Orbital fractures

    ()

    sporsmal_grey_rgb
    Article

    Orbital fractures can occur as a result of direct trauma to the eye region or surrounding facial bones. The fractures can lead to significant functional impairment and cosmetic changes. Surgical treatment of orbital fractures aims to reconstruct the bony anatomy and restore the orbit's original volume. This clinical review article looks at the key factors regarding orbital fractures.

    Orbital fractures are fractures in the bones surrounding the eye socket (orbit), and the third most common type of facial fracture in adults and children (1, 2). The fractures are usually categorised by anatomical location, such as orbital floor, orbital roof, lateral wall and medial wall fractures. The mechanism of injury is usually blunt force trauma to the eye region, leading to fracture of the thin bone of the orbit, most commonly the floor and medial wall (3, 4). Fractures in the lateral wall are often combined fractures involving the cheek bone. Orbital fractures occur either as a result of kinetic energy being transmitted from the bone surrounding the eye or as a result of increased pressure when the eyeball (ocular globe, referred to as globe from now on) presses into the orbit (5). Another name for these fractures is blowout fractures because they tend to displace away from the orbit.

    This article gives an overview of the anatomy, clinical presentation, examination, radiological findings and treatment of orbital fractures. The evidence base is a non-systematic search in PubMed as well as the authors' clinical experience.

    Anatomy

    Anatomy

    The anatomy of the orbit is complex and its boundaries are formed by seven different bones. The orbital contents consist of the globe, fat, extraocular muscles, nerves, blood vessels, lacrimal sac and lacrimal gland. The lateral wall is formed by the greater wing of the sphenoid bone and the cheek bone (zygomatic bone), while the medial wall is formed by the lacrimal bone, ethmoid bone, upper jaw bone (maxillary bone) and the lesser wing of the sphenoid bone (Figure 1). The orbital floor is formed by the maxillary bone, zygomatic bone and palatine bone. The roof is formed by the frontal bone and the lesser wing of the sphenoid bone, and communicates anteriorly with the frontal sinus and posteriorly with the anterior cranial fossa.

    Two central features in the orbit are the inferior orbital fissure and the superior orbital fissure (Figure 1). The former lies in the orbital floor and contains the infraorbital nerve, infraorbital artery and infraorbital vein, which enter the maxillary bone anteriorly and exit through the infraorbital foramen. In addition, the inferior ophthalmic vein, zygomatic nerve and parasympathetic fibres pass from the pterygopalatine ganglion through the inferior orbital fissure. The infraorbital nerve divides the orbital floor in a sagittal direction and is a contributory factor for the thin floor medial to the nerve often being the first to fracture. The superior orbital fissure continues in a craniolateral direction from the inferior orbital fissure and contains cranial nerve III (oculomotor nerve), cranial nerve IV (trochlear nerve), branches of cranial nerve V (trigeminal nerve), cranial nerve VI (abducens nerve), sympathetic fibres from the cavernous plexus and superior ophthalmic vein and inferior ophthalmic vein. The optic canal is located medial to the apex of the orbit and transmits cranial nerve II (optic nerve) and the ophthalmic artery.

    Clinical presentation and examination

    Clinical presentation and examination

    Orbital fractures can cause many symptoms. Most common are periorbital swelling, pain on movement of the eye and subconjunctival haemorrhage. Patients may also experience diplopia and numbness of the cheek on the affected side. The latter occurs in orbital floor fractures with involvement of the infraorbital nerve and altered sensation in its infraorbital region of distribution. In the acute phase of an orbital injury, temporary diplopia might occur due to swelling or haemorrhage with resulting displacement of the globe, which causes a shift in the visual axis. Fractures that cause increased orbital volume can result in posterior displacement of the eye within the orbit (enophthalmos) or inferior displacement of the eye (hypoglobus). This occurs particularly with combined fractures of the orbital floor and medial wall (6). Diplopia can also occur if the fracture directly impairs movement of the eye, either due to tethering or entrapment of extraocular muscle or other periorbital tissue. This causes restriction of ocular motility, which can be checked for with the H test (Figure 2).

    The bones of children and adolescents are elastic, and in some cases orbital trauma can lead to so-called greenstick fractures with intraorbital tissue in the fracture line, which can impact extraocular muscles. This can potentially cause muscle ischemia with a risk of necrosis, fibrosis and permanent diplopia. Therefore, rapid surgical intervention and release of the muscle is important, ideally within 24 hours (7). The condition is referred to as a trapdoor fracture or white-eye syndrome, the latter because there is usually no periorbital haematoma or other external sign of injury. White-eye syndrome can also cause nausea and general malaise, which may be misinterpreted as concussion (8). Careful examination of ocular motility is thus important in the event of trauma to the periocular region in children and adolescents. Entrapment of extraocular muscles can also trigger the oculocardiac reflex with resulting bradycardia and syncope (9, 10).

