Late onset metastases to the thyroid gland from renal carcinoma

    ()

    sporsmal_grey_rgb
    Abstract
    BACKGROUND

    BACKGROUND

    Metastases from renal cell carcinoma to the thyroid gland are uncommon and the clinical course often prolonged. We wished to determine the incidence of such metastases in surgical biopsy records from two Norwegian hospitals.

    MATERIAL AND METHOD

    MATERIAL AND METHOD

    The archives of the Department of Pathology at Nordland Hospital Bodø (for the period 2002 – 11) and the Department of Pathology and Medical Genetics at St. Olav’s Hospital (for the period 1986 – 2011) were searched for possible metastases from renal cell carcinoma to the thyroid gland. Biopsy and clinical records were later reviewed to determine sex, age, symptoms, the results of preoperative examinations, tumour size, immune profile and treatment, as well as subsequent clinical course and survival.

    RESULTS

    RESULTS

    The biopsy records of five patients, four females and one male, between the ages of 58 and 89 years showed metastases in the thyroid gland that were morphologically and immunohistochemically identical to the renal cell carcinomas that had previously been removed from these patients. A considerable length of time had elapsed, up to 25 years (median 21 years), before the metastases appeared and gave rise to clinical symptoms. All of the patients underwent surgery. Survival following hemithyroidectomy ranged from two months to 13 years. One patient was still alive when the material was reviewed.

    INTERPRETATION

    INTERPRETATION

    Metastases from renal clear cell carcinoma to the thyroid gland can occur many years after removal of the primary tumour and produce clinical symptoms such as multinodular goitres. Surgery is indicated if there are no other metastases. The prognosis is good in some patients.

    Article

    Metastases in the thyroid gland that give rise to clinical symptoms are rare, accounting for roughly 2 – 3 % of all malignant tumours seen in the gland in surgical biopsies (1). The incidence of metastases in autopsy material from cancer-related deaths can be far higher, up to 24 % (2, 3). However, these are metastases detected by microscopical examination, which may therefore have no clinical significance.

    Secondary tumours in the thyroid gland can reflect the spread of melanomas, sarcomas or carcinomas (especially from the mammary glands, lung, kidney or gastrointestinal tract) (4). The tumours can occur as isolated nodules or as a diffuse goitre, sometimes along with metastases in other organs (5). However, the most common metastasis, which can be mistaken clinically for a primary tumour in the thyroid gland, is renal cell carcinoma, which can moreover first appear many years after the kidney tumour has been removed (4) – (6).

    We wished to review findings of metastases from renal clear cell carcinoma in the biopsy records from two hospitals, and report here five patients with metastases from renal cell carcinoma to the thyroid gland. The metastases were first detected and surgically removed up to 25 years after the removal of the primary tumour in the kidney.

    Material and method

    Material and method

    The archives of the Department of pathology at Nordland Hospital in Bodø and the Department of pathology and medical genetics at St.  Olav’s Hospital were searched for incidences of metastases in the thyroid gland recorded following surgical biopsies. These databases employ a coding system common to Norwegian pathology departments (SNOMED), in which all organs (T-codes) and all tumour types are assigned a five-digit numerical code (M-codes). All metastases have 6 as the last digit in the morphology code. The data were not cross-referenced against any other databases.

    At St. Olav’s Hospital, the total number of thyroid biopsies over the 25-year period was also recorded, as well as the number of malignant tumours of the thyroid gland. The latency period from removal of the primary tumour to surgical treatment of the metastases was recorded too. The size and location of the primary tumour and of the metastases were determined from the biopsy records.

    Archival tumour tissue was obtained from the primary tumour in the kidneys and from the metastases, and the diagnosis confirmed by microscopic examination. Systematic microscopical examination was not conducted for metastases from other tumour types. Fuhrman grading was performed for the kidney tumours (7) along with additional immunohistochemical studies of paraffin-embedded sections in those cases where this was not conducted previously, in order to compare the immune profiles of the primary tumour and the metastases. Antibodies against the following epitopes were used: CD10, vimentin, thyroglobulin and thyroid transcription factor 1 (TTF-1). To assess proliferative activity, sections from the primary tumour and metastases were also stained with antibodies against Ki67 (Mib1) and 500 cell nuclei were evaluated by the same pathologist in each instance. All stainings were performed using a slide stainer (DAKO* Autostainer Link 48) and with the antibodies used in routine diagnostics.

    Biopsy reports and clinical records from patients with metastases from renal cell carcinoma were reviewed to determine sex, age, symptoms, the results of preoperative examinations, tumour size, immune profile and treatment, as well as subsequent clinical course and survival. Consent to publish case reports was obtained from those patients who were still alive and from the relatives of the deceased. The Data Protection Officers at Nordland Hospital and St. Olav’s Hospital have approved the project.

    Results

    Results

    At St. Olav’s Hospital, a total of 3 930 thyroid gland biopsies were examined in the period from 1986?to?2011. Of these, 433 showed malignant tumours (11 %). Nine of these (2.1 %) were metastases, of which six were from the lungs, colon or mammary glands and three were metastases from renal clear cell carcinoma. At Nordland Hospital, two metastases in the thyroid gland were recorded in the period from 2002 – 2011. These were both of the clear cell type, consistent with metastasis from renal cell carcinoma.

