmende enoftalmus, er det indikasjon for rekonstruktivt inngrep (14).

    Ved inneklemt ekstraokulær muskulatur hos barn og unge anbefales operasjon så raskt som mulig for å hindre nekrose av muskel med påfølgende permanent dobbeltsyn (14). Dersom det foreligger kliniske tegn til retrobulbært hematom (økt palpatorisk eller målt trykk, redusert visus eller fargesyn, redusert eller opphevet øyebevegelighet, eller uttalt proptose med stramt nedre øyelokk), må man foreta trykkavlastning med lateral kantotomi og kantolyse (12). Dette gjøres ved å klippe mellom øyelokkene lateralt og deretter løsne det nedre laterale kantalligamentet. Øyet kan da sige fremover i orbita slik at det intraorbitale trykket reduseres.

    Operativ behandling av orbitafrakturer har som mål å rekonstruere skjelettanatomi i tillegg til å løsne eventuelle heftelser av periorbitalt vev. Ved å gjenskape opprinnelig volum i orbita vil bulbus kunne innta korrekt posisjon med opphør av eventuelt dobbeltsyn.

    Flere ulike materialer har blitt brukt til å rekonstruere orbitas benvev, deriblant autologt ben, brusk og muskulatur samt diverse kunstige materialer. I dag brukes i hovedsak rene titanplater, titan i kombinasjon med polyetylen eller resorberbare plater i form av polydioksanon (15). Ved større og mer kompliserte orbitafrakturer er det aktuelt med pasientspesifikke, 3D-printede rekonstruksjonsplater (16). Disse lages ved å speile motsatt sides orbita over fraktursiden og deretter fremstille et anatomisk korrekt implantat. Alternativt kan rekonstruksjonsplaten tilpasses en 3D-printet modell av pasienten. Andre hjelpemidler som intraoperativ CT og navigasjon er også aktuelle ved komplekse rekonstruksjoner (17, 18).

    Tilgang til orbita oppnås enten transkutant eller transkonjunktivalt. Sistnevnte måte gir sjelden synlig arrdannelse og foretrekkes derfor ved frakturer i gulv og medialvegg. Figur 4 viser transkonjunktival tilgang med rekonstruksjonsplate i titan som er festet med skruer på nedre orbitakant. Ved større frakturer i medialveggen kan incisjonen forlenges transkarunkulært. Det samme gjelder lateralt, hvor man kan kombinere transkonjunktival tilgang med lateral kantotomi. Øvre blefaroplastikk-incisjon i hudfold på øvre øyelokk velges som regel ved frakturer i orbitataket. Ved kombinerte frakturer i orbitagulvet og nedre orbitakant velges ofte subciliær incisjon, som gir tilgang til reposisjon og osteosyntese av fraktur i nedre kant. Alternativt kan man legge incisjonen lenger nede, som ved subtarsal eller infraorbital tilgang. Sistnevnte brukes imidlertid kun hvis det allerede er kutt i huden, da denne tilgangen gir et dårligere kosmetisk resultat.

    Frakturer i orbitataket gir i mindre grad orbital volumendring sammenlignet med gulvfrakturer, men kan gi restriksjon av øyebevegelighet, dobbeltsyn og avklemming av periorbitalt vev. Dersom frakturen kommuniserer med skallebasis, kan den gi duraskade med påfølgende lekkasje av cerebrospinalvæske, noe som i visse tilfeller kan nødvendiggjøre kraniotomi med duraplastikk i tillegg til rekonstruksjon av orbitataket.

    Konklusjon

    Konklusjon

    Orbitafrakturer er den tredje hyppigste frakturtypen i ansiktet og oppstår vanligvis ved stumpt traume. Frakturene kan gi både funksjonelle og estetiske utfall. Ved tegn til retrobulbært hematom eller inneklemt øyemuskulatur, spesielt hos barn, er det viktig med rask CT-undersøkelse og behandling. Optimalt tidspunkt for operativ behandling av andre orbitafrakturer er omdiskutert, og om indikasjonen er usikker, kan man avvente og kontrollere pasienten ti–tolv dager etter skade. Ved mistanke om bulbusperforasjon eller netthinneløsning må pasienten henvises til øyeavdeling.

    Pasientene har gitt samtykke til at artikkelen og bildene blir publisert.

    Artikkelen er fagfellevurdert.

    Kommentarer  ( 0 )
    PDF
    Skriv ut

    Anbefalte artikler