    In cases of acute trauma to the orbit, it is important to test visual acuity, pupils and possibly colour vision to rule out damage to the optic nerve or intraocular structures. Visual acuity is tested by finger counting or a near vision chart, and patients are not routinely referred for ophthalmic examination. However, studies have found that a considerable proportion of patients with orbital fractures also have eye injury (11). Therefore, there must be a low threshold for referring patients to an ophthalmologist in the acute phase, particularly if there are signs of traumatic retinal detachment or globe rupture. If eye injury is suspected, it is advisable for the patient to be seen by an ophthalmologist before any fracture treatment. Further measures to perform are palpation of the orbital rim, digital palpation of the globe if increased intraorbital pressure is suspected and a sensation test of the midfacial area.

    Reduced visual acuity may be due to both injury to the eye itself and increased intraorbital pressure. The latter occurs due to deep orbital haemorrhage and causes decreased visual acuity as a result of reduced blood supply to the retina or optic nerve (12). If decreased visual acuity is due to increased intraorbital pressure, the patient should be immediately referred to maxillofacial surgery or another expert department for surgical decompression.

    Radiological findings

    Radiological findings

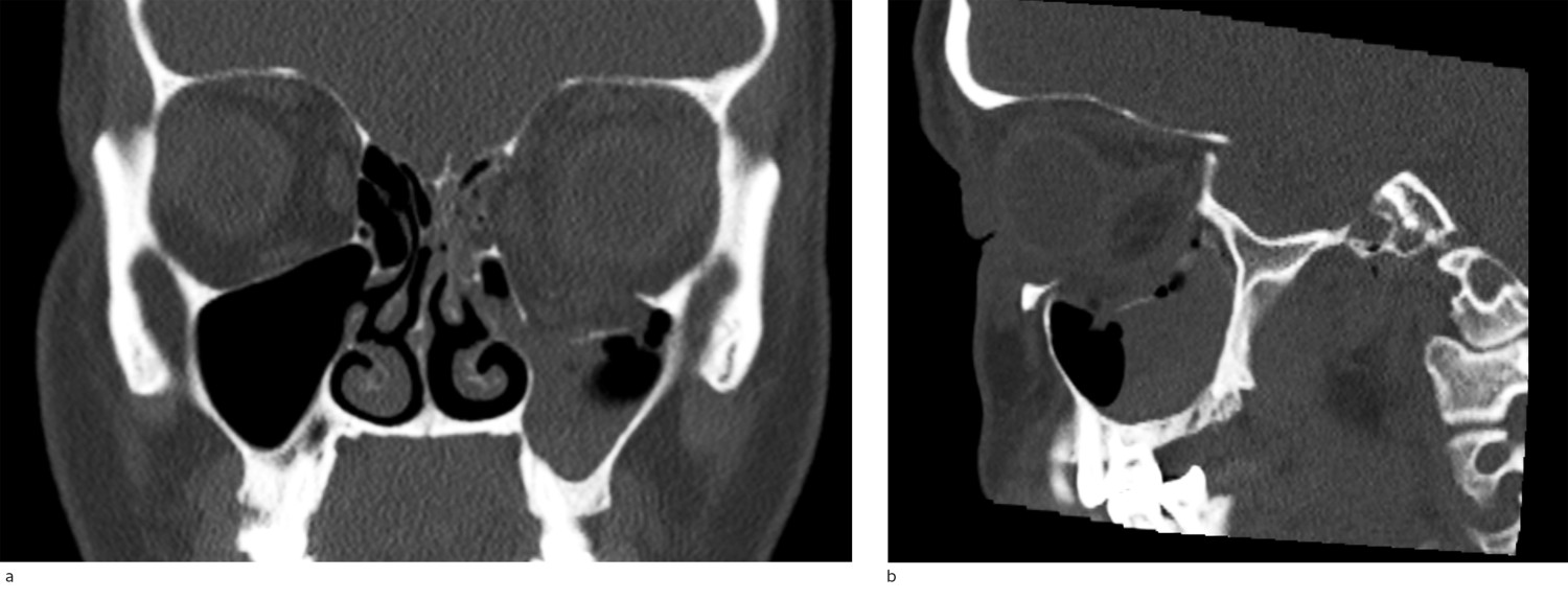
    CT is the preferred diagnostic imaging technique for the detection of orbital fractures. If a fracture is suspected, a facial bone CT scan with thin slices (1 mm) should be ordered. This can reveal the fracture's location, size and any involvement of extraocular muscles (Figures 3a and 3b). In addition, any potentially pressure-causing haematoma related to the fracture can be identified. The position of the globe and whether there is proptosis (exophthalmos, bulging eye) can also be evaluated on the axial slices. In some cases, clinical assessment of this can be difficult if there is considerable periorbital swelling.