    The patients comprised four females and one male between the ages of 58 and 89 years. Their renal tumours had been removed by total nephrectomy 6 – 25 years previously (table 1). The primary tumours were relatively large, measuring 5 – 9 cm in greatest dimension. Signs of infiltration of the renal capsule or invasion of the renal pelvic mucosa or the central veins were not detected in any of the patients. In one case, tumour cells were detected in venules. One of the tumours was partly cystic. Examination under the microscope revealed a clear cell carcinoma in all cases, with a Fuhrman grade between 1 and 3. The rate of proliferation, as judged from the percentage of Ki67-positive cells ( %) in the renal tumours was consistently very low. The percentage ranged from < 1 % to 5 % (table 2).

    Table 1

    Population of patients with metastases from renal cell carcinoma to the thyroid gland (N = 5). Age at the time of thyroid surgery is shown.

    Gender distribution (female : male)

    4 : 1

    Median age (years) (range)

    84 (58 – 89)

    Median latency period (years) (range)

    21 (6 – 25)

    Median survival after surgery (months) (range)

    14 (2 – 156)¹

    [i]

    [i] ¹   One patient was still alive when the material was reviewed.

    Table 2

    Size (cm) of the kidney tumour and the thyroid metastases, with Fuhrman grade (from 1 to 4) and Ki67-activity (%), in five patients treated with hemithyroidectomy.

    Kidney tumour

    Metastasis

    Patient

    Size

    Grade

    Ki67

    Size

    Grade

    Ki67

    1

    5

    2

    5.1

    10.0

    3

    14.2

    2

    6

    2

    < 1

    2.5

    3

    8.2

    3

    6

    3

    4.0

    9.5

    4

    50.0

    4

    7

    1

    < 1

    7.0

    3

    14.3

    5

    9

    1

    < 1

    4.6

    3

    4.0

    In four of the patients, the tumour appeared on the throat as a unilateral swelling of the thyroid gland that developed over the course of a few months, 6 – 25 years after the removal of the primary tumour in the kidney. One of the patients had had a multinodular goitre for many years, and metastasis was suspected when the thyroid gland grew further. In this case there was compression of the trachea.

    In two cases, fine-needle aspiration was performed preoperatively, which showed malignant cells consistent with metastases from clear cell carcinoma. In one case, a needle biopsy was also performed, which showed clear cell carcinoma with an immunohistochemical profile consistent with metastasis. All of the patients underwent hemithyroidectomy. Survival after surgery varied from two months to 13 years, and one of the patients was still alive when the data were compiled.

    In three cases, the metastases were detected in the right lobe of the thyroid, and in two cases in the left lobe. The tumours varied in size from 2.5 cm to 10.0 cm in greatest dimension, and in one case showed more diffuse infiltration. The tumours invaded most of the resected thyroid lobes, and in some places there were only remnants of intact thyroid tissue. Microscopically, all tumours showed a relatively uniform structure, dominated by large cells with light, mainly water-clear cytoplasm and nuclei that were slightly variable in size, as in clear cell carcinoma.

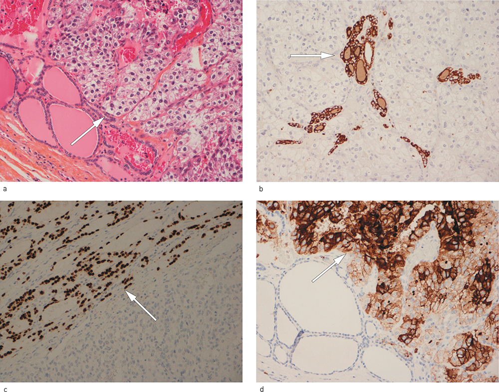
    Immunohistochemical examination revealed that the metastases were negative for thyroglobulin and TTF-1, but positive for vimentin and CD10, as was the case for the primary renal tumours (fig 1). The proportion of Ki67-positive cells was significantly higher in all of the metastases than in the respective renal tumours (table 2).

    Figure 1  Metastasis from renal cell carcinoma bordered by normal thyroid follicles. a) Hematoxylin-eosin-safran stained…
    Figure 1 Metastasis from renal cell carcinoma bordered by normal thyroid follicles. a) Hematoxylin-eosin-safran stained section. The arrow indicates the metastasis. b) Immunohistochemical detection of antibodies directed against thyroglobulin (normal thyroid tissue indicated by the arrow). c) Immunohistochemical detection of antibodies directed against thyroid transcription factor 1 (TTF-1) (normal thyroid tissue indicated by the arrow). d) Immunohistochemical detection of antibodies directed against the cell marker CD10 in a tumour (tumour tissue indicated by the arrow).

    In one of the patients a metastasis was detected in the upper arm before the metastasis in the thyroid gland was found. In another patient, development of carcinoma was detected in the remaining kidney following hemithyroidectomy, more than ten years after the initial nephrectomy. No other tumour metastases were found in the remaining patients. However, autopsy was not performed in any of the cases, and the cause of death is unknown.

