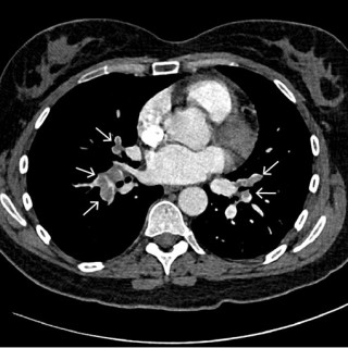
03.03.2021:
Når mennesker blir syke etter å ha vært i kontakt med dyr, kan årsaken være en zoonose. Derfor kan det være diagnostisk avgjørende å spørre pasienten om slik kontakt, spesielt når infeksjonen har uklar årsak. Vi presenterer her en pasient med infeksjonsutløst glomerulonefritt, der hest var sannsynlig smittekilde. En kvinne i 20-årene oppsøkte legevakten etter to dagers sykehistorie med nakkesmerter, hodepine, halsvondt, feberfølelse, kvalme og oppkast. Fra tidligere hadde hun psoriasisartritt, behandlet med certolizumab, og hadde født et barn noen måneder tidligere. Ved ankomst til legevakten...