    MRI is more suitable for visualising soft tissue in the orbit compared with CT, and may be indicated for sequelae following orbital fractures with queried involvement of periorbital tissue. MRI is also indicated if there is suspected injury to the optic nerve.

    Treatment

    Treatment

    Surgical treatment is indicated for orbital fractures that 1) prevent normal globe motility, 2) have caused a change in orbital volume and directly resulted in enophthalmos or hypoglobus (13), or 3) did not initially cause diplopia or altered globe position, but are expected to do so once swelling subsides.

    Minor orbital fractures that do not fulfil the aforementioned criteria are usually treated conservatively. In all cases, patients should avoid blowing their nose for 2–3 weeks to avoid air collecting in the orbit or subcutaneously. This is important in fractures of the orbital roof involving the base of the skull to prevent intracranial air.

    There is debate concerning the optimum time for surgical treatment of orbital fractures, but a recent meta-study showed that treatment within 2 weeks results in fewer sequelae (5). If there is uncertainty as to whether acute surgical treatment is indicated, it may nevertheless be wise to monitor the patient for 10–12 days following the time of injury. Reconstructive surgery is then indicated if diplopia or aesthetically disturbing enophthalmos develop (14).

    In cases of extraocular muscle entrapment in children and adolescents, urgent surgery is recommended to prevent muscle necrosis resulting in permanent diplopia (14). If there are clinical signs of retrobulbar haematoma (increased pressure on palpation or measurement, reduced visual acuity or colour vision, impairment or loss of ocular motility, or considerable proptosis with a tight lower eyelid), decompression with lateral canthotomy and cantholysis is required (12). This is performed by a lateral incision between the eyelids and then release of the lower lateral canthal ligament. The eye can then sink forwards in the orbit, so reducing intraorbital pressure.

    Surgical treatment of orbital fractures aims to reconstruct bony anatomy as well as release any entrapped periorbital tissue. By restoring the original orbital volume, the globe will be able to assume its correct position, resolving any diplopia.

    A variety of different materials have been used to reconstruct orbital bone tissue, including autologous bone, cartilage and muscle, as well as various synthetic materials. The main materials used today are pure titanium plates, titanium combined with polyethylene, or resorbable polydioxanone plates (15). Patient-specific, 3D-printed reconstruction plates are appropriate for major or more complicated orbital fractures (16). These are made by mirroring the opposite orbit onto the fracture side and then manufacturing an anatomically correct implant. Alternatively, a 3D-printed model of the patient can be used to individualise the reconstruction plate. Other tools such as intraoperative CT and navigation also have a role in complex reconstructions (17, 18).

    Access to the orbit is achieved via the transcutaneous or transconjunctival approach. The latter technique rarely causes visible scarring and is thus preferred for fractures of the floor and medial wall. Figure 4 shows the transconjunctival approach used for a titanium reconstruction plate which is fixed at the inferior orbital rim with screws. In major fractures of the medial wall, the incision can be extended to a transcaruncular incision. The same applies laterally by combining a transconjunctival approach with lateral canthotomy. Upper blepharoplasty incision in the upper eyelid skin fold is generally chosen for fractures of the orbital roof. Subciliary incision is often chosen for combined fractures of the orbital floor and inferior orbital rim, giving access for repositioning and osteosynthesis of the fracture in the inferior rim. Alternatively, the incision can be placed lower, such as via a subtarsal or infraorbital approach. However, the latter approach is only used if there is already a cut in the skin because cosmetic results are worse with this approach.

    Fractures of the orbital roof cause less orbital volume change compared with fractures of the floor, but can cause restricted ocular motility, diplopia and entrapment of periorbital tissue. Communication of the fracture with the base of the skull may cause dural injury with resulting leakage of cerebrospinal fluid, which in certain cases may require craniotomy with duraplasty in addition to reconstruction of the orbital roof.

    Conclusion

    Conclusion

    Orbital fractures are the third most common type of facial fracture and usually occur with blunt force trauma. The fractures can cause both functional and aesthetic defects. Rapid CT imaging and treatment are important if there are signs of retrobulbar haematoma or ocular muscle entrapment, particularly in children. There is debate concerning the optimum time for surgical treatment of other orbital fractures, and if there is uncertainty about the indication, it may be decided to wait and monitor the patient for 10–12 days following injury. The patient must be referred to ophthalmology if globe perforation or retinal detachment is suspected.

    The patients have given consent for the article and images to be published.

    The article has been peer-reviewed.

    Comments  ( 0 )
    PDF
    Print

    Recent Articles