    Discussion

    Discussion

    In the period from 1986 – 2011, a total of 433 malignant tumours of the thyroid gland were diagnosed in surgical biopsies at St. Olav’s Hospital. Of these, nine were metastases (2.1 %), of which three represented the spread of clear cell renal carcinoma. This is in good agreement with findings reported in several other clinical series (1, 8). A review of studies from the last ten years has shown that renal cell carcinomas account for 48 % of metastases, followed by colorectal carcinomas (10.4 %), lung carcinomas (8.3 %), carcinomas of the mammary glands (7.8 %) and sarcomas (4 %) (4).

    Up to 30 – 40 % of those with renal cell carcinoma have metastases at the time of diagnosis, while most of the later metastases appear over the course of 3 – 5 years (9, 10). On average, metastases in the thyroid gland manifest themselves nine years after the nephrectomy (6, 11), but it can take up to 25 years, as two of our cases show. It has previously been reported that in one patient, 26 years passed before the metastasis was recognised (5). Metastases can also occur in other organs, as in two of our patients. Based on an analysis of archival material for a 40-year period, Heffes et al (6) reported that for 13 of their 36 patients with kidney cancer, metastasis in the thyroid gland was the first sign of malignant kidney disease. Eleven of these patients then underwent nephrectomy. Other reports likewise show that metastasis can be an early clinical manifestation of kidney cancer (1, 12).

    Diagnoses were verified in our patients by review of histological and immunohistochemical examinations. Morphologically, it can be difficult to distinguish metastases with certainty from other tumours in the thyroid gland, which can also have a strong «clear cell» component and resemble hypernephroma (13), but immunohistochemical examination can be used to exclude this possibility (1). All of the patients had clear cell tumour tissue which tested negative for thyroglobulin and TTF-1.

    Ki67 has been shown in some studies to be an independent prognostic marker of renal cell carcinoma (14) – (16), but it is difficult to use it in daily routine diagnostics since it often reveals only a very low proportion of tumour cells in the growth phase (17). This was also the case in three of the five kidney biopsies in this study. A combination of a low Fuhrman grade and a low Ki67-positive fraction in a primary tumour suggests that metastases in these cases will initially grow slowly. A higher Ki67-positive fraction and higher Fuhrman grade in the metastases is consistent with increased cellular proliferation when they show up clinically many years later.

    It is still uncertain which factors might come into play and inhibit further tumour development in malignant cells originating from a primary tumour. Hadfield (18) introduced the concept of «the dormant cancer cell» and believed that inhibition of mitosis could be a consequence of anoxia. It has also been speculated that local hormonal factors and a high tissue iodine concentration may potentially affect metastatic cell growth in the thyroid gland (11). The development of metastasis probably involves a complex interplay between genetic factors in the tumour cells, the microenvironment of different tissue types, and genetic factors in the affected individual (19).

    Patients tend to be elderly, between 60 and 80 years of age, with a slight excess of females (11, 20), as was also the case in our series. The metastasis was either a solitary nodule or it caused diffuse enlargement of the gland. There was no side preference.

    There have been occasional reports of metastases occurring in a primary tumour of the thyroid («collision tumours») (21). Bohn & Gjørup (22) reported the first Scandinavian case of metastasis from renal carcinoma to the thyroid. The patient was a male who had been treated for ten years for hyperthyroidism. The authors argued that metastases in the thyroid gland preferentially occur where there are prior pathological changes. Of our patients, one of the females had had a multinodular goitre for many years, but the specimen did not allow us to determine whether any other pathological changes might have been present. A review of the literature from the last ten years (4) showed that 44.2 % of metastases actually occurred simultaneously with colloid nodular goitres, benign neoplasms or thyroiditis, and it was suggested that this could be explained by changes in the blood supply resulting in reduced oxygenation and iodine content.

    The treatment for metastatic disease in the thyroid gland from kidney cancer consists of surgery, either partial resection or total thyroidectomy (8). Active surgical intervention is particularly relevant if there are no other signs that the tumour has spread (23), but palliative interventions to relieve specific symptoms, for example stridor, may also be appropriate (1, 24). Following surgery, the patients in our series had a median survival time of 14 months. A larger European series containing 45 patients showed 51 % five-year survival (25). Multivariate analysis revealed that the prognosis was poorest for patients over the age of 70 and for patients who had metastatic disease in the remaining kidney. In another data series with metastases from various malignant tumours, median survival was 26 months (8). With partial thyroidectomy, there is a not insignificant risk of recurrence (1) if the tumour is not completely isolated and the edges of the resection zone definitely free of tumour cells.

    Even though metastases to the thyroid gland will often represent a terminal phenomenon and occur late in the course of cancer, it is important to consider the possibility that isolated tumours in the thyroid gland in patients with previous renal cancer may be metastases that can be treated surgically with good results.

    The patient/relatives have given their consent to the publication of this article.

    Comments  ( 0 )
    PDF
    Print

    Recent Articles