10.06.2024:
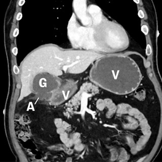
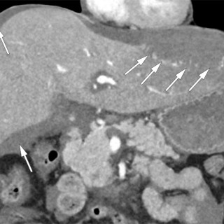
Kasuistikken beskriver en pasient med cystisk ekinokokkose og behov for omfattende kirurgisk behandling. Tilstanden er sjelden i Norge, men utgjør et betydelig folkehelseproblem globalt. På grunn av økende innvandring fra høyendemiske land, bør norske leger kjenne til denne zoonosen. En tidligere frisk mann i 40-årene, oppvokst i Midtøsten og bosatt i Norge de siste årene, ble akutt innlagt på medisinsk avdeling ved lokalsykehuset, etter to døgn med respirasjonsavhengige smerter i høyre hemitoraks. I forkant av innleggelsen hadde han hatt fem ukers sykehistorie med høyresidige flankesmerter...